Tailor-made Antibodies
and Tools for Life Science
Home | | | | | Technical Support

Synapsin1 antibody - 106 008 K.O.

Synapsins are peripheral synaptic vesicle proteins and substrate for several protein kinases
Rabbit monoclonal recombinant IgG
Cat. No.: 106 008
Amount: 50 µg
Price: $425.00
Cat. No. 106 008 50 µg purified recombinant IgG, lyophilized. Albumin and azide were added for stabilization. For reconstitution add 50 µl H2O to get a 1mg/ml solution in PBS. Then aliquot and store at -20°C to -80°C until use.
Antibodies should be stored at +4°C when still lyophilized. Do not freeze!
Applications
 
WB: 1 : 1000 up to 1 : 10000 (AP staining) gallery  
IP: yes
ICC: 1 : 1000 gallery  
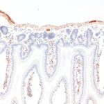
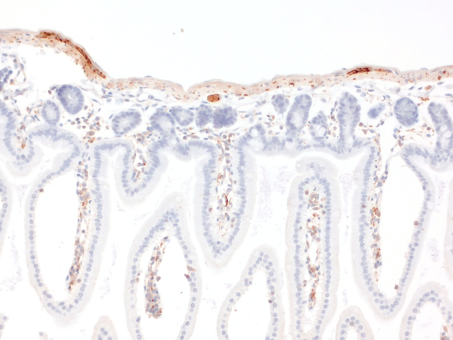
IHC: 1 : 200 up to 1 : 500 gallery  
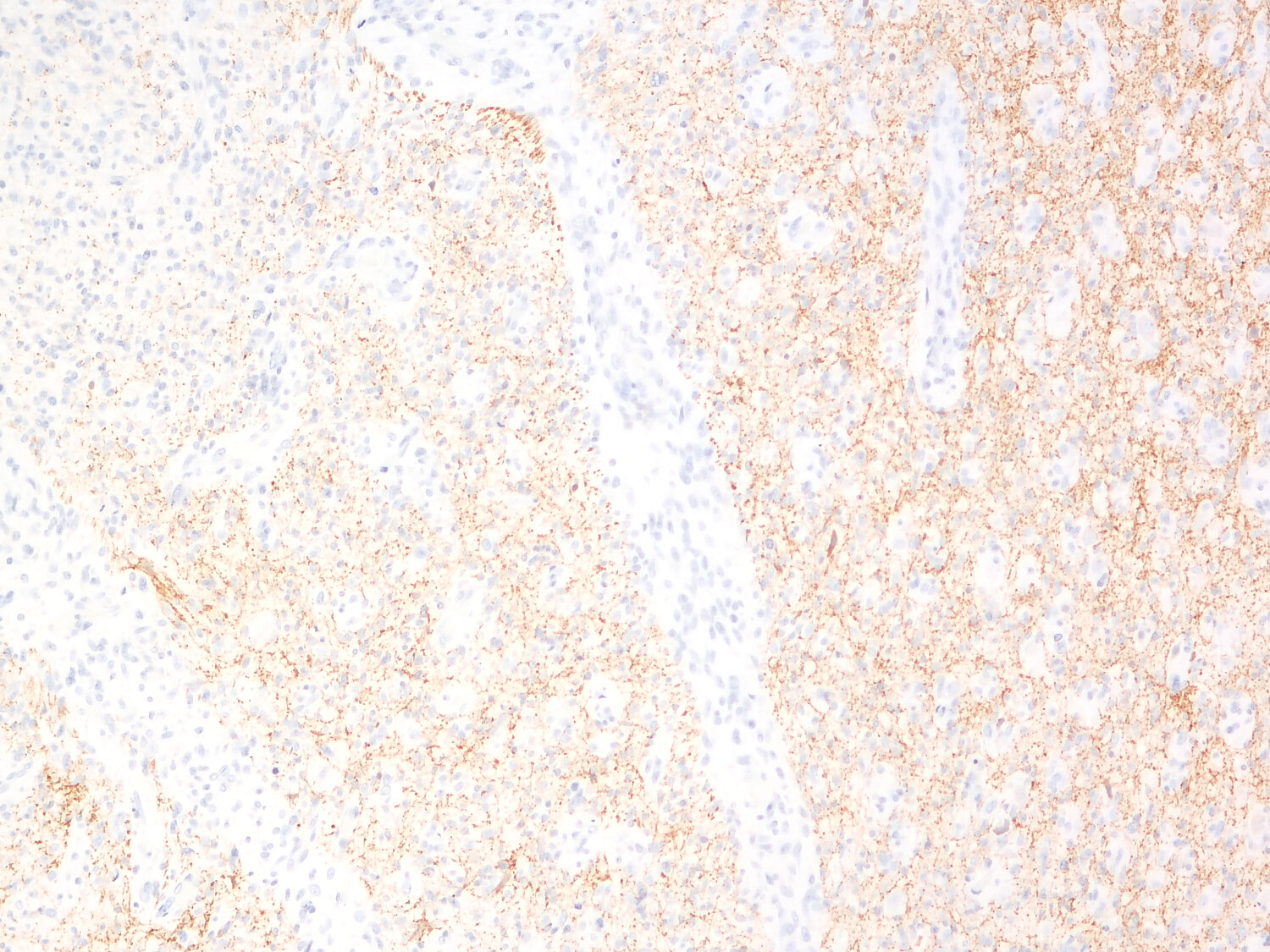
IHC-P (FFPE): 1 : 1000 gallery  
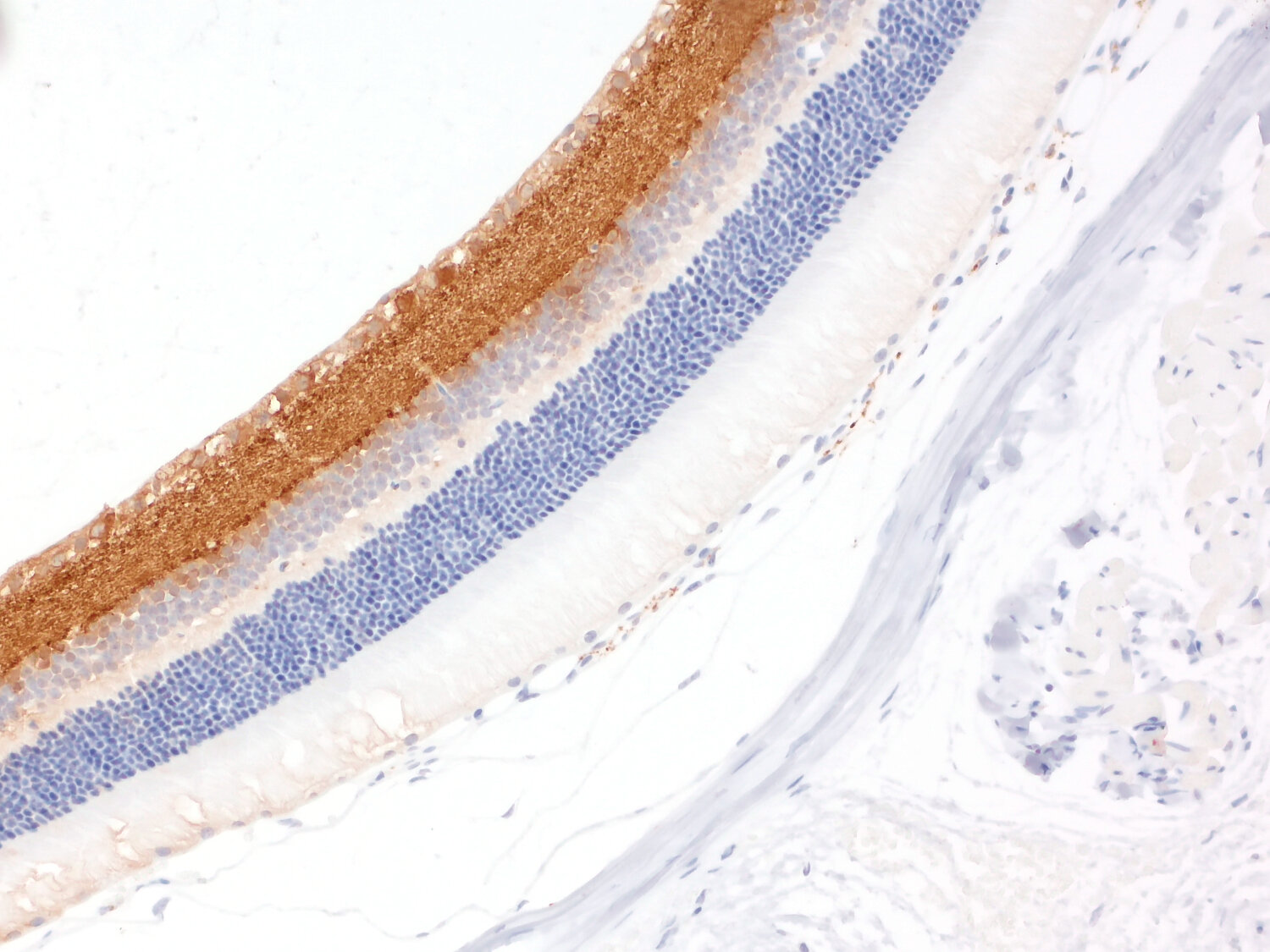
IHC-G: 1 : 500 (see remarks) gallery  
ExM: external data (see remarks) gallery  
DNA-PAINT: external data (see remarks)

Western blot (WB); separation of proteins by PAGE and subsequent transfer to a membrane. Detection of target molecules is carried out with antibodies. Some antibodies require special sample preparation steps. For details, please refer to the “Remarks” section.

Immunoprecipitation (IP); Immunoisolation or pulldown of a target molecule using an antibody. For details and product specific hints, please refer to the ”Remarks” section.

Immunocytochemistry (ICC) on 4% PFA fixed cells. Immunoreactivity is usually revealed by fluorescence. Some antibodies require special fixation methods. For details, please refer to the “Remarks” section.

Immunohistochemistry (IHC) on 4% PFA perfusion fixed tissue with 24h PFA post fixation. Immunoreactivity is usually revealed by fluorescence or a chromogenic substrate. Some antibodies require special fixation methods or antigen retrieval steps. For details, please refer to the ”Remarks” section.

Immunohistochemistry (IHC-P) of formalin fixed, paraffin embedded (FFPE) tissue (some antibodies require special antigen retrieval steps, please refer to the ”Remarks” section). Immunoreactivity is usually revealed by fluorescence or a chromogenic substrate.

Immunohistochemistry on glyoxal fixed (IHC-G) tissue. The tissue is perfused with saline and afterwards immersion fixed with a glyoxal solution. For details of the glyoxal solution, please refer to the remarks section. Immunoreactivity is usually revealed by fluorescence.

Expansion Microscopy (ExM) is a sample preparation and imaging method which employs a dense interconnected web of swellable polymer within a biological specimen. A significantly higher effective resolution can be achieved with a standard microscope setup. For additional experimental details, please refer to the Remarks section.

In antibody-based DNA-PAINT (Point Accumulation in Nanoscale Topography), a short oligomeric docking strand is coupled to a specific antibody. The transient association of the fluorophore to the antibody is mediated by the pairing of a short fluorescently labeled complementary imager DNA strand. DNA-PAINT allows super-resolution imaging and the imaging of a huge number of antibodies on the same biological sample in a single multiplex experiment. For additional experimental details refer to the Remarks section.

Clone Rb46.1
Subtype IgG1 (κ light chain)
Immunogen full-length recombinant rat Synapsin1 (UniProt Id: P09951)
Epitop AA 435 to 475 from rat Synapsin1 (UniProt Id: P09951)
Reactivity Reacts with: human (P17600), rat (P09951), mouse (O88935), mammals.
Weaker signal: chicken, zebrafish, other vertebrates.
Other species not tested yet.
Specificity Specific for synapsin 1a and 1b independent of phosphorylation state. K.O. validated
Remarks

This antibody is a chimeric antibody based on the well known monoclonal mouse antibody clone 46.1. The constant regions of the heavy and light chains have been replaced by rabbit specific sequences. Therefore, the antibody can be used with standard anti-rabbit secondary reagents. The antibody has been expressed in mammalian cells.
IHC-G: 9% glyoxal fixation is recommended.
ExM: This antibody has been successfully applied and published for this method by customers (see application-specific references).
DNA-PAINT: This antibody has been successfully applied and published for this method by customers (see application-specific references).

Data sheet Datasheet 106_008

References for Synapsin1 - 106 008

Chromogranin A promotes the pathological conversion of α-synuclein at the synapse in Parkinson's disease.
Liu Y, Kong W, Zhu F, Jiang J, Li C, Han J, Ai P, Li C, Wang Y, Liu Y, Zhou L, et al.
Cell reports (2025) 4411: 116562. 106 008 ICC; tested species: mouse
Methods for shipping live primary cortical and hippocampal neuron cultures from postnatal mice.
Sammoura FM, Popova D, Morris A, Hart RP, Richardson JR
Current research in neurobiology (2023) 4: 100069. 106 008 ICC; tested species: mouse
Spatial proteomics in neurons at single-protein resolution.
Unterauer EM, Shetab Boushehri S, Jevdokimenko K, Masullo LA, Ganji M, Sograte-Idrissi S, Kowalewski R, Strauss S, Reinhardt SCM, Perovic A, Marr C, et al.
Cell (2024) 1877: 1785-1800.e16. 106 008 DNA-PAINT; tested species: rat
Cat. No.: 106 008
Amount: 50 µg
Price: $425.00
Chromogranin A promotes the pathological conversion of α-synuclein at the synapse in Parkinson's disease.
Liu Y, Kong W, Zhu F, Jiang J, Li C, Han J, Ai P, Li C, Wang Y, Liu Y, Zhou L, et al.
Cell reports (2025) 4411: 116562. 106 008 ICC; tested species: mouse
Methods for shipping live primary cortical and hippocampal neuron cultures from postnatal mice.
Sammoura FM, Popova D, Morris A, Hart RP, Richardson JR
Current research in neurobiology (2023) 4: 100069. 106 008 ICC; tested species: mouse
Spatial proteomics in neurons at single-protein resolution.
Unterauer EM, Shetab Boushehri S, Jevdokimenko K, Masullo LA, Ganji M, Sograte-Idrissi S, Kowalewski R, Strauss S, Reinhardt SCM, Perovic A, Marr C, et al.
Cell (2024) 1877: 1785-1800.e16. 106 008 DNA-PAINT; tested species: rat
Background

Synapsins are neuron-specific phosphoproteins that play a fundamental role in synaptic vesicle trafficking and neurotransmitter release. They are exclusively associated with small synaptic vesicles in presynaptic terminals, with little or no expression in non-neuronal tissues including neuroendocrine cells (1–4). In mammals, three distinct genes—SYN1, SYN2, and SYN3—encode more than eight isoforms through alternative splicing. Synapsin1 is one of the most specific markers of synapses throughout both the central and peripheral nervous systems. In addition to presynaptic terminals, it is localized to sensory nerve endings and peripheral innervation of the gastrointestinal tract, including the small intestine, where it contributes to neurotransmitter release in enteric and extrinsic nerves (2,3). Two splice variants, synapsin1a and synapsin1b, interact with synaptic vesicle membranes and the cytoskeletal proteins actin and spectrin (1). Synapsin2, also expressed in the nervous system, exists in at least two splice variants, whereas synapsin3 displays a more restricted distribution, being enriched in hippocampal neurons and developing neural circuits (4).
Synapsins are major neuronal phosphoproteins and substrates of several kinases, including PKA, CaMK I, and CaMK II, with synapsin1 serving as a reference substrate for calmodulin-dependent protein kinases (1,4). Beyond their established neuronal role, recent studies have implicated synapsins in glioblastoma biology. In particular, synapsin3 has been shown to promote neuronal-like differentiation of glioblastoma stem cells by antagonizing Notch signaling, thereby reducing tumor stemness and progression (5). Moreover, glioblastoma cells can exploit synaptic communication pathways, underscoring a broader role for synaptic proteins in tumor growth and plasticity (6).

Certificates

ISO 9001 2015 Quality Management System and Green Lab Platinum certification level for sustaining laboratory processes.

Newsletter

Sign up for our newsletter and get the latest updates and news.
 

Please provide a valid E-Mail-Address
Please provide a valid First name
Please provide a valid Last name