Tailor-made Antibodies
and Tools for Life Science
Home | | | | | Technical Support

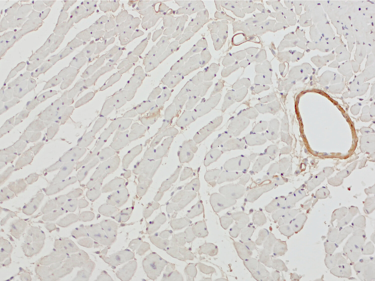
Alpha-smooth muscle Actin antibody - 449 004

alpha-smooth muscle Actin is a blood vessel marker in the brain
Guinea pig polyclonal antiserum
Cat. No.: 449 004
Amount: 100 µl
Price: $370.00
Cat. No. 449 004 100 µl antiserum, lyophilized. For reconstitution add 100 µl H2O, then aliquot and store at -20°C until use.
Antibodies should be stored at +4°C when still lyophilized. Do not freeze!
Applications
 
WB: 1 : 1000 (AP staining) gallery  
ICC: 1 : 500 up to 1 : 1000 gallery  
IHC: 1 : 500 up to 1 : 2000 gallery  
IHC-P (FFPE): 1 : 250 up to 1 : 1000 gallery  

Western blot (WB); separation of proteins by PAGE and subsequent transfer to a membrane. Detection of target molecules is carried out with antibodies. Some antibodies require special sample preparation steps. For details, please refer to the “Remarks” section.

Immunocytochemistry (ICC) on 4% PFA fixed cells. Immunoreactivity is usually revealed by fluorescence. Some antibodies require special fixation methods. For details, please refer to the “Remarks” section.

Immunohistochemistry (IHC) on 4% PFA perfusion fixed tissue with 24h PFA post fixation. Immunoreactivity is usually revealed by fluorescence or a chromogenic substrate. Some antibodies require special fixation methods or antigen retrieval steps. For details, please refer to the ”Remarks” section.

Immunohistochemistry (IHC-P) of formalin fixed, paraffin embedded (FFPE) tissue (some antibodies require special antigen retrieval steps, please refer to the ”Remarks” section). Immunoreactivity is usually revealed by fluorescence or a chromogenic substrate.

Immunogen Synthetic peptide corresponding to AA 3 to 12 from mouse Smooth muscle Actin (UniProt Id: P62737)
Reactivity Reacts with: mouse (P62737), rat (P62738), human (P62736).
Other species not tested yet.
Specificity Specific for alpha-smooth muscle actin, no cross- reactivity to alpha skeletal muscle actin and alpha cardiac muscle actin
Data sheet Datasheet 449_004
Cat. No.: 449 004
Amount: 100 µl
Price: $370.00
Background

Alpha-smooth muscle actin (alpha-SMA) is found on smooth muscle vessel walls, gut wall, myometrium, myoepithelial cells in breast, and salivary glands. It is abundant in vascular and visceral smooth muscle cells. (1)
Alpha-smooth muscle actin (alpha-SMA) is the actin isoform that predominates within vascular smooth-muscle cells and plays an important role in fibrogenesis.
Actin can be found in two different forms of aggregation, the globular or the fibrillar state, and at least six distinct isoforms occur in vertebrates. The actins exhibit over 90% sequence homology, but each isoform has a unique NH2- terminal sequence. The isoforms are comprised of three alpha actins (skeletal, cardiac, smooth), one beta actin (beta-non-muscle) and two gamma actins (gamma smooth muscle and gamma non-muscle). (2)

Certificates

ISO 9001 2015 Quality Management System and Green Lab Platinum certification level for sustaining laboratory processes.

Newsletter

Sign up for our newsletter and get the latest updates and news.
 

Please provide a valid E-Mail-Address
Please provide a valid First name
Please provide a valid Last name