Tailor-made Antibodies
and Tools for Life Science
Home | | | | | Technical Support

Giantin antibody - 263 003BT

Giantin is specifically expressed in the Golgi complex
Rabbit polyclonal purified antibody
Cat. No.: 263 003BT
Amount: 50 µg
Price: $485.00
Cat. No. 263 003BT 50 µg specific antibody, lyophilized. Affinity purified with the immunogen, labeled with Biotin.

Biotin is a small vitamin B complex molecule. Its small size minimizes interference with antibody binding sites and allows for efficient conjugation without compromising antibody functionality.
Biotin conjugated antibodies can be easily detected with Avidin/Streptavidin based secondary detection systems.
The streptavidin-biotin bond is one of the strongest non-covalent biological bonds known.

Albumin was added for stabilization. For reconstitution add 50 µl H2O to get a 1mg/ml solution in PBS. Then aliquot and store at -20°C to -80°C until use.
Antibodies should be stored at +4°C when still lyophilized. Do not freeze!
Applications
 
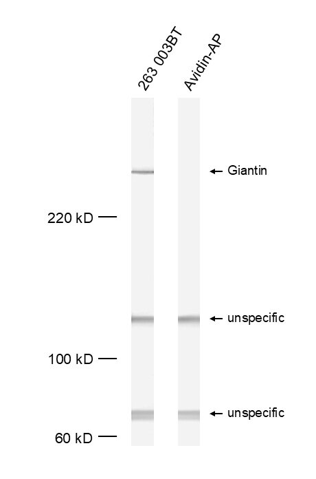
WB: 1 : 1000 (AP staining) gallery  
IP: not tested yet
ICC: 1 : 500 gallery  
IHC: not tested yet
IHC-P (FFPE): not tested yet

Western blot (WB); separation of proteins by PAGE and subsequent transfer to a membrane. Detection of target molecules is carried out with antibodies. Some antibodies require special sample preparation steps. For details, please refer to the “Remarks” section.

Immunoprecipitation (IP); Immunoisolation or pulldown of a target molecule using an antibody. For details and product specific hints, please refer to the ”Remarks” section.

Immunocytochemistry (ICC) on 4% PFA fixed cells. Immunoreactivity is usually revealed by fluorescence. Some antibodies require special fixation methods. For details, please refer to the “Remarks” section.

Immunohistochemistry (IHC) on 4% PFA perfusion fixed tissue with 24h PFA post fixation. Immunoreactivity is usually revealed by fluorescence or a chromogenic substrate. Some antibodies require special fixation methods or antigen retrieval steps. For details, please refer to the ”Remarks” section.

Immunohistochemistry (IHC-P) of formalin fixed, paraffin embedded (FFPE) tissue (some antibodies require special antigen retrieval steps, please refer to the ”Remarks” section). Immunoreactivity is usually revealed by fluorescence or a chromogenic substrate.

Label biotin
Immunogen Recombinant protein corresponding to AA 1 to 427 from rat Giantin (UniProt Id: G3V6A8)
Reactivity Reacts with: rat (G3V6A8), mouse.
No signal: zebrafish.
Other species not tested yet.
Data sheet Datasheet 263_003bt
Cat. No.: 263 003BT
Amount: 50 µg
Price: $485.00
Background
In eukaryotic cells the Golgi complex consists of stacked cisternae. Giantin, also referred to as macrogolgin or p400, is a single pass membrane protein involved in tethering these cisternae by cross-bridge formation. Its large cytoplasmic N-terminus is involved in the docking of COPI vesicles via p115 to the Golgi membrane.
Systemic lupus erythematosus and Sjögren's syndrome correlate with autoimmune antibodies against Golgi-compartment proteins with giantin being the most common autoantigen.

Certificates

ISO 9001 2015 Quality Management System and Green Lab Platinum certification level for sustaining laboratory processes.

Newsletter

Sign up for our newsletter and get the latest updates and news.
 

Please provide a valid E-Mail-Address
Please provide a valid First name
Please provide a valid Last name