Tailor-made Antibodies
and Tools for Life Science
Home | | | | | Technical Support

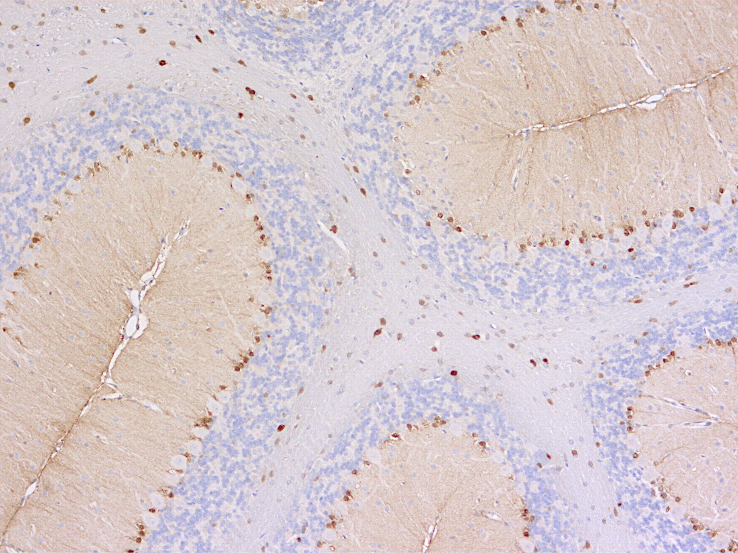
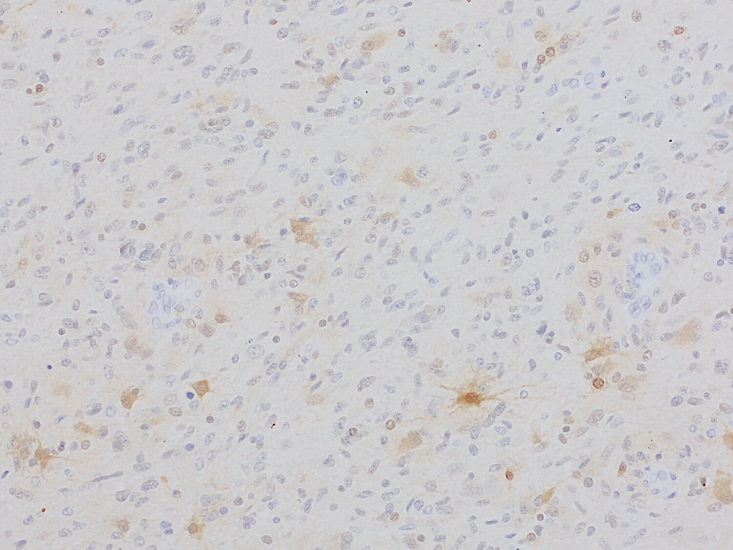
S100B antibody - 287 108

S100B is a marker for mature astrocytes
Rabbit monoclonal recombinant IgG
Cat. No.: 287 108
Amount: 50 µg
Price: $420.00
Cat. No. 287 108 50 µg purified recombinant IgG, lyophilized. Albumin and azide were added for stabilization. For reconstitution add 50 µl H2O to get a 1mg/ml solution in PBS. Then aliquot and store at -20°C to -80°C until use.
Antibodies should be stored at +4°C when still lyophilized. Do not freeze!
Applications
 
WB: not recommended
IP: not tested yet
ICC: 1 : 500 gallery  
IHC: 1 : 500 gallery  
IHC-P (FFPE): 1 : 100 up to 1 : 200 gallery  

Western blot (WB); separation of proteins by PAGE and subsequent transfer to a membrane. Detection of target molecules is carried out with antibodies. Some antibodies require special sample preparation steps. For details, please refer to the “Remarks” section.

Immunoprecipitation (IP); Immunoisolation or pulldown of a target molecule using an antibody. For details and product specific hints, please refer to the ”Remarks” section.

Immunocytochemistry (ICC) on 4% PFA fixed cells. Immunoreactivity is usually revealed by fluorescence. Some antibodies require special fixation methods. For details, please refer to the “Remarks” section.

Immunohistochemistry (IHC) on 4% PFA perfusion fixed tissue with 24h PFA post fixation. Immunoreactivity is usually revealed by fluorescence or a chromogenic substrate. Some antibodies require special fixation methods or antigen retrieval steps. For details, please refer to the ”Remarks” section.

Immunohistochemistry (IHC-P) of formalin fixed, paraffin embedded (FFPE) tissue (some antibodies require special antigen retrieval steps, please refer to the ”Remarks” section). Immunoreactivity is usually revealed by fluorescence or a chromogenic substrate.

Clone Rb86D7E4
Subtype IgG1 (κ light chain)
Immunogen Recombinant protein corresponding to AA 1 to 92 from rat S100B (UniProt Id: P04631)
Reactivity Reacts with: mouse (P50114), rat (P04631), human.
Other species not tested yet.
Remarks

This antibody is a chimeric antibody based on the monoclonal mouse antibody clone 86D7E4. The constant regions of the heavy and light chains have been replaced by rabbit specific sequences. Therefore, the antibody can be used with standard anti-rabbit secondary reagents. The antibody has been expressed in mammalian cells.

Data sheet Datasheet 287_108
Cat. No.: 287 108
Amount: 50 µg
Price: $420.00
Background

The family of S100 proteins comprises more than 20 members. These proteins are EF-hand Ca2+-binding proteins, and are widely distributed in mammalian tissue. Since these proteins are soluble in 100 % saturated ammonium-sulfate solution they have been named S100.
S100B is a frequently used marker protein for mature astrocytes whereas GFAP is also expressed in germinal zone cells that maintained their immature developmental stage.

Certificates

ISO 9001 2015 Quality Management System and Green Lab Platinum certification level for sustaining laboratory processes.

Newsletter

Sign up for our newsletter and get the latest updates and news.
 

Please provide a valid E-Mail-Address
Please provide a valid First name
Please provide a valid Last name