Tailor-made Antibodies
and Tools for Life Science
Home | | | | | Technical Support

HNK-1 (CD57) antibody - HS-531 008

HNK-1 is a sulfate carbohydrate epitope
Rabbit monoclonal recombinant IgG
Cat. No.: HS-531 008
Amount: 50 µg
Price: $420.00
Cat. No. HS-531 008 50 µg purified recombinant IgG, lyophilized. Albumin and azide were added for stabilization. For reconstitution add 50 µl H2O to get a 1mg/ml solution in PBS. Then aliquot and store at -20°C to -80°C until use.
Antibodies should be stored at +4°C when still lyophilized. Do not freeze!
Applications
 
WB: not tested yet
IP: not tested yet
ICC: not tested yet
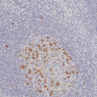
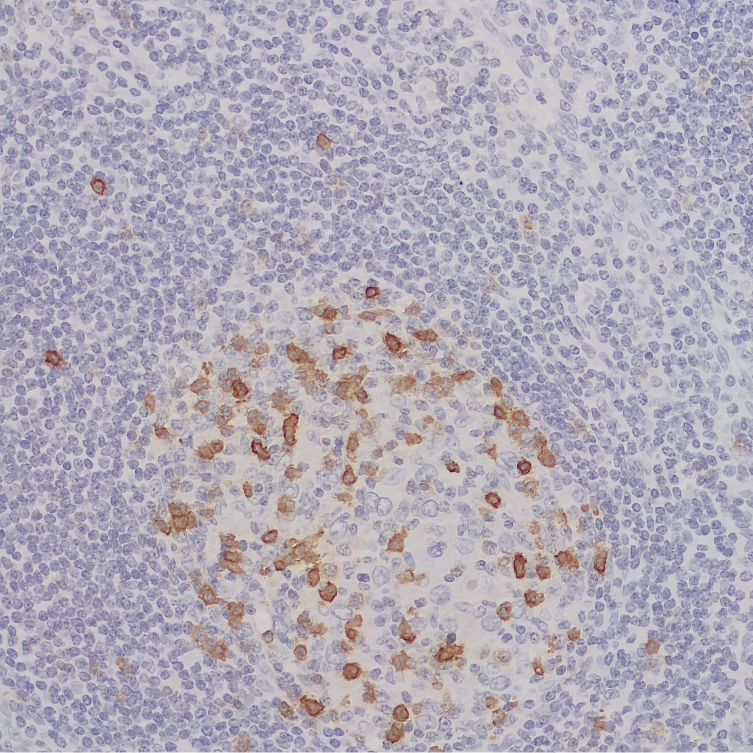
IHC-P (FFPE): 1 : 400 up to 1 : 1000 gallery  
ELISA: not tested yet

Western blot (WB); separation of proteins by PAGE and subsequent transfer to a membrane. Detection of target molecules is carried out with antibodies. Some antibodies require special sample preparation steps. For details, please refer to the “Remarks” section.

Immunoprecipitation (IP); Immunoisolation or pulldown of a target molecule using an antibody. For details and product specific hints, please refer to the ”Remarks” section.

Immunocytochemistry (ICC) on 4% PFA fixed cells. Immunoreactivity is usually revealed by fluorescence. Some antibodies require special fixation methods. For details, please refer to the “Remarks” section.

Immunohistochemistry (IHC-P) of formalin fixed, paraffin embedded (FFPE) tissue (some antibodies require special antigen retrieval steps, please refer to the ”Remarks” section). Immunoreactivity is usually revealed by fluorescence or a chromogenic substrate.

Enzyme-linked immunosorbent assay (ELISA); a frequently employed method to quantify target-molecules in solution. The detection of some proteins requires special solubilization steps. For further information, please refer to the „Remarks“ section.

Clone Rb-HNK-1
Subtype IgG1 (κ light chain)
Immunogen Membrane extract of human lymphoblastoid cell line HSB-2 (UniProt Id: Q9P2W7)
Reactivity Reacts with: human (Q9P2W7).
No signal: mouse, rat.
Other species not tested yet.
Remarks

This antibody is a chimeric antibody based on the monoclonal mouse antibody clone HNK-1. The constant regions of the heavy and light chains have been replaced with rabbit specific sequences. The antibody can therefore be used with standard anti-rabbit secondary reagents. The antibody has been expressed in mammalian cells.

Data sheet Datasheet hs-531_008
Important information
This product belongs to the HistoSure product line of antibodies developed for and extensively tested in FFPE tissues.
For more information please visit our HistoSure brand website.
Cat. No.: HS-531 008
Amount: 50 µg
Price: $420.00

HNK-1 / CD57 positive cells are located in the germinal centers of the human tonsil

Background

The human natural killer-1 (HNK-1) glyco-epitope, also known as LEU-7 or CD57, was first identified by a monoclonal antibody that recognizes a subset of human natural killer (NK) cells (1). This epitope features a unique trisaccharide structure, consisting of a 3-O-sulfated glucuronic acid linked to N-acetyl-lactosamine (HSO3-3GlcAß1-3Galß1-4GlcNAc-) and is primarily expressed on glycolipids and glycoproteins within the nervous system. Notable carriers are NCAM, L1, MAG, tenascin-R and tenascin-C (2). Studies in mice lacking HNK-1 expression reveal abnormal brain function, including impaired synaptic plasticity, deficits in dendritic spine maturation and disrupted spatial learning (2-4). In humans, HNK-1 is implicated in various central nervous system (CNS) disorders. For instance, autoantibodies targeting HNK-1 have been detected in certain neuropathies (5). Beyond its role in neural development, HNK-1 also appears to function as tumor suppressor. Elevated HNK-1 expression has been associated with improved survival outcomes in patients with prostate cancer or astrocytic tumors (6,7). In the field of immunology, HNK-1 is most commonly referred to as CD57. It is expressed on a subset of immune cells, particularly T cells and natural killer (NK) cells, and is associated with terminal differentiation and cellular senescence (8).

Certificates

ISO 9001 2015 Quality Management System and Green Lab Platinum certification level for sustaining laboratory processes.

Newsletter

Sign up for our newsletter and get the latest updates and news.
 

Please provide a valid E-Mail-Address
Please provide a valid First name
Please provide a valid Last name