Tailor-made Antibodies
and Tools for Life Science
Home | | | | | Technical Support

Shank1/2/3 antibody - 162 111

Shanks are multidomain proteins of the postsynaptic density
Mouse monoclonal purified IgG
Cat. No.: 162 111
Amount: 100 µg
Price: $420.00
Cat. No. 162 111 100 µg purified IgG, lyophilized. Albumin and azide were added for stabilization. For reconstitution add 100 µl H2O to get a 1mg/ml solution in PBS. Then aliquot and store at -20°C to -80°C until use.
Antibodies should be stored at +4°C when still lyophilized. Do not freeze!
Applications
 
WB: not recommended
IP: not tested yet
ICC: 1 : 500 gallery  
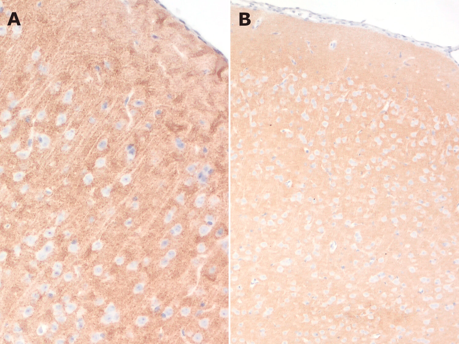
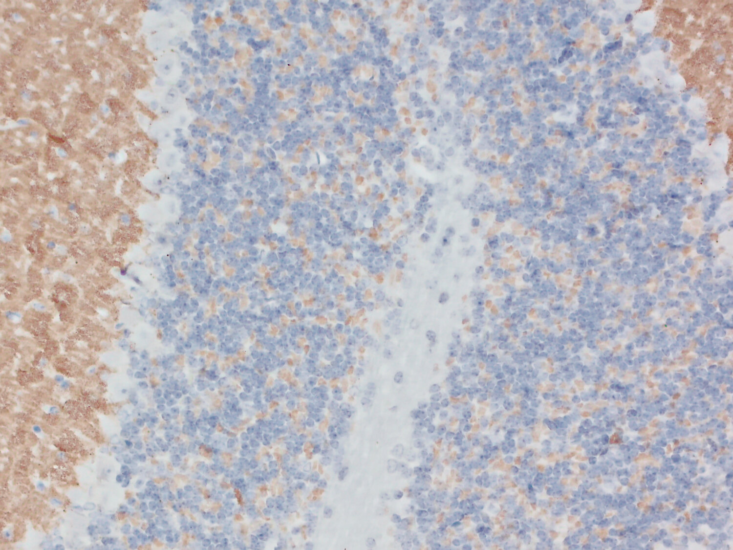
IHC: external data (see remarks) gallery  
IHC-P (FFPE): 1 : 200 (see remarks) gallery  
IHC-Fr: 1 : 500 (see remarks) gallery  
DNA-PAINT: external data (see remarks)

Western blot (WB); separation of proteins by PAGE and subsequent transfer to a membrane. Detection of target molecules is carried out with antibodies. Some antibodies require special sample preparation steps. For details, please refer to the “Remarks” section.

Immunoprecipitation (IP); Immunoisolation or pulldown of a target molecule using an antibody. For details and product specific hints, please refer to the ”Remarks” section.

Immunocytochemistry (ICC) on 4% PFA fixed cells. Immunoreactivity is usually revealed by fluorescence. Some antibodies require special fixation methods. For details, please refer to the “Remarks” section.

Immunohistochemistry (IHC) on 4% PFA perfusion fixed tissue with 24h PFA post fixation. Immunoreactivity is usually revealed by fluorescence or a chromogenic substrate. Some antibodies require special fixation methods or antigen retrieval steps. For details, please refer to the ”Remarks” section.

Immunohistochemistry (IHC-P) of formalin fixed, paraffin embedded (FFPE) tissue (some antibodies require special antigen retrieval steps, please refer to the ”Remarks” section). Immunoreactivity is usually revealed by fluorescence or a chromogenic substrate.

Immunohistochemistry on fresh frozen (IHC-Fr) cryo-tissue-sections. In contrast to standard PFA perfusion fixed tissues, fresh frozen cryo-tissue-sections can be variably postfixed with alcohols, acetone or PFA. Alcohol or acetone fixation is e.g. of advantage for antigens masked by PFA crosslinking. For recommended postfixation, please refer to the ”Remarks” section. Immunoreactivity is usually revealed by fluorescence or a chromogenic substrate.

In antibody-based DNA-PAINT (Point Accumulation in Nanoscale Topography), a short oligomeric docking strand is coupled to a specific antibody. The transient association of the fluorophore to the antibody is mediated by the pairing of a short fluorescently labeled complementary imager DNA strand. DNA-PAINT allows super-resolution imaging and the imaging of a huge number of antibodies on the same biological sample in a single multiplex experiment. For additional experimental details refer to the Remarks section.

Clone 151E6
Subtype IgG2a (κ light chain)
Immunogen Recombinant protein corresponding to residues near the carboxy terminus of rat Shank3 (UniProt Id: Q9JLU4)
Reactivity Reacts with: rat (Q9JLU4, Q9WV48, Q9QX74), mouse (Q4ACU6, D3Y2U1, Q80238).
Other species not tested yet.
Specificity Recognizes Shank 1, 2 and 3.
Remarks

IHC: This antibody has been successfully applied for this method by our customers using mild fixation (4% PFA and 15% picric acid) according to Kirizs et al. 2014 (see gallery). It has not been validated using our standard protocol.
IHC-P (FFPE): Antigen retrieval with Tris-EDTA buffer pH 9 is recommended for chromogenic detection.
For chromogenic detection, an optimized AGR time of 20 minutes is recommended for best results.
IHC-Fr: The following fixatives are possible: acetone, 4% formaldehyde/PFA, methanol, methanol-acetone.
Signal intensities as follows: acetone > PFA > acetone-methanol = methanol.
DNA-PAINT: This antibody has been successfully applied and published for this method by customers (see application-specific references).

Data sheet Datasheet 162_111

References for Shank1/2/3 - 162 111

A synaptic molecular dependency network in knockdown of autism- and schizophrenia-associated genes revealed by multiplexed imaging.
Falkovich R, Danielson EW, Perez de Arce K, Wamhoff EC, Strother J, Lapteva AP, Sheng M, Cottrell JR, Bathe M
Cell reports (2023) 425: 112430. 162 111 DNA-PAINT; tested species: rat
Cat. No.: 162 111
Amount: 100 µg
Price: $420.00
A synaptic molecular dependency network in knockdown of autism- and schizophrenia-associated genes revealed by multiplexed imaging.
Falkovich R, Danielson EW, Perez de Arce K, Wamhoff EC, Strother J, Lapteva AP, Sheng M, Cottrell JR, Bathe M
Cell reports (2023) 425: 112430. 162 111 DNA-PAINT; tested species: rat
Background

Shank1, 2 and 3 are major proteins of the postsynaptic density (PSD). They are composed of several protein-protein interaction domains like PDZ-, homer- and ABP1-binding domains which allow them to crosslink ionotopic and metabotropic glutamate receptor complexes with each other and to the actin-cytoskeleton.

Certificates

ISO 9001 2015 Quality Management System and Green Lab Platinum certification level for sustaining laboratory processes.

Newsletter

Sign up for our newsletter and get the latest updates and news.
 

Please provide a valid E-Mail-Address
Please provide a valid First name
Please provide a valid Last name