Tailor-made Antibodies
and Tools for Life Science
Home | | | | | Technical Support

CD3e antibody human specific - HS-413 017

CD3e is a subunit of the T-cell co-receptor
Rat monoclonal purified IgG
Cat. No.: HS-413 017
Amount: 200 µl
Price: $420.00
Cat. No. HS-413 017 200 µl purified IgG, lyophilized. Albumin and azide were added for stabilization. For reconstitution add 200 µl H2O. Then aliquot and store at -20°C to -80°C until use.
Antibodies should be stored at +4°C when still lyophilized. Do not freeze!
Applications
 
WB: 1 : 1000 (AP staining) gallery  
IP: not tested yet
ICC: not tested yet
IHC: not tested yet
IHC-P (FFPE): 1 : 200 gallery  

Western blot (WB); separation of proteins by PAGE and subsequent transfer to a membrane. Detection of target molecules is carried out with antibodies. Some antibodies require special sample preparation steps. For details, please refer to the “Remarks” section.

Immunoprecipitation (IP); Immunoisolation or pulldown of a target molecule using an antibody. For details and product specific hints, please refer to the ”Remarks” section.

Immunocytochemistry (ICC) on 4% PFA fixed cells. Immunoreactivity is usually revealed by fluorescence. Some antibodies require special fixation methods. For details, please refer to the “Remarks” section.

Immunohistochemistry (IHC) on 4% PFA perfusion fixed tissue with 24h PFA post fixation. Immunoreactivity is usually revealed by fluorescence or a chromogenic substrate. Some antibodies require special fixation methods or antigen retrieval steps. For details, please refer to the ”Remarks” section.

Immunohistochemistry (IHC-P) of formalin fixed, paraffin embedded (FFPE) tissue (some antibodies require special antigen retrieval steps, please refer to the ”Remarks” section). Immunoreactivity is usually revealed by fluorescence or a chromogenic substrate.

Clone 281A6F1
Subtype IgG2b (κ light chain)
Immunogen Synthetic peptide corresponding to residues surrounding AA 55 of human CD3e (UniProt Id: P07766)
Reactivity Reacts with: human (P07766).
No signal: mouse (P22646).
Other species not tested yet.
Data sheet Datasheet hs-413_017
Important information
This product belongs to the HistoSure product line of antibodies developed for and extensively tested in FFPE tissues.
For more information please visit our HistoSure brand website.
Cat. No.: HS-413 017
Amount: 200 µl
Price: $420.00

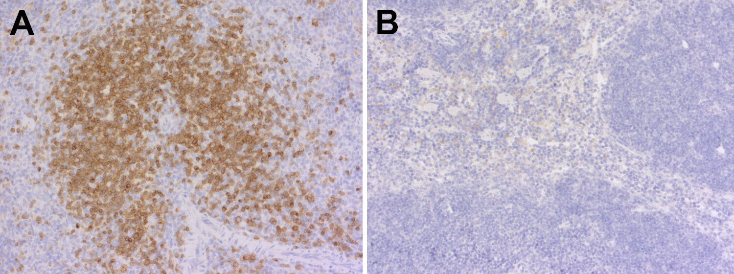
Immunohistochemical staining of T-cells in human tonsil (left) but not in mouse spleen (right) using a human-specific anti-CD3e antibody

Background

Cluster of differentiation 3 (CD3) is a defining feature of cells belonging to the T cell lineage. It is composed of the four subunits CD3 gamma, CD3 delta, CD3 epsilon (CD3e) and CD3 zeta, that form a multimeric protein complex. This complex associates with the T cell receptor (TCR) and serves as a T cell co-receptor. The CD3 molecules contain immunoreceptor tyrosine-based activation motifs (ITAMs) that serve as the nucleating point for the intracellular signal transduction machinery upon TCR engagement. TCR/CD3 signaling is central to the initiation of antigen-specific T cell responses to pathogens and vaccines, as well as transplanted tissues, tumors, and autoantigens. CD3 is initially expressed in the cytoplasm of pro-thymocytes. During T cell maturation the expression of CD3 migrates to the cell-membrane. The specific appearance at all stages of T cell development make CD3 a useful immunohistochemical marker for T cells in tissue sections. In the clinical setting, CD3 is a relevant marker for the classification of malignant lymphomas and leukemias as the antigen remains present in almost all T-cell lymphomas and leukemias. It can also be used to detect T cells in celiac disease, lymphocytic and collagenous colitis.

Certificates

ISO 9001 2015 Quality Management System and Green Lab Platinum certification level for sustaining laboratory processes.

Newsletter

Sign up for our newsletter and get the latest updates and news.
 

Please provide a valid E-Mail-Address
Please provide a valid First name
Please provide a valid Last name