Tailor-made Antibodies
and Tools for Life Science
Home | | | | | Technical Support

CD39 (ENTPD1) antibody mouse specific - HS-493 017

CD39 is a cell-surface ectonucleotidase that converts ATP and ADP into AMP
Rat monoclonal purified IgG
Cat. No.: HS-493 017
Amount: 100 µg
Price: $420.00
Cat. No. HS-493 017 100 µg purified IgG, lyophilized. Albumin and azide were added for stabilization. For reconstitution add 100 µl H2O to get a 1mg/ml solution in PBS. Then aliquot and store at -20°C to -80°C until use.
Antibodies should be stored at +4°C when still lyophilized. Do not freeze!
Applications
 
WB: 1 : 1000 (AP staining) gallery  
IP: not tested yet
ICC: not tested yet
IHC: 1 : 500 (see remarks) gallery  
IHC-P (FFPE): 1 : 100 gallery  

Western blot (WB); separation of proteins by PAGE and subsequent transfer to a membrane. Detection of target molecules is carried out with antibodies. Some antibodies require special sample preparation steps. For details, please refer to the “Remarks” section.

Immunoprecipitation (IP); Immunoisolation or pulldown of a target molecule using an antibody. For details and product specific hints, please refer to the ”Remarks” section.

Immunocytochemistry (ICC) on 4% PFA fixed cells. Immunoreactivity is usually revealed by fluorescence. Some antibodies require special fixation methods. For details, please refer to the “Remarks” section.

Immunohistochemistry (IHC) on 4% PFA perfusion fixed tissue with 24h PFA post fixation. Immunoreactivity is usually revealed by fluorescence or a chromogenic substrate. Some antibodies require special fixation methods or antigen retrieval steps. For details, please refer to the ”Remarks” section.

Immunohistochemistry (IHC-P) of formalin fixed, paraffin embedded (FFPE) tissue (some antibodies require special antigen retrieval steps, please refer to the ”Remarks” section). Immunoreactivity is usually revealed by fluorescence or a chromogenic substrate.

Clone SY-6C5D3
Subtype IgG2a (λ light chain)
Immunogen Synthetic peptide corresponding to residues surrounding AA 305 of mouse CD39 (UniProt Id: P55772)
Reactivity Reacts with: mouse (P55772).
No signal: human (P49961).
Other species not tested yet.
Remarks

IHC: Antigen retrieval with citrate buffer pH 6 is required.

Data sheet Datasheet hs-493_017
Important information
This product belongs to the HistoSure product line of antibodies developed for and extensively tested in FFPE tissues.
For more information please visit our HistoSure brand website.
Cat. No.: HS-493 017
Amount: 100 µg
Price: $420.00

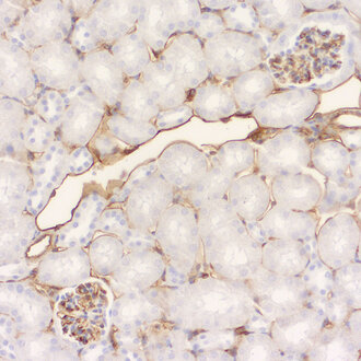
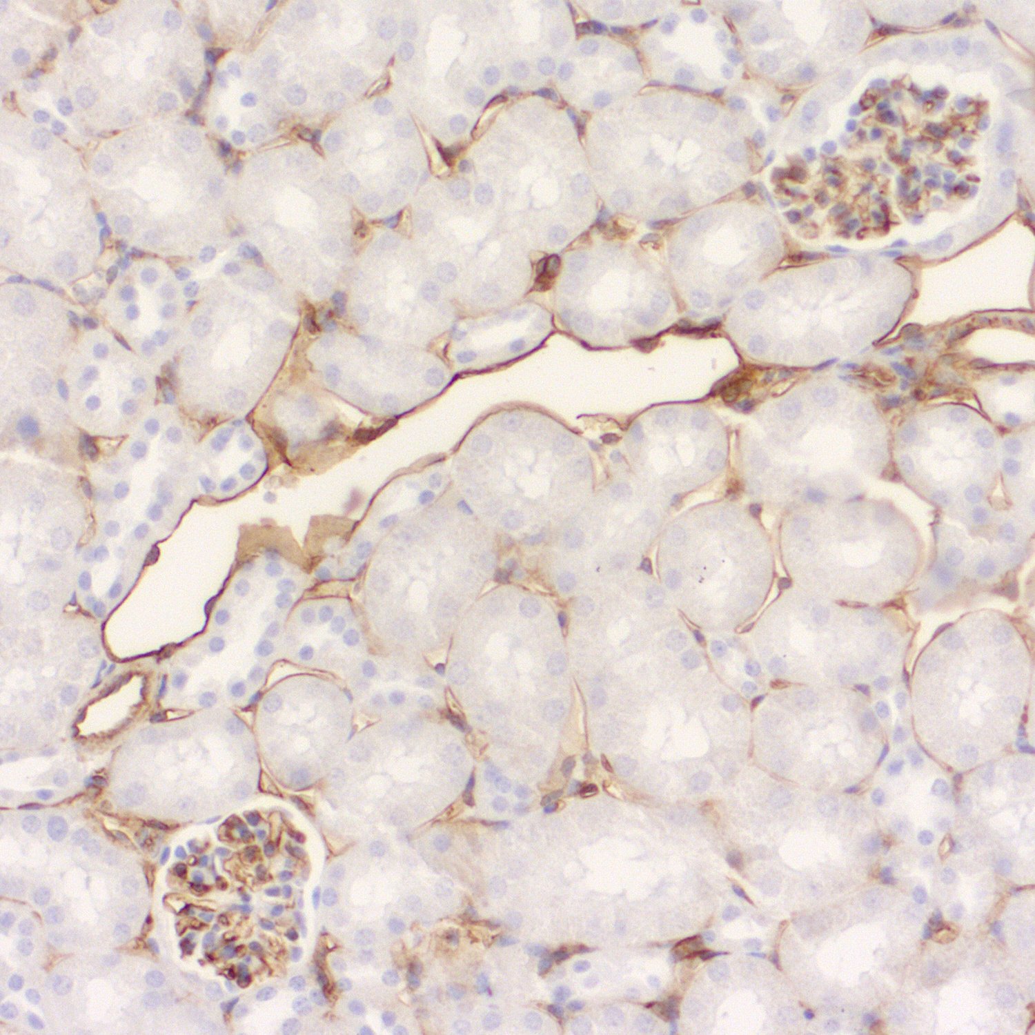
Vascular CD39 expression in mouse kidney

Background

CD39, also known as ENTPD1 (ecto-nucleoside triphosphate diphosphohydrolase), is a cell surface ectoenzyme that catalyzes ATP and ADP into AMP, which is subsequently converted into adenosine by CD73 (NT5E, ecto-5′-nucleotidase). The balance between extracellular ATP and adenosine is crucial for immune homeostasis and is tightly controlled by enzymatic activity, with CD39 serving as the rate-limiting enzyme (1). CD39 is highly expressed on vascular and immune cell populations such as B cells, NK cells, dendritic cells, Langerhans cells, monocytes, macrophages, mesangial cells, neutrophils and regulatory T cells (2). High CD39 expression has been found in numerous cancers, either on the tumor surface or in infiltrating immune cells. Targeting the CD39/CD73 pathway is currently explored as a therapeutic strategy for cancer treatment (3). In the brain, CD39 is constitutively expressed by microglia, endothelial and smooth muscle cells of the vasculature and involved in microglial processes ramification (4) and blood-brain barrier function. Significant induction of CD39 protein in microglia has been demonstrated in several neuroinflammation models. CD39 up-regulation by reactive microglia is suggested to be associated with an anti-inflammatory phenotype (5).

Certificates

ISO 9001 2015 Quality Management System and Green Lab Platinum certification level for sustaining laboratory processes.

Newsletter

Sign up for our newsletter and get the latest updates and news.
 

Please provide a valid E-Mail-Address
Please provide a valid First name
Please provide a valid Last name