Tailor-made Antibodies
and Tools for Life Science
Home | | | | | Technical Support

iNOS antibody mouse specific - HS-484 017

iNOS is an inducible nitric oxide synthase expressed in inflammatory conditions
Rat monoclonal purified IgG
Cat. No.: HS-484 017
Amount: 100 µg
Price: $420.00
Cat. No. HS-484 017 100 µg purified IgG, lyophilized. Albumin and azide were added for stabilization. For reconstitution add 100 µl H2O to get a 1mg/ml solution in PBS. Then aliquot and store at -20°C to -80°C until use.
Antibodies should be stored at +4°C when still lyophilized. Do not freeze!
Applications
 
WB: 1 : 1000 (AP staining) gallery  
IP: not tested yet
ICC: not tested yet
IHC: not tested yet
IHC-P (FFPE): 1 : 200 up to 1 : 1000 gallery  

Western blot (WB); separation of proteins by PAGE and subsequent transfer to a membrane. Detection of target molecules is carried out with antibodies. Some antibodies require special sample preparation steps. For details, please refer to the “Remarks” section.

Immunoprecipitation (IP); Immunoisolation or pulldown of a target molecule using an antibody. For details and product specific hints, please refer to the ”Remarks” section.

Immunocytochemistry (ICC) on 4% PFA fixed cells. Immunoreactivity is usually revealed by fluorescence. Some antibodies require special fixation methods. For details, please refer to the “Remarks” section.

Immunohistochemistry (IHC) on 4% PFA perfusion fixed tissue with 24h PFA post fixation. Immunoreactivity is usually revealed by fluorescence or a chromogenic substrate. Some antibodies require special fixation methods or antigen retrieval steps. For details, please refer to the ”Remarks” section.

Immunohistochemistry (IHC-P) of formalin fixed, paraffin embedded (FFPE) tissue (some antibodies require special antigen retrieval steps, please refer to the ”Remarks” section). Immunoreactivity is usually revealed by fluorescence or a chromogenic substrate.

Clone SY-171D8E8
Subtype IgG2b (λ light chain)
Immunogen synthetic peptide corresponding to residues near the carboxy terminus of mouse iNOS (UniProt Id: P29477)
Reactivity Reacts with: mouse (P29477).
No signal: rat, human.
Other species not tested yet.
Data sheet Datasheet hs-484_017
Important information
This product belongs to the HistoSure product line of antibodies developed for and extensively tested in FFPE tissues.
For more information please visit our HistoSure brand website.
Cat. No.: HS-484 017
Amount: 100 µg
Price: $420.00

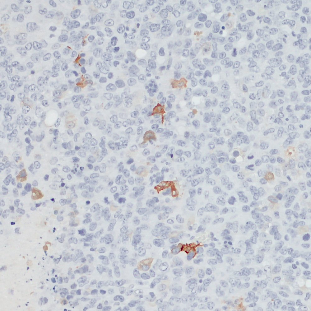
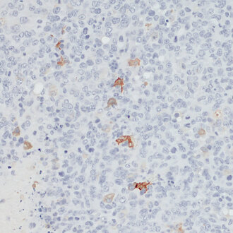
iNOS positive tumor associated macrophages (TAMs) in Cloudman S91 syngeneic mouse tumor

Background

Inducible nitric oxide synthase (iNOS) belongs together with endothelial NOS (eNOS) and neuronal NOS (nNOS) to the NOS family of enzymes catalyzing the production of nitric oxide (NO) from L-arginine. In contrast to the constitutively expressed calcium-dependent eNOS and nNOS isoforms, iNOS is calcium-independent and usually activated in defense responses such as infection and inflammation (1). Expression of the iNOS gene is induced in vitro in macrophages polarized to the pro-inflammatory M1 state (2). NO-producing tumoricidal macrophages in the tumor microenvironment can modulate immune responses and promote apoptosis of tumor cells (2). In the brain, iNOS is normally not expressed except in chronic and acute inflammatory conditions. In ischemic brain injury, iNOS was found to be highly expressed in neutrophils and endothelium (3) and in M1-like pro-inflammatory microglia (4).

Certificates

ISO 9001 2015 Quality Management System and Green Lab Platinum certification level for sustaining laboratory processes.

Newsletter

Sign up for our newsletter and get the latest updates and news.
 

Please provide a valid E-Mail-Address
Please provide a valid First name
Please provide a valid Last name