Tailor-made Antibodies
and Tools for Life Science
Home | | | | | Technical Support

ICAM1 (CD54) antibody - HS-532 003

ICAM1 is a cell adhesion protein of the immunoglobulin superfamily
Rabbit polyclonal purified antibody
Cat. No.: HS-532 003
Amount: 50 µg
Price: $375.00
Cat. No. HS-532 003 50 µg specific antibody, lyophilized. Affinity purified with the immunogen. Albumin and azide were added for stabilization. For reconstitution add 50 µl H2O to get a 1mg/ml solution in PBS. Then aliquot and store at -20°C to -80°C until use.
Antibodies should be stored at +4°C when still lyophilized. Do not freeze!
Applications
 
WB: 1 : 1000 (AP staining) gallery  
IP: not tested yet
ICC: not tested yet
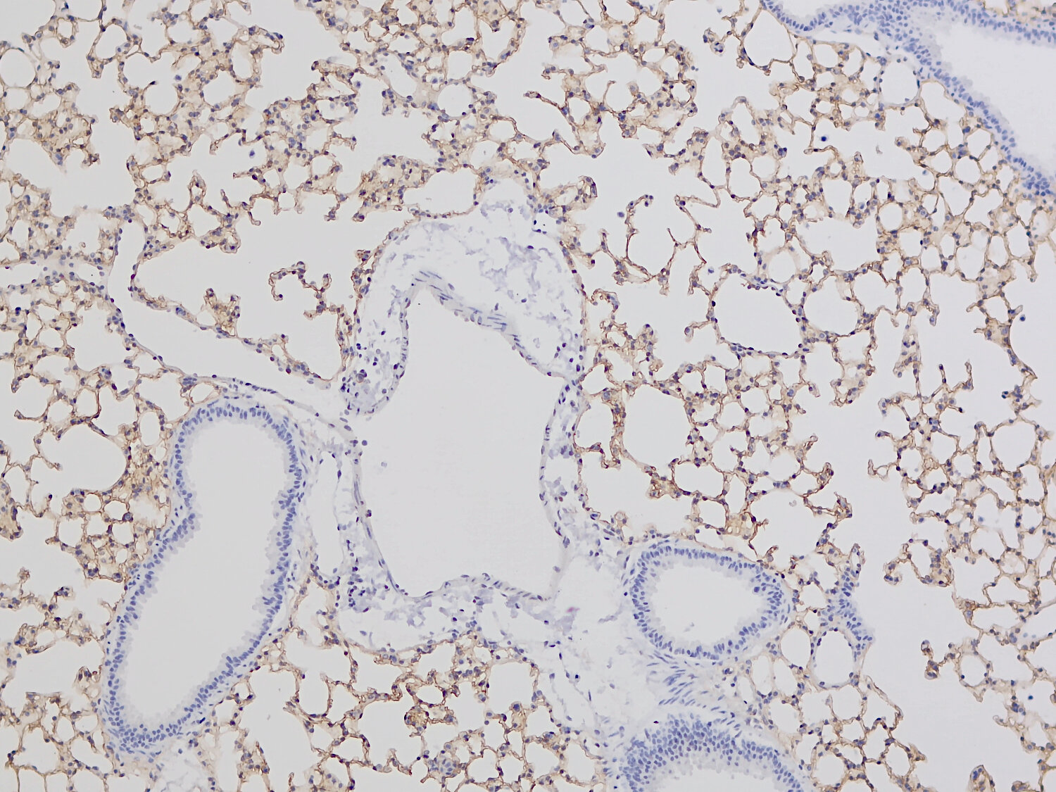
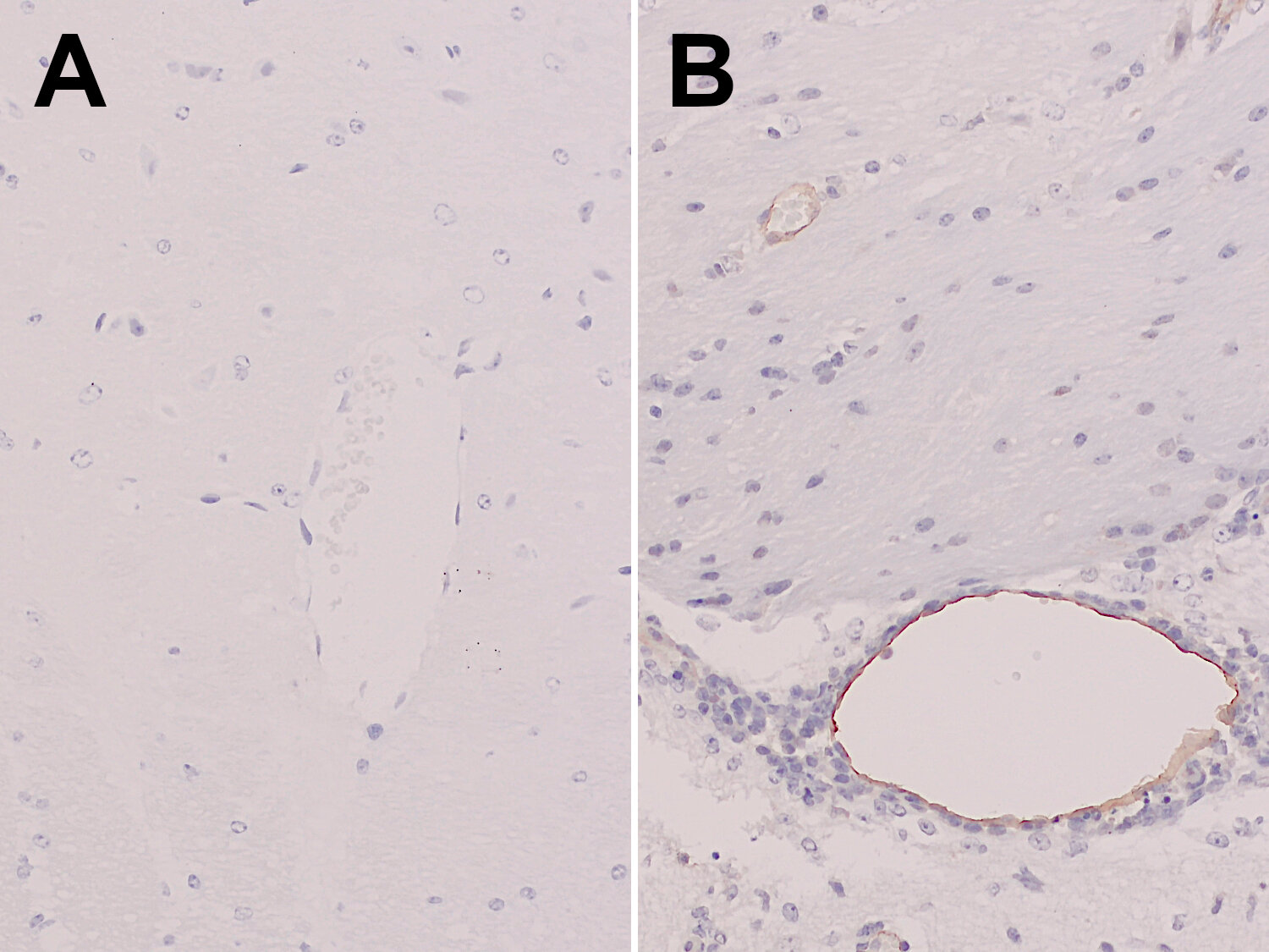
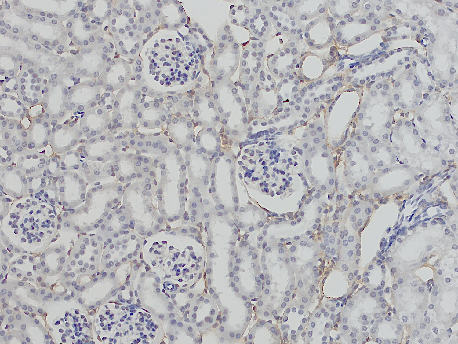
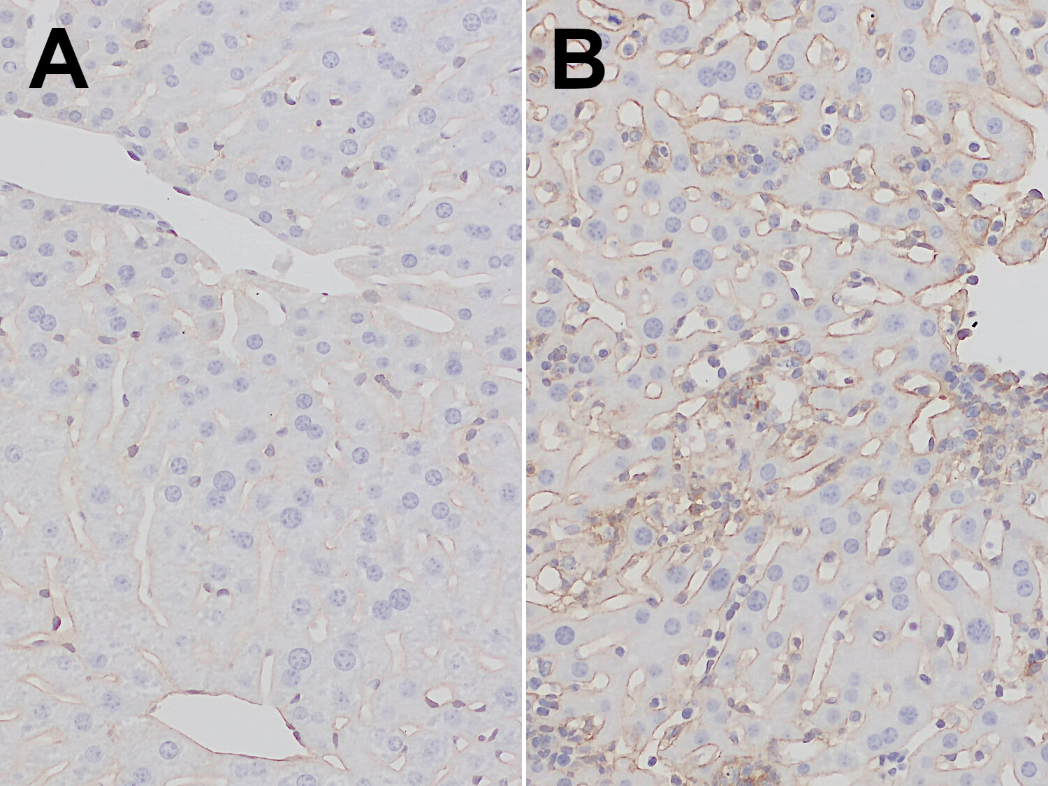
IHC: 1 : 500 (see remarks) gallery  
IHC-P: 1 : 400 up to 1 : 1000 gallery  

Western blot (WB); separation of proteins by PAGE and subsequent transfer to a membrane. Detection of target molecules is carried out with antibodies. Some antibodies require special sample preparation steps. For details, please refer to the “Remarks” section.

Immunoprecipitation (IP); Immunoisolation or pulldown of a target molecule using an antibody. For details and product specific hints, please refer to the ”Remarks” section.

Immunocytochemistry (ICC) on 4% PFA fixed cells. Immunoreactivity is usually revealed by fluorescence. Some antibodies require special fixation methods. For details, please refer to the “Remarks” section.

Immunohistochemistry (IHC) on 4% PFA perfusion fixed tissue with 24h PFA post fixation. Immunoreactivity is usually revealed by fluorescence or a chromogenic substrate. Some antibodies require special fixation methods or antigen retrieval steps. For details, please refer to the ”Remarks” section.

Immunohistochemistry (IHC-P) of formalin fixed, paraffin embedded (FFPE) tissue (some antibodies require special antigen retrieval steps, please refer to the ”Remarks” section). Immunoreactivity is usually revealed by fluorescence or a chromogenic substrate.

Immunogen Synthetic peptide corresponding to residues near the carboxy terminus of mouse ICAM1 (UniProt Id: P13597)
Reactivity Reacts with: mouse (P13597).
Weaker signal: rat (Q00238).
No signal: human (P05362).
Other species not tested yet.
Remarks

IHC: Antigen retrieval with citrate buffer pH 6 is required.

Data sheet hs-532_003.pdf
Important information
This product belongs to the HistoSure product line of antibodies developed for and extensively tested in FFPE tissues.
For more information please visit our HistoSure brand website.
Cat. No.: HS-532 003
Amount: 50 µg
Price: $375.00

ICAM1 is constitutively expressed on alveolar epithelial cells (red) of the mouse lung, among which are embedded LAMP3-positive pneumocytes II (green).

Background

Intercellular Adhesion Molecule 1 (ICAM1), also known as CD54 and referred to as MALA-2 in mice (1), is a transmembrane glycoprotein belonging to the immunoglobulin superfamily. It is expressed at low levels under physiological conditions on endothelial, epithelial, and immune cells. However, its expression is markedly upregulated in response to pro-inflammatory cytokines such as TNFα, IL-1β, and IFNγ (2). ICAM1 is best known for its critical role in leukocyte transmigration across the vascular endothelium into sites of inflammation. This process primarily depends on its interaction with leukocyte counterreceptors, namely lymphocyte function-associated antigen-1 (LFA-1) and macrophage antigen-1 (Mac-1) (3). 
Beyond facilitating leukocyte trafficking, ICAM1 also serves as an efferocytosis receptor in inflammatory macrophages (4) and contributes to the formation of immune synapses (5). 
Upon endothelial activation, ICAM1 expression is strongly induced, and a soluble form (sICAM1) is released because of proteolytic cleavage (6). Elevated levels of sICAM1 have been detected in the sera of patients with various types of cancer and are associated with poor prognostic outcomes (7).