Tailor-made Antibodies
and Tools for Life Science
Home | | | | | Technical Support

Tyrosine hydroxylase antibody - 213 004

Tyrosine hydroxylase is the rate limiting enzyme in catecholamine synthesis
Guinea pig polyclonal antiserum
Cat. No.: 213 004
Amount: 100 µl
Price: $370.00
Cat. No. 213 004 100 µl antiserum, lyophilized. For reconstitution add 100 µl H2O, then aliquot and store at -20°C until use.
Antibodies should be stored at +4°C when still lyophilized. Do not freeze!
Applications
 
WB: not tested yet
IP: not tested yet
ICC: not tested yet
IHC: 1 : 500 (see remarks) gallery  
IHC-P (FFPE): 1 : 500 gallery  

Western blot (WB); separation of proteins by PAGE and subsequent transfer to a membrane. Detection of target molecules is carried out with antibodies. Some antibodies require special sample preparation steps. For details, please refer to the “Remarks” section.

Immunoprecipitation (IP); Immunoisolation or pulldown of a target molecule using an antibody. For details and product specific hints, please refer to the ”Remarks” section.

Immunocytochemistry (ICC) on 4% PFA fixed cells. Immunoreactivity is usually revealed by fluorescence. Some antibodies require special fixation methods. For details, please refer to the “Remarks” section.

Immunohistochemistry (IHC) on 4% PFA perfusion fixed tissue with 24h PFA post fixation. Immunoreactivity is usually revealed by fluorescence or a chromogenic substrate. Some antibodies require special fixation methods or antigen retrieval steps. For details, please refer to the ”Remarks” section.

Immunohistochemistry (IHC-P) of formalin fixed, paraffin embedded (FFPE) tissue (some antibodies require special antigen retrieval steps, please refer to the ”Remarks” section). Immunoreactivity is usually revealed by fluorescence or a chromogenic substrate.

Immunogen Recombinant protein corresponding to AA 65 to 255 from human TyrH (UniProt Id: P07101)
Reactivity Reacts with: human (P07101), rat (P04177), mouse (P24529), human (P07101).
Other species not tested yet.
Specificity Shows some cross-reactivity to tryptophane hydroxylase.
Remarks

IHC: Antigen retrieval with citrate buffer pH 6 is required.

Data sheet Datasheet 213_004

References for Tyrosine hydroxylase - 213 004

Chromosome 22q11.2 deletion causes PERK-dependent vulnerability in dopaminergic neurons.
Arioka Y, Shishido E, Kushima I, Suzuki T, Saito R, Aiba A, Mori D, Ozaki N
EBioMedicine (2020) 63: 103138. 213 004 WB; tested species: mouse
On-Site Formation of Functional Dopaminergic Presynaptic Terminals on Neuroligin-2-Modified Gold-Coated Microspheres.
Cho W, Jung M, Yoon SH, Jeon J, Oh MA, Kim JY, Park M, Kang CM, Chung TD
ACS applied materials & interfaces (2024) 163: 3082-3092. 213 004 ICC; tested species: rat
Immunolocalization of kappa opioid receptors in the axon initial segment of a group of embryonic mesencephalic dopamine neurons.
Escobar AP, Meza RC, Gonzalez M, Henny P, Andrés ME
IBRO neuroscience reports (2022) 12: 411-418. 213 004 ICC; tested species: rat
Catecholaminergic-to-cholinergic transition of sympathetic nerve fibers is stimulated under healthy but not under inflammatory arthritic conditions.
Stangl H, Springorum HR, Muschter D, Grässel S, Straub RH
Brain, behavior, and immunity (2015) 46: 180-91. 213 004 ICC
Characterization of striatal dopamine projections across striatal subregions in reversal learning.
van der Merwe RK, Nadel JA, Copes-Finke D, Pawelko S, Scott JS, Ghanem M, Fox M, Morehouse C, McLaughlin R, Maddox C, Albert-Lyons R, et al.
The European journal of neuroscience (2023) : . 213 004 IHC; tested species: mouse
Functional architecture of dopamine neurons driving fear extinction learning.
Salinas-Hernández XI, Zafiri D, Sigurdsson T, Duvarci S
Neuron (2023) 11123: 3854-3870.e5. 213 004 IHC; tested species: mouse
Developmental errors in the common marmoset retina.
Haverkamp S, Mietsch M, Briggman KL
Frontiers in neuroanatomy (2022) 16: 1000693. 213 004 IHC; tested species: marmoset
Mechanisms of Kappa Opioid Receptor Potentiation of Dopamine D2 Receptor Function in Quinpirole-Induced Locomotor Sensitization in Rats.
Escobar AP, González MP, Meza RC, Noches V, Henny P, Gysling K, España RA, Fuentealba JA, Andrés ME
The international journal of neuropsychopharmacology (2017) 208: 660-669. 213 004 IHC; tested species: mouse
Stratified organization and disorganization of inner plexiform layer revealed by TNAP activity in healthy and diabetic rat retina.
Kántor O, Varga A, Tóth R, Énzsöly A, Pálfi E, Kovács-Öller T, Nitschke R, Szél Á, Székely A, Völgyi B, Négyessy L, et al.
Cell and tissue research (2015) 3592: 409-421. 213 004 IHC
Cat. No.: 213 004
Amount: 100 µl
Price: $370.00

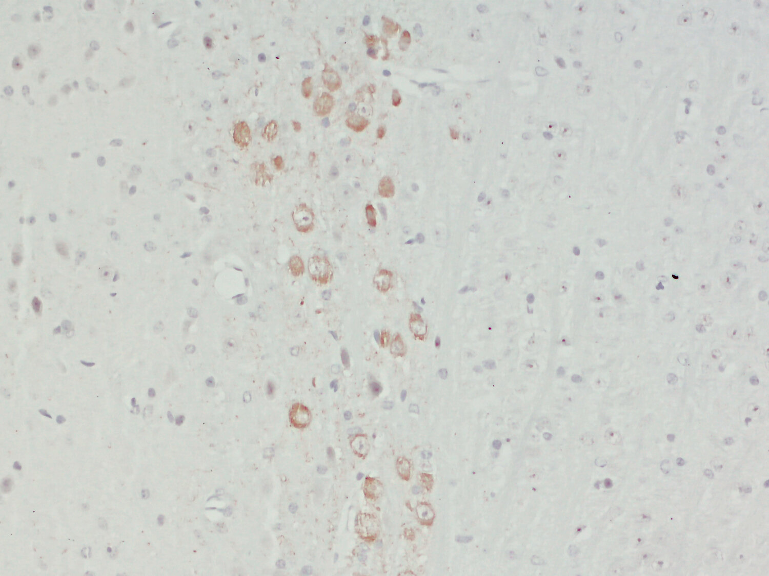
TyrH (red) staining in a rat brain section

Chromosome 22q11.2 deletion causes PERK-dependent vulnerability in dopaminergic neurons.
Arioka Y, Shishido E, Kushima I, Suzuki T, Saito R, Aiba A, Mori D, Ozaki N
EBioMedicine (2020) 63: 103138. 213 004 WB; tested species: mouse
On-Site Formation of Functional Dopaminergic Presynaptic Terminals on Neuroligin-2-Modified Gold-Coated Microspheres.
Cho W, Jung M, Yoon SH, Jeon J, Oh MA, Kim JY, Park M, Kang CM, Chung TD
ACS applied materials & interfaces (2024) 163: 3082-3092. 213 004 ICC; tested species: rat
Immunolocalization of kappa opioid receptors in the axon initial segment of a group of embryonic mesencephalic dopamine neurons.
Escobar AP, Meza RC, Gonzalez M, Henny P, Andrés ME
IBRO neuroscience reports (2022) 12: 411-418. 213 004 ICC; tested species: rat
Catecholaminergic-to-cholinergic transition of sympathetic nerve fibers is stimulated under healthy but not under inflammatory arthritic conditions.
Stangl H, Springorum HR, Muschter D, Grässel S, Straub RH
Brain, behavior, and immunity (2015) 46: 180-91. 213 004 ICC
Characterization of striatal dopamine projections across striatal subregions in reversal learning.
van der Merwe RK, Nadel JA, Copes-Finke D, Pawelko S, Scott JS, Ghanem M, Fox M, Morehouse C, McLaughlin R, Maddox C, Albert-Lyons R, et al.
The European journal of neuroscience (2023) : . 213 004 IHC; tested species: mouse
Functional architecture of dopamine neurons driving fear extinction learning.
Salinas-Hernández XI, Zafiri D, Sigurdsson T, Duvarci S
Neuron (2023) 11123: 3854-3870.e5. 213 004 IHC; tested species: mouse
Developmental errors in the common marmoset retina.
Haverkamp S, Mietsch M, Briggman KL
Frontiers in neuroanatomy (2022) 16: 1000693. 213 004 IHC; tested species: marmoset
Mechanisms of Kappa Opioid Receptor Potentiation of Dopamine D2 Receptor Function in Quinpirole-Induced Locomotor Sensitization in Rats.
Escobar AP, González MP, Meza RC, Noches V, Henny P, Gysling K, España RA, Fuentealba JA, Andrés ME
The international journal of neuropsychopharmacology (2017) 208: 660-669. 213 004 IHC; tested species: mouse
Stratified organization and disorganization of inner plexiform layer revealed by TNAP activity in healthy and diabetic rat retina.
Kántor O, Varga A, Tóth R, Énzsöly A, Pálfi E, Kovács-Öller T, Nitschke R, Szél Á, Székely A, Völgyi B, Négyessy L, et al.
Cell and tissue research (2015) 3592: 409-421. 213 004 IHC
Background

Tyrosine hydroxylase is one of the key enzymes in the synthesis pathway of catecholamines like adrenalin, noradrenalin and dopamin and is frequently used as a marker for dopaminergic neurons. This neuronal subpopulation is especially affected in Parkinson's disease.

 

For more information on protein expression pattern, please refer to the overview image in our SYSY Antibodies ATLAS.

Certificates

ISO 9001 2015 Quality Management System and Green Lab Platinum certification level for sustaining laboratory processes.

Newsletter

Sign up for our newsletter and get the latest updates and news.
 

Please provide a valid E-Mail-Address
Please provide a valid First name
Please provide a valid Last name