Tailor-made Antibodies
and Tools for Life Science
Home | | | | | Technical Support

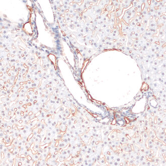
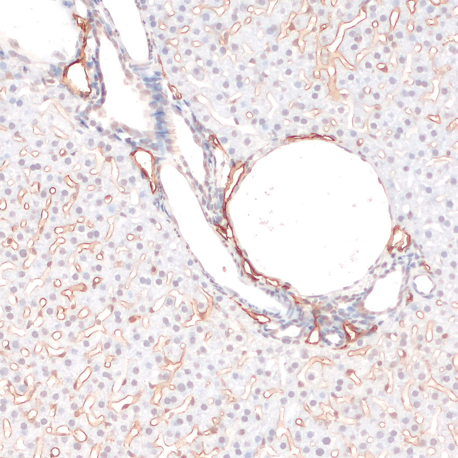
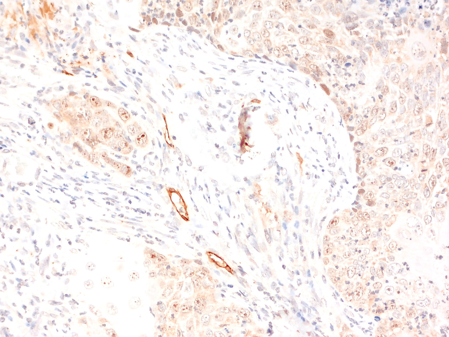
Lyve1 (Cytosol) antibody - HS-536 014

Lyve1 is a lymphatic vessel endothelial hyaluronan receptor marker
Guinea pig polyclonal antiserum
Cat. No.: HS-536 014
Amount: 100 µl
Price: $355.00
Cat. No. HS-536 014 100 µl antiserum, lyophilized. For reconstitution add 100 µl H2O, then aliquot and store at -20°C until use.
Antibodies should be stored at +4°C when still lyophilized. Do not freeze!
Applications
 
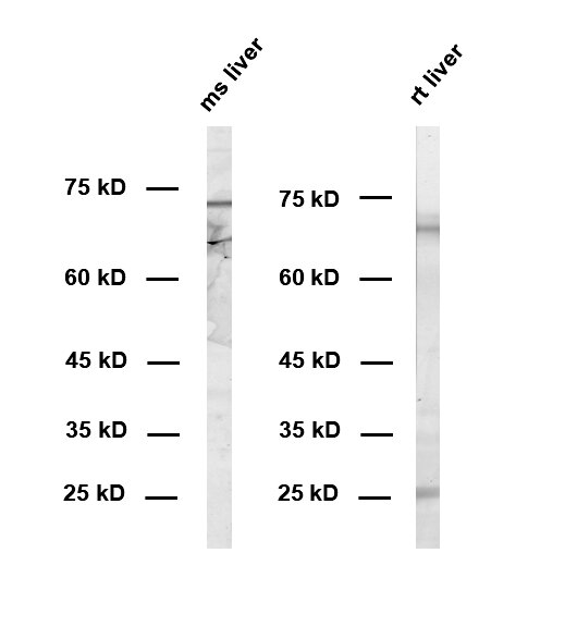
WB: 1 : 500 (AP-staining) gallery  
IP: not tested yet
ICC: not tested yet
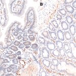
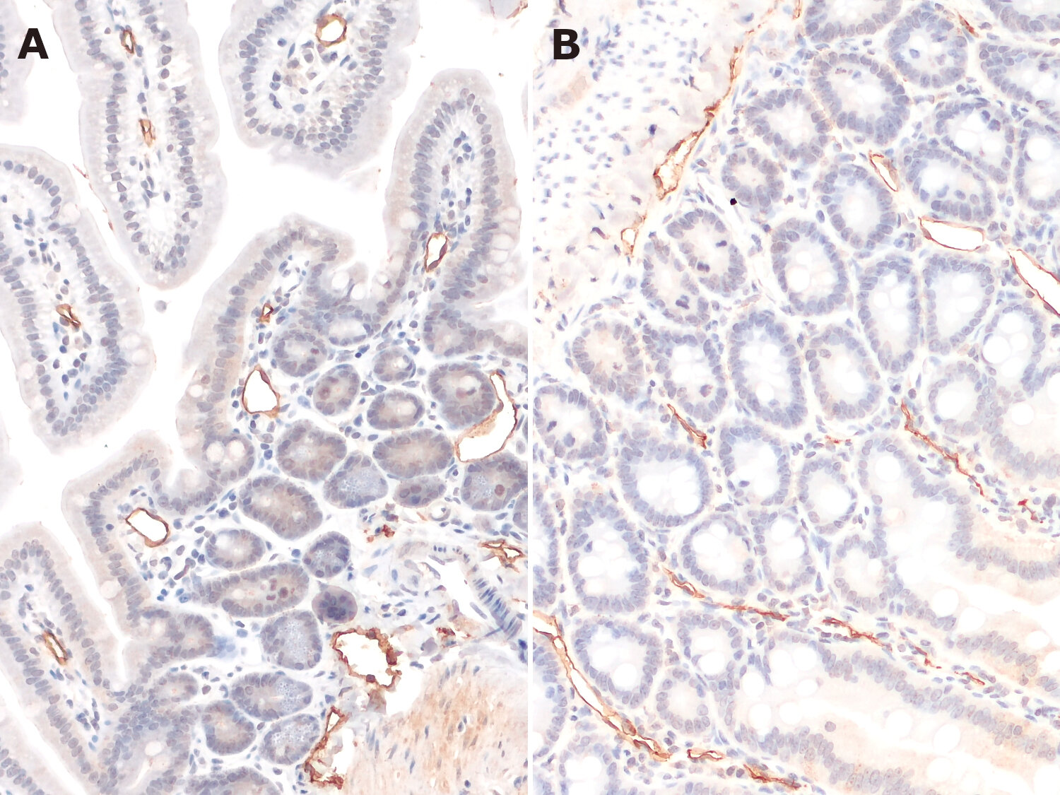
IHC: 1 : 500 (see remarks) gallery  
IHC-P (FFPE): 1 : 150 (see remarks) gallery  

Western blot (WB); separation of proteins by PAGE and subsequent transfer to a membrane. Detection of target molecules is carried out with antibodies. Some antibodies require special sample preparation steps. For details, please refer to the “Remarks” section.

Immunoprecipitation (IP); Immunoisolation or pulldown of a target molecule using an antibody. For details and product specific hints, please refer to the ”Remarks” section.

Immunocytochemistry (ICC) on 4% PFA fixed cells. Immunoreactivity is usually revealed by fluorescence. Some antibodies require special fixation methods. For details, please refer to the “Remarks” section.

Immunohistochemistry (IHC) on 4% PFA perfusion fixed tissue with 24h PFA post fixation. Immunoreactivity is usually revealed by fluorescence or a chromogenic substrate. Some antibodies require special fixation methods or antigen retrieval steps. For details, please refer to the ”Remarks” section.

Immunohistochemistry (IHC-P) of formalin fixed, paraffin embedded (FFPE) tissue (some antibodies require special antigen retrieval steps, please refer to the ”Remarks” section). Immunoreactivity is usually revealed by fluorescence or a chromogenic substrate.

Immunogen Synthetic peptide corresponding to residues near the carboxy terminus of mouse Lyve1 (UniProt Id: Q8BHC0)
Reactivity Reacts with: mouse (Q8BHC0), rat (D3ZD19).
No signal: human (Q9Y5Y7).
Other species not tested yet.
Remarks

IHC: Antigen retrieval with citrate buffer pH 6 can be applied to improve the signal to noise ratio.
IHC-P (FFPE): For chromogenic detection, an optimized AGR time of 30 minutes is recommended for best results.
For fluorescent detection, an optimized AGR time of overnight minutes is recommended for best results.

Data sheet Datasheet hs-536_014
Important information
This product belongs to the HistoSure product line of antibodies developed for and extensively tested in FFPE tissues.
For more information please visit our HistoSure brand website.
Cat. No.: HS-536 014
Amount: 100 µl
Price: $355.00

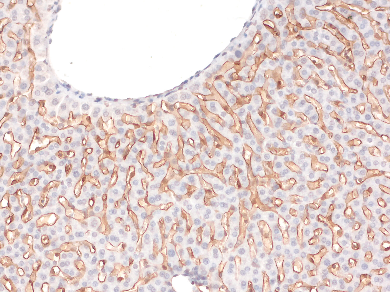
Transmembrane staining of Lyve1 in a mouse liver

Background

Lymphatic vessel endothelial hyaluronan receptor-1 (Lyve1) is a type I integral membrane glycoprotein and a member of the Link protein superfamily (1). It is predominantly expressed on lymphatic endothelial cells, where it functions as a key marker for identifying lymphatic vasculature and mediates binding and internalization of hyaluronan (HA) (2). Beyond the lymphatic system, Lyve1 is also detected in liver sinusoidal endothelial cells (3) and in subsets of tissue macrophages, including perivascular and interstitial macrophages in the lung, aorta, and mammary gland (4,5). Functionally, Lyve1 regulates HA metabolism, extracellular matrix remodeling, and leukocyte trafficking (2,4). Clinically, altered Lyve1 expression is implicated in several pathologies, as it correlates with lymphangiogenesis and metastatic spread in cancer (3,6), contributes to the regulation of vascular homeostasis and arterial stiffness (5), and participates in inflammatory and fibrotic conditions, such as rheumatoid arthritis and psoriasis (7).

Certificates

ISO 9001 2015 Quality Management System and Green Lab Platinum certification level for sustaining laboratory processes.

Newsletter

Sign up for our newsletter and get the latest updates and news.
 

Please provide a valid E-Mail-Address
Please provide a valid First name
Please provide a valid Last name