Tailor-made Antibodies
and Tools for Life Science
Home | | | | | Technical Support

ICAM1 and VCAM1 - Central Mediators in Inflammatory Diseases

 

Overview

 

Introduction to Cell Adhesion Molecules (CAMs)

CAMs are transmembrane receptor proteins involved in binding cells to other cells or to the extracellular matrix (ECM). CAMs can be categorized into four main groups based on their structures: integrins, cadherins, selectins, and immunoglobulin superfamily cell adhesion molecules (IgCAMs) (Ruan et al., 2022).

  • Integrins are heterodimeric proteins composed of α and β subunits that mediate interactions between cells and the ECM (e.g., CD11b/ITGAM, CD11c/ITGAX).
  • Cadherins are calcium-dependent, single-pass transmembrane proteins that are characterized by an extracellular domain with multiple cadherin repeats. Classical cadherins have five extracellular cadherin (EC) repeats and are classified as type I or type II based on the structure of their binding site. Examples of type I cadherins are E-cadherin/cadherin 1, N-cadherin/cadherin 2, and P-cadherin/cadherin 3, while examples of type II cadherins include VE-cadherin/cadherin 5 and K-cadherin / cadherin 6. Non-classical cadherins have varying numbers of EC repeats (Sotomayor et al., 2015). 
  • Selectins are calcium-dependent single-chain transmembrane glycoproteins that bind to carbohydrates via lectin–glycan interactions (e.g., P-selectin, E-selectin). 
  • IgCAMs are defined by regions that have sequence similarities with Igs, termed the Ig domains (e.g., intercellular adhesion molecule 1 (ICAM1), neural cell adhesion molecule 1 (NCAM1), vascular cell adhesion molecule 1 (VCAM1), platelet endothelial cell adhesion molecule 1 (CD31/PECAM1)).

CAMs on vascular endothelial cells

Vascular endothelial cells express CAMs that are critical for vascular function, immune surveillance, and inflammation. Some CAMs, such as CD31/PECAM1, ICAM1, and ICAM2, are constitutively expressed, while others, such as VCAM1 and P-selectin, are expressed at very low levels or not at all in the basal state. CAMs are induced on endothelial cells when stimulated by proinflammatory cytokines (e.g., TNFα, IL-1β) or bacterial components (e.g., LPS). The degree of regulation can range from moderate, as with CD31 and ICAM2, to very strong, as with VCAM1 and ICAM1. Notably, the upregulation of ICAM1 and VCAM1 serves as a hallmark of endothelial dysfunction and is being explored as a potential biomarker for cardiovascular risk assessment (Kaur et al., 2022).
ICAM1 is primarily expressed on endothelial cells, immune cells, and epithelial cells (Bui et al., 2021). VCAM1 is mainly found on endothelial cells (Osborn et al., 1989). Under conditions of high inflammation and chronic disease, VCAM1 can also be expressed on the surfaces of other cells, including tissue macrophages, dendritic cells, bone marrow fibroblasts, myoblasts, oocytes, Kupffer cells, Sertoli cells, and cancer cells. ICAM1 and VCAM1 are important molecules involved in adhesion and transmigration of leukocytes across the vascular endothelium (Kong et al., 2018).

ICAM1 and VCAM1 in leukocyte extravasation

Schematic representation of leukocyte migration through the endothelial barrier. Transendothelial migration is highly controlled by various adhesion molecules. After capture, rolling and firm adhesion, leukocytes can either follow a paracellular or a transcellular route across the endothelial barrier.

Figure 1: Schematic representation of leukocyte migration through the endothelial barrier. Transendothelial migration is highly controlled by various adhesion molecules. After capture, rolling and firm adhesion, leukocytes can either follow a paracellular or a transcellular route across the endothelial barrier.

 

Leukocyte extravasation is a pivotal process in the inflammatory response as effective activation of both, the innate and adaptive immune system, requires leukocytes to exit the bloodstream and enter affected tissues. This multistep process involves sequential phases: initial capture, rolling along the endothelium, firm adhesion, and ultimately, transendothelial migration (TEM), which can occur via paracellular or transcellular routes (Sullivan and Muller, 2014, Salminen et al., 2020).

  1. Capture and rolling: P-selectin and E-selectin on endothelial cells bind to leukocytes to mediate the initial tethering and rolling along the vascular wall.
  2. Firm adhesion: ICAM1 and VCAM1 bind integrins on the leukocytes. ICAM1 is involved in the firm adhesion of leukocytes to the apical surface of endothelia through interactions with Lymphocyte Function-Associated Antigen 1 (LFA-1, heterodimer consisting of CD11a and CD18), and Macrophage-1 Antigen (Mac-1, heterodimer consisting of CD11b and CD18). VCAM1 is involved in the firm adhesion of monocytes via binding Very Late Antigen-4 (VLA-4, heterodimer consisting of CD49d and CD26). 
  3. Paracellular TEM: Stimulation of ICAM1 leads to phosphorylation of VE-cadherin, loosening of junctions and increased endothelial permeability.
  4. Transcellular TEM: PECAM1 and CD99 engage in homophilic interactions between leukocytes and endothelial cells. These interactions trigger membrane mobilization from the LBRC (lateral border recycling compartment) to envelop the migrating leukocyte, facilitating transmigration.

VCAM1 and ICAM1 in disease

Inflammatory cytokines, including TNFα, IL-1β, and IFNγ, strongly upregulate the expression of ICAM1 and VCAM1, not just on endothelial cells, but also on other cell types, e.g., fibroblasts and inflammatory macrophages (Hosokawa et al., 2006, Wiesolek et al., 2020). Elevated ICAM1 and VCAM1 expression levels are found, for example, on liver sinusoidal endothelial cells and in multifocal mononuclear cell aggregations in the liver of a mouse infected with Toxoplasma (T.) gondii (Figure 2).

Indirect immunostaining of formalin fixed paraffin embedded (FFPE) mouse liver sections of a non-infected mouse (A) and a T. gondii-infected mouse (B) with rabbit anti-ICAM1 antibody (cat. no. HS-532 003, dilution 1:500, red) and guinea pig anti-VCAM1 antibody (cat. no. HS-470 004, dilution 1:500, green). Nuclei have been visualized by DAPI staining (blue).

Figure 2: Elevated ICAM1 and VCAM1 levels on liver sinusoid endothelial cells and in multifocal mononuclear cell aggregations in the liver of a mouse infected with T. gondii. Indirect immunostaining of formalin fixed paraffin embedded (FFPE) mouse liver sections of a non-infected mouse (A) and a T. gondii-infected mouse (B) with rabbit anti-ICAM1 antibody (cat. no. HS-532 003, dilution 1:500, red) and guinea pig anti-VCAM1 antibody (cat. no. HS-470 004, dilution 1:500, green). Nuclei have been visualized by DAPI staining (blue).

 

Unsurprisingly, both molecules are implicated in the development and progression of numerous inflammatory and degenerative conditions. ICAM1 regulates a wide array of cellular functions, including T cell activation, macrophage polarization, production of reactive oxygen species (ROS), and directed cell migration. Dysregulated ICAM1 signaling has been linked to cancer, sepsis, multiple sclerosis, and cardiovascular diseases (Haydinger et al., 2023, Kaur et al., 2022). ICAM1 also acts as a receptor for certain proteins of Plasmodium falciparum and Toxoplasma gondii (Haydinger et al., 2023). Its expression on tumor cells positions ICAM1 as a compelling target for cancer therapies (Guo et al., 2014, Min et al., 2017). VCAM1 has also been linked to various pathological conditions, such as rheumatoid arthritis, asthma, transplant rejection, and different types of cancer (Kong et al., 2018). Therefore, VCAM1 is a promising therapeutic target for autoimmune and cancerous pathologies (Pickett et al., 2023, Pickett et al., 2025).

Central nervous system involvement

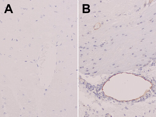
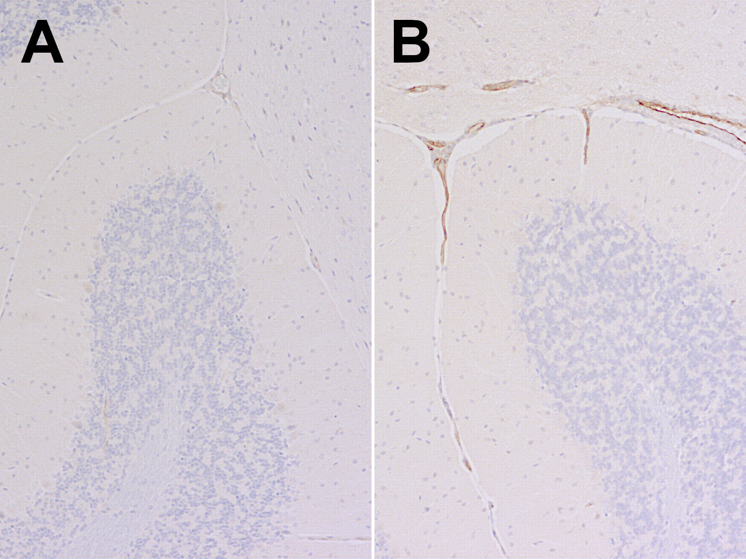
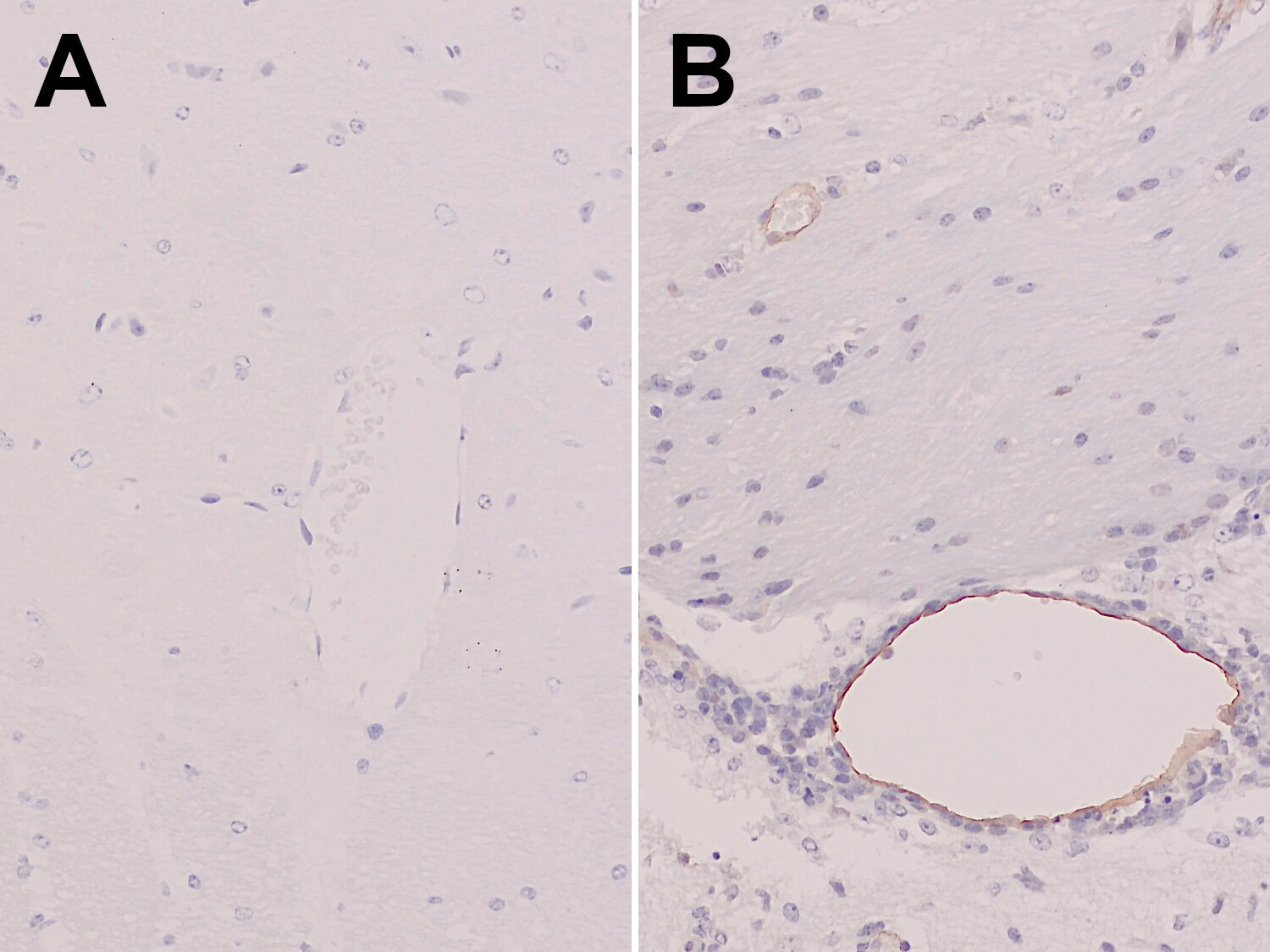
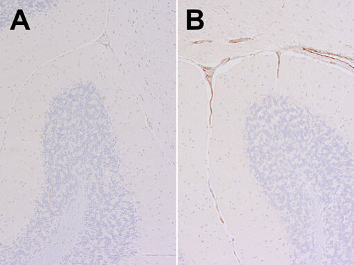
In the central nervous system (CNS), ICAM1 and VCAM1 are critical mediators of neuroinflammation and play a central role in modulating the permeability of the blood–brain barrier (BBB). ICAM1 is prominently expressed on reactive astrocytes and endothelial cells within the BBB, contributing to the development and progression of various neurodegenerative disorders. Likewise, VCAM1 is upregulated on the vascular endothelium of the brain under inflammatory conditions. Notably, elevated expression of both ICAM1 and VCAM1 has been observed in the cerebral vasculature of mice infected with SARS-CoV2 and Toxoplasma gondii (Yang et al., 2022, Silva et al., 2010) (Figures 3 and 4).

Indirect immunostaining of formalin fixed paraffin embedded (FFPE) mouse brain sections of a non-infected mouse (A) and a SARS-CoV2 infected mouse (B) with rabbit anti-ICAM1 antibody (cat. no. HS-532 003, dilution 1:1000, DAB, brown). Nuclei have been visualized by hematoxylin staining (blue).
Indirect immunostaining of formalin fixed paraffin embedded (FFPE) mouse brain (cerebellum) sections of a non-infected mouse (A) and a SARS-CoV2 infected mouse (B) with guinea pig anti-VCAM1 antibody (cat. no. HS-470 004, dilution 1:750, DAB, brown). Nuclei have been visualized by hematoxylin staining (blue).

Figure 3: Indirect immunostaining of formalin fixed paraffin embedded (FFPE) mouse brain sections of a non-infected mouse (A) and a SARS-CoV2 infected mouse (B) with rabbit anti-ICAM1 antibody (cat. no. HS-532 003, dilution 1:1000, DAB, brown). Nuclei have been visualized by hematoxylin staining (blue).

Courtesy:
The mice were housed and infected at the Helmholtz Center for Infection Research by the group of Prof. Čičin-Šain. As previously described, mice show a strong infection in the brain (McCray Jr, 2007).

Figure 4: Indirect immunostaining of formalin fixed paraffin embedded (FFPE) mouse brain (cerebellum) sections of a non-infected mouse (A) and a SARS-CoV2 infected mouse (B) with guinea pig anti-VCAM1 antibody (cat. no. HS-470 004, dilution 1:750, DAB, brown). Nuclei have been visualized by hematoxylin staining (blue).

Courtesy:
The mice were housed and infected at the Helmholtz Center for Infection Research by the group of Prof. Čičin-Šain. As previously described, mice show a strong infection in the brain (McCray Jr, 2007).

 

Emerging research has identified a link between ICAM1 and ferroptosis—a regulated form of cell death driven by iron-dependent lipid peroxidation—which is increasingly recognized as a contributing factor in the pathogenesis of Parkinson’s disease (PD). Elevated ICAM1 expression has also been reported in cases of late-life depression, underscoring its broader role in neuropsychiatric disorders (Miller et al., 2024). Similarly, increased levels of VCAM1 have been detected in the serum and plasma of individuals with PD (Zheng et al., 2022). Moreover, VCAM1 expression in endothelial cells adjacent to early brain metastases (BM) points to its potential involvement in BM progression and highlights it as a candidate for targeted therapeutic strategies (Corroyer-Dulmon et al., 2020).

Soluble forms and clinical implications

ICAM1 and VCAM1 are present not only in their membrane-bound forms but also as soluble isoforms—sICAM1 and sVCAM1—produced through proteolytic cleavage. Notably, sVCAM1 has been shown to directly compromise the integrity of the blood–brain barrier (BBB) (Haarmann et al., 2015). The soluble forms of these adhesion molecules are currently being explored as promising biomarkers for systemic inflammation, vascular injury, and BBB disruption (Videm and Albrigtsen, 2008, Varona et al., 2019, Uzawa et al., 2011). Furthermore, elevated levels of sICAM1 and sVCAM1 have been associated with various neuropsychiatric disorders (Meixensberger et al., 2021).

Conclusion

ICAM1 and VCAM1 play central roles in orchestrating inflammatory responses and are potential therapeutic targets and biomarkers in diseases such as cardiovascular conditions, Parkinson’s disease, and depression.

 

Products

Dear Customer,
thank you for your interest in our products. Our high-quality antibodies are featured in the DNA-PAINT Neuro-Imaging Kits, which are developed and distributed by Massive Photonics GmbH.

To ensure your request is handled efficiently, please use the provided input form to contact Massive Photonics directly.

With kind regards,
Your SYSY Antibodies Team


Cat. No. Product Description Application Quantity Price Cart
HS-532 003
ICAM1, rabbit, polyclonal, affinity purifiedaffinity WB IHC IHC-P (FFPE) 50 µg$375.00
HS-470 003
VCAM1, rabbit, polyclonal, affinity purifiedaffinity
mouse specific
IHC IHC-P (FFPE) 50 µg$375.00
HS-470 004
VCAM1, Guinea pig, polyclonal, antiserumantiserum
mouse specific
WB IHC IHC-P (FFPE) 100 µl$355.00
Result count: 3
 

Author: Dr. Christel Bonnas
Scientific Director of HistoSure

Christel has a strong background in immunology and histopathology. She is responsible for antibody development, validation and quality control of our HistoSure product line.

 

Literature

Bui et al., 2021. ICAM-1: A master regulator of cellular responses in inflammation, injury resolution, and tumorigenesis. PMID: 32182390

Corroyer-Dulmon et al., 2020. VCAM-1 targeted alpha-particle therapy for early brain metastases. PMID: 31538194

Guo et al., 2014. ICAM-1 as a molecular target for triple negative breast cancer. PMID: 25267626

Haarmann et al., 2015. Soluble VCAM‑1 impairs human brain endothelial barrier integrity via integrin α‑4‑transduced outside‑in signalling. PMID: 25814153

Haydinger et al., 2023. Intercellular Adhesion Molecule 1: More than a Leukocyte Adhesion Molecule. PMID: 37237555

Hosokawa et al., 2006. Cytokines differentially regulate ICAM-1 and VCAM-1 expression on human gingival fibroblasts. PMID: 16734619

Kaur et al., 2022. Novel insights on the role of VCAM-1 and ICAM-1: Potential biomarkers for cardiovascular diseases. PMID: 36408439

Kong et al., 2018. Emerging Roles of Vascular Cell Adhesion Molecule-1 (VCAM-1) in Immunological Disorders and Cancer. PMID: 29614819

McCray Jr et al., 2007. Lethal infection in K18-hACE2 mice infected with SARS-CoV. PMID: 17079315

Meixensberger et al., 2021. Upregulation of sICAM-1 and sVCAM-1 Levels in the Cerebrospinal Fluid of Patients with Schizophrenia Spectrum Disorders. PMID: 34206599

Miller et al., 2024. Intercellular Adhesion Molecule 1 (ICAM-1): An Inflammatory Regulator with Potential Implications in Ferroptosis and Parkinson’s Disease. PMID: 39329738

Min et al., 2017. CAR T Therapy Targeting ICAM-1 Eliminates Advanced Human Thyroid Tumors. PMID: 29025766

Osborn et al., 1989. Direct expression cloning of vascular cell adhesion molecule 1, a cytokine-induced endothelial protein that binds to lymphocytes. PMID: 2688898

Pickett et al., 2023. Targeting endothelial vascular cell adhesion molecule-1 in atherosclerosis: drug discovery and development of vascular cell adhesion molecule-1-directed novel therapeutics. PMID: 37595265

Pickett et al., 2025. VCAM-1 as a common biomarker in inflammatory bowel disease and colorectal cancer: unveiling the dual anti-inflammatory and anti-cancer capacities of anti-VCAM-1 therapies. PMID: 40095109

Ruan et al., 2022. Mechanisms of Cell Adhesion Molecules in Endocrine-Related Cancers: A Concise Outlook. PMID: 35464064

Salminen et al., 2020. In vitro Studies of Transendothelial Migration for Biological and Drug Discovery. PMID: 35047883

Silva et al., 2010. Toxoplasma gondii: The severity of toxoplasmic encephalitis in C57BL/6 mice is associated with increased ALCAM and VCAM-1 expression in the central nervous system and higher blood–brain barrier permeability. PMID: 20434443

Sotomayor et al., 2015. Sorting Out a Promiscuous Superfamily: Towards Cadherin Connectomics. PMID: 24794279

Sullivan and Muller, 2014. Neutrophil and Monocyte Leukocyte recruitment by PECAM, CD99 and other molecules via the LBRC. PMID: 24337626

Uzawa et al., 2011. Markedly Elevated Soluble Intercellular Adhesion Molecule 1, Soluble Vascular Cell Adhesion Molecule 1 Levels, and Blood-Brain Barrier Breakdown in Neuromyelitis Optica. PMID: 21747031

Varona et al., 2019. Soluble ICAM 1 and VCAM 1 Blood Levels Alert on Subclinical Atherosclerosis in Non Smokers with Asymptomatic Metabolic Syndrome. PMID: 31349950

Videm and Albrigtsen, 2008. Soluble ICAM-1 and VCAM-1 as Markers of Endothelial Activation. PMID: 18363595

Wiesolek et al., 2020. Intercellular Adhesion Molecule 1 Functions as an Efferocytosis Receptor in Inflammatory Macrophages. PMID: 32035057

Yang et al., 2022. SARS-CoV-2 productively infects human brain microvascular endothelial cells. PMID: 35705998

Zheng et al., 2022. Increased PRR14 and VCAM-1 level in serum of patients with Parkinson's disease. PMID: 36247752

 

Certificates

ISO 9001 2015 Quality Management System and Green Lab Platinum certification level for sustaining laboratory processes.

Newsletter

Sign up for our newsletter and get the latest updates and news.
 

Please provide a valid E-Mail-Address
Please provide a valid First name
Please provide a valid Last name