Tailor-made Antibodies
and Tools for Life Science
Home | | | | | Technical Support

CD4 antibody mouse specific - HS-360 308

CD4 is a T-cell surface glycoprotein
Guinea pig monoclonal recombinant IgG
Cat. No.: HS-360 308
Amount: 100 µl
Price: $420.00
Cat. No. HS-360 308 100 µl purified recombinant IgG, lyophilized. Albumin and azide were added for stabilization. For reconstitution add 100 µl H2O. Then aliquot and store at -20°C to -80°C until use.
Antibodies should be stored at +4°C when still lyophilized. Do not freeze!
Applications
 
WB: 1 : 1000 up to 1 : 2000 (AP staining) gallery  
IP: not tested yet
ICC: not tested yet
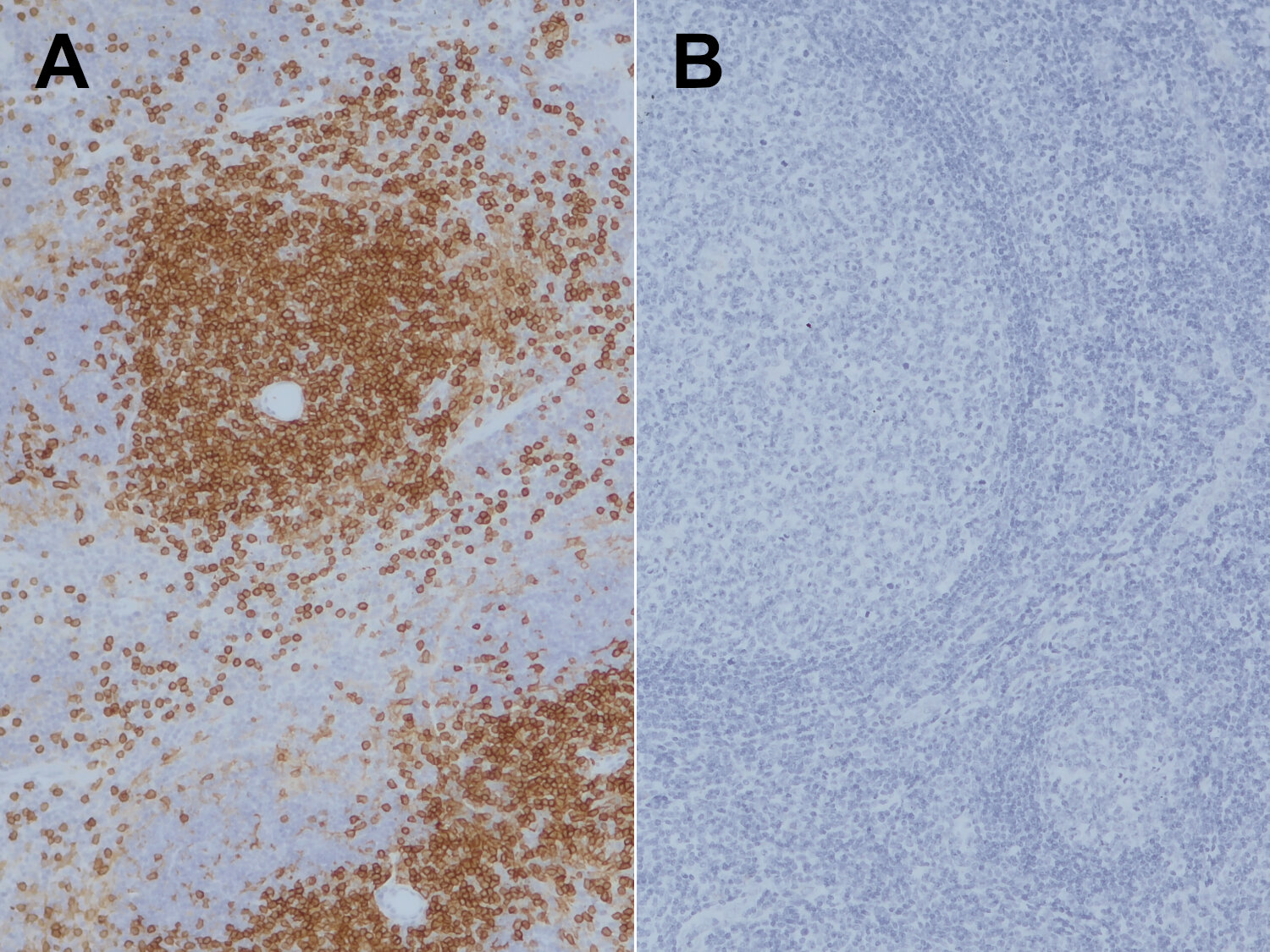
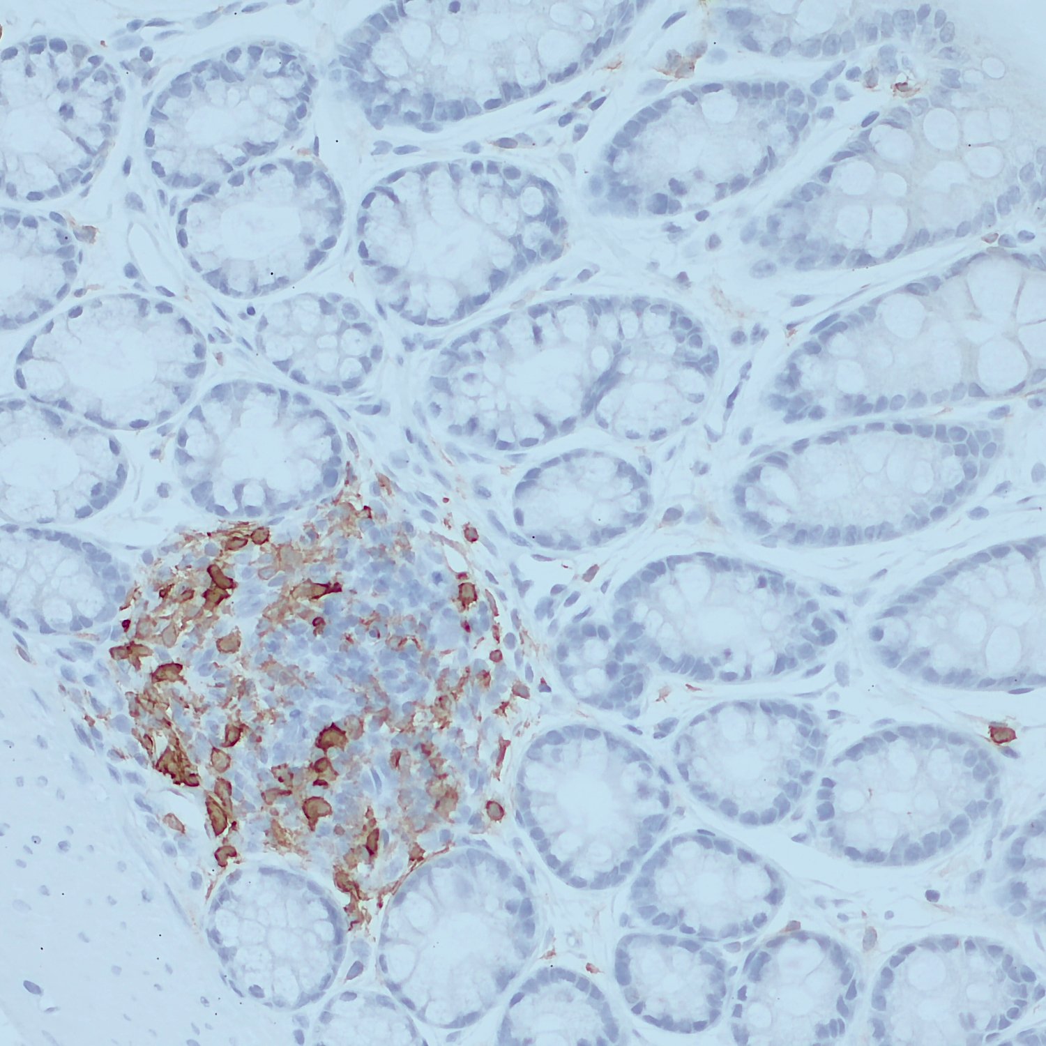
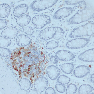
IHC: 1 : 500 (see remarks) gallery  
IHC-P (FFPE): 1 : 500 up to 1 : 1000 gallery  

Western blot (WB); separation of proteins by PAGE and subsequent transfer to a membrane. Detection of target molecules is carried out with antibodies. Some antibodies require special sample preparation steps. For details, please refer to the “Remarks” section.

Immunoprecipitation (IP); Immunoisolation or pulldown of a target molecule using an antibody. For details and product specific hints, please refer to the ”Remarks” section.

Immunocytochemistry (ICC) on 4% PFA fixed cells. Immunoreactivity is usually revealed by fluorescence. Some antibodies require special fixation methods. For details, please refer to the “Remarks” section.

Immunohistochemistry (IHC) on 4% PFA perfusion fixed tissue with 24h PFA post fixation. Immunoreactivity is usually revealed by fluorescence or a chromogenic substrate. Some antibodies require special fixation methods or antigen retrieval steps. For details, please refer to the ”Remarks” section.

Immunohistochemistry (IHC-P) of formalin fixed, paraffin embedded (FFPE) tissue (some antibodies require special antigen retrieval steps, please refer to the ”Remarks” section). Immunoreactivity is usually revealed by fluorescence or a chromogenic substrate.

Clone Gp78H9D2
Subtype IgG2 (κ light chain)
Immunogen Recombinant protein corresponding to AA 27 to 394 from mouse CD4 (UniProt Id: P06332)
Reactivity Reacts with: mouse (P06332).
No signal: human (P01730).
Other species not tested yet.
Remarks

This antibody is a chimeric antibody based on the monoclonal rat antibody clone 78H9D2. The constant regions of the heavy and light chains have been replaced by Guinea-pig specific sequences. Therefore, the antibody can be used with standard anti-Guinea pig secondary reagents. The antibody has been expressed in mammalian cells.
IHC: Antigen retrieval with citrate buffer pH 6 is required.

Data sheet Datasheet hs-360_308
Important information
This product belongs to the HistoSure product line of antibodies developed for and extensively tested in FFPE tissues.
For more information please visit our HistoSure brand website.
Cat. No.: HS-360 308
Amount: 100 µl
Price: $420.00

CD4 positive T-cells in FFPE mouse colon section

Background

CD4 (cluster of differentiation 4) is a glycoprotein found on the surface of immune cells such as T helper cells, monocytes, macrophages, and dendritic cells.
CD4 is a co-receptor that assists the T-cell receptor (TCR) in communicating with an antigen-presenting cell.

Certificates

ISO 9001 2015 Quality Management System and Green Lab Platinum certification level for sustaining laboratory processes.

Newsletter

Sign up for our newsletter and get the latest updates and news.
 

Please provide a valid E-Mail-Address
Please provide a valid First name
Please provide a valid Last name