Tailor-made Antibodies
and Tools for Life Science
Home | | | | | Technical Support

Lyve1 (Extracellular) antibody - HS-536 004

Lyve1 is a lymphatic vessel endothelial hyaluronan receptor marker
Guinea pig polyclonal antiserum
Cat. No.: HS-536 004
Amount: 100 µl
Price: $355.00
Cat. No. HS-536 004 100 µl antiserum, lyophilized. Albumin and azide were added for stabilization. For reconstitution add 100 µl H2O, then aliquot and store at -20°C until use.
Antibodies should be stored at +4°C when still lyophilized. Do not freeze!
Applications
 
WB: not tested yet
IP: not tested yet
ICC: not tested yet
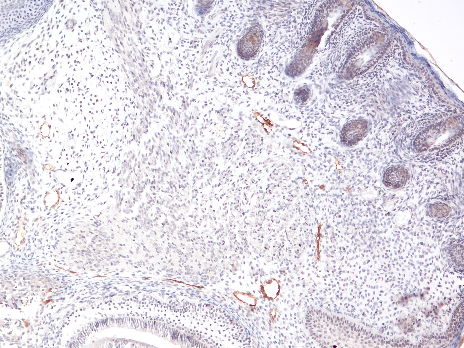
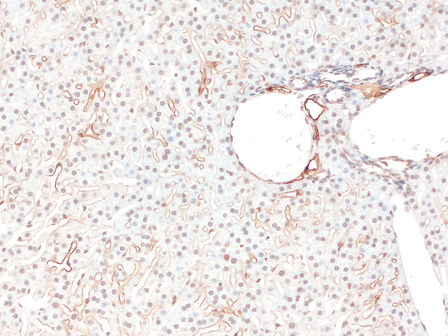
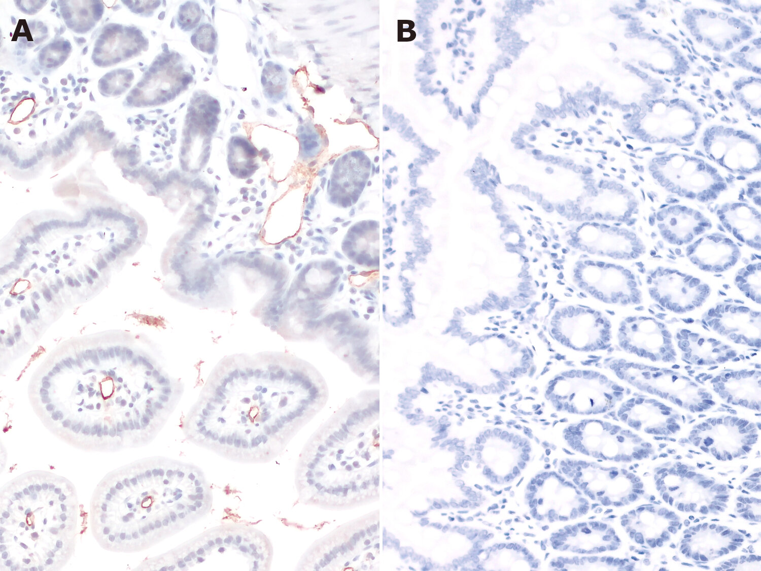
IHC: 1 : 100
IHC-P (FFPE): 1 : 150 gallery  

Western blot (WB); separation of proteins by PAGE and subsequent transfer to a membrane. Detection of target molecules is carried out with antibodies. Some antibodies require special sample preparation steps. For details, please refer to the “Remarks” section.

Immunoprecipitation (IP); Immunoisolation or pulldown of a target molecule using an antibody. For details and product specific hints, please refer to the ”Remarks” section.

Immunocytochemistry (ICC) on 4% PFA fixed cells. Immunoreactivity is usually revealed by fluorescence. Some antibodies require special fixation methods. For details, please refer to the “Remarks” section.

Immunohistochemistry (IHC) on 4% PFA perfusion fixed tissue with 24h PFA post fixation. Immunoreactivity is usually revealed by fluorescence or a chromogenic substrate. Some antibodies require special fixation methods or antigen retrieval steps. For details, please refer to the ”Remarks” section.

Immunohistochemistry (IHC-P) of formalin fixed, paraffin embedded (FFPE) tissue (some antibodies require special antigen retrieval steps, please refer to the ”Remarks” section). Immunoreactivity is usually revealed by fluorescence or a chromogenic substrate.

Immunogen Synthetic peptide corresponding to residues near the amino terminus of mouse Lyve1 (UniProt Id: Q8BHC0)
Reactivity Reacts with: mouse (Q8BHC0).
No signal: rat (D3ZD19), human (Q9Y5Y7).
Other species not tested yet.
Data sheet Datasheet hs-536_004
Important information
This product belongs to the HistoSure product line of antibodies developed for and extensively tested in FFPE tissues.
For more information please visit our HistoSure brand website.
Cat. No.: HS-536 004
Amount: 100 µl
Price: $355.00

Immunohistochemical staining of a mouse small intestine using anti-Lyve1 (green) and anti-CD31 (red)

Background

Lymphatic vessel endothelial hyaluronan receptor-1 (Lyve1) is a type I integral membrane glycoprotein and a member of the Link protein superfamily (1). It is predominantly expressed on lymphatic endothelial cells, where it functions as a key marker for identifying lymphatic vasculature and mediates binding and internalization of hyaluronan (HA) (2). Beyond the lymphatic system, Lyve1 is also detected in liver sinusoidal endothelial cells (3) and in subsets of tissue macrophages, including perivascular and interstitial macrophages in the lung, aorta, and mammary gland (4,5). Functionally, Lyve1 regulates HA metabolism, extracellular matrix remodeling, and leukocyte trafficking (2,4). Clinically, altered Lyve1 expression is implicated in several pathologies, as it correlates with lymphangiogenesis and metastatic spread in cancer (3,6), contributes to the regulation of vascular homeostasis and arterial stiffness (5), and participates in inflammatory and fibrotic conditions, such as rheumatoid arthritis and psoriasis (7).

Certificates

ISO 9001 2015 Quality Management System and Green Lab Platinum certification level for sustaining laboratory processes.

Newsletter

Sign up for our newsletter and get the latest updates and news.
 

Please provide a valid E-Mail-Address
Please provide a valid First name
Please provide a valid Last name