Tailor-made Antibodies
and Tools for Life Science
Home | | | | | Technical Support

CD8a antibody mouse specific - HS-361 017

CD8a is a T-cell surface glycoprotein
Rat monoclonal purified IgG
Cat. No.: HS-361 017
Amount: 200 µl
Price: $420.00
Cat. No. HS-361 017 200 µl purified IgG, lyophilized. Albumin and azide were added for stabilization. For reconstitution add 200 µl H2O. Then aliquot and store at -20°C to -80°C until use.
Antibodies should be stored at +4°C when still lyophilized. Do not freeze!
Applications
 
WB: 1 : 500 (AP staining) gallery  
IP: not tested yet
IHC: not tested yet
IHC-P (FFPE): 1 : 100 gallery  
IHC-Fr: 1 : 200 (see remarks) gallery  

Western blot (WB); separation of proteins by PAGE and subsequent transfer to a membrane. Detection of target molecules is carried out with antibodies. Some antibodies require special sample preparation steps. For details, please refer to the “Remarks” section.

Immunoprecipitation (IP); Immunoisolation or pulldown of a target molecule using an antibody. For details and product specific hints, please refer to the ”Remarks” section.

Immunohistochemistry (IHC) on 4% PFA perfusion fixed tissue with 24h PFA post fixation. Immunoreactivity is usually revealed by fluorescence or a chromogenic substrate. Some antibodies require special fixation methods or antigen retrieval steps. For details, please refer to the ”Remarks” section.

Immunohistochemistry (IHC-P) of formalin fixed, paraffin embedded (FFPE) tissue (some antibodies require special antigen retrieval steps, please refer to the ”Remarks” section). Immunoreactivity is usually revealed by fluorescence or a chromogenic substrate.

Immunohistochemistry on fresh frozen (IHC-Fr) cryo-tissue-sections. In contrast to standard PFA perfusion fixed tissues, fresh frozen cryo-tissue-sections can be variably postfixed with alcohols, acetone or PFA. Alcohol or acetone fixation is e.g. of advantage for antigens masked by PFA crosslinking. For recommended postfixation, please refer to the ”Remarks” section. Immunoreactivity is usually revealed by fluorescence or a chromogenic substrate.

Clone GHH8/321E9
Subtype IgG2a
Immunogen Synthetic peptide corresponding to AA 230 to 247 from mouse CD8a (UniProt Id: P01731)
Reactivity Reacts with: mouse (P01731).
No signal: human, rat.
Other species not tested yet.
Remarks

IHC-Fr: 4% formaldehyde/PFA fixation is recommended.

Data sheet Datasheet hs-361_017
Important information
This product belongs to the HistoSure product line of antibodies developed for and extensively tested in FFPE tissues.
For more information please visit our HistoSure brand website.

References for CD8a - HS-361 017

Systemic Inactivation of TREX1 Induces Selective Inflammation of the Tumor Microenvironment and Invigorated T-cell-Mediated Tumor Control.
Marinkovic E, Chen M, Schubert N, Dogan Dar E, Poth T, Leung JY, Lohre J, Sahni JM, Tun C, Rajeswaran P, Mehlo-Jensen T, et al.
Cancer research (2025) 8515: 2876-2889. HS-361 017 IHC-P (FFPE); tested species: mouse
Impact of Chemical-Induced Mutational Load Increase on Immune Checkpoint Therapy in Poorly Responsive Murine Tumors.
Kuczynski EA, Krueger J, Chow A, Xu P, Man S, Sundaravadanam Y, Miller JK, Krzyzanowski PM, Kerbel RS
Molecular cancer therapeutics (2018) 174: 869-882. HS-361 017 IHC-P (FFPE); tested species: mouse
Helicobacter pylori γ-glutamyl transferase contributes to colonization and differential recruitment of T cells during persistence.
Wüstner S, Anderl F, Wanisch A, Sachs C, Steiger K, Nerlich A, Vieth M, Mejías-Luque R, Gerhard M
Scientific reports (2017) 71: 13636. HS-361 017 IHC-P (FFPE); tested species: mouse
Cat. No.: HS-361 017
Amount: 200 µl
Price: $420.00

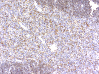
CD8 positive T-cells in FFPE mouse thymus section

Systemic Inactivation of TREX1 Induces Selective Inflammation of the Tumor Microenvironment and Invigorated T-cell-Mediated Tumor Control.
Marinkovic E, Chen M, Schubert N, Dogan Dar E, Poth T, Leung JY, Lohre J, Sahni JM, Tun C, Rajeswaran P, Mehlo-Jensen T, et al.
Cancer research (2025) 8515: 2876-2889. HS-361 017 IHC-P (FFPE); tested species: mouse
Impact of Chemical-Induced Mutational Load Increase on Immune Checkpoint Therapy in Poorly Responsive Murine Tumors.
Kuczynski EA, Krueger J, Chow A, Xu P, Man S, Sundaravadanam Y, Miller JK, Krzyzanowski PM, Kerbel RS
Molecular cancer therapeutics (2018) 174: 869-882. HS-361 017 IHC-P (FFPE); tested species: mouse
Helicobacter pylori γ-glutamyl transferase contributes to colonization and differential recruitment of T cells during persistence.
Wüstner S, Anderl F, Wanisch A, Sachs C, Steiger K, Nerlich A, Vieth M, Mejías-Luque R, Gerhard M
Scientific reports (2017) 71: 13636. HS-361 017 IHC-P (FFPE); tested species: mouse
Background

CD 8 is a heterodimeric T-cell surface glycoprotein that consists of a CD 8a (alpha) and beta chain. It identifies cytotoxic/suppressor T-cells that interact with MHC class I bearing targets. CD 8 is thought to play a role in the process of T-cell mediated killing. CD 8 alpha chains binds to class I MHC molecules alpha-3 domains.

Certificates

ISO 9001 2015 Quality Management System and Green Lab Platinum certification level for sustaining laboratory processes.

Newsletter

Sign up for our newsletter and get the latest updates and news.
 

Please provide a valid E-Mail-Address
Please provide a valid First name
Please provide a valid Last name