Tailor-made Antibodies
and Tools for Life Science
Home | | | | | Technical Support

Lamin B1 antibody mouse specific - HS-404 003

Lamin B1 is a nuclear lamina protein
Rabbit polyclonal purified antibody
Cat. No.: HS-404 003
Amount: 200 µl
Price: $375.00
Cat. No. HS-404 003 200 µl specific antibody, lyophilized. Affinity purified with the immunogen. Albumin and azide were added for stabilization. For reconstitution add 200 µl H2O. Then aliquot and store at -20°C to -80°C until use.
Antibodies should be stored at +4°C when still lyophilized. Do not freeze!
Applications
 
WB: 1 : 1000 (AP staining) gallery  
IP: not tested yet
ICC: 1 : 100 (see remarks) gallery  
IHC: 1 : 100 gallery  
IHC-P (FFPE): 1 : 100 gallery  

Western blot (WB); separation of proteins by PAGE and subsequent transfer to a membrane. Detection of target molecules is carried out with antibodies. Some antibodies require special sample preparation steps. For details, please refer to the “Remarks” section.

Immunoprecipitation (IP); Immunoisolation or pulldown of a target molecule using an antibody. For details and product specific hints, please refer to the ”Remarks” section.

Immunocytochemistry (ICC) on 4% PFA fixed cells. Immunoreactivity is usually revealed by fluorescence. Some antibodies require special fixation methods. For details, please refer to the “Remarks” section.

Immunohistochemistry (IHC) on 4% PFA perfusion fixed tissue with 24h PFA post fixation. Immunoreactivity is usually revealed by fluorescence or a chromogenic substrate. Some antibodies require special fixation methods or antigen retrieval steps. For details, please refer to the ”Remarks” section.

Immunohistochemistry (IHC-P) of formalin fixed, paraffin embedded (FFPE) tissue (some antibodies require special antigen retrieval steps, please refer to the ”Remarks” section). Immunoreactivity is usually revealed by fluorescence or a chromogenic substrate.

Immunogen Synthetic peptide corresponding to AA 6 to 19 from mouse LaminB1 (UniProt Id: P14733)
Reactivity Reacts with: mouse (P14733), rat (P70615).
No signal: human (P20700).
Other species not tested yet.
Remarks

ICC: Methanol fixation is recommended.

Data sheet Datasheet hs-404_003
Important information
This product belongs to the HistoSure product line of antibodies developed for and extensively tested in FFPE tissues.
For more information please visit our HistoSure brand website.

References for Lamin B1 - HS-404 003

Targeting uPARAP with an Antibody-Drug Conjugate Exhibits Efficacy against Mesothelioma and Synergizes with Cisplatin.
Çakılkaya P, Egeland Larsen IM, Jiang Q, Sandal Nørregaard K, Gårdsvoll H, Zhang J, Jürgensen HJ, Hansen Blomquist M, Martinez Perlado A, Krigslund O, Santoni-Rugiu E, et al.
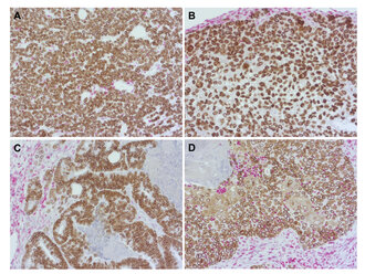
Cancer research communications (2026) 61: 130-142. HS-404 003 IHC-P (FFPE); tested species: mouse
Cat. No.: HS-404 003
Amount: 200 µl
Price: $375.00

Detection of nuclear Lamin B1 in cells of human (brown) and murine (red) origin in various xenograft models 

Targeting uPARAP with an Antibody-Drug Conjugate Exhibits Efficacy against Mesothelioma and Synergizes with Cisplatin.
Çakılkaya P, Egeland Larsen IM, Jiang Q, Sandal Nørregaard K, Gårdsvoll H, Zhang J, Jürgensen HJ, Hansen Blomquist M, Martinez Perlado A, Krigslund O, Santoni-Rugiu E, et al.
Cancer research communications (2026) 61: 130-142. HS-404 003 IHC-P (FFPE); tested species: mouse
Background

Lamin B1 (LMNB1) is an intermediate filament-type protein of the nuclear lamina and is ubiquitously expressed throughout development. It plays important roles in many cellular processes like the distribution of heterochromatin and the regulation of gene expression and splicing. The maintenance of LMNB1 protein levels is required for DNA replication and repair and thus mutations in B-type lamins are usually lethal.
Duplication of the LMNB1 gene causes adult-onset autosomal-dominant leukodystrophy (ADLD), a rare neurological disorder in which overexpression of LMNB1 causes progressive central nervous system demyelination. Improper Lamin B1 expression is often present in tumor cells and decreased levels are observed for example in colon cancer, breast cancer and B-cell malignancies. Lamin B1 loss is also a senescence-associated biomarker and distinguishes senescent from proliferating cells in pre-neoplastic lesions or marks senescent cells in various age-related pathologies.

 

Certificates

ISO 9001 2015 Quality Management System and Green Lab Platinum certification level for sustaining laboratory processes.

Newsletter

Sign up for our newsletter and get the latest updates and news.
 

Please provide a valid E-Mail-Address
Please provide a valid First name
Please provide a valid Last name