Tailor-made Antibodies
and Tools for Life Science
Home | | | | | Technical Support

GIP antibody - 514 003

GIP is a peptide hormone involved in glucose, lipid and bone homeostasis
Rabbit polyclonal purified antibody
Cat. No.: 514 003
Amount: 50 µg
Price: $380.00
Cat. No. 514 003 50 µg specific antibody, lyophilized. Affinity purified with the immunogen. Albumin and azide were added for stabilization. For reconstitution add 50 µl H2O to get a 1mg/ml solution in PBS. Then aliquot and store at -20°C to -80°C until use.
Antibodies should be stored at +4°C when still lyophilized. Do not freeze!
Applications
 
WB: not tested yet
IP: not tested yet
ICC: not tested yet
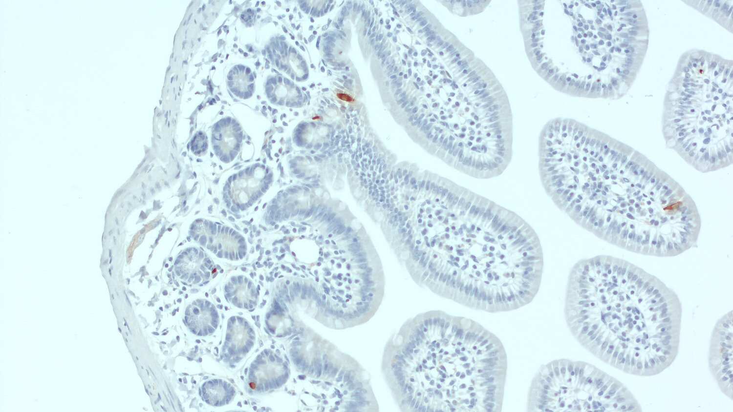
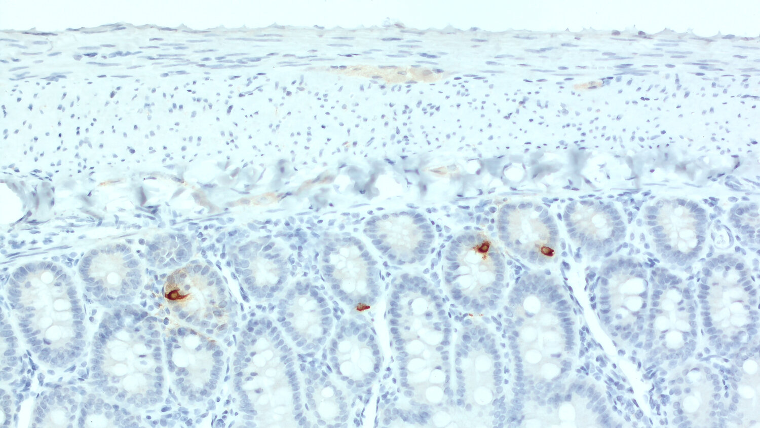
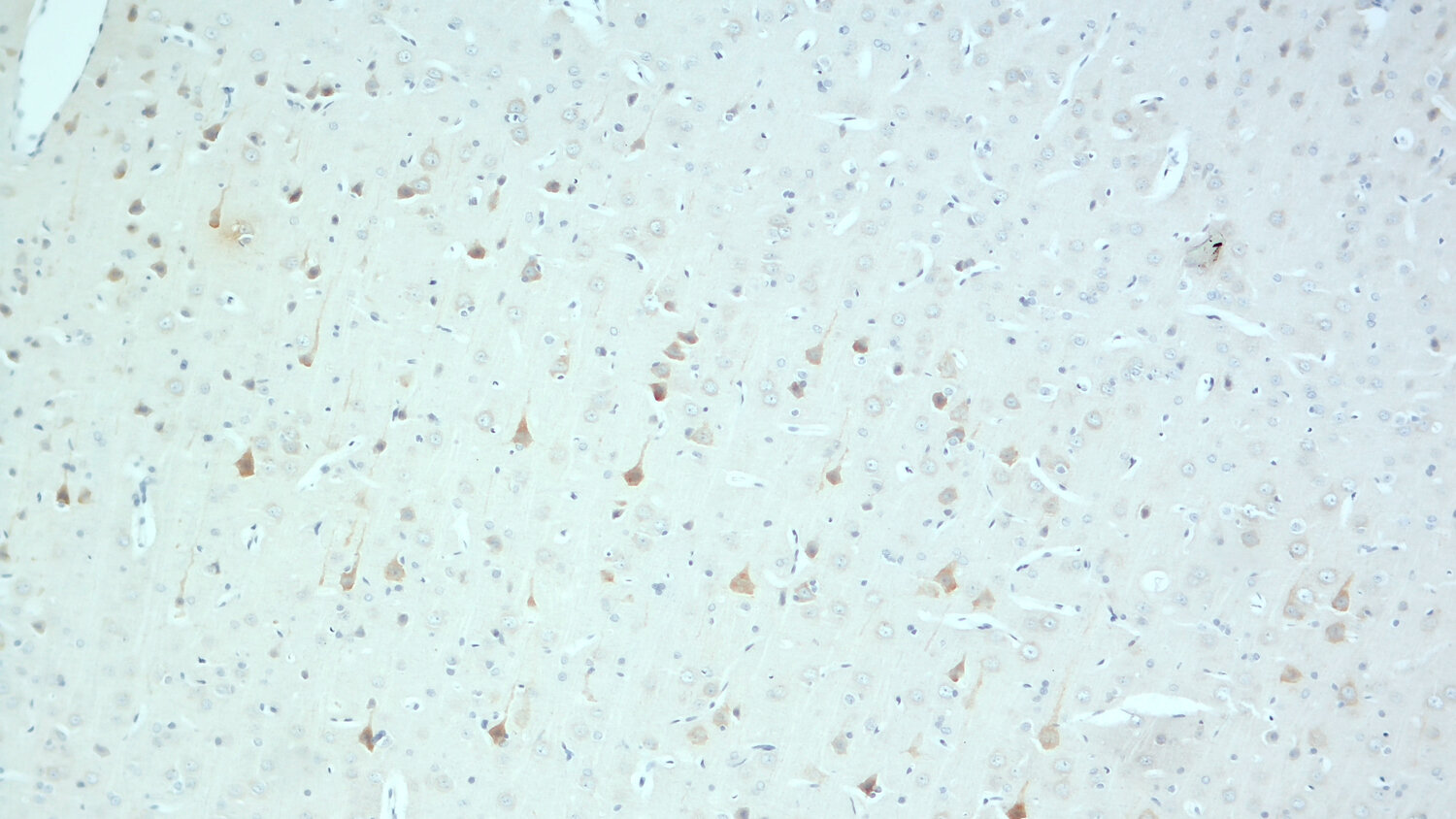
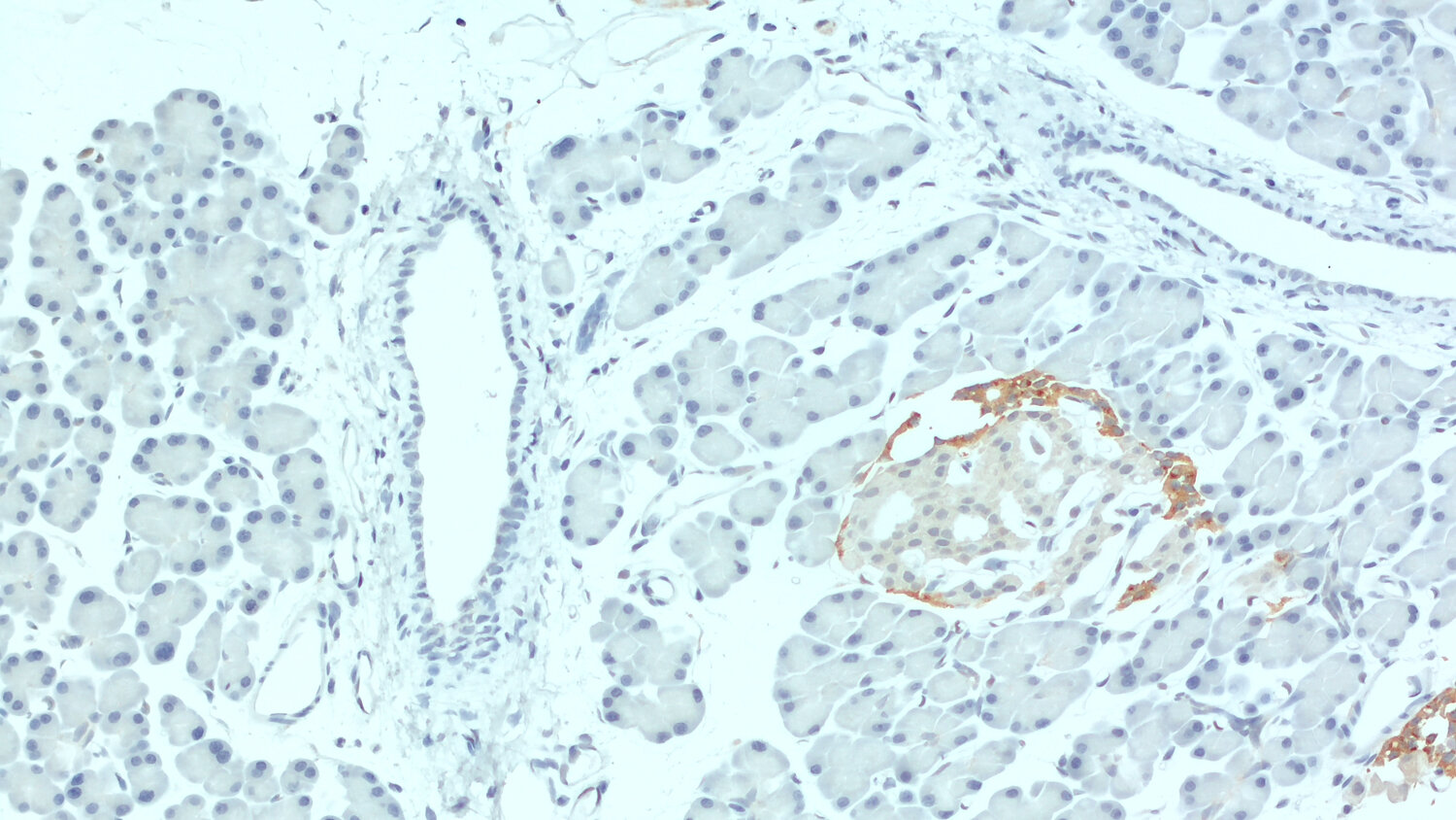
IHC: 1 : 500 up to 1 : 2000 gallery  
IHC-P (FFPE): 1 : 1000 up to 1 : 4000 gallery  

Western blot (WB); separation of proteins by PAGE and subsequent transfer to a membrane. Detection of target molecules is carried out with antibodies. Some antibodies require special sample preparation steps. For details, please refer to the “Remarks” section.

Immunoprecipitation (IP); Immunoisolation or pulldown of a target molecule using an antibody. For details and product specific hints, please refer to the ”Remarks” section.

Immunocytochemistry (ICC) on 4% PFA fixed cells. Immunoreactivity is usually revealed by fluorescence. Some antibodies require special fixation methods. For details, please refer to the “Remarks” section.

Immunohistochemistry (IHC) on 4% PFA perfusion fixed tissue with 24h PFA post fixation. Immunoreactivity is usually revealed by fluorescence or a chromogenic substrate. Some antibodies require special fixation methods or antigen retrieval steps. For details, please refer to the ”Remarks” section.

Immunohistochemistry (IHC-P) of formalin fixed, paraffin embedded (FFPE) tissue (some antibodies require special antigen retrieval steps, please refer to the ”Remarks” section). Immunoreactivity is usually revealed by fluorescence or a chromogenic substrate.

Immunogen Synthetic peptide corresponding to AA 58 to 85 from mouse GIP (UniProt Id: P48756)
Reactivity Reacts with: mouse (P48756), rat (Q06145).
Other species not tested yet.
Specificity The antibody is specific for GIP. It may show minor cross-reactivity to related peptide hormones.
Data sheet Datasheet 514_003
Cat. No.: 514 003
Amount: 50 µg
Price: $380.00
Background

Gastric inhibitory polypeptide (GIP), also known as glucose-dependent insulinotropic polypeptide, is a member of the secretin/glucagon superfamily of peptides. It is a well conserved 42 amino acid peptide generated by post-translational cleavage of the precursor protein proGIP (1).
GIP is synthesized by enteroendocrine K cells of the small intestine, found in highest concentration in the duodenum. It is released into the circulation in response to glucose or fat ingestion (1). A short but bioactive form of GIP (GIP1-30) is secreted from pancreatic alpha-cells within the pancreatic islets (2). In the CNS, GIP is expressed in several brain regions including the cerebral cortex, hippocampus, and olfactory bulb (3).
GIP exerts its effects via interaction with its G-protein-coupled receptor. In pancreatic beta-cells, it increases adenylyl cyclase activity, thereby stimulating insulin secretion  (1,2). GIP is also implicated in the control of lipid metabolism and the development of obesity. In adipose tissue, it increases lipoprotein lipase activity and lipogenesis (1,4). Recently, GIP appeared as a major player in bone metabolism and bone cell physiology by preserving bone strength (4,5). In the brain, GIP induces neuronal progenitor cell proliferation and has a neuroprotective function (3).

 

Certificates

ISO 9001 2015 Quality Management System and Green Lab Platinum certification level for sustaining laboratory processes.

Newsletter

Sign up for our newsletter and get the latest updates and news.
 

Please provide a valid E-Mail-Address
Please provide a valid First name
Please provide a valid Last name