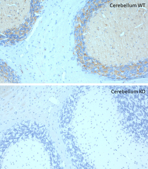
Neuroligin3 antibody - 129 321 K.O.

Neuroligins are postsynaptic cell adhesion molecules
Mouse monoclonal purified IgG
Cat. No.: 129 321
Amount: 100 µg
Price: $420.00
Cat. No. 129 321 100 µg purified IgG, lyophilized. Albumin and azide were added for stabilization. For reconstitution add 100 µl H2O to get a 1mg/ml solution in PBS. Then aliquot and store at -20°C to -80°C until use.
Antibodies should be stored at +4°C when still lyophilized. Do not freeze!
Applications
 
WB: 1 : 1000 (AP staining) gallery  
IP: yes
ICC: 1 : 500 gallery  
IHC: 1 : 500 gallery  
IHC-P (FFPE): 1 : 100 gallery  

Western blot (WB); separation of proteins by PAGE and subsequent transfer to a membrane. Detection of target molecules is carried out with antibodies. Some antibodies require special sample preparation steps. For details, please refer to the “Remarks” section.

Immunoprecipitation (IP); Immunoisolation or pulldown of a target molecule using an antibody. For details and product specific hints, please refer to the ”Remarks” section.

Immunocytochemistry (ICC) on 4% PFA fixed cells. Immunoreactivity is usually revealed by fluorescence. Some antibodies require special fixation methods. For details, please refer to the “Remarks” section.

Immunohistochemistry (IHC) on 4% PFA perfusion fixed tissue with 24h PFA post fixation. Immunoreactivity is usually revealed by fluorescence or a chromogenic substrate. Some antibodies require special fixation methods or antigen retrieval steps. For details, please refer to the ”Remarks” section.

Immunohistochemistry (IHC-P) of formalin fixed, paraffin embedded (FFPE) tissue (some antibodies require special antigen retrieval steps, please refer to the ”Remarks” section). Immunoreactivity is usually revealed by fluorescence or a chromogenic substrate.

Clone SY-112A8
Subtype IgG1 (κ light chain)
Immunogen Synthetic peptide corresponding to residues near the carboxy terminus of mouse Neuroligin 3 (UniProt Id: Q8BYM5)
Reactivity Reacts with: mouse (Q8BYM5), rat (Q62889).
Other species not tested yet.
Predicted to cross-react with human (Q9NZ94) due to high sequence homology.
Specificity K.O. validated
Data sheet Datasheet 129_321
Cat. No.: 129 321
Amount: 100 µg
Price: $420.00
Background

Neuroligins form a family of post-synaptic cell surface molecules that interact with β-neurexins. They are 110-120 kDa polypeptides with homology to acetylcholine esterase. Neuroligin1 and neuroligin3 are specifically localized to post-synaptic densities of excitatory synapses whereas neuroligin2 is found exclusively on inhibitory synapses.
Mutations in neuroligin3 and neuroligin4 have been implicated with a rare, heritable form of autism.

Certificates

ISO 9001 2015 Quality Management System and Green Lab Platinum certification level for sustaining laboratory processes.

Newsletter

Sign up for our newsletter and get the latest updates and news.
 

Please provide a valid E-Mail-Address
Please provide a valid First name
Please provide a valid Last name