Tailor-made Antibodies
and Tools for Life Science
Home | | | | | Technical Support

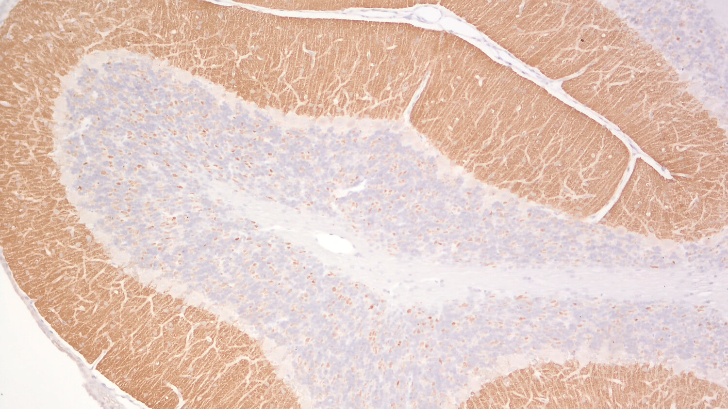
Bassoon antibody - 141 318 K.O.

Bassoon is a large multi-domain protein of the presynaptic active zone
Guinea pig monoclonal recombinant IgG
Cat. No.: 141 318
Amount: 50 µg
Price: $425.00
Cat. No. 141 318 50 µg purified recombinant IgG, lyophilized. Albumin and azide were added for stabilization. For reconstitution add 50 µl H2O to get a 1mg/ml solution in PBS. Then aliquot and store at -20°C to -80°C until use.
Antibodies should be stored at +4°C when still lyophilized. Do not freeze!
Applications
 
WB: 1 : 1000 (AP staining) (see remarks) gallery  
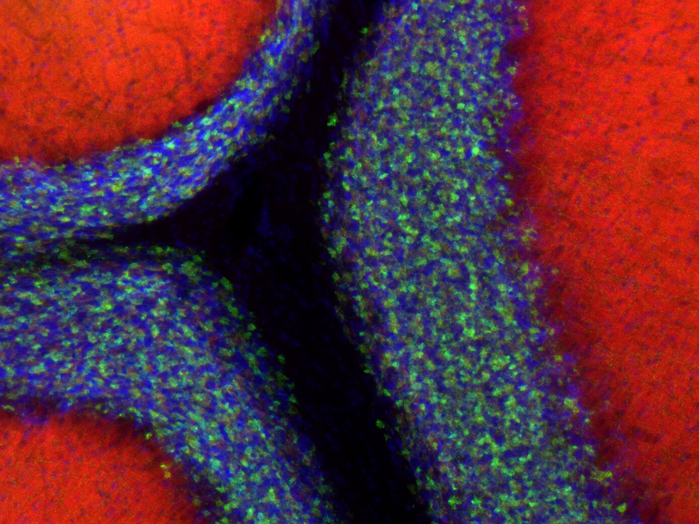
ICC: 1 : 5000 gallery  
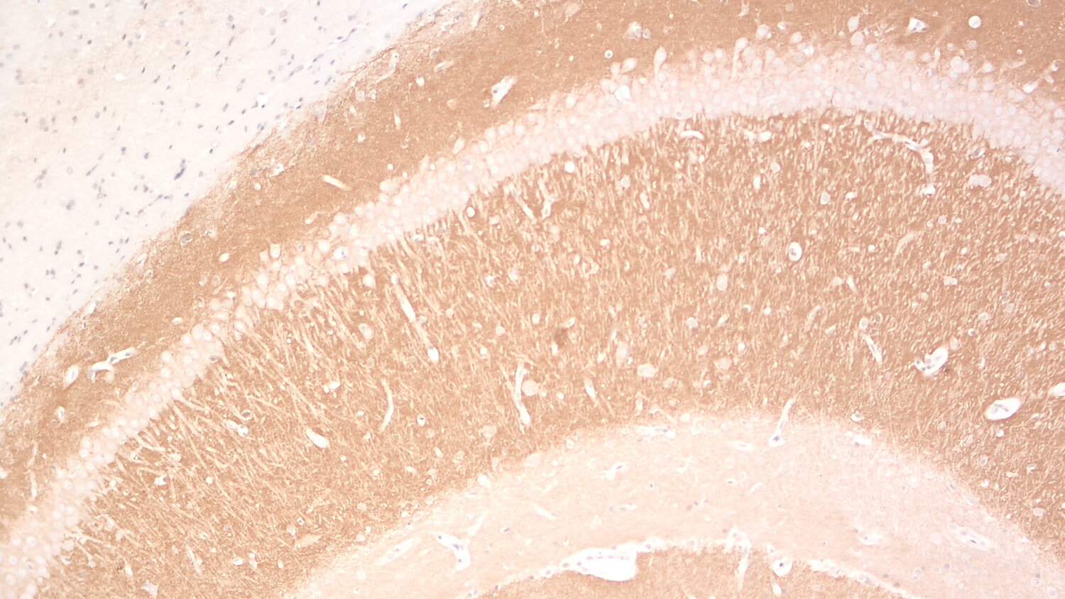
IHC: 1 : 1000 up to 1 : 2000 gallery  
IHC-P: 1 : 1000 up to 1 : 2000 gallery  
ExM: external data (see remarks) gallery  

Western blot (WB); separation of proteins by PAGE and subsequent transfer to a membrane. Detection of target molecules is carried out with antibodies. Some antibodies require special sample preparation steps. For details, please refer to the “Remarks” section.

Immunocytochemistry (ICC) on 4% PFA fixed cells. Immunoreactivity is usually revealed by fluorescence. Some antibodies require special fixation methods. For details, please refer to the “Remarks” section.

Immunohistochemistry (IHC) on 4% PFA perfusion fixed tissue with 24h PFA post fixation. Immunoreactivity is usually revealed by fluorescence or a chromogenic substrate. Some antibodies require special fixation methods or antigen retrieval steps. For details, please refer to the ”Remarks” section.

Immunohistochemistry (IHC-P) of formalin fixed, paraffin embedded (FFPE) tissue (some antibodies require special antigen retrieval steps, please refer to the ”Remarks” section). Immunoreactivity is usually revealed by fluorescence or a chromogenic substrate.

Expansion Microscopy (ExM) is a sample preparation and imaging method which employs a dense interconnected web of swellable polymer within a biological specimen. A significantly higher effective resolution can be achieved with a standard microscope setup. For additional experimental details, please refer to the Remarks section.

Clone Gp179H11A2
Subtype IgG2 (κ light chain)
Immunogen Recombinant protein corresponding to residues near the central region of rat Bassoon. (UniProt Id: O88778)
Reactivity Reacts with: mouse (O88737), rat (O88778), zebrafish.
Other species not tested yet.
Specificity Specific for Bassoon K.O. validated
Remarks

This antibody is a chimeric antibody based on the monoclonal mouse antibody clone 179H11A2. The constant regions of the heavy and light chains have been replaced by guinea pig specific sequences. Therefore, the antibody can be used with standard anti-guinea pig secondary reagents. The antibody has been expressed in mammalian cells.
WB: Due to the large size of this protein, we recommend NuPAGE 3-8% Tris-Acetate gels for SDS-PAGE.
ExM: This antibody has been successfully applied and published for this method by customers (see application-specific references).

Data sheet Datasheet 141_318

References for Bassoon - 141 318

Notch receptor-ligand binding facilitates extracellular vesicle-mediated neuron-to-neuron communication.
Wang YZ, Castillon CCM, Gebis KK, Bartom ET, d'Azzo A, Contractor A, Savas JN
Cell reports (2024) 432: 113680. 141 318 WB; tested species: mouse
Rho GTPase signaling and mDia facilitate endocytosis via presynaptic actin.
Oevel K, Hohensee S, Kumar A, Rosas-Brugada I, Bartolini F, Soykan T, Haucke V
eLife (2024) 12: . 141 318 ICC; tested species: mouse
Adolescent Alcohol Exposure Disrupts Astrocyte-Synaptic Structural And Functional Coupling In The Male Dorsal Hippocampus.
Coulter O, Walker CD, Carter T, Sexton HG, Denvir J, Risher WC, Henderson BJ, Risher ML
bioRxiv : the preprint server for biology (2025) : . 141 318 IHC; tested species: rat
δ-Catenin controls astrocyte morphogenesis via layer-specific astrocyte-neuron cadherin interactions.
Tan CX, Bindu DS, Hardin EJ, Sakers K, Baumert R, Ramirez JJ, Savage JT, Eroglu C
The Journal of cell biology (2023) 22211: . 141 318 IHC; tested species: mouse
Cat. No.: 141 318
Amount: 50 µg
Price: $425.00
Notch receptor-ligand binding facilitates extracellular vesicle-mediated neuron-to-neuron communication.
Wang YZ, Castillon CCM, Gebis KK, Bartom ET, d'Azzo A, Contractor A, Savas JN
Cell reports (2024) 432: 113680. 141 318 WB; tested species: mouse
Rho GTPase signaling and mDia facilitate endocytosis via presynaptic actin.
Oevel K, Hohensee S, Kumar A, Rosas-Brugada I, Bartolini F, Soykan T, Haucke V
eLife (2024) 12: . 141 318 ICC; tested species: mouse
Adolescent Alcohol Exposure Disrupts Astrocyte-Synaptic Structural And Functional Coupling In The Male Dorsal Hippocampus.
Coulter O, Walker CD, Carter T, Sexton HG, Denvir J, Risher WC, Henderson BJ, Risher ML
bioRxiv : the preprint server for biology (2025) : . 141 318 IHC; tested species: rat
δ-Catenin controls astrocyte morphogenesis via layer-specific astrocyte-neuron cadherin interactions.
Tan CX, Bindu DS, Hardin EJ, Sakers K, Baumert R, Ramirez JJ, Savage JT, Eroglu C
The Journal of cell biology (2023) 22211: . 141 318 IHC; tested species: mouse
Background

Bassoon is a large protein which consists of an N-terminal Zn2+ finger and several piccolo-bassoon homology domains (PBH-domains). It is generally found together with piccolo, a related huge multi-domain protein of the CAZ (cytoskeletal matrix assembled at active zones).
Bassoon was suggested to be a scaffolding element of the presynapse but deletion experiments in mice have shown that bassoon is also involved in synaptic vesicle cycling. Probably bassoon interacts with other protein factors via its Zn2+ domain but the potential partners have not been determined yet.

Certificates

ISO 9001 2015 Quality Management System and Green Lab Platinum certification level for sustaining laboratory processes.

Newsletter

Sign up for our newsletter and get the latest updates and news.
 

Please provide a valid E-Mail-Address
Please provide a valid First name
Please provide a valid Last name