CD86 in the Immunological Synapse

 

Overview

 

Definition of immunological synapse

An immunological synapse (IS) can be defined as the orderly rearrangement of molecules in an immune cell at the interface with another cell (Orange, 2008). ISs are found between antigen-presenting cells (APCs) or target cells and lymphocytes such as a T-cells, B cells or Natural Killer cells. This interaction is essential for the defense against a wide range of pathogens and deranged host cells. Dysregulation of this interaction makes the host susceptible to pathogens or tumor escape at one extreme and autoimmunity at the other (Dustin, 2014). IS and neural synapses share properties such as the synaptic cleft, adhesion molecules, stability and polarity (Figure 1), however interactions between immune cells are only short-lived and last from minutes to hours (Friedl et al., 2004).

HistoSure Schematic overview of immunological synapse and neuronal synapse

Figure 1: Schematic overview of immunological synapse and neuronal synapse

 

Cell-type specific immunological synapses

Immunological synapses can be classified into three functional subtypes, depending on the involved cell types (Mastio et al., 2020): lytic immunological synapse (interface between cytotoxic immune cell and malignant cell), inhibitory synapse (interface between cytotoxic lymphocyte and healthy cell) and regulatory synapse (interface between cytotoxic cell and antigen presenting cell, e.g., dendritic cell). Thus, the formation of IS has many divergent functions such as ligand recognition, signal amplification and integration, co-stimulation, cytotoxicity, protein secretion and transfer, cell-fate determination, inhibition of activation and signal termination (reviewed in Orange, 2008), depending on the cell types and receptors involved in IS formation (Figure 2).

B cells form immunological synapses after antigen encounter on APCs, typically in the secondary lymphoid organs, such as lymph nodes and spleen. Antigen-recognition is elicited by highly specific B cell receptors (BCRs). The B cell IS is also the site of antigen internalization, which precedes intercellular processing into peptides. These peptides are subsequently loaded onto major histocompatibility complex (MHC) II molecules and presented to CD4+ T helper cells, which provides the critical secondary signal for B cell maturation into antibody producing plasma cells. BCR signaling is shaped by a balance of negative co-receptors, e.g., CD22 and FcγRII, and positive co-receptors such as CD19 (Kuokkannen et al, 2015).

T cell activation requires first engagement of the T cell receptor (TCR) with peptide-bound MHC II on the surface of APCs. Ligand recognition causes the T cell to stop migration and to form an immune synapse with the corresponding APC. Full activation requires a second co-stimulatory signal which is antigen nonspecific and provided by the interaction between co-stimulatory molecules expressed on the membrane of APCs and T cells. After primary activation, T cells recirculate to other tissue regions and organs and either activate B cells in the case of T helper cells, or kill bacterially or virally infected cells in the case of cytolytic T lymphocytes (Friedl et al., 2004).

NK cells have an MHC class I-dependent recognition mode and become selectively activated by cells that lack MHC I-expression. MHC I molecules are expressed on all healthy nucleated cells. Expression is reduced or absent on virally infected or malignantly transformed cells. Outcome of the immune synapse is regulated by a gentle balance between activating and inhibitory signals. Upon formation of a lytic immunological synapse, NK cells exocytose cytotoxic granules containing perforin and various granzymes, which are released into the synaptic cleft, leading to perforation and apoptotic death of target cells. In addition, NK cells secrete a variety of cytokines and chemokines such as interferon-γ (IFN-γ), tumor necrosis factor-α (TNF-α) or granulocyte macrophage colony-stimulating factor (GM-CSF), thereby priming T helper 1-biased T cell responses (Waldhauer et al., 2008).

HistoSure Schematic overview of immune synapses in various cell types

Figure 2: Schematic overview of immune synapses in various cell types

 

Enhanced CD86 expression in APCs in T. gondii infected mouse liver

CD86 (Cluster of Differentiation 86, also known as B7.2) belongs to the B7 family of immune-regulatory cell-surface protein ligands and is expressed only at low levels on resting B cells, dendritic cells and macrophages. Activation results in enhanced CD86 expression (Collins et al., 2005). CD86 and the genetically closely linked CD80 protein (also known as B7.1) expressed by antigen presenting cells, provide costimulatory signals necessary for T cell activation and tolerance via interaction with CD28 and cytotoxic T-lymphocyte antigen 4 (CTLA-4, CD152) expressed on T-cells. CD28 binding leads to T cell activation (Sansom et al. 2000), whereas CTLA-4 binding dampens T cell responses and acts as negative regulator of T cell activation. The CD28 superfamily member PD-1 also negatively regulates T-cell activation after binding to its ligand PD-L1 (Brunner-Weinzierl et al., 2018). CD80 and CD86 have non-equivalent roles in immune modulation: CD86 is the dominant ligand for proliferation and survival of regulatory T cells (Tregs) (Halliday et al., 2020). Compared to CD80, CD86 shows very high efficiency in increasing T cell killing capacity (Thiel et al., 2010).

Toxoplasmose gondii is an intracellular protozoan parasite which infects not only the brain but also other organs, especially the liver. Liver infection is characterized by multifocal aggregates of mononuclear inflammatory cells (Fernández-Escobar et al., 2021). In mice, T. gondii infection has been shown to upregulate the expression of CD86 but not CD80 in monocytes, macrophages and dendritic cells (Fischer et al., 1999).

Immunohistochemical staining of liver sections from a naïve control mouse and a T. gondii infected mouse obtained during initial acute period of infection with immune cell markers IBA-1, CD86, CD11b and Chil3 reveals high infiltration of IBA1 positive macrophages and multifocal aggregations of CD86+, CD11b+ and Chil3+ cells in the T. gondii infected mouse liver. In the naïve control mouse, IBA-1 stains mainly Kupffer cells, and CD86-positive APCs are rarely detected. CD11b and Chil3 positivity in the naïve liver is restricted to a few CD11b+ bone-marrow derived monocytes or Chil3+ bone-marrow derived neutrophils (Figure 3).

Immunohistochemical detection of IBA-1

Figure 3: Immunohistochemical detection of IBA1 (cat. no. HS-234 017, 1:100), CD86 (cat. no. HS-466 003, 1:400), CD11b (cat. no. HS-384 117, 1:100) and Chil3 (cat. no. HS-442 017, 1:1000) in formalin fixed paraffin embedded sections of a naïve mouse liver (top row) or a T. gondii infected mouse liver (bottom row).

Immunofluorescent double staining of liver sections with mouse macrophage markers F4/80 and CD11b reveals F4/80high CD11b- cells in the naïve and in the T. gondii infected mouse liver. However, F4/80low CD11b+ cells are only detected in mononuclear cell aggregates of the T. gondii mouse liver (Figure 4). F4/80+ CD11b- staining identifies Kupffer cells whereas F4/80low CD11b+ staining characterizes e.g. monocyte-derived macrophages recruited in inflammatory conditions (see: mouse resident macrophages).

T gondii infected mouse liver with rabbit anti-F4/80

Figure 4: Indirect immunostaining of formalin fixed paraffin embedded (FFPE) sections of a naïve mouse liver (A) or a T. gondii infected mouse liver (B) with rabbit anti-F4/80 (cat. no. HS-397 008, 1:100, green) and rat anti-CD11b (cat. no. HS-384 117, 1:100, red). Nuclei have been visualized by DAPI staining (blue).

Immunofluorescent double staining shows enhanced CD86 expression mainly in F4/80low or F4/80- cells in mononuclear cell aggregates of T. gondii infected mouse liver, characterizing these cells as activated antigen presenting cells (Figure 5).

T. gondii infected mouse liver section revealing F4/80 low cells in cell aggregates

Figure 5: A: Immunohistochemical detection of F4/80 (cat. no. HS-397 008, 1:100) in a formalin fixed paraffin embedded (FFPE) T. gondii infected mouse liver section revealing F4/80 low cells in cell aggregates. B: Indirect immunostaining of a formalin fixed paraffin embedded T. gondii infected mouse liver section with rat anti-F4/80 (cat. no. HS-397 017, 1:100, red) and rabbit anti-CD86 (cat. no. HS-466 003, 1:200, green). Nuclei have been visualized by DAPI staining (blue).

Massive infiltration of CD4+ T helper cells and, to a lesser extent, infiltration of CD8+ cytotoxic T cells into the T. gondii infected mouse liver is visualized by immunohistochemical staining of liver sections with the T cell markers CD3e (T cell lineage marker), CD4 (T helper cells) or CD8a (cytotoxic T cells) (Figure 6).

Immunohistochemical detection of T cell markers CD3e

Figure 6: Immunohistochemical detection of T cell markers CD3e (cat. no. HS-413 108, 1:100), CD4 (cat. no. HS-360 117, 1:100) and CD8a (cat. no. HS-361 003, 1:100) in formalin fixed paraffin embedded sections of a naïve mouse liver (top row) or a T. gondii infected mouse liver (bottom row).

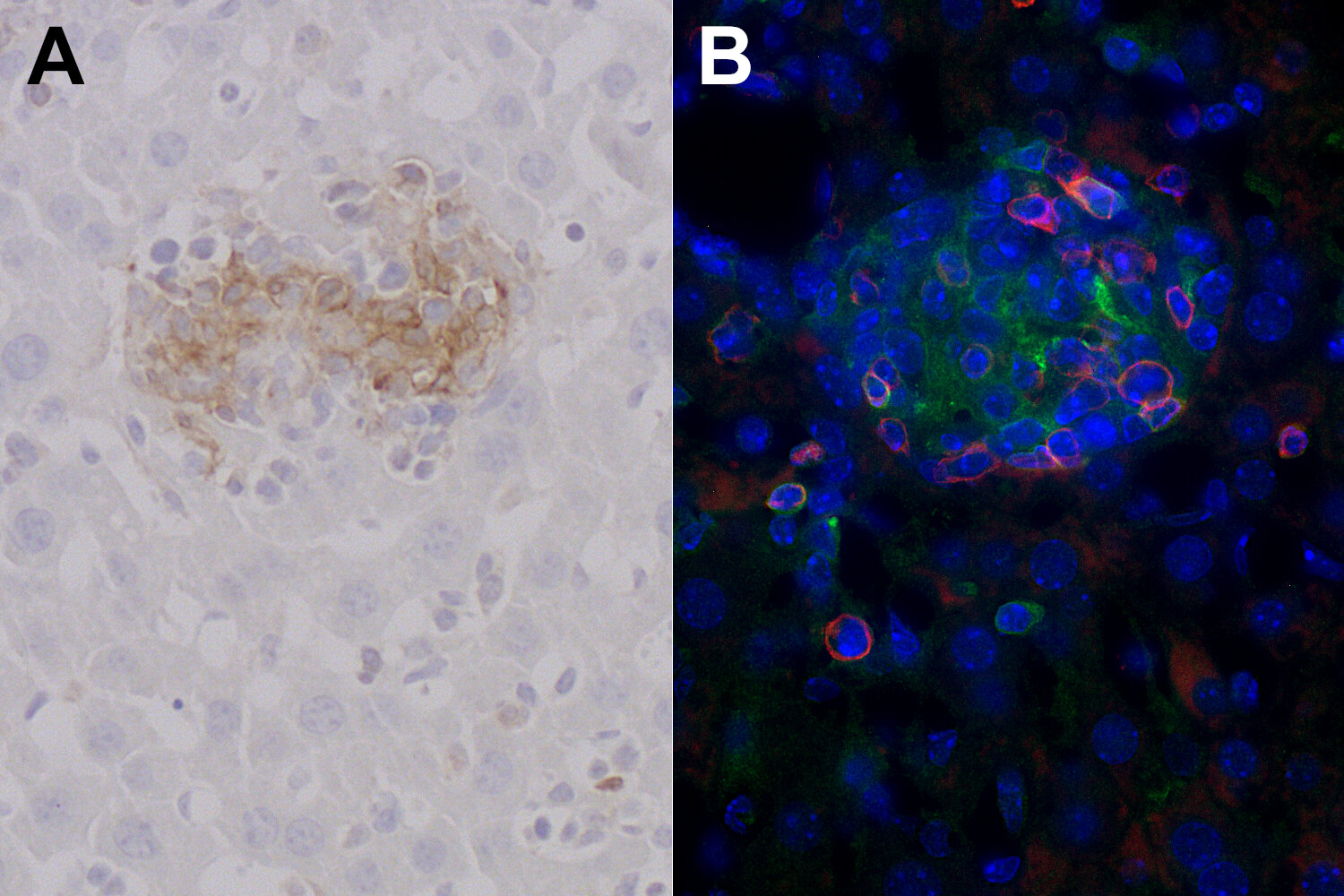
T cell immunity has been shown to be critical for survival of hosts infected with T. gondii. CD4+ T cells are important for early IFN-γ production. CD8+ T cells are considered the major effector cells against this parasite (Casciotti, 2002). Immunofluorescent double staining of a T. gondii infected mouse liver section with CD4 and CD86 shows that CD4+ T-helper cells get in close contact with CD86 positive APCs in mononuclear cell aggregates to form an immunological synapse (Figure 7).

Immunohistochemical detection of CD86

Figure 7: Immunohistochemical detection of CD86 (cat. no. HS-466 003, 1:400) in a formalin fixed paraffin embedded (FFPE) T. gondii infected mouse liver section revealing CD86 positive cells in cell aggregates. B: Indirect immunostaining of a formalin fixed paraffin embedded T. gondii infected mouse liver section with rat anti-CD4 (cat. no. HS-360 117, 1:100, red) and rabbit anti-CD86 (cat. no. HS-466 003, 1:200, green). Nuclei have been visualized by DAPI staining (blue).

The supramolecular organization of the contact site between T cells and APCs has been visualized for the first time in 1998 (Monks et al., 1998). Key molecules of the immunological synapse are not only capped at the interface, but are organized in distinct areas of the interface (Figure 8). These areas are termed supra-molecular activation complexes (SMACs) (reviewed in Huppa et al., 2003). The central region of the SMAC (cSMAC) is enriched in T cell receptors (TCRs) and costimulatory receptors (CD28, CTLA-4) on the T cell site and peptide-MHC (pMHC) and B7 ligands (CD86, CD80) on the APC site. The cSMAC is considered to be the site of signal termination and receptor recycling (Verboogen et al., 2016). Cell adhesion molecules such as ICAM-1 or the adhesion molecule leukocyte function-associated molecule-1 (LFA-1) localize in a ring-shaped structure surrounding the c-SMAC, referred to as the peripheral-SMAC (p-SMAC). These cell adhesion molecules provide the mechanical scaffold of the IS. Large molecules such as CD43 and CD45 are located in a more distal region named dSMAC. In the case of secretory synapses found in cytotoxic T cells and NK cells, the release of lytic granules occurs in an additional domain in the cSMAC: the secretory domain (Watanabe et al., 2018).

 
HistoSure, Bulls eye‘ monocentric structure of the immunological synapse between T-cells and APC

Figure 8: Bulls eye‘ monocentric structure of the immunological synapse between T-cells and APC

 

Products

Dear Customer,
thank you for your interest in our products. Our high-quality antibodies are featured in the DNA-PAINT Neuro-Imaging Kits, which are developed and distributed by Massive Photonics GmbH.

To ensure your request is handled efficiently, please use the provided input form to contact Massive Photonics directly.

With kind regards,
Your SYSY Antibodies Team


Cat. No. Product Description Application Quantity Price Cart
HS-384 117CD11b, rat, monoclonal, purified IgG IgG
mouse specific
WB IHC IHC-P (FFPE) IHC-Fr 200 µl$420.00
HS-413 108CD3e, rabbit, monoclonal, recombinant IgGrecombinant IgG
mouse specific
IHC IHC-P (FFPE) 100 µl$420.00
HS-360 117CD4, rat, monoclonal, purified IgG IgG
mouse specific
WB IHC IHC-P (FFPE) IHC-Fr 200 µl$420.00
HS-466 003CD86, rabbit, polyclonal, affinity purifiedaffinity
mouse specific
WB IHC IHC-P (FFPE) IHC-Fr 50 µg$375.00
HS-361 003CD8a, rabbit, polyclonal, affinity purifiedaffinity
mouse specific
WB IHC IHC-P (FFPE) IHC-Fr 200 µl$380.00
HS-442 017Chil3, rat, monoclonal, purified IgG IgG
mouse specific
WB ICC IHC IHC-P (FFPE) 100 µg$420.00
HS-397 008F4/80, rabbit, monoclonal, recombinant IgGrecombinant IgGWB IHC IHC-P (FFPE) 100 µl$420.00
HS-397 017F4/80, rat, monoclonal, purified IgG IgGWB IHC IHC-P (FFPE) IHC-Fr 200 µl$420.00
HS-234 017IBA1, rat, monoclonal, purified IgG IgGWB ICC IHC IHC-P (FFPE) 200 µl$420.00
Result count: 9
 

Author: Dr. Christel Bonnas
Scientific Director of HistoSure

Christel has a strong background in immunology and histopathology. She is responsible for antibody development, validation and quality control of our HistoSure product line.

 

Acknowledgment: We thank Dr. Henning Peter Düsedau from the Institute of Inflammation and Neurodegeneration, Health Campus Immunology, Infectiology and Inflammation, Otto-von-Guericke-University, Magdeburg, Germany, for providing us FFPE tissues from T. gondii infected and control mice.

 

Literature

Orange, 2008. Formation and function of the lytic NK-cell immunological synapse. PMID: 19172692

Collins et al., 2005. The B7 family of immune-regulatory ligands. PMID: 15960813

Dustin 2014. The immunological synapse. PMID: 25367977

Friedl et al., 2004. Diversity in immune-cell interactions: states and funtions of the immunological synapse.
PMID: 15450978

Mastio et al. 2020. Higher Incidence of B Cell Malignancies in Primary Immunodeficiencies: A Combination of Intrinsic Genomic Instability and Exocytosis Defects at the Immunological Synapse. PMID: 33240268

Kuokkanen et al., 2015. Molecular Control of B Cell Activation and Immunological Synapse Formation.
PMID: 25639463

Waldhauer et al., 2008: NK cells and cancer immunosurveillance. PMID: 18836474

Collins et al., 2005. The B7 family of immune-regulatory ligands. PMID: 15960813

Sansom et al., 2000. CD28, CTLA-4 and their ligands: who does what and to whom? PMID: 11012769

Brunner-Weinzierl et al., 2018: CTLA-4 and PD-1 Control of T-Cell Motility and Migration: Implications for Tumor Immunotherapy. PMID: 30542345

Halliday et al., 2020. CD86 Is a Selective CD28 Ligand Supporting FoxP3+ Regulatory T Cell Homeostasis in the Presence of High Levels of CTLA-4. PMID: 33363541

Thiel et al., 2010. Efficiency of T-cell costimulation by CD80 and CD86 cross-linking correlates with calcium entry. PMID: 19824921

Fernández-Escobar et al., 2021. In vivo and in vitro models show unexpected degrees of virulence among Toxoplasmose gondii type II and III isolates from sheep. PMID: 34112256

Fischer et al., 1999. Differential CD86/B7-2 expression and cytokine secretion induced by Toxoplasma gondii in macrophages from resistant or susceptible BALB H-2 congenic mice. PMID: 10221646

Casciotti et al., 2002. CD8+-T-Cell Immunity against Toxoplasma gondii Can Be Induced but Not Maintained in Mice Lacking Conventional CD4+ T Cells. PMID: 11796568

Monks et al., 1998. Three-dimensional segregation of supramolecular activation clusters in T cells. PMID: 9738502

Huppa et al., 2003: T-cell-antigen-recognition and the immunological synapse. PMID: 14647479

Verboogen et al. 2015. The dendritic cell side of the immunological synapse. PMID: 26741354

Watanabe et al., 2018. Expanding the Therapeutic Window for CAR T Cell Therapy in Solid Tumors: The Knowns and Unknowns of CAR T Cell Biology. PMID: 30416506

 

Certificates

ISO 9001 2015 Quality Management System and Green Lab Platinum certification level for sustaining laboratory processes.

Newsletter

Sign up for our newsletter and get the latest updates and news.
 

Please provide a valid E-Mail-Address
Please provide a valid First name
Please provide a valid Last name