Tailor-made Antibodies
and Tools for Life Science
Home | | | | | Technical Support

GABA-A receptor alpha1 antibody extracellular - 224 218

GABA-A receptors are involved in inhibitory neurotransmission
Guinea pig monoclonal recombinant IgG
Cat. No.: 224 218
Amount: 50 µg
Price: $420.00
Cat. No. 224 218 50 µg purified recombinant IgG, lyophilized. Albumin and azide were added for stabilization. For reconstitution add 50 µl H2O to get a 1mg/ml solution in PBS. Then aliquot and store at -20°C to -80°C until use.
Antibodies should be stored at +4°C when still lyophilized. Do not freeze!
Applications
 
WB: 1 : 1000 (AP staining) gallery  
IP: not tested yet
ICC: 1 : 200 up to 1 : 500 gallery  
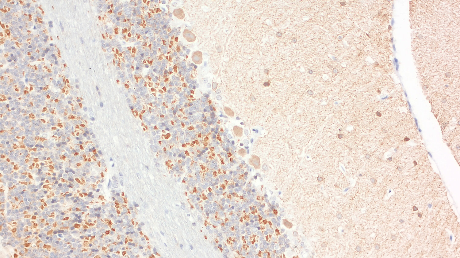
IHC: 1 : 500 gallery  
IHC-P (FFPE): 1 : 100 up to 1 : 200 gallery  

Western blot (WB); separation of proteins by PAGE and subsequent transfer to a membrane. Detection of target molecules is carried out with antibodies. Some antibodies require special sample preparation steps. For details, please refer to the “Remarks” section.

Immunoprecipitation (IP); Immunoisolation or pulldown of a target molecule using an antibody. For details and product specific hints, please refer to the ”Remarks” section.

Immunocytochemistry (ICC) on 4% PFA fixed cells. Immunoreactivity is usually revealed by fluorescence. Some antibodies require special fixation methods. For details, please refer to the “Remarks” section.

Immunohistochemistry (IHC) on 4% PFA perfusion fixed tissue with 24h PFA post fixation. Immunoreactivity is usually revealed by fluorescence or a chromogenic substrate. Some antibodies require special fixation methods or antigen retrieval steps. For details, please refer to the ”Remarks” section.

Immunohistochemistry (IHC-P) of formalin fixed, paraffin embedded (FFPE) tissue (some antibodies require special antigen retrieval steps, please refer to the ”Remarks” section). Immunoreactivity is usually revealed by fluorescence or a chromogenic substrate.

Clone Gp53D3
Subtype IgG2 (κ light chain)
Immunogen Synthetic peptide corresponding to residues near the amino terminus from rat GABA-A receptor α1 (UniProt Id: P62813)
Reactivity Reacts with: rat (P62813), mouse (P62812).
Other species not tested yet.
Matching control protein/peptide 224-2P
Remarks

This antibody is a chimeric antibody based on the monoclonal mouse antibody 53D3. The constant regions of the heavy and light chains have been replaced with guinea pig specific sequences. Therefore, the antibody can be used with standard anti-guinea pig secondary reagents. The antibody has been expressed in mammalian cells.

Data sheet Datasheet 224_218
Cat. No.: 224 218
Amount: 50 µg
Price: $420.00
Background

Gamma-aminobutyric acid type A (GABA-A) receptors mediate the majority of inhibitory neurotransmission in the brain. These receptor proteins are ligand gated chloride ion channels and consist of a pentameric combination of different subunits (alpha, beta, gamma, delta, epsilon and rho). The resulting heterogenous population of GABA-A receptor subtypes are expressed throughout the brain with specific cellular and subcellular expression patterns.

 

For more information on protein expression pattern, please refer to the overview image in our SYSY Antibodies ATLAS.

Certificates

ISO 9001 2015 Quality Management System and Green Lab Platinum certification level for sustaining laboratory processes.

Newsletter

Sign up for our newsletter and get the latest updates and news.
 

Please provide a valid E-Mail-Address
Please provide a valid First name
Please provide a valid Last name