Tailor-made Antibodies
and Tools for Life Science
Home | | | | | Technical Support

CD45 antibody mouse specific - HS-427 017

CD45 is a large abundant leukocyte-specific cell surface glycoprotein
Rat monoclonal purified IgG
Cat. No.: HS-427 017
Amount: 200 µl
Price: $420.00
Cat. No. HS-427 017 200 µl purified IgG, lyophilized. Albumin and azide were added for stabilization. For reconstitution add 200 µl H2O. Then aliquot and store at -20°C to -80°C until use.
Antibodies should be stored at +4°C when still lyophilized. Do not freeze!
Applications
 
WB: not recommended
IP: not tested yet
ICC: not tested yet
IHC: 1 : 100 gallery  
IHC-P (FFPE): 1 : 100 gallery  
IHC-Fr: 1 : 100 (see remarks) gallery  

Western blot (WB); separation of proteins by PAGE and subsequent transfer to a membrane. Detection of target molecules is carried out with antibodies. Some antibodies require special sample preparation steps. For details, please refer to the “Remarks” section.

Immunoprecipitation (IP); Immunoisolation or pulldown of a target molecule using an antibody. For details and product specific hints, please refer to the ”Remarks” section.

Immunocytochemistry (ICC) on 4% PFA fixed cells. Immunoreactivity is usually revealed by fluorescence. Some antibodies require special fixation methods. For details, please refer to the “Remarks” section.

Immunohistochemistry (IHC) on 4% PFA perfusion fixed tissue with 24h PFA post fixation. Immunoreactivity is usually revealed by fluorescence or a chromogenic substrate. Some antibodies require special fixation methods or antigen retrieval steps. For details, please refer to the ”Remarks” section.

Immunohistochemistry (IHC-P) of formalin fixed, paraffin embedded (FFPE) tissue (some antibodies require special antigen retrieval steps, please refer to the ”Remarks” section). Immunoreactivity is usually revealed by fluorescence or a chromogenic substrate.

Immunohistochemistry on fresh frozen (IHC-Fr) cryo-tissue-sections. In contrast to standard PFA perfusion fixed tissues, fresh frozen cryo-tissue-sections can be variably postfixed with alcohols, acetone or PFA. Alcohol or acetone fixation is e.g. of advantage for antigens masked by PFA crosslinking. For recommended postfixation, please refer to the ”Remarks” section. Immunoreactivity is usually revealed by fluorescence or a chromogenic substrate.

Clone GHH45/97A2
Subtype IgG2b
Immunogen Synthetic peptide corresponding to AA 1284 to 1291 from mouse PTPRC (UniProt Id: P06800-1)
Reactivity Reacts with: mouse (P06800-1).
No signal: human, rat.
Other species not tested yet.
Specificity The antibody recognizes all CD45 isoforms.
Remarks

IHC-Fr: Methanol fixation is recommended.

Data sheet Datasheet hs-427_017
Important information
This product belongs to the HistoSure product line of antibodies developed for and extensively tested in FFPE tissues.
For more information please visit our HistoSure brand website.

References for CD45 - HS-427 017

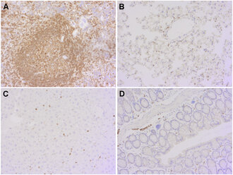
Cell-programmed nutrient partitioning in the tumour microenvironment.
Reinfeld BI, Madden MZ, Wolf MM, Chytil A, Bader JE, Patterson AR, Sugiura A, Cohen AS, Ali A, Do BT, Muir A, et al.
Nature (2021) 5937858: 282-288. HS-427 017 IHC-P (FFPE); tested species: mouse
Cat. No.: HS-427 017
Amount: 200 µl
Price: $420.00

CD45 positive cells in FFPE mouse tissues

Cell-programmed nutrient partitioning in the tumour microenvironment.
Reinfeld BI, Madden MZ, Wolf MM, Chytil A, Bader JE, Patterson AR, Sugiura A, Cohen AS, Ali A, Do BT, Muir A, et al.
Nature (2021) 5937858: 282-288. HS-427 017 IHC-P (FFPE); tested species: mouse
Background

CD45, also designated as Leukocyte Common Antigen (LCA) or protein tyrosine phosphatase receptor type C (PTPRC), is a type I transmembrane protein expressed on all nucleated cells of the hematopoietic system, except mature erythrocytes and platelets (1). Several isoforms of CD45 have been identified which are generated by differential splicing of exons 4, 5, and 6, thereby generating the CD45RA, RB and RC isoforms, respectively (2). Expression of the isoforms differs according to cell type and functional status. The CD45RABC (B220) long isoform is almost exclusively expressed on B cells (3). Naïve human T cells express the high molecular weight isoform CD45RA. Activation of T cells and differentiation to memory T cells is accompanied by exon exclusion for production of the short isoform CD45RO (3). CD45 has been shown to be an essential regulator of T- and B-cell antigen receptor signaling. Thus, CD45-deficient humans and mice develop a severe-combined immunodeficiency (SCID) phenotype (4). In macrophages, CD45 plays a central role in their adhesion, morphology and motility (5).

Certificates

ISO 9001 2015 Quality Management System and Green Lab Platinum certification level for sustaining laboratory processes.

Newsletter

Sign up for our newsletter and get the latest updates and news.
 

Please provide a valid E-Mail-Address
Please provide a valid First name
Please provide a valid Last name