Tailor-made Antibodies
and Tools for Life Science
Home | | | | | Technical Support

Complexin1/2 antibody C-terminus - 122 003 K.O.

Complexins are nerve-terminal syntaxin binding proteins
Rabbit polyclonal purified antibody
Cat. No.: 122 003
Amount: 50 µg
Price: $460.00
Cat. No. 122 003 50 µg specific antibody, lyophilized. Affinity purified with the immunogen. Albumin and azide were added for stabilization. For reconstitution add 50 µl H2O to get a 1mg/ml solution in PBS. Then aliquot and store at -20°C to -80°C until use.
Antibodies should be stored at +4°C when still lyophilized. Do not freeze!
Applications
 
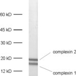
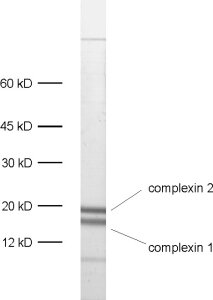
WB: 1 : 1000 (AP staining) gallery  
IP: not tested yet
ICC: 1 : 500 gallery  
IHC: 1 : 200 up to 1 : 500 (see remarks) gallery  
IHC-P: not tested yet

Western blot (WB); separation of proteins by PAGE and subsequent transfer to a membrane. Detection of target molecules is carried out with antibodies. Some antibodies require special sample preparation steps. For details, please refer to the “Remarks” section.

Immunoprecipitation (IP); Immunoisolation or pulldown of a target molecule using an antibody. For details and product specific hints, please refer to the ”Remarks” section.

Immunocytochemistry (ICC) on 4% PFA fixed cells. Immunoreactivity is usually revealed by fluorescence. Some antibodies require special fixation methods. For details, please refer to the “Remarks” section.

Immunohistochemistry (IHC) on 4% PFA perfusion fixed tissue with 24h PFA post fixation. Immunoreactivity is usually revealed by fluorescence or a chromogenic substrate. Some antibodies require special fixation methods or antigen retrieval steps. For details, please refer to the ”Remarks” section.

Immunohistochemistry (IHC-P) of formalin fixed, paraffin embedded (FFPE) tissue (some antibodies require special antigen retrieval steps, please refer to the ”Remarks” section). Immunoreactivity is usually revealed by fluorescence or a chromogenic substrate.

Immunogen Synthetic peptide corresponding to AA 122 to 134 from human Complexin2 (UniProt Id: Q6PUV4)
Reactivity Reacts with: rat (P63041, P84087), mouse (P63040, P84086), human (O14810, Q6PUV4), cow, electric ray, rabbit.
Other species not tested yet.
Specificity Recognizes complexin 1 and 2. K.O. validated
Matching control protein/peptide 122-0P
Remarks

IHC: For optimal results in retina tissue, follow the retina protocol.

Data sheet Datasheet 122_003

References for Complexin1/2 - 122 003

Altered conformation of α-synuclein drives dysfunction of synaptic vesicles in a synaptosomal model of Parkinson's disease.
Fonseca-Ornelas L, Viennet T, Rovere M, Jiang H, Liu L, Nuber S, Ericsson M, Arthanari H, Selkoe DJ
Cell reports (2021) 361: 109333. 122 003 WB; tested species: mouse
Aberrant function and structure of retinal ribbon synapses in the absence of complexin 3 and complexin 4.
Reim K, Regus-Leidig H, Ammermüller J, El-Kordi A, Radyushkin K, Ehrenreich H, Brandstätter JH, Brose N
Journal of cell science (2009) 122Pt 9: 1352-61. 122 003 WB, IHC; tested species: mouse
Single synapse glutamate imaging reveals multiple levels of release mode regulation in mammalian synapses.
Farsi Z, Walde M, Klementowicz AE, Paraskevopoulou F, Woehler A
iScience (2021) 241: 101909. 122 003 ICC; tested species: rat
Loss of the parkinsonism-associated protein FBXO7 in glutamatergic forebrain neurons in mice leads to abnormal motor behavior and synaptic defects.
Wang J, Joseph S, Vingill S, Dere E, Tatenhorst L, Ronnenberg A, Lingor P, Preisinger C, Ehrenreich H, Schulz JB, Stegmüller J, et al.
Journal of neurochemistry (2023) : . 122 003 IHC; tested species: mouse
Aberrant function and structure of retinal ribbon synapses in the absence of complexin 3 and complexin 4.
Reim K, Regus-Leidig H, Ammermüller J, El-Kordi A, Radyushkin K, Ehrenreich H, Brandstätter JH, Brose N
Journal of cell science (2009) 122Pt 9: 1352-61. 122 003 WB, IHC; tested species: mouse
Cat. No.: 122 003
Amount: 50 µg
Price: $460.00
Altered conformation of α-synuclein drives dysfunction of synaptic vesicles in a synaptosomal model of Parkinson's disease.
Fonseca-Ornelas L, Viennet T, Rovere M, Jiang H, Liu L, Nuber S, Ericsson M, Arthanari H, Selkoe DJ
Cell reports (2021) 361: 109333. 122 003 WB; tested species: mouse
Aberrant function and structure of retinal ribbon synapses in the absence of complexin 3 and complexin 4.
Reim K, Regus-Leidig H, Ammermüller J, El-Kordi A, Radyushkin K, Ehrenreich H, Brandstätter JH, Brose N
Journal of cell science (2009) 122Pt 9: 1352-61. 122 003 WB, IHC; tested species: mouse
Single synapse glutamate imaging reveals multiple levels of release mode regulation in mammalian synapses.
Farsi Z, Walde M, Klementowicz AE, Paraskevopoulou F, Woehler A
iScience (2021) 241: 101909. 122 003 ICC; tested species: rat
Loss of the parkinsonism-associated protein FBXO7 in glutamatergic forebrain neurons in mice leads to abnormal motor behavior and synaptic defects.
Wang J, Joseph S, Vingill S, Dere E, Tatenhorst L, Ronnenberg A, Lingor P, Preisinger C, Ehrenreich H, Schulz JB, Stegmüller J, et al.
Journal of neurochemistry (2023) : . 122 003 IHC; tested species: mouse
Aberrant function and structure of retinal ribbon synapses in the absence of complexin 3 and complexin 4.
Reim K, Regus-Leidig H, Ammermüller J, El-Kordi A, Radyushkin K, Ehrenreich H, Brandstätter JH, Brose N
Journal of cell science (2009) 122Pt 9: 1352-61. 122 003 WB, IHC; tested species: mouse
Background

Complexins are enriched in neurons where they colocalize with syntaxin 1 and SNAP 25. In addition, complexin 2, also referred to as synaphin 1, is expressed ubiquitously at low levels. Complexins bind weakly to syntaxin 1 alone and not at all to synaptobrevin and SNAP 25, but strongly to the SNAP receptor-core complex composed of these three molecules. They compete with α-SNAP for binding to the core complex but not with other interacting molecules, suggesting that complexins regulate the sequential interactions of α-SNAP and synaptotagmins with the SNAP receptor during exocytosis.
In retinal ribbon synapses complexin 3 and complexin 4 functionally replace complexin 1 (synaphin 2) and 2. They have similar biochemical binding properties and are farnesylated at their C-terminus.

Certificates

ISO 9001 2015 Quality Management System and Green Lab Platinum certification level for sustaining laboratory processes.

Newsletter

Sign up for our newsletter and get the latest updates and news.
 

Please provide a valid E-Mail-Address
Please provide a valid First name
Please provide a valid Last name