Tailor-made Antibodies
and Tools for Life Science
Home | | | | | Technical Support

Tau antibody - 314 008

Tau is a neuronal microtubule associated protein
Rabbit monoclonal recombinant IgG
Cat. No.: 314 008
Amount: 50 µg
Price: $420.00
Cat. No. 314 008 50 µg purified recombinant IgG, lyophilized. Albumin and azide were added for stabilization. For reconstitution add 50 µl H2O to get a 1mg/ml solution in PBS. Then aliquot and store at -20°C to -80°C until use.
Antibodies should be stored at +4°C when still lyophilized. Do not freeze!
Applications
 
WB: 1 : 1000 (AP staining) gallery  
IP: not tested yet
ICC: 1 : 500 gallery  
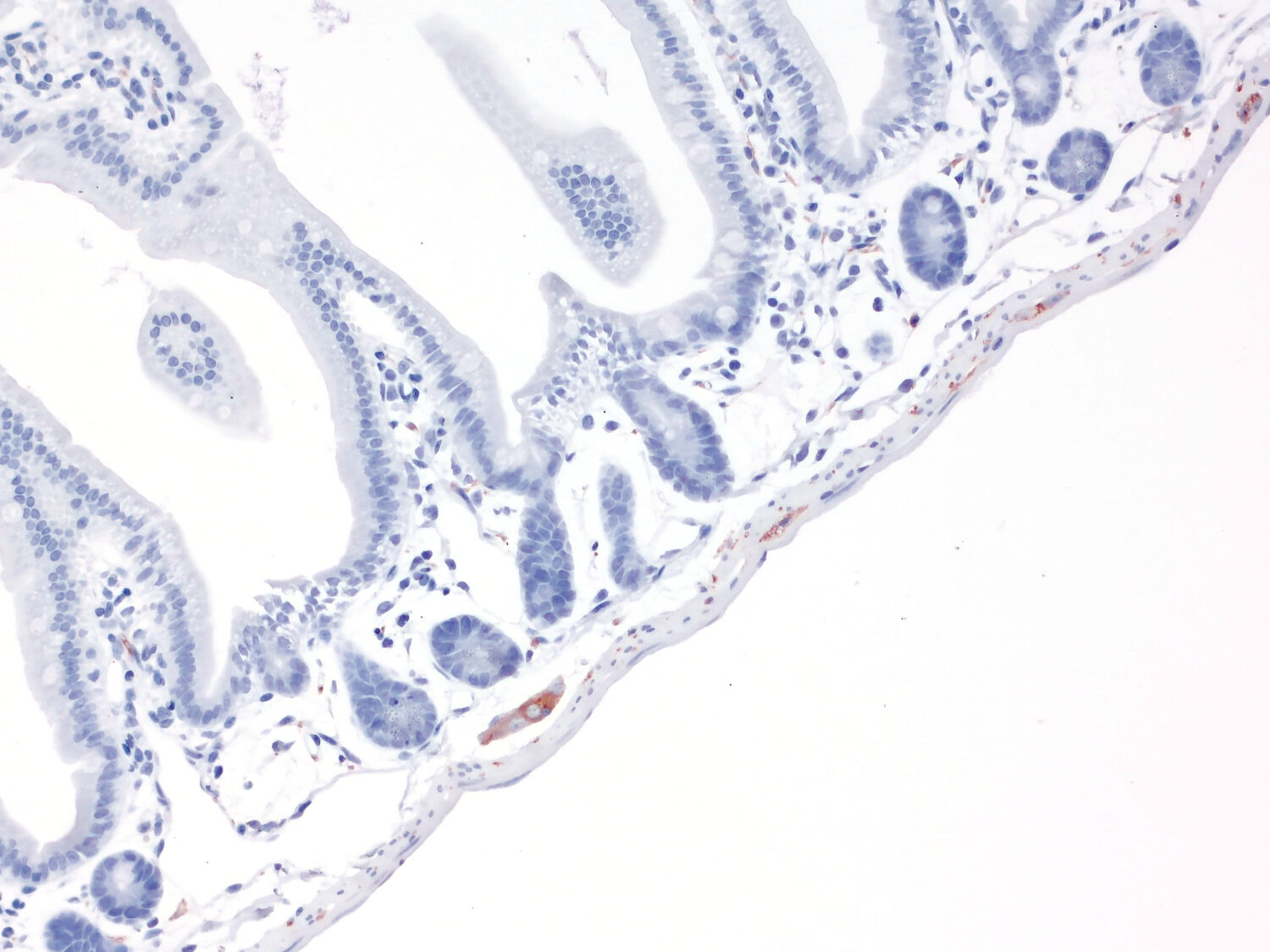
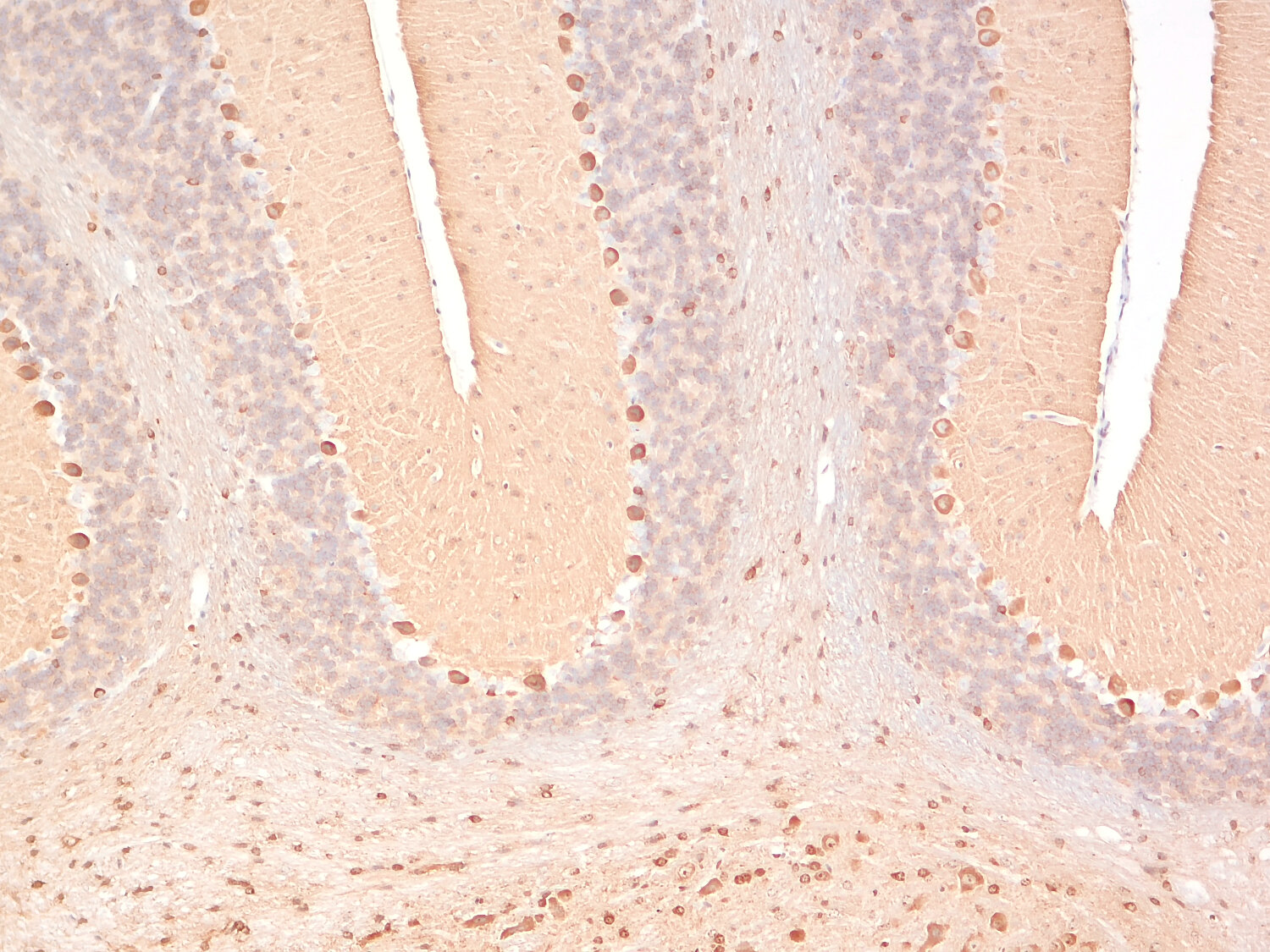
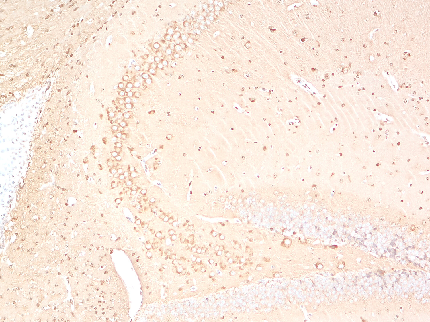
IHC: 1 : 500 gallery  
IHC-P (FFPE): 1 : 2000 up to 1 : 10000 gallery  
DNA-PAINT: external data (see remarks)

Western blot (WB); separation of proteins by PAGE and subsequent transfer to a membrane. Detection of target molecules is carried out with antibodies. Some antibodies require special sample preparation steps. For details, please refer to the “Remarks” section.

Immunoprecipitation (IP); Immunoisolation or pulldown of a target molecule using an antibody. For details and product specific hints, please refer to the ”Remarks” section.

Immunocytochemistry (ICC) on 4% PFA fixed cells. Immunoreactivity is usually revealed by fluorescence. Some antibodies require special fixation methods. For details, please refer to the “Remarks” section.

Immunohistochemistry (IHC) on 4% PFA perfusion fixed tissue with 24h PFA post fixation. Immunoreactivity is usually revealed by fluorescence or a chromogenic substrate. Some antibodies require special fixation methods or antigen retrieval steps. For details, please refer to the ”Remarks” section.

Immunohistochemistry (IHC-P) of formalin fixed, paraffin embedded (FFPE) tissue (some antibodies require special antigen retrieval steps, please refer to the ”Remarks” section). Immunoreactivity is usually revealed by fluorescence or a chromogenic substrate.

In antibody-based DNA-PAINT (Point Accumulation in Nanoscale Topography), a short oligomeric docking strand is coupled to a specific antibody. The transient association of the fluorophore to the antibody is mediated by the pairing of a short fluorescently labeled complementary imager DNA strand. DNA-PAINT allows super-resolution imaging and the imaging of a huge number of antibodies on the same biological sample in a single multiplex experiment. For additional experimental details refer to the Remarks section.

Clone Rb248E5
Subtype IgG1 (κ light chain)
Immunogen Recombinant protein corresponding to the N-terminal half of mouse Tau-D (UniProt Id: P10637-5)
Reactivity Reacts with: rat (P19332), mouse (P10637).
Weaker signal: human (P10636).
No signal: zebrafish.
Other species not tested yet.
Specificity This antibody binds phosphorylated and non-phosphorylated tau proteins. The sequence used for immunization is present in all splice variants except human TauA (UniProt Id: P10636-3).
Matching control protein/peptide 314-0P
Remarks

This antibody is a chimeric antibody based on the monoclonal mouse antibody clone 248E5. The constant regions of the heavy and light chains have been replaced by rabbit specific sequences. Therefore, the antibody can be used with standard anti-rabbit secondary reagents. The antibody has been expressed in mammalian cells.
DNA-PAINT: This antibody has been successfully applied and published for this method by customers (see application-specific references).

Data sheet Datasheet 314_008

References for Tau - 314 008

Protocol for SUM-PAINT spatial proteomic imaging generating neuronal architecture maps in rat hippocampal neurons.
Unterauer EM, Schentarra EM, Jevdokimenko K, Boushehri SS, Marr C, Opazo F, Fornasiero EF, Jungmann R
STAR protocols (2025) 61: 103637. 314 008 DNA-PAINT; tested species: rat
Spatial proteomics in neurons at single-protein resolution.
Unterauer EM, Shetab Boushehri S, Jevdokimenko K, Masullo LA, Ganji M, Sograte-Idrissi S, Kowalewski R, Strauss S, Reinhardt SCM, Perovic A, Marr C, et al.
Cell (2024) 1877: 1785-1800.e16. 314 008 DNA-PAINT; tested species: rat
Cat. No.: 314 008
Amount: 50 µg
Price: $420.00
Protocol for SUM-PAINT spatial proteomic imaging generating neuronal architecture maps in rat hippocampal neurons.
Unterauer EM, Schentarra EM, Jevdokimenko K, Boushehri SS, Marr C, Opazo F, Fornasiero EF, Jungmann R
STAR protocols (2025) 61: 103637. 314 008 DNA-PAINT; tested species: rat
Spatial proteomics in neurons at single-protein resolution.
Unterauer EM, Shetab Boushehri S, Jevdokimenko K, Masullo LA, Ganji M, Sograte-Idrissi S, Kowalewski R, Strauss S, Reinhardt SCM, Perovic A, Marr C, et al.
Cell (2024) 1877: 1785-1800.e16. 314 008 DNA-PAINT; tested species: rat
Background

There are two major classes of heat-stable microtubule-associated proteins (MAPs): MAP2 and Tau (MAPT).
Tau is expressed in several isoforms in human brain (Tau-A, 2N4R/Tau-F, 1N4R/Tau-E, 0N4R/Tau-D, 2N3R/Tau-C, 1N3R/Tau-B, 0N3R) and rodents (Tau-A, 2N4R/Tau-F, 1N4R/Tau-E, 0N4R/Tau-D) (1). Tau helps to stabilize axonal microtubules and modulate axonal transport, with isoform diversity and phosphorylation status determining their dynamics and affinity for microtubules. Tauopathies, often associated with abnormal phosphorylation (2, 3), can be classified according to the Tau isoforms present in the pathological inclusions. For instance, Pick's disease (PiD) is characterized by tangles containing 3R-Tau isoforms (0N3R, 1N3R, and 2N3R), whereas 4R-Tau (0N4R, 1N4R, and 2N4R) accumulates in disorders like progressive supranuclear palsy (PSP) and corticobasal degeneration (CBD). In Alzheimer's disease (AD) aggregates consist of all Tau isoforms (1).
Tau is abundantly expressed in the central and peripheral nervous system. Compared to the CNS, the PNS shows a predominance of 4R Tau isoforms (0N4R, 1N4R, 2N4R), which are thought to provide stronger microtubule binding and stability needed for long peripheral axons (1, 4).


Since microtubule dynamics are central to cell division, migration, and morphology, aberrations in Tau expression have been implicated in several types of cancer (5). Notably, Tau is increasingly recognized for its role in tumor progression and resistance to cancer therapy, with glioblastoma (GBM), making Tau a potential biomarker and therapeutic target (6,7).

Certificates

ISO 9001 2015 Quality Management System and Green Lab Platinum certification level for sustaining laboratory processes.

Newsletter

Sign up for our newsletter and get the latest updates and news.
 

Please provide a valid E-Mail-Address
Please provide a valid First name
Please provide a valid Last name