Tailor-made Antibodies
and Tools for Life Science
Home | | | | | Technical Support

CD169 antibody human specific - HS-495 111

CD169 is a transmembrane protein receptor expressed on macrophages
Mouse monoclonal purified IgG
Cat. No.: HS-495 111
Amount: 100 µg
Price: $420.00
Cat. No. HS-495 111 100 µg purified IgG, lyophilized. Albumin and azide were added for stabilization. For reconstitution add 100 µl H2O to get a 1mg/ml solution in PBS. Then aliquot and store at -20°C to -80°C until use.
Antibodies should be stored at +4°C when still lyophilized. Do not freeze!
Applications
 
WB: not tested yet
IP: not tested yet
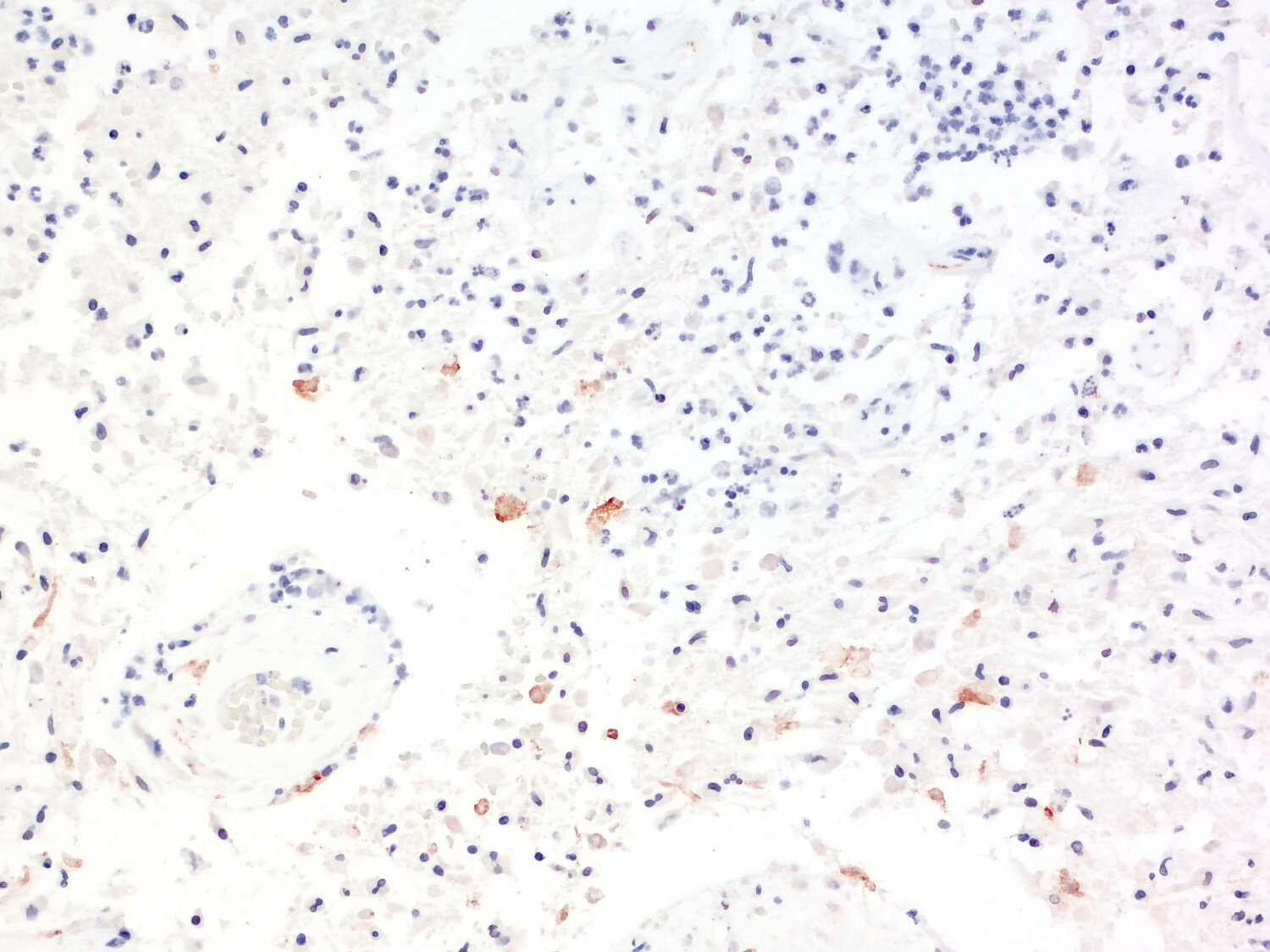
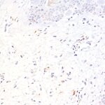
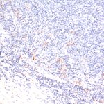
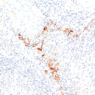
IHC: 1 : 500 (see remarks) gallery  
IHC-P (FFPE): 1 : 500 up to 1 : 2000 (see remarks) gallery  

Western blot (WB); separation of proteins by PAGE and subsequent transfer to a membrane. Detection of target molecules is carried out with antibodies. Some antibodies require special sample preparation steps. For details, please refer to the “Remarks” section.

Immunoprecipitation (IP); Immunoisolation or pulldown of a target molecule using an antibody. For details and product specific hints, please refer to the ”Remarks” section.

Immunohistochemistry (IHC) on 4% PFA perfusion fixed tissue with 24h PFA post fixation. Immunoreactivity is usually revealed by fluorescence or a chromogenic substrate. Some antibodies require special fixation methods or antigen retrieval steps. For details, please refer to the ”Remarks” section.

Immunohistochemistry (IHC-P) of formalin fixed, paraffin embedded (FFPE) tissue (some antibodies require special antigen retrieval steps, please refer to the ”Remarks” section). Immunoreactivity is usually revealed by fluorescence or a chromogenic substrate.

Clone SY-162E11
Subtype IgG1 (κ light chain)
Immunogen Synthetic peptide corresponding to residues near the carboxy terminus of human CD169 (UniProt Id: Q9BZZ2)
Reactivity Reacts with: human (Q9BZZ2).
No signal: mouse (Q62230).
Other species not tested yet.
Remarks

IHC: Antigen retrieval with citrate buffer pH 6 is required.
IHC-P (FFPE): For chromogenic detection, an optimized AGR time of 30 minutes is recommended for best results.

Data sheet Datasheet hs-495_111
Important information
This product belongs to the HistoSure product line of antibodies developed for and extensively tested in FFPE tissues.
For more information please visit our HistoSure brand website.
Cat. No.: HS-495 111
Amount: 100 µg
Price: $420.00

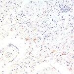
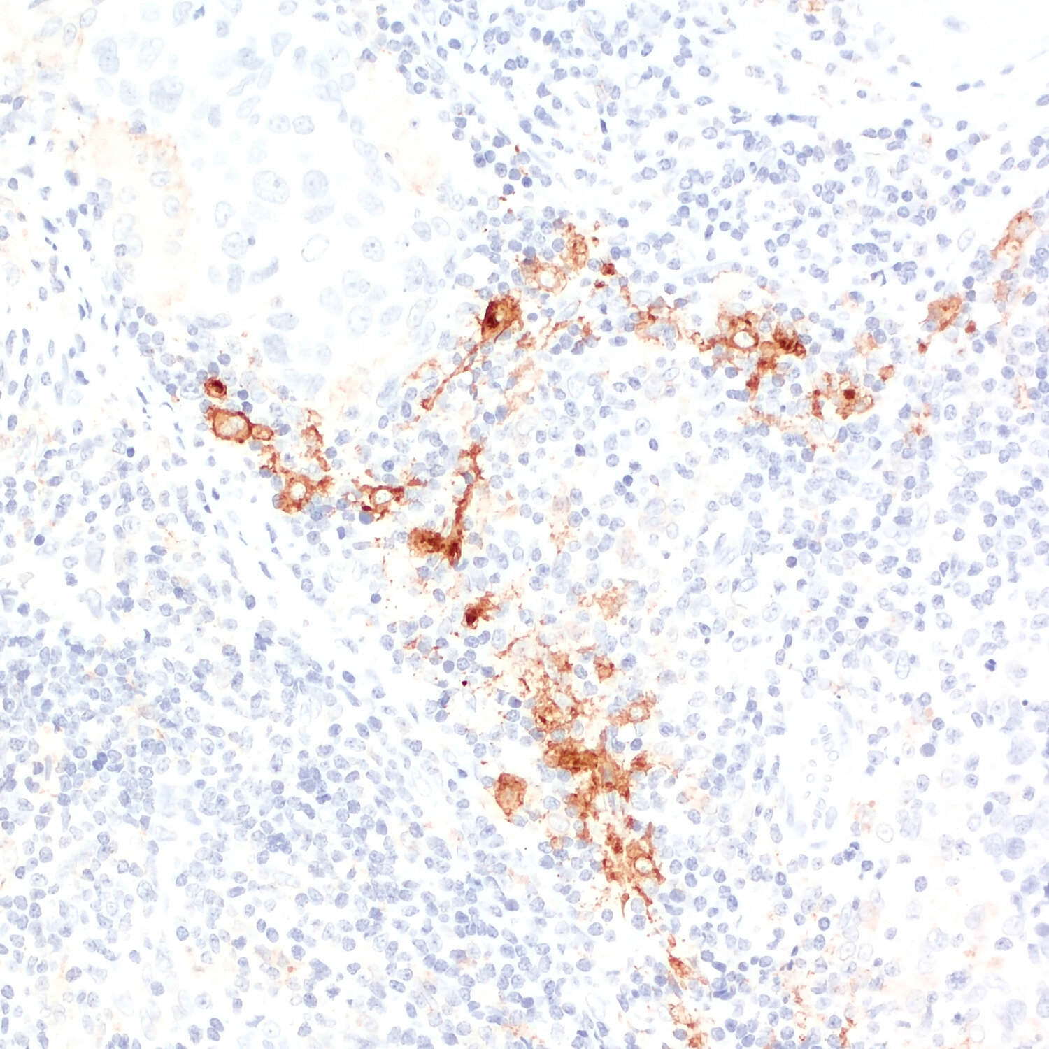
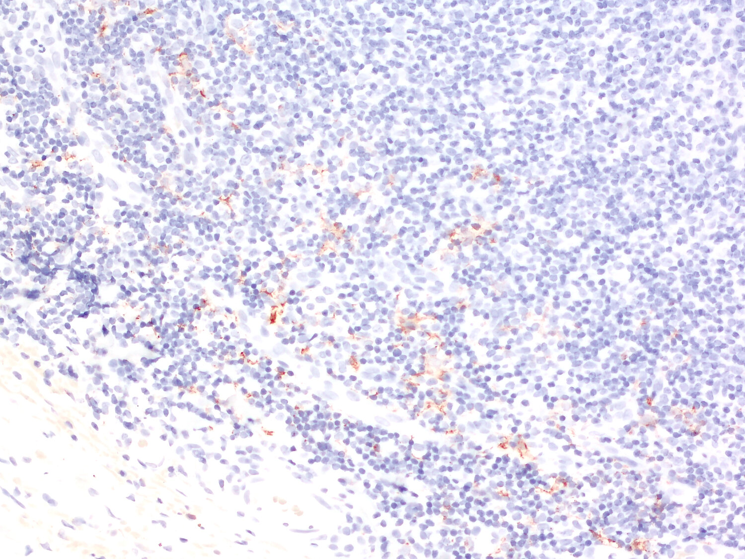
Transmembrane staining of CD169-positive macrophages in a human lymph node

Background

CD169, also known as Siglec-1 or sialoadhesin, is a cell surface receptor that is most frequently expressed by certain macrophage subsets in lymphoid tissue: the marginal metallophilic macrophages (MMMs) of the spleen and the macrophages in the subcapsular sinus and medulla of lymph nodes (1). To a lesser extent, CD169 is also found on macrophages in liver, lung and colon. CD169⁺ macrophages are involved in immunological tolerance, antigen presentation and defense against infectious agents such as viruses (2) and play a tumor-suppressive role in malignant tumors (3). In the intact brain, CD169 stains subpopulations of macrophages in the choroid plexus, leptomeninges and circumventricular organs (4). CD169 is regulated by contact with plasma proteins, and damage to the blood-brain barrier leads to the expression of CD169 on microglia and macrophages within the parenchyma (4). In glioblastoma, CD169⁺ tumor-associated macrophages were shown to exert an important anti-tumor role by promoting the phagocytosis of apoptotic tumor cells, enhancing the activation of tumor-specific T cells, and supporting lymphocyte infiltration into the tumor microenvironment (5).

Certificates

ISO 9001 2015 Quality Management System and Green Lab Platinum certification level for sustaining laboratory processes.

Newsletter

Sign up for our newsletter and get the latest updates and news.
 

Please provide a valid E-Mail-Address
Please provide a valid First name
Please provide a valid Last name