Tailor-made Antibodies
and Tools for Life Science
Home | | | | | Technical Support

c-Fos antibody - 226 017

c-Fos is a member of the transcription factor complex AP1
Rat monoclonal purified IgG
Cat. No.: 226 017
Amount: 100 µg
Price: $430.00
Cat. No. 226 017 100 µg purified IgG, lyophilized. Albumin and azide were added for stabilization. For reconstitution add 100 µl H2O to get a 1mg/ml solution in PBS. Then aliquot and store at -20°C to -80°C until use.
Antibodies should be stored at +4°C when still lyophilized. Do not freeze!
Applications
 
WB: 1 : 1000 (AP staining) gallery  
IP: not tested yet
ICC: 1 : 500 up to 1 : 1000 gallery  
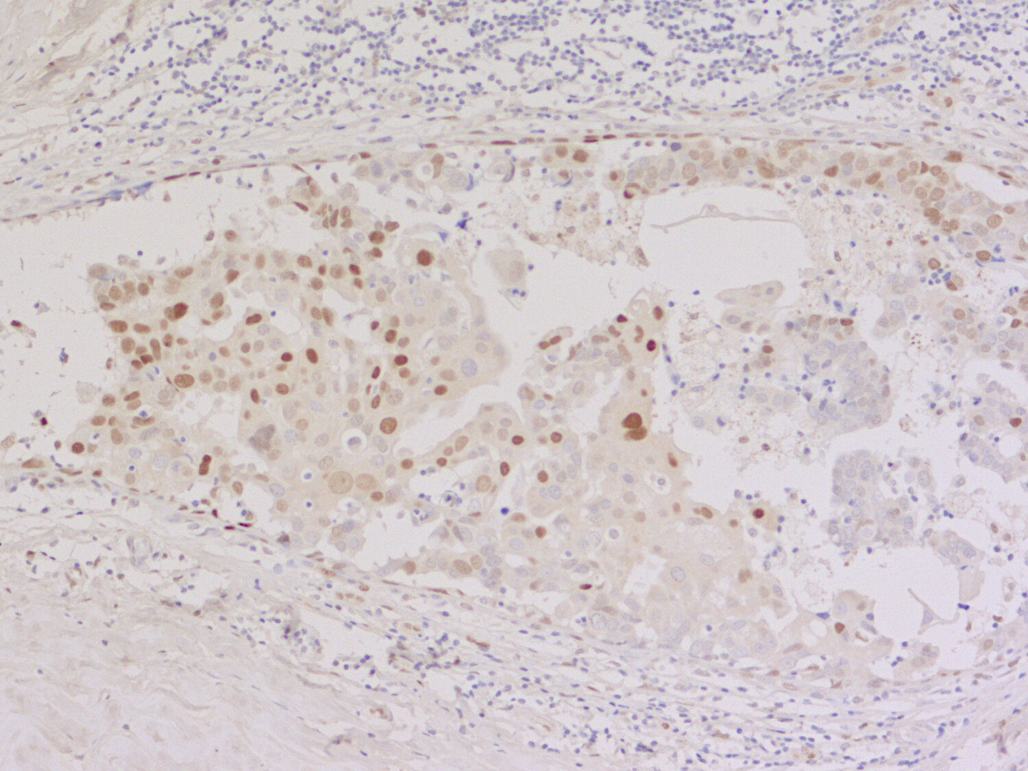
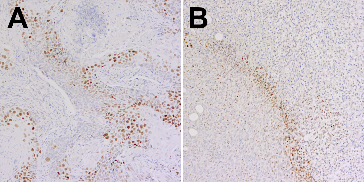
IHC: 1 : 1000 up to 1 : 5000 (see remarks) gallery  
IHC-P: 1 : 100 up to 1 : 200 gallery  
iDISCO: external data (see remarks)
FACS: yes gallery  

Western blot (WB); separation of proteins by PAGE and subsequent transfer to a membrane. Detection of target molecules is carried out with antibodies. Some antibodies require special sample preparation steps. For details, please refer to the “Remarks” section.

Immunoprecipitation (IP); Immunoisolation or pulldown of a target molecule using an antibody. For details and product specific hints, please refer to the ”Remarks” section.

Immunocytochemistry (ICC) on 4% PFA fixed cells. Immunoreactivity is usually revealed by fluorescence. Some antibodies require special fixation methods. For details, please refer to the “Remarks” section.

Immunohistochemistry (IHC) on 4% PFA perfusion fixed tissue with 24h PFA post fixation. Immunoreactivity is usually revealed by fluorescence or a chromogenic substrate. Some antibodies require special fixation methods or antigen retrieval steps. For details, please refer to the ”Remarks” section.

Immunohistochemistry (IHC-P) of formalin fixed, paraffin embedded (FFPE) tissue (some antibodies require special antigen retrieval steps, please refer to the ”Remarks” section). Immunoreactivity is usually revealed by fluorescence or a chromogenic substrate.

iDISCO is a fast and cost-effective sample preparation method for clearing, immunolabeling and volume imaging of large biological samples. The clearing is carried out by benzyl-ether treatment. For additional experimental details, please refer to the „Remarks“ section or visit https://idisco.info.

Fluorescence-activated cell sorting (FACS); usually cells are fluorescently labeled with antibodies against cell-surface antigens followed by cell-sorter analysis.

Clone 108B5H5
Subtype IgG2a (κ light chain)
Immunogen Synthetic peptide corresponding to residues near the amino terminus of rat c-Fos (UniProt Id: P12841)
Reactivity Reacts with: mouse (P01101), rat (P12841), human (P01100).
Other species not tested yet.
Matching control protein/peptide 226-0P
Remarks

IHC: For best results tissue sections should be stored at -20°C in cryoprotectant solution. Prolonged storage at 4°C leads to a substantial loss of signal.
iDISCO: This antibody has been successfully applied and published for this method by customers (see application-specific references).

Data sheet Datasheet 226_017

References for c-Fos - 226 017

Neurons with granulovacuolar degeneration bodies are resilient to tau-induced protein synthesis impairment.
Smits JFM, Ligthart TW, Jorge-Oliva M, Middelhoff S, Schipper F, Pita-Illobre D, Li KW, Scheper W
Science advances (2026) 1210: eaea8940. 226 017 ICC; tested species: mouse
Transcriptional dynamics of murine motor neuron maturation in vivo and in vitro.
Patel T, Hammelman J, Aziz S, Jang S, Closser M, Michaels TL, Blum JA, Gifford DK, Wichterle H
Nature communications (2022) 131: 5427. 226 017 ICC, IHC; tested species: mouse
The vagus nerve activated by inflammation co-transmits acute visceral pain via the NTS-PVN pathway.
Zhao YT, Zheng ZK, Yang XH, Duan YJ, Xie X, Chen L, Xu YZ, Zheng Y, Liu YQ, Zhao YY, Tang XQ, et al.
Brain, behavior, and immunity (2026) 136: 106551. 226 017 IHC; tested species: mouse
Regulation of physical activity and energy expenditure through Phf6 in the medial preoptic area.
Wang J, Liu B, Wu X, Sun J, Wang Y, He L, Gan L, Du X, Ruan J, Pi L, Wu QF, et al.
Nature communications (2026) : . 226 017 IHC; tested species: mouse
Phenotypic diversity is caused by non-linear genetic interactions between two SNAREopathy genes.
Kovačević J, Houy S, Pires J, Kádková A, Li Z, Lammertse HCA, Martins JS, Öttl M, Wierda K, Wortel J, Sørensen JB, et al.
Molecular psychiatry (2026) : . 226 017 IHC; tested species: mouse
TMEM63B functions as a mammalian hyperosmolar sensor for thirst.
Zou W, Deng S, Chen X, Ruan J, Wang H, Zhan W, Wang J, Liu Z, Yan Z
Neuron (2025) 1139: 1430-1445.e5. 226 017 IHC; tested species: mouse
Sleep-driven prefrontal cortex coordinates temporal action and multimodal integration.
Ibrahim AZ, Abdou K, Nomoto M, Yamada-Nomoto K, Okubo-Suzuki R, Inokuchi K
Molecular brain (2025) 181: 4. 226 017 IHC; tested species: mouse
Processing of pain and itch information by modality-specific neurons within the anterior cingulate cortex in mice.
Ko HG, Jung H, Han S, Choi DI, Lee C, Choi JE, Oh J, Kwak C, Han DH, Kim JN, Ye S, et al.
Nature communications (2025) 161: 2137. 226 017 IHC; tested species: mouse
Trajectories of working memory and decision making abilities along juvenile development in mice.
Thies AM, Pochinok I, Marquardt A, Dorofeikova M, Hanganu-Opatz IL, Pöpplau JA
Frontiers in neuroscience (2025) 19: 1524931. 226 017 IHC; tested species: mouse
Electroacupuncture alleviates the relapse of behaviors associated with pain sensory memory and pain-related aversive memory by activating MORs and inhibiting GABAergic neurons in the insular cortex.
Xie M, Hu Y, Ji M, Shen Z, Yao X, Sun H, Zhu X, Xie Y, Zhou S, Xu C, He X, et al.
Brain research bulletin (2025) 227: 111394. 226 017 IHC; tested species: mouse
Disturbed engram network caused by NPTX downregulation underlies aging-related contextual fear memory deficits.
Jin T, Yang Y, Guo Y, Zhang Y, Le Q, Huang N, Liu X, Yu J, Ma L, Wang F
Cell research (2025) : . 226 017 IHC; tested species: mouse
The lateral habenula contributes to regulation of body temperature.
Wang X, Chen X, Zhang Z, Liu X, Lv Q, Song M, Zhao D, Su J, Su Y, Zhao G, Sun J, et al.
iScience (2025) 287: 112923. 226 017 IHC; tested species: mouse
Hypothalamic Orexin Projections to the Hippocampal CA1 Region Alleviate Cognitive and Synaptic Plasticity Impairments Induced by Blue Light Exposure.
Feng Z, Li Q, He Z, Yu B, Mi T, Niu J, He Y, Li Q, Chen X, Niu J, Ding D, et al.
CNS neuroscience & therapeutics (2025) 318: e70551. 226 017 IHC; tested species: mouse
Alprazolam induces anterograde amnesia for contextual fear memory and alters dorsoventral hippocampal neuronal ensembles in female mice.
Kaplan K, Toennies LB, Hunsberger HC
Scientific reports (2025) 151: 23504. 226 017 IHC; tested species: mouse
Dynamic changes of serotonin transporter expression in the prefrontal cortex evoked by aggressive social interactions.
Szebik H, Miskolczi C, Bruzsik B, Balla G, Szabó S, Biró L, Mikics É
Neurobiology of stress (2025) 36: 100722. 226 017 IHC; tested species: mouse
Neural networks of the mouse visceromotor cortex.
Hintiryan H, Zhu M, Zhao P, Zhang M, Barry J, Nanda S, Rudd M, Wong A, Miller S, Gou L, Wei J, et al.
Nature (2025) : . 226 017 IHC; tested species: mouse
EPSILON: a method for pulse-chase labeling to probe synaptic AMPAR exocytosis during memory formation.
Kim D, Park P, Li X, Wong-Campos JD, Tian H, Moult EM, Grimm JB, Lavis LD, Cohen AE
Nature neuroscience (2025) 285: 1099-1107. 226 017 IHC; tested species: mouse
Serotonergic modulation of the BNST-CeA pathway reveals sex differences in fear learning.
Ravenelle R, Lee J, Fernandes-Henriques C, Liu J, Friedman AK, Likhtik E, Burghardt NS
Nature neuroscience (2025) 289: 1897-1909. 226 017 IHC; tested species: mouse
Fam172a Mediates the Stimulation of Hypothalamic Oxytocin Neurons to Suppress Obesity-Induced Anxiety.
Wan B, Zhang L, Wang X, Zhang R, Li L, Zhang Y, Chen Z, Hu C
Advanced science (Weinheim, Baden-Wurttemberg, Germany) (2025) : e2414723. 226 017 IHC; tested species: mouse
Immediate-early genes Arc and c-Fos show divergent brain-wide expression following contextual fear conditioning.
Bulthuis NE, Quintana LI, Stackmann M, Denny CA
Communications biology (2025) 81: 1452. 226 017 IHC; tested species: mouse
Regulation of stress susceptibility by chromatin-binding protein PHF6 in the pituitary intermediate lobe.
Liu B, Wang J, Wu X, Gan L, Sun J, Wang G, Li Q, Huang J
Molecular psychiatry (2025) : . 226 017 IHC; tested species: mouse
Analgesic effects of transcutaneous auricular vagus nerve stimulation on partial sciatic nerve ligation-induced neuropathic pain in mice via serotonergic pathways.
Shin H, Choi S, Chung G, Kim SK
Molecular brain (2025) 181: 73. 226 017 IHC; tested species: mouse
Regular versus Irregular Exercise Differentially Modulates Hippocampal-Hepatic Acetylcholine Flux to Coordinate Fear Memory Extinction and Liver Inflammation.
Ma P, Zhang K, Yi L, Yang C, Lang H, Sun J, Li J, Bai Q, He Y, Dai SS, Mi MT, et al.
Advanced science (Weinheim, Baden-Wurttemberg, Germany) (2025) : e00177. 226 017 IHC; tested species: mouse
Modulation of relative aversive and safety learning by D2-expressing neurons of the anterior paraventricular nucleus of the thalamus.
Miranda M, Karam E, Tuduri P, Passard M, Drahmani M, Vaillant L, Vallianatou CA, Lavigne M, Kremer EJ, Ster J, Perisse E, et al.
Current biology : CB (2025) : . 226 017 IHC; tested species: mouse
The psychoplastogen tabernanthalog induces neuroplasticity without proximate immediate early gene activation.
Aarrestad IK, Cameron LP, Fenton EM, Casey AB, Rijsketic DR, Patel SD, Sambyal R, Johnson SB, Ly C, Viswanathan J, Barragan EV, et al.
Nature neuroscience (2025) 289: 1919-1931. 226 017 IHC, iDISCO; tested species: mouse
Axon initial segment dynamics during associative fear learning.
Benoit CM, Ganea DA, Paricio-Montesinos R, Esser J, Thome C, Janssen JM, Sattin A, Innocenti SM, Krabbe S, Lüthi A, Fellin T, et al.
Nature neuroscience (2025) : . 226 017 IHC; tested species: mouse
A brain-to-lung signal from GABAergic neurons to ADRB2+ interstitial macrophages promotes pulmonary inflammatory responses.
Li W, Zhu H, Zou X, Ye H, Zhong J, Xiang S, Lou Y, Mao J, Qi L, Hu X, Zhang Y, et al.
Immunity (2025) 588: 2069-2085.e9. 226 017 IHC; tested species: mouse
Age-specific regulation of sociability by hypothalamic Agrp neurons.
Iyilikci O, Kim L, Zimmer MR, Bober J, Li Y, Pelts M, Santana GM, Dietrich MO
Current biology : CB (2025) 3518: 4522-4536.e6. 226 017 IHC; tested species: mouse
Structural synaptic signatures of contextual memory retrieval-reactivated hippocampal engram cells.
Nemat P, Semenova S, van der Loo RJ, Smit AB, Spijker S, van den Oever MC, Rao-Ruiz P
Neurobiology of learning and memory (2025) 218: 108033. 226 017 IHC; tested species: mouse
INSIHGT: an accessible multi-scale, multi-modal 3D spatial biology platform.
Yau CN, Hung JTS, Campbell RAA, Wong TCY, Huang B, Wong BTY, Chow NKN, Zhang L, Tsoi EPL, Tan Y, Li JJX, et al.
Nature communications (2024) 151: 10888. 226 017 IHC; tested species: mouse
A multiple Arc (mArc) tagging system to uncover the organizational principles of multiple memories.
Stackmann M, Yelhekar TD, Meng M, Sun X, Nthumba J, Bulthuis NE, Vaughan N, Zhu E, Lin Y, Denny CA
bioRxiv : the preprint server for biology (2024) : . 226 017 IHC; tested species: mouse
Divergent recruitment of developmentally defined neuronal ensembles supports memory dynamics.
Kveim VA, Salm L, Ulmer T, Lahr M, Kandler S, Imhof F, Donato F
Science (New York, N.Y.) (2024) 3856710: eadk0997. 226 017 IHC; tested species: mouse
Stimulating intestinal GIP release reduces food intake and body weight in mice.
Lewis JE, Nuzzaci D, James-Okoro PP, Montaner M, O'Flaherty Rottenberger E, Darwish T, Hayashi M, Liberles SD, Hornigold D, Naylor J, Baker D, et al.
Molecular metabolism (2024) : 101945. 226 017 IHC; tested species: mouse
Hippocampus-to-amygdala pathway drives the separation of remote memories of related events.
Concina G, Milano L, Renna A, Manassero E, Stabile F, Sacchetti B
Cell reports (2024) 435: 114151. 226 017 IHC; tested species: rat
Molecular and circuit determinants in the globus pallidus mediating control of cocaine-induced behavioral plasticity.
Tian G, Bartas K, Hui M, Chen L, Vasquez JJ, Azouz G, Derdeyn P, Manville RW, Ho EL, Fang AS, Li Y, et al.
Neuron (2024) 11220: 3470-3485.e12. 226 017 IHC; tested species: mouse
Astrocytes in preoptic area regulate acute nociception-induced hypothermia through adenosine receptors.
Jia J, Chen T, Chen C, Si T, Gao C, Fang Y, Sun J, Wang J, Zhang Z
CNS neuroscience & therapeutics (2024) 305: e14726. 226 017 IHC; tested species: mouse
Neural correlates of learning and memory are altered by early-life stress.
Sanguino-Gómez J, Huijgens S, den Hartog M, Schenk IJM, Kluck W, Versluis TD, Krugers HJ
Neurobiology of learning and memory (2024) 213: 107952. 226 017 IHC; tested species: mouse
Optogenetic activation of the lateral habenulaD1R-ventral tegmental area circuit induces depression-like behavior in mice.
Chen X, Liu X, Luan S, Wang X, Zhang Y, Hao Y, Zhang Q, Zhang J, Zhao H
European archives of psychiatry and clinical neuroscience (2024) 2744: 867-878. 226 017 IHC; tested species: mouse
Rapid reorganization of serotonin projections and antidepressant response to 5-HT1A-biased agonist NLX-101 in fluoxetine-resistant cF1ko mice.
Vahid-Ansari F, Newman-Tancredi A, Fuentes-Alvarenga AF, Daigle M, Albert PR
Neuropharmacology (2024) 261: 110132. 226 017 IHC; tested species: mouse
Fasting-induced activity changes in MC3R neurons of the paraventricular nucleus of the thalamus.
Chesters RA, Zhu J, Coull BM, Baidoe-Ansah D, Baumer L, Palm L, Klinghammer N, Chen S, Hahm A, Yagoub S, Cantacorps L, et al.
Life science alliance (2024) 710: . 226 017 IHC; tested species: mouse
Rapid, biochemical tagging of cellular activity history in vivo.
Zhang R, Anguiano M, Aarrestad IK, Lin S, Chandra J, Vadde SS, Olson DE, Kim CK
Nature methods (2024) 219: 1725-1735. 226 017 IHC; tested species: mouse
Activation of Gs Signaling in Cortical Astrocytes Does Not Influence Formation of a Persistent Contextual Memory Engram.
Mak A, Abramian A, Driessens SLW, Boers-Escuder C, van der Loo RJ, Smit AB, van den Oever MC, Verheijen MHG
eNeuro (2024) 116: . 226 017 IHC; tested species: mouse
Melatonin targets the paraventricular thalamus to promote non-rapid eye movement sleep in C3H/HeJ mice.
Wang Y, Song Z, Han Q, Luo F, Jiang C, Zhang Z, Wang N, Zou N, Liu G, Long M, Liu H, et al.
Current biology : CB (2024) 3416: 3792-3803.e5. 226 017 IHC; tested species: mouse
Learning-associated astrocyte ensembles regulate memory recall.
Williamson MR, Kwon W, Woo J, Ko Y, Maleki E, Yu K, Murali S, Sardar D, Deneen B
Nature (2024) : . 226 017 IHC; tested species: mouse
Roseburia intestinalis-derived butyrate alleviates neuropathic pain.
Jiang Y, Huang Z, Sun W, Huang J, Xu Y, Liao Y, Jin T, Li Q, Ho IHT, Zou Y, Zhu W, et al.
Cell host & microbe (2024) : . 226 017 IHC; tested species: mouse
Adrenergic signalling to astrocytes in anterior cingulate cortex contributes to pain-related aversive memory in rats.
Iqbal Z, Lei Z, Ramkrishnan AS, Liu S, Hasan M, Akter M, Lam YY, Li Y
Communications biology (2023) 61: 10. 226 017 IHC; tested species: rat
Prelimbic area to lateral hypothalamus circuit drives social aggression.
Bai F, Huang L, Deng J, Long Z, Hao X, Chen P, Wu G, Wen H, Deng Q, Bao X, Huang J, et al.
iScience (2023) 2610: 107718. 226 017 IHC; tested species: mouse
Whole-brain analysis of CO2 chemosensitive regions and identification of the retrotrapezoid and medullary raphé nuclei in the common marmoset (Callithrix jacchus).
Turk AZ, Millwater M, SheikhBahaei S
bioRxiv : the preprint server for biology (2023) : . 226 017 IHC; tested species: marmoset
Bidirectional Regulation of Motor Circuits Using Magnetogenetic Gene Therapy.
Unda SR, Marongiu R, Pomeranz LE, Dyke JP, Fung EK, Grosenick L, Zirkel R, Antoniazzi AM, Norman S, Liston CM, Schaffer C, et al.
bioRxiv : the preprint server for biology (2023) : . 226 017 IHC; tested species: mouse
Chronic Pb Exposure Induces Anxiety and Depression-like Behaviors in Mice via Excitatory Neuronal Hyperexcitability in Ventral Hippocampal Dentate Gyrus.
Zhou R, Huang C, Bi N, Li L, Li C, Gu X, Song Y, Wang HL
Environmental science & technology (2023) 5733: 12222-12233. 226 017 IHC; tested species: mouse
Cry1Δ11 mutation induces ADHD-like symptoms through hyperactive dopamine D1 receptor signaling.
Liu D, Xie Z, Gu P, Li X, Zhang Y, Wang X, Chen Z, Deng S, Shu Y, Li JD
JCI insight (2023) 816: . 226 017 IHC; tested species: mouse
ΔFosB accumulation in hippocampal granule cells drives cFos pattern separation during spatial learning.
Lamothe-Molina PJ, Franzelin A, Beck L, Li D, Auksutat L, Fieblinger T, Laprell L, Alhbeck J, Gee CE, Kneussel M, Engel AK, et al.
Nature communications (2022) 131: 6376. 226 017 IHC; tested species: mouse
Transcriptional dynamics of murine motor neuron maturation in vivo and in vitro.
Patel T, Hammelman J, Aziz S, Jang S, Closser M, Michaels TL, Blum JA, Gifford DK, Wichterle H
Nature communications (2022) 131: 5427. 226 017 ICC, IHC; tested species: mouse
Thalamo-hippocampal pathway regulates incidental memory capacity in mice.
Torromino G, Loffredo V, Cavezza D, Sonsini G, Esposito F, Crevenna AH, Gioffrè M, De Risi M, Treves A, Griguoli M, De Leonibus E, et al.
Nature communications (2022) 131: 4194. 226 017 IHC; tested species: mouse
Reprogramming reactive glia into interneurons reduces chronic seizure activity in a mouse model of mesial temporal lobe epilepsy.
Lentini C, d'Orange M, Marichal N, Trottmann MM, Vignoles R, Foucault L, Verrier C, Massera C, Raineteau O, Conzelmann KK, Rival-Gervier S, et al.
Cell stem cell (2021) : . 226 017 IHC; tested species: mouse
Non-invasive optogenetics with ultrasound-mediated gene delivery and red-light excitation.
Pouliopoulos AN, Murillo MF, Noel RL, Batts AJ, Ji R, Kwon N, Yu H, Tong CK, Gelinas JN, Araghy DK, Hussaini SA, et al.
Brain stimulation () 154: 927-941. 226 017 IHC; tested species: mouse
Npas4 drives the effects of early social isolation on social behaviors and prefrontal parvalbumin neurons.
Jindal K, Ringland A, Fitzcharles S, Redd C, Wheeler DG, Coutellier L
Progress in neurobiology (2025) 252: 102810. 226 017 iDISCO; tested species: mouse
CellSeg3D, Self-supervised 3D cell segmentation for fluorescence microscopy.
Achard C, Kousi T, Frey M, Vidal M, Paychere Y, Hofmann C, Iqbal A, Hausmann SB, Pagès S, Mathis MW
eLife (2025) 13: . 226 017 iDISCO; tested species: mouse
The psychoplastogen tabernanthalog induces neuroplasticity without proximate immediate early gene activation.
Aarrestad IK, Cameron LP, Fenton EM, Casey AB, Rijsketic DR, Patel SD, Sambyal R, Johnson SB, Ly C, Viswanathan J, Barragan EV, et al.
Nature neuroscience (2025) 289: 1919-1931. 226 017 IHC, iDISCO; tested species: mouse
Cat. No.: 226 017
Amount: 100 µg
Price: $430.00
Neurons with granulovacuolar degeneration bodies are resilient to tau-induced protein synthesis impairment.
Smits JFM, Ligthart TW, Jorge-Oliva M, Middelhoff S, Schipper F, Pita-Illobre D, Li KW, Scheper W
Science advances (2026) 1210: eaea8940. 226 017 ICC; tested species: mouse
Transcriptional dynamics of murine motor neuron maturation in vivo and in vitro.
Patel T, Hammelman J, Aziz S, Jang S, Closser M, Michaels TL, Blum JA, Gifford DK, Wichterle H
Nature communications (2022) 131: 5427. 226 017 ICC, IHC; tested species: mouse
The vagus nerve activated by inflammation co-transmits acute visceral pain via the NTS-PVN pathway.
Zhao YT, Zheng ZK, Yang XH, Duan YJ, Xie X, Chen L, Xu YZ, Zheng Y, Liu YQ, Zhao YY, Tang XQ, et al.
Brain, behavior, and immunity (2026) 136: 106551. 226 017 IHC; tested species: mouse
Regulation of physical activity and energy expenditure through Phf6 in the medial preoptic area.
Wang J, Liu B, Wu X, Sun J, Wang Y, He L, Gan L, Du X, Ruan J, Pi L, Wu QF, et al.
Nature communications (2026) : . 226 017 IHC; tested species: mouse
Phenotypic diversity is caused by non-linear genetic interactions between two SNAREopathy genes.
Kovačević J, Houy S, Pires J, Kádková A, Li Z, Lammertse HCA, Martins JS, Öttl M, Wierda K, Wortel J, Sørensen JB, et al.
Molecular psychiatry (2026) : . 226 017 IHC; tested species: mouse
TMEM63B functions as a mammalian hyperosmolar sensor for thirst.
Zou W, Deng S, Chen X, Ruan J, Wang H, Zhan W, Wang J, Liu Z, Yan Z
Neuron (2025) 1139: 1430-1445.e5. 226 017 IHC; tested species: mouse
Sleep-driven prefrontal cortex coordinates temporal action and multimodal integration.
Ibrahim AZ, Abdou K, Nomoto M, Yamada-Nomoto K, Okubo-Suzuki R, Inokuchi K
Molecular brain (2025) 181: 4. 226 017 IHC; tested species: mouse
Processing of pain and itch information by modality-specific neurons within the anterior cingulate cortex in mice.
Ko HG, Jung H, Han S, Choi DI, Lee C, Choi JE, Oh J, Kwak C, Han DH, Kim JN, Ye S, et al.
Nature communications (2025) 161: 2137. 226 017 IHC; tested species: mouse
Trajectories of working memory and decision making abilities along juvenile development in mice.
Thies AM, Pochinok I, Marquardt A, Dorofeikova M, Hanganu-Opatz IL, Pöpplau JA
Frontiers in neuroscience (2025) 19: 1524931. 226 017 IHC; tested species: mouse
Electroacupuncture alleviates the relapse of behaviors associated with pain sensory memory and pain-related aversive memory by activating MORs and inhibiting GABAergic neurons in the insular cortex.
Xie M, Hu Y, Ji M, Shen Z, Yao X, Sun H, Zhu X, Xie Y, Zhou S, Xu C, He X, et al.
Brain research bulletin (2025) 227: 111394. 226 017 IHC; tested species: mouse
Disturbed engram network caused by NPTX downregulation underlies aging-related contextual fear memory deficits.
Jin T, Yang Y, Guo Y, Zhang Y, Le Q, Huang N, Liu X, Yu J, Ma L, Wang F
Cell research (2025) : . 226 017 IHC; tested species: mouse
The lateral habenula contributes to regulation of body temperature.
Wang X, Chen X, Zhang Z, Liu X, Lv Q, Song M, Zhao D, Su J, Su Y, Zhao G, Sun J, et al.
iScience (2025) 287: 112923. 226 017 IHC; tested species: mouse
Hypothalamic Orexin Projections to the Hippocampal CA1 Region Alleviate Cognitive and Synaptic Plasticity Impairments Induced by Blue Light Exposure.
Feng Z, Li Q, He Z, Yu B, Mi T, Niu J, He Y, Li Q, Chen X, Niu J, Ding D, et al.
CNS neuroscience & therapeutics (2025) 318: e70551. 226 017 IHC; tested species: mouse
Alprazolam induces anterograde amnesia for contextual fear memory and alters dorsoventral hippocampal neuronal ensembles in female mice.
Kaplan K, Toennies LB, Hunsberger HC
Scientific reports (2025) 151: 23504. 226 017 IHC; tested species: mouse
Dynamic changes of serotonin transporter expression in the prefrontal cortex evoked by aggressive social interactions.
Szebik H, Miskolczi C, Bruzsik B, Balla G, Szabó S, Biró L, Mikics É
Neurobiology of stress (2025) 36: 100722. 226 017 IHC; tested species: mouse
Neural networks of the mouse visceromotor cortex.
Hintiryan H, Zhu M, Zhao P, Zhang M, Barry J, Nanda S, Rudd M, Wong A, Miller S, Gou L, Wei J, et al.
Nature (2025) : . 226 017 IHC; tested species: mouse
EPSILON: a method for pulse-chase labeling to probe synaptic AMPAR exocytosis during memory formation.
Kim D, Park P, Li X, Wong-Campos JD, Tian H, Moult EM, Grimm JB, Lavis LD, Cohen AE
Nature neuroscience (2025) 285: 1099-1107. 226 017 IHC; tested species: mouse
Serotonergic modulation of the BNST-CeA pathway reveals sex differences in fear learning.
Ravenelle R, Lee J, Fernandes-Henriques C, Liu J, Friedman AK, Likhtik E, Burghardt NS
Nature neuroscience (2025) 289: 1897-1909. 226 017 IHC; tested species: mouse
Fam172a Mediates the Stimulation of Hypothalamic Oxytocin Neurons to Suppress Obesity-Induced Anxiety.
Wan B, Zhang L, Wang X, Zhang R, Li L, Zhang Y, Chen Z, Hu C
Advanced science (Weinheim, Baden-Wurttemberg, Germany) (2025) : e2414723. 226 017 IHC; tested species: mouse
Immediate-early genes Arc and c-Fos show divergent brain-wide expression following contextual fear conditioning.
Bulthuis NE, Quintana LI, Stackmann M, Denny CA
Communications biology (2025) 81: 1452. 226 017 IHC; tested species: mouse
Regulation of stress susceptibility by chromatin-binding protein PHF6 in the pituitary intermediate lobe.
Liu B, Wang J, Wu X, Gan L, Sun J, Wang G, Li Q, Huang J
Molecular psychiatry (2025) : . 226 017 IHC; tested species: mouse
Analgesic effects of transcutaneous auricular vagus nerve stimulation on partial sciatic nerve ligation-induced neuropathic pain in mice via serotonergic pathways.
Shin H, Choi S, Chung G, Kim SK
Molecular brain (2025) 181: 73. 226 017 IHC; tested species: mouse
Regular versus Irregular Exercise Differentially Modulates Hippocampal-Hepatic Acetylcholine Flux to Coordinate Fear Memory Extinction and Liver Inflammation.
Ma P, Zhang K, Yi L, Yang C, Lang H, Sun J, Li J, Bai Q, He Y, Dai SS, Mi MT, et al.
Advanced science (Weinheim, Baden-Wurttemberg, Germany) (2025) : e00177. 226 017 IHC; tested species: mouse
Modulation of relative aversive and safety learning by D2-expressing neurons of the anterior paraventricular nucleus of the thalamus.
Miranda M, Karam E, Tuduri P, Passard M, Drahmani M, Vaillant L, Vallianatou CA, Lavigne M, Kremer EJ, Ster J, Perisse E, et al.
Current biology : CB (2025) : . 226 017 IHC; tested species: mouse
The psychoplastogen tabernanthalog induces neuroplasticity without proximate immediate early gene activation.
Aarrestad IK, Cameron LP, Fenton EM, Casey AB, Rijsketic DR, Patel SD, Sambyal R, Johnson SB, Ly C, Viswanathan J, Barragan EV, et al.
Nature neuroscience (2025) 289: 1919-1931. 226 017 IHC, iDISCO; tested species: mouse
Axon initial segment dynamics during associative fear learning.
Benoit CM, Ganea DA, Paricio-Montesinos R, Esser J, Thome C, Janssen JM, Sattin A, Innocenti SM, Krabbe S, Lüthi A, Fellin T, et al.
Nature neuroscience (2025) : . 226 017 IHC; tested species: mouse
A brain-to-lung signal from GABAergic neurons to ADRB2+ interstitial macrophages promotes pulmonary inflammatory responses.
Li W, Zhu H, Zou X, Ye H, Zhong J, Xiang S, Lou Y, Mao J, Qi L, Hu X, Zhang Y, et al.
Immunity (2025) 588: 2069-2085.e9. 226 017 IHC; tested species: mouse
Age-specific regulation of sociability by hypothalamic Agrp neurons.
Iyilikci O, Kim L, Zimmer MR, Bober J, Li Y, Pelts M, Santana GM, Dietrich MO
Current biology : CB (2025) 3518: 4522-4536.e6. 226 017 IHC; tested species: mouse
Structural synaptic signatures of contextual memory retrieval-reactivated hippocampal engram cells.
Nemat P, Semenova S, van der Loo RJ, Smit AB, Spijker S, van den Oever MC, Rao-Ruiz P
Neurobiology of learning and memory (2025) 218: 108033. 226 017 IHC; tested species: mouse
INSIHGT: an accessible multi-scale, multi-modal 3D spatial biology platform.
Yau CN, Hung JTS, Campbell RAA, Wong TCY, Huang B, Wong BTY, Chow NKN, Zhang L, Tsoi EPL, Tan Y, Li JJX, et al.
Nature communications (2024) 151: 10888. 226 017 IHC; tested species: mouse
A multiple Arc (mArc) tagging system to uncover the organizational principles of multiple memories.
Stackmann M, Yelhekar TD, Meng M, Sun X, Nthumba J, Bulthuis NE, Vaughan N, Zhu E, Lin Y, Denny CA
bioRxiv : the preprint server for biology (2024) : . 226 017 IHC; tested species: mouse
Divergent recruitment of developmentally defined neuronal ensembles supports memory dynamics.
Kveim VA, Salm L, Ulmer T, Lahr M, Kandler S, Imhof F, Donato F
Science (New York, N.Y.) (2024) 3856710: eadk0997. 226 017 IHC; tested species: mouse
Stimulating intestinal GIP release reduces food intake and body weight in mice.
Lewis JE, Nuzzaci D, James-Okoro PP, Montaner M, O'Flaherty Rottenberger E, Darwish T, Hayashi M, Liberles SD, Hornigold D, Naylor J, Baker D, et al.
Molecular metabolism (2024) : 101945. 226 017 IHC; tested species: mouse
Hippocampus-to-amygdala pathway drives the separation of remote memories of related events.
Concina G, Milano L, Renna A, Manassero E, Stabile F, Sacchetti B
Cell reports (2024) 435: 114151. 226 017 IHC; tested species: rat
Molecular and circuit determinants in the globus pallidus mediating control of cocaine-induced behavioral plasticity.
Tian G, Bartas K, Hui M, Chen L, Vasquez JJ, Azouz G, Derdeyn P, Manville RW, Ho EL, Fang AS, Li Y, et al.
Neuron (2024) 11220: 3470-3485.e12. 226 017 IHC; tested species: mouse
Astrocytes in preoptic area regulate acute nociception-induced hypothermia through adenosine receptors.
Jia J, Chen T, Chen C, Si T, Gao C, Fang Y, Sun J, Wang J, Zhang Z
CNS neuroscience & therapeutics (2024) 305: e14726. 226 017 IHC; tested species: mouse
Neural correlates of learning and memory are altered by early-life stress.
Sanguino-Gómez J, Huijgens S, den Hartog M, Schenk IJM, Kluck W, Versluis TD, Krugers HJ
Neurobiology of learning and memory (2024) 213: 107952. 226 017 IHC; tested species: mouse
Optogenetic activation of the lateral habenulaD1R-ventral tegmental area circuit induces depression-like behavior in mice.
Chen X, Liu X, Luan S, Wang X, Zhang Y, Hao Y, Zhang Q, Zhang J, Zhao H
European archives of psychiatry and clinical neuroscience (2024) 2744: 867-878. 226 017 IHC; tested species: mouse
Rapid reorganization of serotonin projections and antidepressant response to 5-HT1A-biased agonist NLX-101 in fluoxetine-resistant cF1ko mice.
Vahid-Ansari F, Newman-Tancredi A, Fuentes-Alvarenga AF, Daigle M, Albert PR
Neuropharmacology (2024) 261: 110132. 226 017 IHC; tested species: mouse
Fasting-induced activity changes in MC3R neurons of the paraventricular nucleus of the thalamus.
Chesters RA, Zhu J, Coull BM, Baidoe-Ansah D, Baumer L, Palm L, Klinghammer N, Chen S, Hahm A, Yagoub S, Cantacorps L, et al.
Life science alliance (2024) 710: . 226 017 IHC; tested species: mouse
Rapid, biochemical tagging of cellular activity history in vivo.
Zhang R, Anguiano M, Aarrestad IK, Lin S, Chandra J, Vadde SS, Olson DE, Kim CK
Nature methods (2024) 219: 1725-1735. 226 017 IHC; tested species: mouse
Activation of Gs Signaling in Cortical Astrocytes Does Not Influence Formation of a Persistent Contextual Memory Engram.
Mak A, Abramian A, Driessens SLW, Boers-Escuder C, van der Loo RJ, Smit AB, van den Oever MC, Verheijen MHG
eNeuro (2024) 116: . 226 017 IHC; tested species: mouse
Melatonin targets the paraventricular thalamus to promote non-rapid eye movement sleep in C3H/HeJ mice.
Wang Y, Song Z, Han Q, Luo F, Jiang C, Zhang Z, Wang N, Zou N, Liu G, Long M, Liu H, et al.
Current biology : CB (2024) 3416: 3792-3803.e5. 226 017 IHC; tested species: mouse
Learning-associated astrocyte ensembles regulate memory recall.
Williamson MR, Kwon W, Woo J, Ko Y, Maleki E, Yu K, Murali S, Sardar D, Deneen B
Nature (2024) : . 226 017 IHC; tested species: mouse
Roseburia intestinalis-derived butyrate alleviates neuropathic pain.
Jiang Y, Huang Z, Sun W, Huang J, Xu Y, Liao Y, Jin T, Li Q, Ho IHT, Zou Y, Zhu W, et al.
Cell host & microbe (2024) : . 226 017 IHC; tested species: mouse
Adrenergic signalling to astrocytes in anterior cingulate cortex contributes to pain-related aversive memory in rats.
Iqbal Z, Lei Z, Ramkrishnan AS, Liu S, Hasan M, Akter M, Lam YY, Li Y
Communications biology (2023) 61: 10. 226 017 IHC; tested species: rat
Prelimbic area to lateral hypothalamus circuit drives social aggression.
Bai F, Huang L, Deng J, Long Z, Hao X, Chen P, Wu G, Wen H, Deng Q, Bao X, Huang J, et al.
iScience (2023) 2610: 107718. 226 017 IHC; tested species: mouse
Whole-brain analysis of CO2 chemosensitive regions and identification of the retrotrapezoid and medullary raphé nuclei in the common marmoset (Callithrix jacchus).
Turk AZ, Millwater M, SheikhBahaei S
bioRxiv : the preprint server for biology (2023) : . 226 017 IHC; tested species: marmoset
Bidirectional Regulation of Motor Circuits Using Magnetogenetic Gene Therapy.
Unda SR, Marongiu R, Pomeranz LE, Dyke JP, Fung EK, Grosenick L, Zirkel R, Antoniazzi AM, Norman S, Liston CM, Schaffer C, et al.
bioRxiv : the preprint server for biology (2023) : . 226 017 IHC; tested species: mouse
Chronic Pb Exposure Induces Anxiety and Depression-like Behaviors in Mice via Excitatory Neuronal Hyperexcitability in Ventral Hippocampal Dentate Gyrus.
Zhou R, Huang C, Bi N, Li L, Li C, Gu X, Song Y, Wang HL
Environmental science & technology (2023) 5733: 12222-12233. 226 017 IHC; tested species: mouse
Cry1Δ11 mutation induces ADHD-like symptoms through hyperactive dopamine D1 receptor signaling.
Liu D, Xie Z, Gu P, Li X, Zhang Y, Wang X, Chen Z, Deng S, Shu Y, Li JD
JCI insight (2023) 816: . 226 017 IHC; tested species: mouse
ΔFosB accumulation in hippocampal granule cells drives cFos pattern separation during spatial learning.
Lamothe-Molina PJ, Franzelin A, Beck L, Li D, Auksutat L, Fieblinger T, Laprell L, Alhbeck J, Gee CE, Kneussel M, Engel AK, et al.
Nature communications (2022) 131: 6376. 226 017 IHC; tested species: mouse
Transcriptional dynamics of murine motor neuron maturation in vivo and in vitro.
Patel T, Hammelman J, Aziz S, Jang S, Closser M, Michaels TL, Blum JA, Gifford DK, Wichterle H
Nature communications (2022) 131: 5427. 226 017 ICC, IHC; tested species: mouse
Thalamo-hippocampal pathway regulates incidental memory capacity in mice.
Torromino G, Loffredo V, Cavezza D, Sonsini G, Esposito F, Crevenna AH, Gioffrè M, De Risi M, Treves A, Griguoli M, De Leonibus E, et al.
Nature communications (2022) 131: 4194. 226 017 IHC; tested species: mouse
Reprogramming reactive glia into interneurons reduces chronic seizure activity in a mouse model of mesial temporal lobe epilepsy.
Lentini C, d'Orange M, Marichal N, Trottmann MM, Vignoles R, Foucault L, Verrier C, Massera C, Raineteau O, Conzelmann KK, Rival-Gervier S, et al.
Cell stem cell (2021) : . 226 017 IHC; tested species: mouse
Non-invasive optogenetics with ultrasound-mediated gene delivery and red-light excitation.
Pouliopoulos AN, Murillo MF, Noel RL, Batts AJ, Ji R, Kwon N, Yu H, Tong CK, Gelinas JN, Araghy DK, Hussaini SA, et al.
Brain stimulation () 154: 927-941. 226 017 IHC; tested species: mouse
Npas4 drives the effects of early social isolation on social behaviors and prefrontal parvalbumin neurons.
Jindal K, Ringland A, Fitzcharles S, Redd C, Wheeler DG, Coutellier L
Progress in neurobiology (2025) 252: 102810. 226 017 iDISCO; tested species: mouse
CellSeg3D, Self-supervised 3D cell segmentation for fluorescence microscopy.
Achard C, Kousi T, Frey M, Vidal M, Paychere Y, Hofmann C, Iqbal A, Hausmann SB, Pagès S, Mathis MW
eLife (2025) 13: . 226 017 iDISCO; tested species: mouse
The psychoplastogen tabernanthalog induces neuroplasticity without proximate immediate early gene activation.
Aarrestad IK, Cameron LP, Fenton EM, Casey AB, Rijsketic DR, Patel SD, Sambyal R, Johnson SB, Ly C, Viswanathan J, Barragan EV, et al.
Nature neuroscience (2025) 289: 1919-1931. 226 017 IHC, iDISCO; tested species: mouse
Background

The Fos gene family consists of 4 members: c-Fos, FosB, FosL1, and FosL2, also called Fos related antigen 1 and 2 (FRA1 and 2). These leucine zipper proteins can dimerize with proteins of the Jun family leading to the formation of the transcription factor complex AP1 (1).
The expression of Fos proteins is rapidly and transiently induced by different extracellular stimuli such as growth factors, cytokines, neurotransmitters, polypeptide hormones and stress (2).
In addition Fos proteins can be phosphorylated by ERK kinases modulating transcriptional activity, protein stability and localization (3). c-Fos is the homologue to the Finkel-Biskis-Jinkins (FBJ) murine osteosarcoma virus oncogene (4).

 

For more information on protein expression pattern, please refer to the overview image in our SYSY Antibodies ATLAS.

Certificates

ISO 9001 2015 Quality Management System and Green Lab Platinum certification level for sustaining laboratory processes.

Newsletter

Sign up for our newsletter and get the latest updates and news.
 

Please provide a valid E-Mail-Address
Please provide a valid First name
Please provide a valid Last name