Cytokeratin 7 (CK7) Scoring in Patient-Derived Lung Xenografts

 

Overview

CK7 as a biomarker in cancer

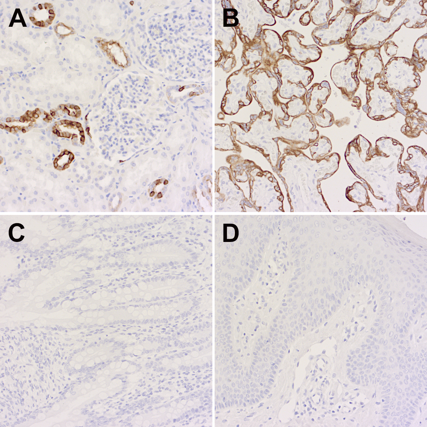
Keratins are intermediate filaments of epithelial cells that have multiple functions in anti-apoptosis, protein synthesis, wound healing as well as in the polarization of epithelial cells and signal transduction (Pastuszak et al., 2015). Cytokeratin 7 (CK7) is a type II keratin expressed in simple and glandular epithelia and in specialized cells of mesenchymal organs. In healthy tissues, CK7 immunostaining is detected for example on collecting ducts and scattered epithelial cells in the Bowman capsule of the kidney (Figure 1A) and in epithelial cells of the placenta (Figure 1B), whereas CK7 immunostaining is absent in small intestinal mucosa (Figure 1C) and in keratinizing squamous epithelia of the skin (Figure 1D) (Dum et al., 2022).

Immunohistochemical staining of formalin-fixed paraffin-embedded (FFPE) sections

Figure 1: Immunohistochemical staining of formalin fixed paraffin embedded (FFPE) sections of A human kidney, B human placenta, C human small intestine and D human skin with rabbit anti-Cytokeratin 7 (cat. no. HS-454 008, 1:1000, DAB). Nuclei were counterstained with hematoxylin (blue).

 

CK7, along with cytokeratin 20 (CK20), is one of the most commonly used diagnostic antibodies for the determination of the origin of metastatic cancer tissues (Dum et al., 2022). CK7 and CK20 expression can be used as clinical parameters for the prognosis of different types of cancer. CK7 is usually negative in prostate and colorectal cancer, while CK7 positivity is indicative of urothelial origin or mucinous ovarian cancer. Aberrant expression of CK7 is associated with unfavorable tumor behavior. For example, Dum et al. (2022) correlated detectable expression of CK7 to unfavorable features in adenocarcinomas of the stomach, derived from CK7 negative precursor cells. In contrast, low expression of CK7 was linked to unfavorable features in breast cancer of no special type (NST) and urothelial carcinomas, both derived from CK7 positive precursor cells. In human lung cancer, CK7 positivity depends on the histological subtype (Johansson, 2004). Positive CK7 expression may be an independent clinical parameter for poor prognosis of lung cancer patients (Luo et al., 2017).
 

CK7 scoring in patient-derived lung xenografts

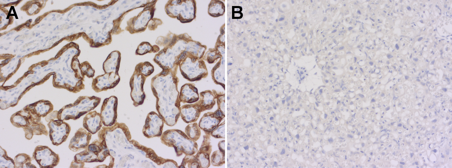
In order to analyze CK7 expression in tumor cells of xenograft models, it is important to distinguish between endogenous murine CK7 and CK7 expressed by human tumor cells. HistoSure anti-human Cytokeratin 7 antibodies discriminate between human and mouse CK7 (Figure 2).

 Immunohistochemical staining of CK7 using a human-specific anti-Cytokeratin 7 antibody

Figure 2: Immunohistochemical staining of CK7 using a human-specific anti-Cytokeratin 7 antibody (cat. no. HS-454 017, dilution 1:100, DAB). A Human CK7 expression is detected in a FFPE human placenta section. B Mouse CK7 expression cannot be detected in a mouse FFPE placenta section. Nuclei have been counterstained with haematoxylin (blue).

 

A tissue microarray (TMA) containing 61 annotated patient-derived lung xenograft (PDX) cores was kindly provided by Charles River Laboratories (Freiburg, Germany) and stained using an anti-human Cytokeratin 7 (HS-454 017) antibody on an automated staining platform. Lung cancer xenografts were divided into two types: small cell lung cancer (SCLC; 6/61) and non-small cell lung cancer (NSCLC; 50/61). The latter were further subdivided into NSCLC adenocarcinoma subtype (25/61), NSCLC epidermoid subtype (20/61), and NSCLC large cell subtype (10/61). The CK7 expression level was scored between 0 and 3+ according to staining intensity and percentage of positive cells (Figure 3; Table 1).
 

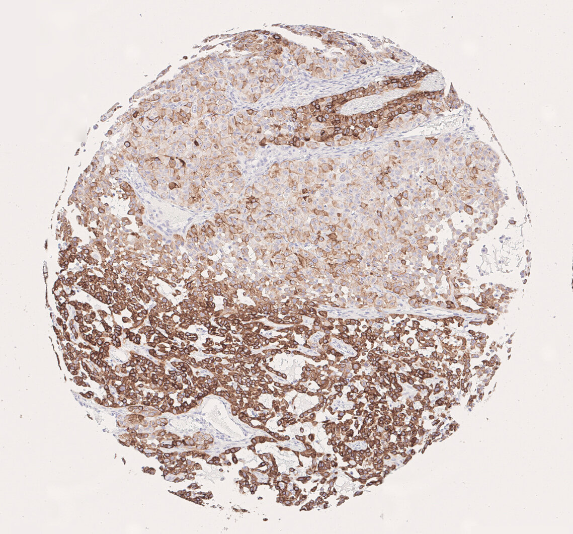
Classification of CK7 status in lung PDX from 0 (negative) to 3+ (very strong expression). 

Figure 3: Classification of CK7 status in lung PDX from 0 (negative) to 3+ (very strong expression). 

 

Classification of CK7 staining score

CK7 staining score Scoring criteria
0

Negative or <1% positive cells

0.5+

Weak staining in all cells (or more than 2/3)
Or a mix of negative cells and <20% strongly positive cells

1+

Moderate staining in all cells (or more than 2/3) 
Or mix of negative and minimum 20% positive cells showing strong staining

1.5+ Mix of cells showing moderate staining and 1/3 to 2/3 of cells showing strong staining
2+

Strong staining in all cells (or more than 2/3)

2.5+ Mix of cells showing strong staining and 1/3 to 2/3 of cells showing very strong staining
3+ Very strong staining in all cells (or more than 2/3)

 

 

All SCLC PDX were either negative (5/6) for CK7 or showed only very weak expression (1/6). In contrast, NSCLC PDX of type adenocarcinoma were mostly CK7 positive, with only 3/25 stained negative. 12/25 showed moderate to strong (staining score 1.5 - 2) or even very strong (staining score 2.5 - 3) CK7 expression. NSCLC PDX of type epidermoid were mostly CK7 negative (14/20), and only one specimen showed very strong expression (staining score 2.5). Large cell subtype NSCLC showed more heterogeneous CK7 expression with 4/10 negative specimens and 2/10 specimens with very strong CK7 expression. On average, NSCLC PDX of type adenocarcinoma showed the highest CK7 expression (mean score = 1.7) and SCLC PDX showed the lowest CK7 expression (mean score = 0.1) (Figure 4). 

A Diagramm of mean CK7 staining scores of PDX subtypes

Figure 4: Mean CK7 staining scores of PDX subtypes. The CK7 expression level was scored between 0 and 3 according to staining intensity and percentage of positive cells. The highest CK7 expression correlated to NSCLC, adenocarcinoma subtype, and the lowest CK7 expression correlated to SCLC.

 

We then compared expression levels of CK7 by RNA sequencing and by immunohistochemistry. Human CK7 gene expression was evaluated by Charles River in PDX tumor tissues. RNA seq scores ranged from 0 to 12.2. RNA seq scores < 7.2 were translated into CK7 staining scores of 0 (Figure 5). RNA seq scores > 8.4 were usually translated into CK7 staining scores of ≥ 1. PDX with RNA scores > ~10 showed highly variable CK7 staining scores ranging from 1 to 3.

A dot-diagramm of correlation of RNAseq scores to CK7 staining scores in different lung cancer subtypes

Figure 5: Correlation of RNAseq scores to CK7 staining scores in different lung cancer subtypes. Samples with high RNAseq scores showed moderate to high CK7 expression in IHC-P. Samples with low RNAseq scores showed no CK7 expression in IHC-P.

 

In summary, RNAseq scores and CK7 staining stores yielded comparable results in the present study. High RNAseq scores correlated with medium to high CK7 expression scores in IHC-P. In addition, CK7 expression analysis using immunohistochemistry visualizes tumor heterogeneity. This spatial information is lost in RNAseq. (Figure 6).

CK7 immunohistochemistry visualizes tumor heterogeneity in NSCLC adenocarcinoma subtype in a brownish color

Figure 6: CK7 immunohistochemistry visualizes tumor heterogeneity in NSCLC adenocarcinoma subtype.

 

Product

Dear Customer,
thank you for your interest in our products. Our high-quality antibodies are featured in the DNA-PAINT Neuro-Imaging Kits, which are developed and distributed by Massive Photonics GmbH.

To ensure your request is handled efficiently, please use the provided input form to contact Massive Photonics directly.

With kind regards,
Your SYSY Antibodies Team


Cat. No. Product Description Application Quantity Price Cart
HS-454 008Cytokeratin7, rabbit, monoclonal, recombinant IgGrecombinant IgG
human specific
WB ICC IHC IHC-P (FFPE) 100 µl$420.00
HS-454 017Cytokeratin7, rat, monoclonal, purified IgG IgG
human specific
WB ICC IHC-P (FFPE) 200 µl$420.00
Result count: 2
 

Author: Dr. Christel Bonnas
Scientific Director of HistoSure

Christel has a strong background in immunology and histopathology. She is responsible for antibody development, validation and quality control of our HistoSure product line.

 

Literature

Pastuszak et al., 2015. Cytokeratins in gastroenterology. Systematic review. PMID: 26557935

Dum et al., 2022: Cytokeratin 7 and cytokeratin 20 expression in cancer: A tissue microarray study on 15,424 cancers. PMID: 35390310

Johannson, 2004. Histopathologic Classification of Lung Cancer: Relevance of Cytokeratin and TTF-1 Immunophenotyping. PMID: 15494931

Luo et al., 2017. Identification of relevant prognostic values of cytokeratin 20 and cytokeratin 7 expressions in lung cancer. PMID: 28827446

Certificates

ISO 9001 2015 Quality Management System and Green Lab Platinum certification level for sustaining laboratory processes.

Newsletter

Sign up for our newsletter and get the latest updates and news.
 

Please provide a valid E-Mail-Address
Please provide a valid First name
Please provide a valid Last name