Tailor-made Antibodies
and Tools for Life Science
Home | | | | | Technical Support

IBA1 antibody - HS-234 308

IBA1 is a marker for macrophages and microglia
Guinea pig monoclonal recombinant IgG
Cat. No.: HS-234 308
Amount: 50 µg
Price: $430.00
Cat. No. HS-234 308 50 µg purified recombinant IgG, lyophilized. Albumin and azide were added for stabilization. For reconstitution add 50 µl H2O to get a 1mg/ml solution in PBS. Then aliquot and store at -20°C to -80°C until use.
Antibodies should be stored at +4°C when still lyophilized. Do not freeze!
Applications
 
WB: 1 : 1000 (AP staining) gallery  
IP: not tested yet
ICC: 1 : 500 gallery  
IHC: 1 : 500 (see remarks) gallery  
IHC-P (FFPE): 1 : 1000 gallery  

Western blot (WB); separation of proteins by PAGE and subsequent transfer to a membrane. Detection of target molecules is carried out with antibodies. Some antibodies require special sample preparation steps. For details, please refer to the “Remarks” section.

Immunoprecipitation (IP); Immunoisolation or pulldown of a target molecule using an antibody. For details and product specific hints, please refer to the ”Remarks” section.

Immunocytochemistry (ICC) on 4% PFA fixed cells. Immunoreactivity is usually revealed by fluorescence. Some antibodies require special fixation methods. For details, please refer to the “Remarks” section.

Immunohistochemistry (IHC) on 4% PFA perfusion fixed tissue with 24h PFA post fixation. Immunoreactivity is usually revealed by fluorescence or a chromogenic substrate. Some antibodies require special fixation methods or antigen retrieval steps. For details, please refer to the ”Remarks” section.

Immunohistochemistry (IHC-P) of formalin fixed, paraffin embedded (FFPE) tissue (some antibodies require special antigen retrieval steps, please refer to the ”Remarks” section). Immunoreactivity is usually revealed by fluorescence or a chromogenic substrate.

Clone Gp311H9
Subtype IgG2 (κ light chain)
Immunogen Synthetic peptide corresponding to residues near the carboxy terminus of rat IBA1 (UniProt Id: P55009)
Reactivity Reacts with: mouse (Q9EQW9), rat (P55009), human (P55008), monkey.
Other species not tested yet.
Remarks

This antibody is a chimeric antibody based on the monoclonal mouse antibody clone 311H9. The constant regions of the heavy and light chains have been replaced by Guinea pig specific sequences. Therefore, the antibody can be used with standard anti-Guinea pig secondary reagents. The antibody has been expressed in mammalian cells.
IHC: Antigen retrieval with citrate buffer pH 6 is tolerated.

Data sheet Datasheet hs-234_308
Important information
This product belongs to the HistoSure product line of antibodies developed for and extensively tested in FFPE tissues.
For more information please visit our HistoSure brand website.

References for IBA1 - HS-234 308

Inhibition of astrocyte signaling leads to sex-specific changes in microglia phenotypes in a diet-based model of cerebral small vessel disease.
Gollihue JL, Aung KZ, Rogers CB, Galopin LB, Wright NA, Sompol P, Weekman EM, Katsumata Y, Morganti JM, Norris CM
Journal of neuroinflammation (2025) 221: 202. HS-234 308 IHC; tested species: mouse
Microglial SIRT2 deficiency aggravates cognitive decline and amyloid pathology in Alzheimer's disease.
Sola-Sevilla N, Garmendia-Berges M, Aleixo M, Mera-Delgado M, Solas M, Tordera RM, García-Carracedo L, Expósito S, Anaya-Cubero E, Fernández-Irigoyen J, Guruceaga E, et al.
Brain, behavior, and immunity (2025) 129: 223-243. HS-234 308 IHC; tested species: mouse
Macrophage/microglia-producing transient increase of platelet-activating factor is involved in neuropathic pain.
Yamamoto S, Hashidate-Yoshida T, Yoshinari Y, Shimizu T, Shindou H
iScience (2024) 274: 109466. HS-234 308 IHC; tested species: mouse
Evaluation of the Effect of β-Wrapin AS69 in a Mouse Model Based on Alpha-Synuclein Overexpression.
Höfs L, Geißler-Lösch D, Wunderlich KM, Szegö EM, Van den Haute C, Baekelandt V, Hoyer W, Falkenburger BH
Biomolecules (2024) 147: . HS-234 308 IHC; tested species: mouse
Analysis of the senescence-associated cell surfaceome reveals potential senotherapeutic targets.
Deng Y, Liu T, Scifo E, Li T, Xie K, Taschler B, Morsy S, Schaaf K, Ehninger A, Bano D, Ehninger D, et al.
Aging cell (2024) : e14312. HS-234 308 IHC; tested species: mouse
A TREM2-activating antibody with a blood-brain barrier transport vehicle enhances microglial metabolism in Alzheimer's disease models.
van Lengerich B, Zhan L, Xia D, Chan D, Joy D, Park JI, Tatarakis D, Calvert M, Hummel S, Lianoglou S, Pizzo ME, et al.
Nature neuroscience (2023) 263: 416-429. HS-234 308 IHC; tested species: mouse
The transition from monocyte to tissue-resident macrophage requires DHPS.
Carrizo GE, Lin P, Lee SH, Shenderov K, Blériot C, Cha M, Schimmelpfennig L, Shen Z, van Teijlingen Bakker N, Grzes KM, Kelly B, et al.
Nature (2026) : . HS-234 308 IHC-P (FFPE); tested species: mouse
Cat. No.: HS-234 308
Amount: 50 µg
Price: $430.00

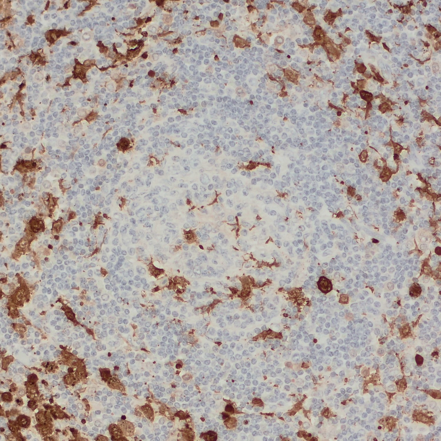
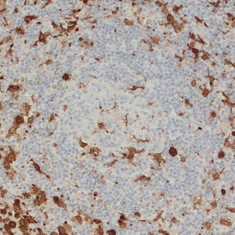
Detection of macrophages in human lymph node metastasis section with Guinea pig monoclonal anti-IBA1

Inhibition of astrocyte signaling leads to sex-specific changes in microglia phenotypes in a diet-based model of cerebral small vessel disease.
Gollihue JL, Aung KZ, Rogers CB, Galopin LB, Wright NA, Sompol P, Weekman EM, Katsumata Y, Morganti JM, Norris CM
Journal of neuroinflammation (2025) 221: 202. HS-234 308 IHC; tested species: mouse
Microglial SIRT2 deficiency aggravates cognitive decline and amyloid pathology in Alzheimer's disease.
Sola-Sevilla N, Garmendia-Berges M, Aleixo M, Mera-Delgado M, Solas M, Tordera RM, García-Carracedo L, Expósito S, Anaya-Cubero E, Fernández-Irigoyen J, Guruceaga E, et al.
Brain, behavior, and immunity (2025) 129: 223-243. HS-234 308 IHC; tested species: mouse
Macrophage/microglia-producing transient increase of platelet-activating factor is involved in neuropathic pain.
Yamamoto S, Hashidate-Yoshida T, Yoshinari Y, Shimizu T, Shindou H
iScience (2024) 274: 109466. HS-234 308 IHC; tested species: mouse
Evaluation of the Effect of β-Wrapin AS69 in a Mouse Model Based on Alpha-Synuclein Overexpression.
Höfs L, Geißler-Lösch D, Wunderlich KM, Szegö EM, Van den Haute C, Baekelandt V, Hoyer W, Falkenburger BH
Biomolecules (2024) 147: . HS-234 308 IHC; tested species: mouse
Analysis of the senescence-associated cell surfaceome reveals potential senotherapeutic targets.
Deng Y, Liu T, Scifo E, Li T, Xie K, Taschler B, Morsy S, Schaaf K, Ehninger A, Bano D, Ehninger D, et al.
Aging cell (2024) : e14312. HS-234 308 IHC; tested species: mouse
A TREM2-activating antibody with a blood-brain barrier transport vehicle enhances microglial metabolism in Alzheimer's disease models.
van Lengerich B, Zhan L, Xia D, Chan D, Joy D, Park JI, Tatarakis D, Calvert M, Hummel S, Lianoglou S, Pizzo ME, et al.
Nature neuroscience (2023) 263: 416-429. HS-234 308 IHC; tested species: mouse
The transition from monocyte to tissue-resident macrophage requires DHPS.
Carrizo GE, Lin P, Lee SH, Shenderov K, Blériot C, Cha M, Schimmelpfennig L, Shen Z, van Teijlingen Bakker N, Grzes KM, Kelly B, et al.
Nature (2026) : . HS-234 308 IHC-P (FFPE); tested species: mouse
Background

Ionized calcium-binding adaptor molecule 1 (IBA1) or allograft inflammatory factor1 (AIF-1) is an EF hand calcium binding protein which is expressed by cells of the monocyte/macrophage lineage and by germ cells in the testis (1). In mice, IBA1/AIF-1 can be regarded a “pan-macrophage marker” because, except for alveolar macrophages, all subpopulations of macrophages express IBA1/AIF-1 (1). In human gliomas IBA1 defines a distinct subset of tumor-associated activated macrophages/microglial cells (2).
Microglia represent the resident macrophages in the nervous system and are the smallest of the glial cells with cell bodies of only 2-5 µm in diameter. In the CNS IBA1 upregulation is associated with neuroinflammatory response (3). 

Certificates

ISO 9001 2015 Quality Management System and Green Lab Platinum certification level for sustaining laboratory processes.

Newsletter

Sign up for our newsletter and get the latest updates and news.
 

Please provide a valid E-Mail-Address
Please provide a valid First name
Please provide a valid Last name