Tailor-made Antibodies
and Tools for Life Science
Home | | | | | Technical Support

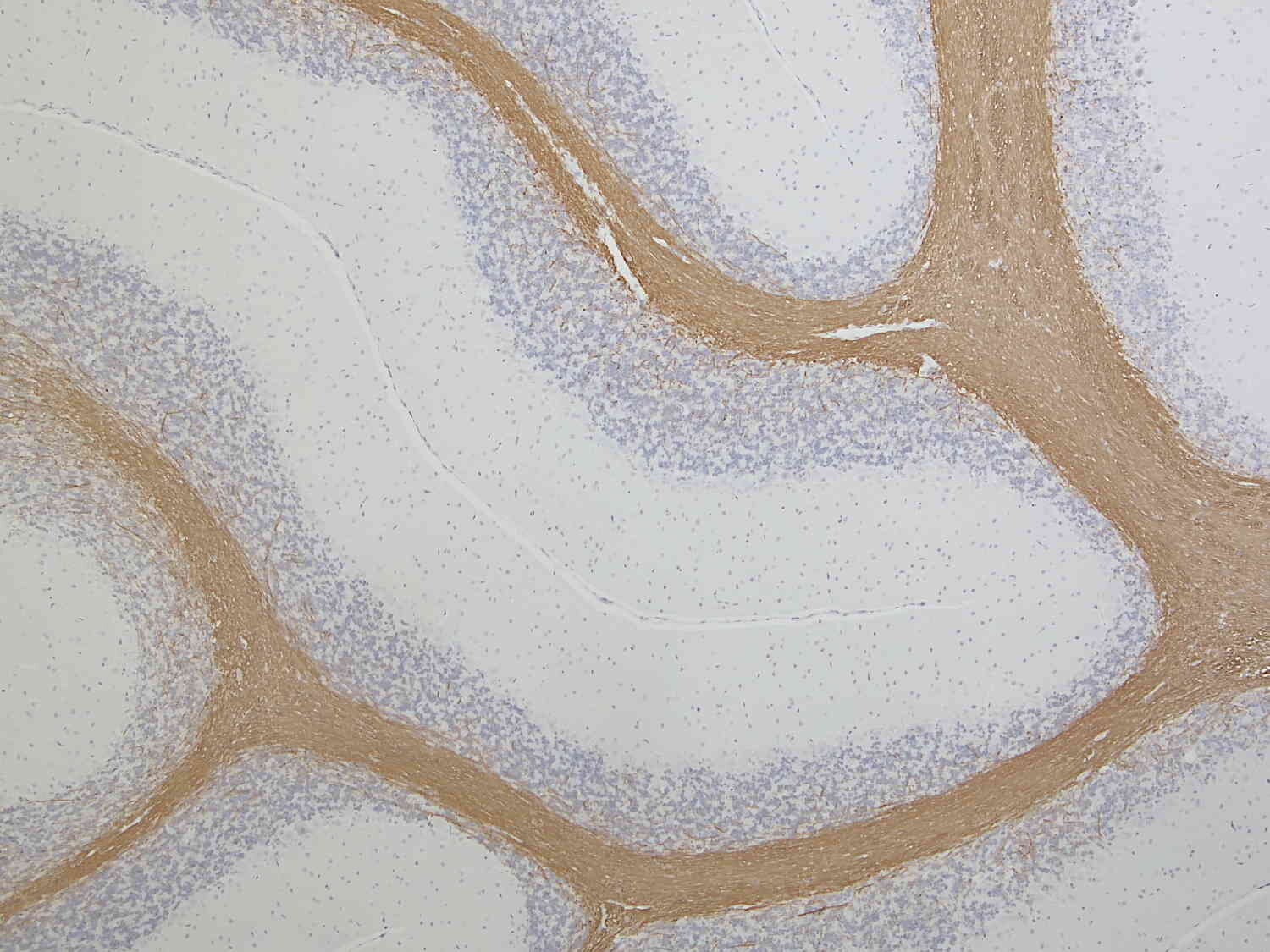
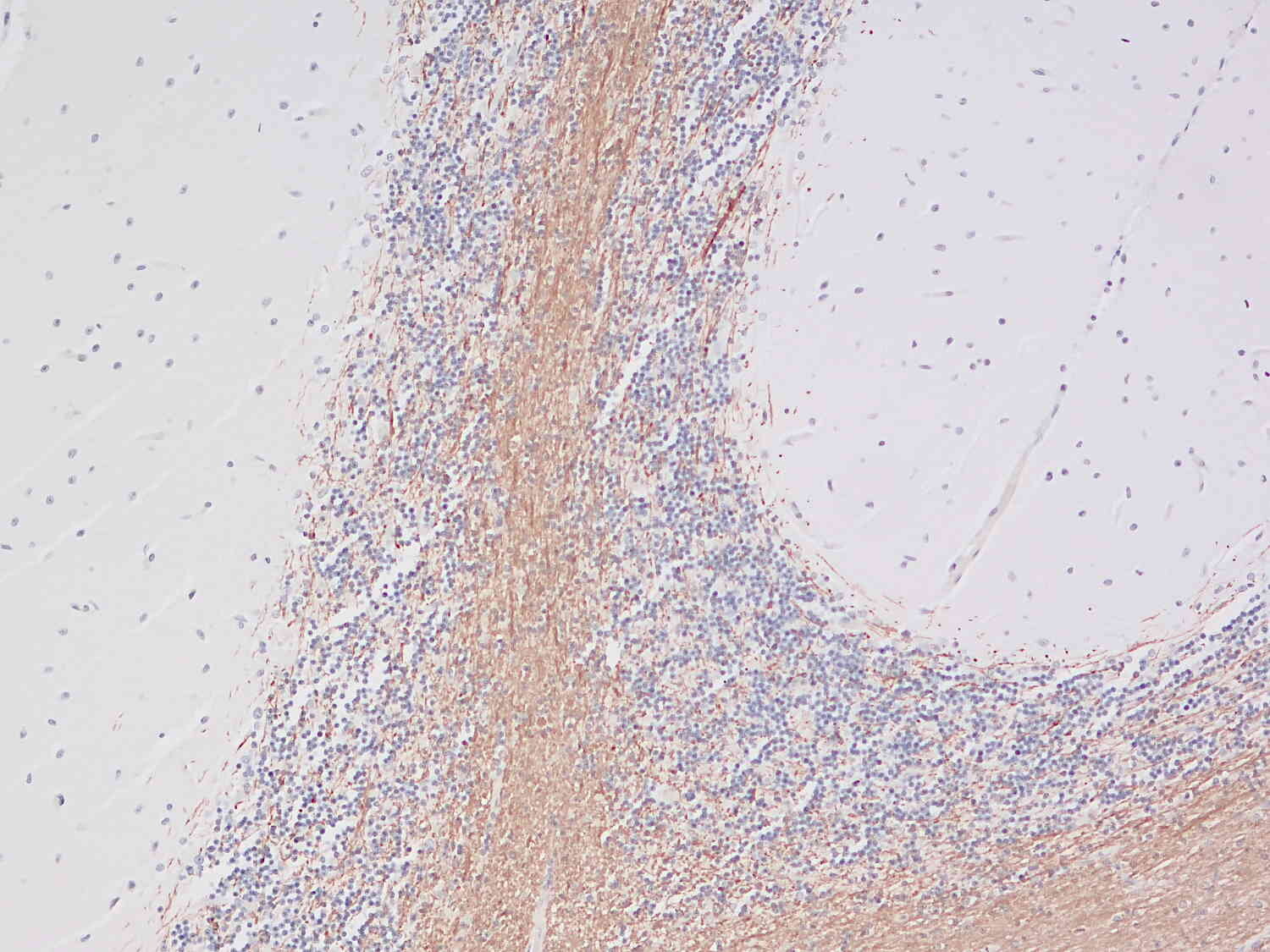
Myelin basic protein antibody - 295 003

MBP is a major component of the myelin sheath
Rabbit polyclonal purified antibody
Cat. No.: 295 003
Amount: 50 µg
Price: $460.00
Cat. No. 295 003 50 µg specific antibody, lyophilized. Affinity purified with the immunogen. Albumin and azide were added for stabilization. For reconstitution add 50 µl H2O to get a 1mg/ml solution in PBS. Then aliquot and store at -20°C to -80°C until use.
Antibodies should be stored at +4°C when still lyophilized. Do not freeze!
Applications
 
WB: 1 : 1000 (AP staining) gallery  
IP: not recommended
ICC: 1 : 500 gallery  
IHC: 1 : 500 (see remarks) gallery  
IHC-P (FFPE): 1 : 200 up to 1 : 1000 (see remarks) gallery  

Western blot (WB); separation of proteins by PAGE and subsequent transfer to a membrane. Detection of target molecules is carried out with antibodies. Some antibodies require special sample preparation steps. For details, please refer to the “Remarks” section.

Immunoprecipitation (IP); Immunoisolation or pulldown of a target molecule using an antibody. For details and product specific hints, please refer to the ”Remarks” section.

Immunocytochemistry (ICC) on 4% PFA fixed cells. Immunoreactivity is usually revealed by fluorescence. Some antibodies require special fixation methods. For details, please refer to the “Remarks” section.

Immunohistochemistry (IHC) on 4% PFA perfusion fixed tissue with 24h PFA post fixation. Immunoreactivity is usually revealed by fluorescence or a chromogenic substrate. Some antibodies require special fixation methods or antigen retrieval steps. For details, please refer to the ”Remarks” section.

Immunohistochemistry (IHC-P) of formalin fixed, paraffin embedded (FFPE) tissue (some antibodies require special antigen retrieval steps, please refer to the ”Remarks” section). Immunoreactivity is usually revealed by fluorescence or a chromogenic substrate.

Immunogen Synthetic peptide corresponding to AA 105 to 115 from rat MBP (UniProt Id: P02688)
Reactivity Reacts with: human (P02686), rat (P02688), mouse (P04370).
Other species not tested yet.
Specificity Specific for MBP. Epitope is present in all splice variants.
Matching control protein/peptide 295-0P
Remarks

IHC: Antigen retrieval with citrate buffer pH 6 is required.
IHC-P (FFPE): For chromogenic detection, an optimized AGR time of 30 minutes is recommended for best results.
For fluorescent detection, an optimized AGR time of 30 minutes is recommended for best results.

Data sheet Datasheet 295_003

References for Myelin basic protein - 295 003

Suggestion of creatine as a new neurotransmitter by approaches ranging from chemical analysis and biochemistry to electrophysiology.
Bian X, Zhu J, Jia X, Liang W, Yu S, Li Z, Zhang W, Rao Y
eLife (2023) 12: . 295 003 WB; tested species: mouse
Rapid purification and metabolomic profiling of synaptic vesicles from mammalian brain.
Chantranupong L, Saulnier JL, Wang W, Jones DR, Pacold ME, Sabatini BL
eLife (2020) 9: . 295 003 WB; tested species: mouse
Midazolam prevents the adverse outcome of neonatal asphyxia.
Welzel B, Schmidt R, Johne M, Löscher W
Annals of neurology (2022) : . 295 003 IHC; tested species: rat
Cat. No.: 295 003
Amount: 50 µg
Price: $460.00
Suggestion of creatine as a new neurotransmitter by approaches ranging from chemical analysis and biochemistry to electrophysiology.
Bian X, Zhu J, Jia X, Liang W, Yu S, Li Z, Zhang W, Rao Y
eLife (2023) 12: . 295 003 WB; tested species: mouse
Rapid purification and metabolomic profiling of synaptic vesicles from mammalian brain.
Chantranupong L, Saulnier JL, Wang W, Jones DR, Pacold ME, Sabatini BL
eLife (2020) 9: . 295 003 WB; tested species: mouse
Midazolam prevents the adverse outcome of neonatal asphyxia.
Welzel B, Schmidt R, Johne M, Löscher W
Annals of neurology (2022) : . 295 003 IHC; tested species: rat
Background
The myelin sheath is a multi-layered membrane composed of several proteins like PLP, claudin 11 and myelin basic protein (MBP) which is specific for the nervous system. MBP functions as an insulator and increases the velocity of axonal impulse conduction.
MBP can be subdivided into the classic group consisting of isoforms 4 to 14 and the non-classic group of MBP comprising the Golli MBPs (isoforms 1 to 3). Differential splicing events and optional posttranslational modifications give rise to a wide spectrum of isomers with potentially specialized functions.

Certificates

ISO 9001 2015 Quality Management System and Green Lab Platinum certification level for sustaining laboratory processes.

Newsletter

Sign up for our newsletter and get the latest updates and news.
 

Please provide a valid E-Mail-Address
Please provide a valid First name
Please provide a valid Last name