Tailor-made Antibodies
and Tools for Life Science
Home | | | | | Technical Support

LAMP3 antibody - HS-391 017 K.O.

LAMP3 is a glycoprotein of the lysosomal membrane
Rat monoclonal purified antibody
Cat. No.: HS-391 017
Amount: 100 µg
Price: $420.00
Cat. No. HS-391 017 100 µg specific antibody, lyophilized. Affinity purified with the immunogen. Albumin and azide were added for stabilization. For reconstitution add 100 µl H2O to get a 1mg/ml solution in PBS. Then aliquot and store at -20°C to -80°C until use.
Antibodies should be stored at +4°C when still lyophilized. Do not freeze!
Applications
 
WB: not tested yet
IP: not tested yet
ICC: not tested yet
IHC: not recommended
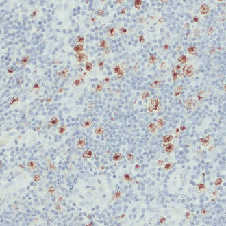
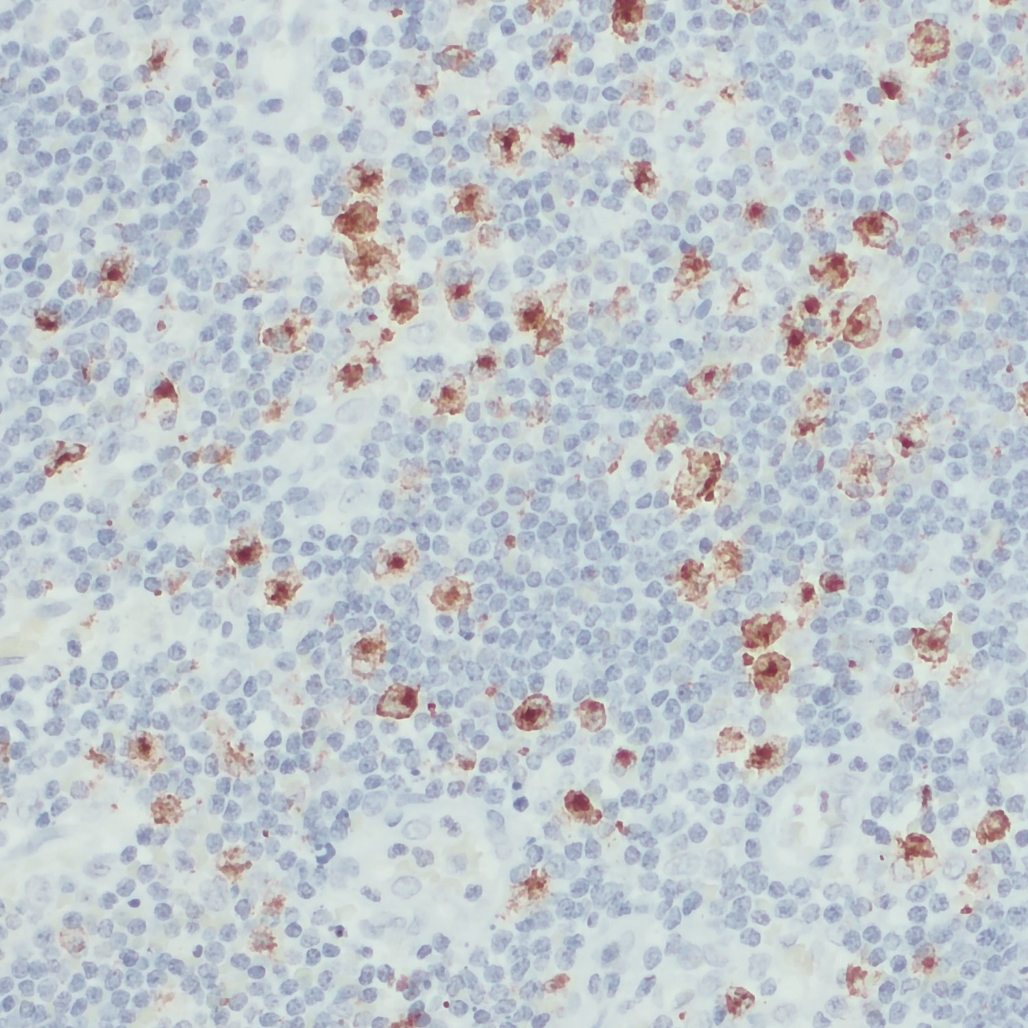
IHC-P (FFPE): 1 : 200 up to 1 : 1000 gallery  

Western blot (WB); separation of proteins by PAGE and subsequent transfer to a membrane. Detection of target molecules is carried out with antibodies. Some antibodies require special sample preparation steps. For details, please refer to the “Remarks” section.

Immunoprecipitation (IP); Immunoisolation or pulldown of a target molecule using an antibody. For details and product specific hints, please refer to the ”Remarks” section.

Immunocytochemistry (ICC) on 4% PFA fixed cells. Immunoreactivity is usually revealed by fluorescence. Some antibodies require special fixation methods. For details, please refer to the “Remarks” section.

Immunohistochemistry (IHC) on 4% PFA perfusion fixed tissue with 24h PFA post fixation. Immunoreactivity is usually revealed by fluorescence or a chromogenic substrate. Some antibodies require special fixation methods or antigen retrieval steps. For details, please refer to the ”Remarks” section.

Immunohistochemistry (IHC-P) of formalin fixed, paraffin embedded (FFPE) tissue (some antibodies require special antigen retrieval steps, please refer to the ”Remarks” section). Immunoreactivity is usually revealed by fluorescence or a chromogenic substrate.

Clone SY-354H7
Subtype IgG2a (κ light chain)
Immunogen Synthetic peptide corresponding to C-terminal residues of mouse LAMP3. (UniProt Id: Q7TST5)
Reactivity Reacts with: mouse (Q7TST5), rat (Q5XI99), human (Q9UQV4).
Other species not tested yet.
Specificity Recognizes LAMP 3, no crossreactivity to LAMP 1, LAMP 2 and LAMP 5. K.O. validated
Data sheet Datasheet hs-391_017
Important information
This product belongs to the HistoSure product line of antibodies developed for and extensively tested in FFPE tissues.
For more information please visit our HistoSure brand website.
Cat. No.: HS-391 017
Amount: 100 µg
Price: $420.00

LAMP3 / DC-LAMP positive mature dendritic cells in human squamous cell carcinoma lymph node metastasis

Background

LAMP3 (lysosome-associated membrane glycoprotein 3), also referred to as DC-LAMP (dendritic cell LAMP) or CD 208, is a member of the LAMP protein family and a single-pass type I transmembrane protein that can be variably glycosylated. It is specifically expressed in lung type II pneumocytes and by activated human dendritic cells (1, 2).
Recent studies demonstrated high expression of LAMP3 in a variety of malignancies including squamous cell carcinoma, gastrointestinal cancer, breast cancer, ovarian cancer, and cervical cancer. Its expression has been associated with metastasis and poor overall survival (3, 4, 5).

Certificates

ISO 9001 2015 Quality Management System and Green Lab Platinum certification level for sustaining laboratory processes.

Newsletter

Sign up for our newsletter and get the latest updates and news.
 

Please provide a valid E-Mail-Address
Please provide a valid First name
Please provide a valid Last name