Tailor-made Antibodies
and Tools for Life Science
Home | | | | | Technical Support

BCAS1 antibody - 445 004

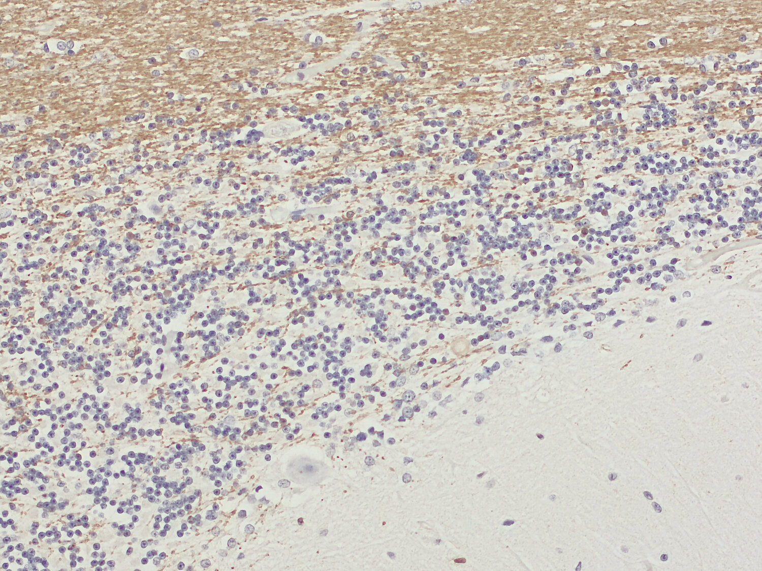
BCAS1 is a protein specific for an actively myelinating oligodendrocyte subpopulation
Guinea pig polyclonal antiserum
Cat. No.: 445 004
Amount: 100 µl
Price: $370.00
Cat. No. 445 004 100 µl antiserum, lyophilized. For reconstitution add 100 µl H2O, then aliquot and store at -20°C until use.
Antibodies should be stored at +4°C when still lyophilized. Do not freeze!
Applications
 
WB: 1 : 1000 (AP staining) (see remarks) gallery  
IP: not tested yet
ICC: 1 : 500 gallery  
IHC: 1 : 500 gallery  
IHC-P (FFPE): 1 : 200 up to 1 : 1000 gallery  

Western blot (WB); separation of proteins by PAGE and subsequent transfer to a membrane. Detection of target molecules is carried out with antibodies. Some antibodies require special sample preparation steps. For details, please refer to the “Remarks” section.

Immunoprecipitation (IP); Immunoisolation or pulldown of a target molecule using an antibody. For details and product specific hints, please refer to the ”Remarks” section.

Immunocytochemistry (ICC) on 4% PFA fixed cells. Immunoreactivity is usually revealed by fluorescence. Some antibodies require special fixation methods. For details, please refer to the “Remarks” section.

Immunohistochemistry (IHC) on 4% PFA perfusion fixed tissue with 24h PFA post fixation. Immunoreactivity is usually revealed by fluorescence or a chromogenic substrate. Some antibodies require special fixation methods or antigen retrieval steps. For details, please refer to the ”Remarks” section.

Immunohistochemistry (IHC-P) of formalin fixed, paraffin embedded (FFPE) tissue (some antibodies require special antigen retrieval steps, please refer to the ”Remarks” section). Immunoreactivity is usually revealed by fluorescence or a chromogenic substrate.

Immunogen Mixture of two synthetic peptides corresponding to AA 305-327 and AA 360–379 in rat BCAS1 (UniProt Id: Q3ZB98)
Reactivity Reacts with: mouse (Q80YN3), rat (Q3ZB98), human (O75363).
Other species not tested yet.
Specificity Specific for BCAS1 and its known isoforms
Remarks

WB: shows almost no signal in westernblots on mouse brain lysate.

Data sheet Datasheet 445_004

References for BCAS1 - 445 004

Apolipoprotein ε4 exacerbates white matter impairment in a mouse model of Aβ amyloidosis by decreasing actively myelinating oligodendrocytes.
Al-Amin MM, Kim B, Karahan H, Tate MD, Walsh SP, Puntambekar SS, Bissel SJ, Lamb BT, Wang N, Kim J
Alzheimer's & dementia : the journal of the Alzheimer's Association (2025) 2110: e70791. 445 004 IHC; tested species: mouse
Micro-scale control of oligodendrocyte morphology and myelination by the intellectual disability-linked protein acyltransferase ZDHHC9.
Jeong HK, Gonzalez-Fernandez E, Crawley I, Coakley JM, Hwang J, Martin DDO, Bamji SX, Kim JI, Kang SH, Thomas GM
eLife (2025) 13: . 445 004 IHC; tested species: mouse
The extent of alpha-synuclein aggregate accumulation in neurons varies depending on the type of neurotransmitter they release.
Kameda H, Okamoto S, Ogasawara K, Okuzumi A, Hattori N, Hioki H, Koike M
Scientific reports (2025) 151: 44530. 445 004 IHC; tested species: mouse
Oligodendrocyte Maturation Alters the Cell Death Mechanisms That Cause Demyelination.
Chapman TW, Kamen Y, Piedra ET, Hill RA
The Journal of neuroscience : the official journal of the Society for Neuroscience (2024) 4413: . 445 004 IHC; tested species: mouse
Mitochondrial network reorganization and transient expansion during oligodendrocyte generation.
Bame X, Hill RA
Nature communications (2024) 151: 6979. 445 004 IHC; tested species: mouse
Transient upregulation of procaspase-3 during oligodendrocyte fate decisions.
Kamen Y, Chapman TW, Piedra ET, Ciolkowski ME, Hill RA
bioRxiv : the preprint server for biology (2024) : . 445 004 IHC; tested species: mouse
Age and Alzheimer's Disease-Related Oligodendrocyte Changes in Hippocampal Subregions.
DeFlitch L, Gonzalez-Fernandez E, Crawley I, Kang SH
Frontiers in cellular neuroscience (2022) 16: 847097. 445 004 IHC; tested species: mouse
Cat. No.: 445 004
Amount: 100 µl
Price: $370.00
Apolipoprotein ε4 exacerbates white matter impairment in a mouse model of Aβ amyloidosis by decreasing actively myelinating oligodendrocytes.
Al-Amin MM, Kim B, Karahan H, Tate MD, Walsh SP, Puntambekar SS, Bissel SJ, Lamb BT, Wang N, Kim J
Alzheimer's & dementia : the journal of the Alzheimer's Association (2025) 2110: e70791. 445 004 IHC; tested species: mouse
Micro-scale control of oligodendrocyte morphology and myelination by the intellectual disability-linked protein acyltransferase ZDHHC9.
Jeong HK, Gonzalez-Fernandez E, Crawley I, Coakley JM, Hwang J, Martin DDO, Bamji SX, Kim JI, Kang SH, Thomas GM
eLife (2025) 13: . 445 004 IHC; tested species: mouse
The extent of alpha-synuclein aggregate accumulation in neurons varies depending on the type of neurotransmitter they release.
Kameda H, Okamoto S, Ogasawara K, Okuzumi A, Hattori N, Hioki H, Koike M
Scientific reports (2025) 151: 44530. 445 004 IHC; tested species: mouse
Oligodendrocyte Maturation Alters the Cell Death Mechanisms That Cause Demyelination.
Chapman TW, Kamen Y, Piedra ET, Hill RA
The Journal of neuroscience : the official journal of the Society for Neuroscience (2024) 4413: . 445 004 IHC; tested species: mouse
Mitochondrial network reorganization and transient expansion during oligodendrocyte generation.
Bame X, Hill RA
Nature communications (2024) 151: 6979. 445 004 IHC; tested species: mouse
Transient upregulation of procaspase-3 during oligodendrocyte fate decisions.
Kamen Y, Chapman TW, Piedra ET, Ciolkowski ME, Hill RA
bioRxiv : the preprint server for biology (2024) : . 445 004 IHC; tested species: mouse
Age and Alzheimer's Disease-Related Oligodendrocyte Changes in Hippocampal Subregions.
DeFlitch L, Gonzalez-Fernandez E, Crawley I, Kang SH
Frontiers in cellular neuroscience (2022) 16: 847097. 445 004 IHC; tested species: mouse
Background

Breast carcinoma-amplified sequence 1 (BCAS1) was originally identified as a potential oncogene amplified in human cancer cell lines (1). It is also highly expressed in brain (2) where it mainly defines an oligodendroglial subpopulation occuring at regions of active myelin formation (3).
In fetal brain BCAS1 positive oligodendrocytes are restricted to the white matter. In adult brains they persist in the grey matter until old age (3).

 

For more information on protein expression pattern, please refer to the overview image in our SYSY Antibodies ATLAS.

Certificates

ISO 9001 2015 Quality Management System and Green Lab Platinum certification level for sustaining laboratory processes.

Newsletter

Sign up for our newsletter and get the latest updates and news.
 

Please provide a valid E-Mail-Address
Please provide a valid First name
Please provide a valid Last name