Tailor-made Antibodies
and Tools for Life Science
Home | | | | | Technical Support

CLEC4F antibody C-terminal - HS-501 017

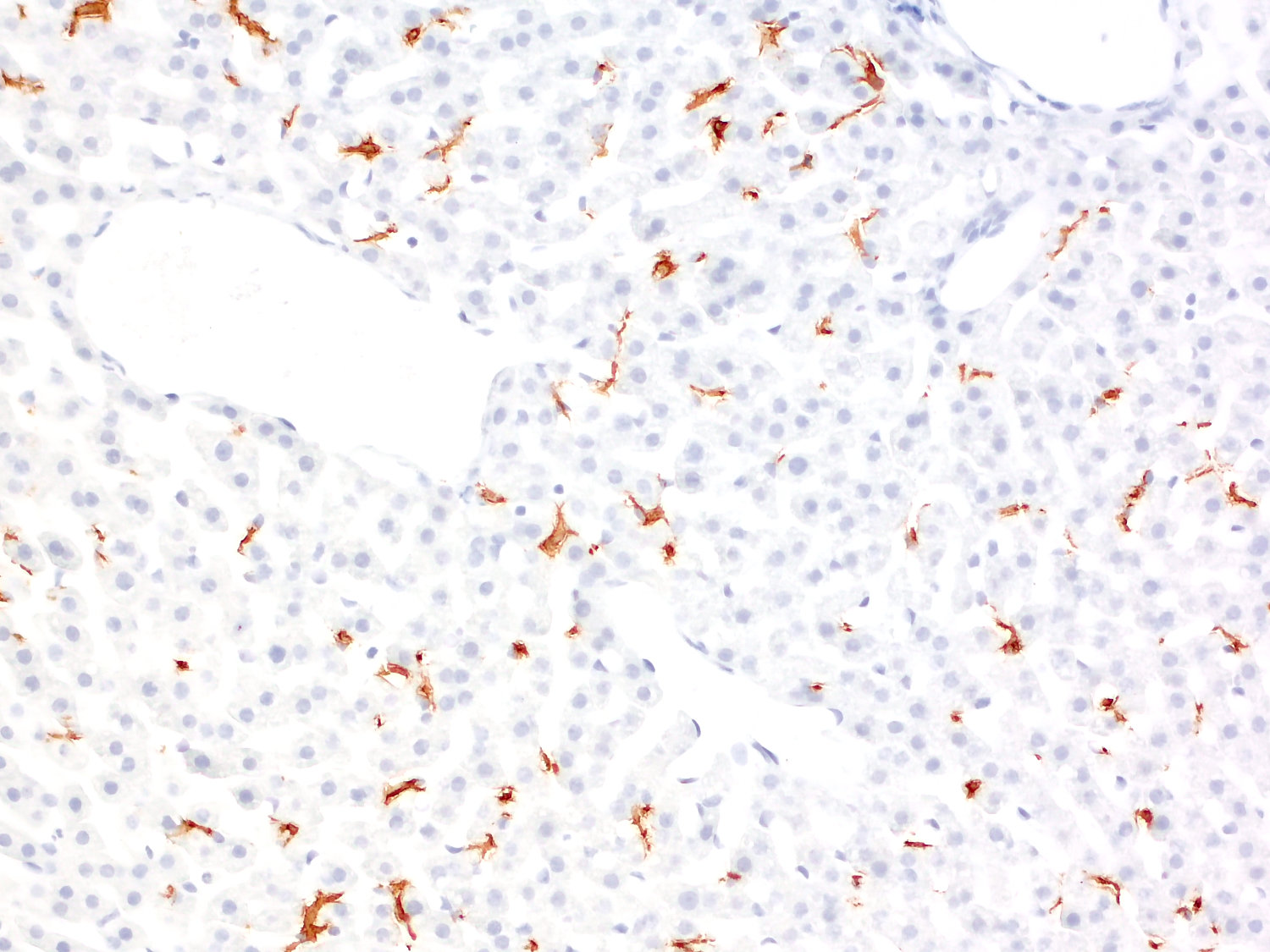
CLEC4F is a marker for Kupffer cells
Rat monoclonal purified IgG
Cat. No.: HS-501 017
Amount: 100 µg
Price: $420.00
Cat. No. HS-501 017 100 µg purified IgG, lyophilized. Albumin and azide were added for stabilization. For reconstitution add 100 µl H2O to get a 1mg/ml solution in PBS. Then aliquot and store at -20°C to -80°C until use.
Antibodies should be stored at +4°C when still lyophilized. Do not freeze!
Applications
 
WB: 1 : 500 (AP staining) gallery  
IP: not tested yet
ICC: not tested yet
IHC: 1 : 500 (see remarks) gallery  
IHC-P (FFPE): 1 : 1000 up to 1 : 2000 gallery  

Western blot (WB); separation of proteins by PAGE and subsequent transfer to a membrane. Detection of target molecules is carried out with antibodies. Some antibodies require special sample preparation steps. For details, please refer to the “Remarks” section.

Immunoprecipitation (IP); Immunoisolation or pulldown of a target molecule using an antibody. For details and product specific hints, please refer to the ”Remarks” section.

Immunocytochemistry (ICC) on 4% PFA fixed cells. Immunoreactivity is usually revealed by fluorescence. Some antibodies require special fixation methods. For details, please refer to the “Remarks” section.

Immunohistochemistry (IHC) on 4% PFA perfusion fixed tissue with 24h PFA post fixation. Immunoreactivity is usually revealed by fluorescence or a chromogenic substrate. Some antibodies require special fixation methods or antigen retrieval steps. For details, please refer to the ”Remarks” section.

Immunohistochemistry (IHC-P) of formalin fixed, paraffin embedded (FFPE) tissue (some antibodies require special antigen retrieval steps, please refer to the ”Remarks” section). Immunoreactivity is usually revealed by fluorescence or a chromogenic substrate.

Clone SY-161E9
Subtype IgG2a (κ light chain)
Immunogen Synthetic peptide corresponding to residues near the carboxy terminus of mouse CLEC4F (UniProt Id: P70194)
Reactivity Reacts with: mouse (P70194).
Other species not tested yet.
Remarks

IHC: Antigen retrieval with citrate buffer pH 6 is required.

Data sheet Datasheet hs-501_017
Important information
This product belongs to the HistoSure product line of antibodies developed for and extensively tested in FFPE tissues.
For more information please visit our HistoSure brand website.
Cat. No.: HS-501 017
Amount: 100 µg
Price: $420.00

CLEC4F (red) signal colocalizes with F4/80 (green) in mouse liver

Background

The murine CLEC4F is a hallmark of mouse Kupffer cells (KCs) and its expression distinguishes KCs and recruited macrophages (1). CLEC4F is a C-type lectin participating in the antigen presentation of glycolipid antigens, as well as in the recognition and scavenging of desialylated platelets (2). The human CLEC4F gene does not encode a functional receptor due to a mutation in the splice acceptor site of the final exon preventing the appropriate splicing and a missense mutation disrupts the sugar-binding site (3). CLEC4F colocalises with F4/80. Although F4/80 is constitutively expressed in peripheral and resident macrophages, CLEC4F is inducible in the liver and its expression appears when primitive macrophages migrate into the fetal liver. Moreover, CLEC4F and F4/80 cells in the liver increase after infection (4).

Certificates

ISO 9001 2015 Quality Management System and Green Lab Platinum certification level for sustaining laboratory processes.

Newsletter

Sign up for our newsletter and get the latest updates and news.
 

Please provide a valid E-Mail-Address
Please provide a valid First name
Please provide a valid Last name