Tailor-made Antibodies
and Tools for Life Science
Home | | | | | Technical Support

Tau antibody - 314 111

Tau is a neuronal microtubule associated protein
Mouse monoclonal purified IgG
Cat. No.: 314 111
Amount: 100 µg
Price: $420.00
Cat. No. 314 111 100 µg purified IgG, lyophilized. Albumin and azide were added for stabilization. For reconstitution add 100 µl H2O to get a 1mg/ml solution in PBS. Then aliquot and store at -20°C to -80°C until use.
Antibodies should be stored at +4°C when still lyophilized. Do not freeze!
Applications
 
WB: not tested yet
IP: not tested yet
ICC: not tested yet
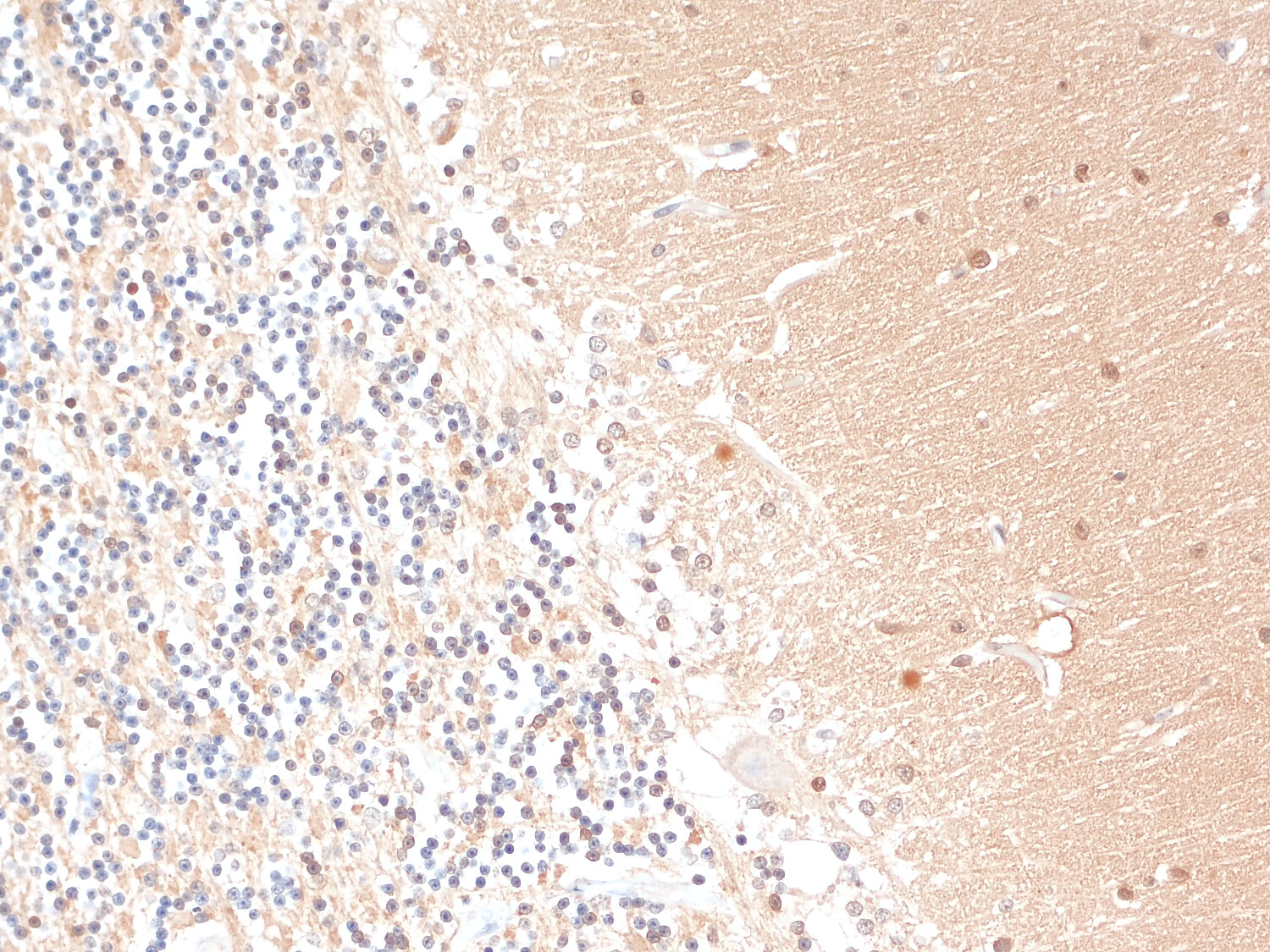
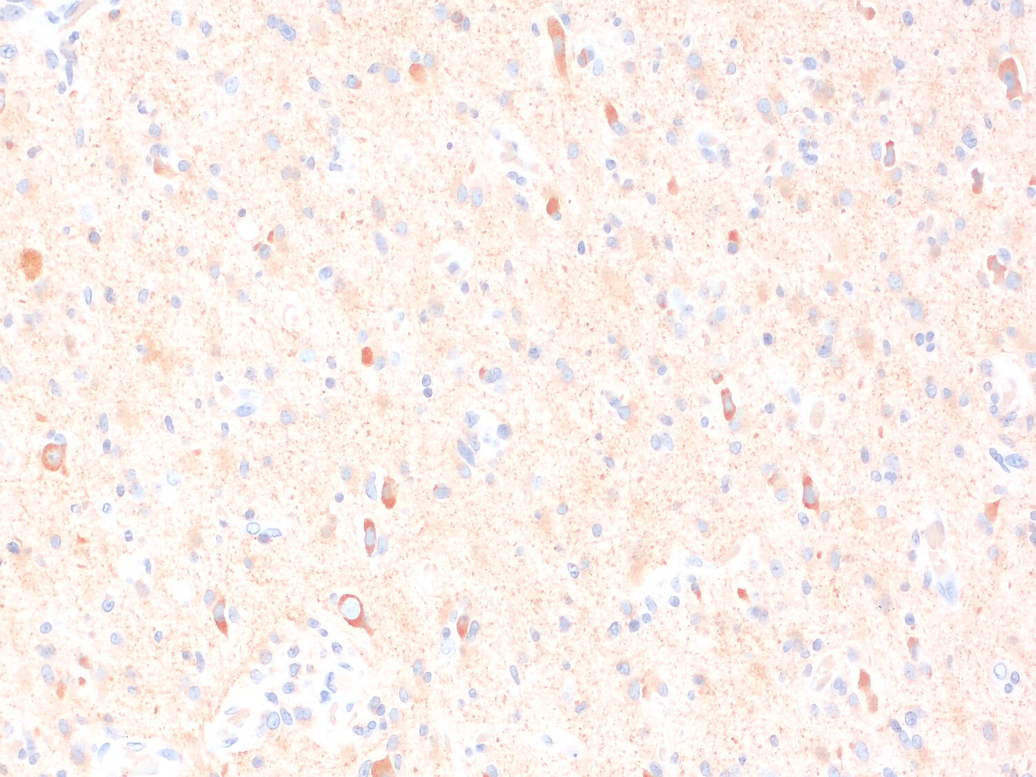
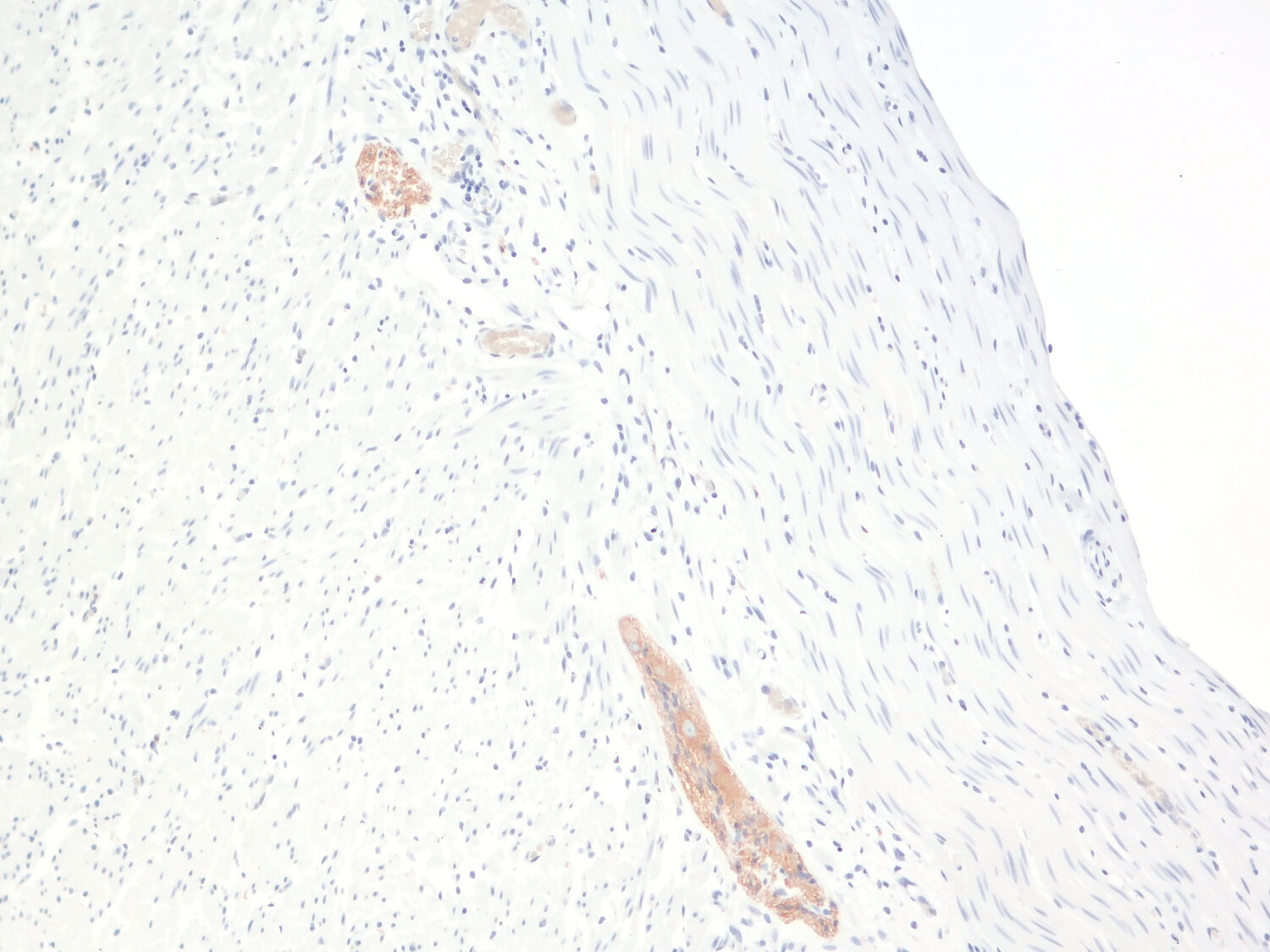
IHC: 1 : 500 gallery  
IHC-P (FFPE): 1 : 1000 up to 1 : 2000 gallery  

Western blot (WB); separation of proteins by PAGE and subsequent transfer to a membrane. Detection of target molecules is carried out with antibodies. Some antibodies require special sample preparation steps. For details, please refer to the “Remarks” section.

Immunoprecipitation (IP); Immunoisolation or pulldown of a target molecule using an antibody. For details and product specific hints, please refer to the ”Remarks” section.

Immunocytochemistry (ICC) on 4% PFA fixed cells. Immunoreactivity is usually revealed by fluorescence. Some antibodies require special fixation methods. For details, please refer to the “Remarks” section.

Immunohistochemistry (IHC) on 4% PFA perfusion fixed tissue with 24h PFA post fixation. Immunoreactivity is usually revealed by fluorescence or a chromogenic substrate. Some antibodies require special fixation methods or antigen retrieval steps. For details, please refer to the ”Remarks” section.

Immunohistochemistry (IHC-P) of formalin fixed, paraffin embedded (FFPE) tissue (some antibodies require special antigen retrieval steps, please refer to the ”Remarks” section). Immunoreactivity is usually revealed by fluorescence or a chromogenic substrate.

Clone 110G12
Subtype IgG1 (κ light chain)
Immunogen Recombinant protein corresponding to AA 1 to 44 from human TauE (UniProt Id: P10636-7)
Reactivity Reacts with: human (P10636-7).
Other species not tested yet.
Specificity This antibody binds phosphorylated and non-phosphorylated tau proteins. The sequence used for immunization is present in all splice variants except human TauA (UniProt Id: P10636-3)
Remarks

This antibody is highly recommended for human tissue.

Data sheet Datasheet 314_111
Cat. No.: 314 111
Amount: 100 µg
Price: $420.00
Background

There are two major classes of heat-stable microtubule-associated proteins (MAPs): MAP2 and Tau (MAPT).
Tau is expressed in several isoforms in human brain (Tau-A, 2N4R/Tau-F, 1N4R/Tau-E, 0N4R/Tau-D, 2N3R/Tau-C, 1N3R/Tau-B, 0N3R) and rodents (Tau-A, 2N4R/Tau-F, 1N4R/Tau-E, 0N4R/Tau-D) (1). Tau helps to stabilize axonal microtubules and modulate axonal transport, with isoform diversity and phosphorylation status determining their dynamics and affinity for microtubules. Tauopathies, often associated with abnormal phosphorylation (2, 3), can be classified according to the Tau isoforms present in the pathological inclusions. For instance, Pick's disease (PiD) is characterized by tangles containing 3R-Tau isoforms (0N3R, 1N3R, and 2N3R), whereas 4R-Tau (0N4R, 1N4R, and 2N4R) accumulates in disorders like progressive supranuclear palsy (PSP) and corticobasal degeneration (CBD). In Alzheimer's disease (AD) aggregates consist of all Tau isoforms (1).
Tau is abundantly expressed in the central and peripheral nervous system. Compared to the CNS, the PNS shows a predominance of 4R Tau isoforms (0N4R, 1N4R, 2N4R), which are thought to provide stronger microtubule binding and stability needed for long peripheral axons (1, 4).


Since microtubule dynamics are central to cell division, migration, and morphology, aberrations in Tau expression have been implicated in several types of cancer (5). Notably, Tau is increasingly recognized for its role in tumor progression and resistance to cancer therapy, with glioblastoma (GBM), making Tau a potential biomarker and therapeutic target (6,7).

Certificates

ISO 9001 2015 Quality Management System and Green Lab Platinum certification level for sustaining laboratory processes.

Newsletter

Sign up for our newsletter and get the latest updates and news.
 

Please provide a valid E-Mail-Address
Please provide a valid First name
Please provide a valid Last name