Tailor-made Antibodies
and Tools for Life Science
Home | | | | | Technical Support

CD11c antibody mouse specific - HS-375 017

CD11c is a fibrinogen receptor involved in cell-cell interaction during inflammation
Rat monoclonal purified IgG
Cat. No.: HS-375 017
Amount: 100 µg
Price: $420.00
Cat. No. HS-375 017 100 µg purified IgG, lyophilized. Albumin and azide were added for stabilization. For reconstitution add 100 µl H2O to get a 1mg/ml solution in PBS. Then aliquot and store at -20°C to -80°C until use.
Antibodies should be stored at +4°C when still lyophilized. Do not freeze!
Applications
 
WB: not tested yet
IP: not tested yet
IHC: 1 : 500 (see remarks) gallery  
IHC-P (FFPE): 1 : 50 up to 1 : 100 gallery  
IHC-Fr: 1 : 500 (see remarks) gallery  

Western blot (WB); separation of proteins by PAGE and subsequent transfer to a membrane. Detection of target molecules is carried out with antibodies. Some antibodies require special sample preparation steps. For details, please refer to the “Remarks” section.

Immunoprecipitation (IP); Immunoisolation or pulldown of a target molecule using an antibody. For details and product specific hints, please refer to the ”Remarks” section.

Immunohistochemistry (IHC) on 4% PFA perfusion fixed tissue with 24h PFA post fixation. Immunoreactivity is usually revealed by fluorescence or a chromogenic substrate. Some antibodies require special fixation methods or antigen retrieval steps. For details, please refer to the ”Remarks” section.

Immunohistochemistry (IHC-P) of formalin fixed, paraffin embedded (FFPE) tissue (some antibodies require special antigen retrieval steps, please refer to the ”Remarks” section). Immunoreactivity is usually revealed by fluorescence or a chromogenic substrate.

Immunohistochemistry on fresh frozen (IHC-Fr) cryo-tissue-sections. In contrast to standard PFA perfusion fixed tissues, fresh frozen cryo-tissue-sections can be variably postfixed with alcohols, acetone or PFA. Alcohol or acetone fixation is e.g. of advantage for antigens masked by PFA crosslinking. For recommended postfixation, please refer to the ”Remarks” section. Immunoreactivity is usually revealed by fluorescence or a chromogenic substrate.

Clone SY-322C12
Subtype IgG2b (κ light chain)
Immunogen synthetic peptide corresponding to residues surrounding AA 847 of mouse CD11c (UniProt Id: Q9QXH4)
Reactivity Reacts with: mouse (Q9QXH4).
No signal: rat (D3ZWZ1), human (P20702).
Other species not tested yet.
Specificity Specific for mouse CD11c without cross-reactivity to human CD11c
Remarks

IHC: Antigen retrieval with citrate buffer pH 6 is required.
IHC-Fr: 4% formaldehyde/PFA fixation is recommended.

Data sheet Datasheet hs-375_017
Important information
This product belongs to the HistoSure product line of antibodies developed for and extensively tested in FFPE tissues.
For more information please visit our HistoSure brand website.
Cat. No.: HS-375 017
Amount: 100 µg
Price: $420.00

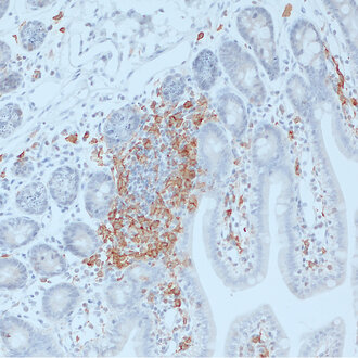
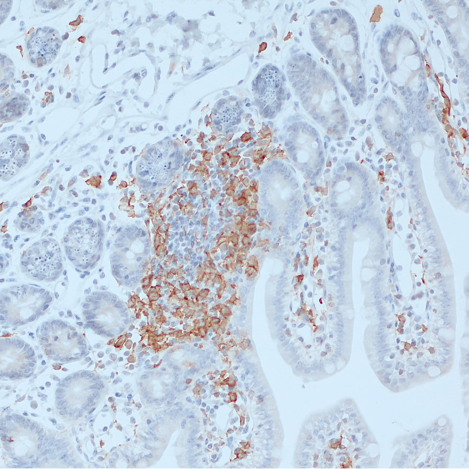
CD11c positive cells in FFPE mouse ileum section

Background

CD11c or Integrin alpha-X (ITGAX) is a heterodimeric glycoprotein consisting of an α- and β-subunit and has seven repeating integrin domains. This transmembrane receptor type I plays a pivotal role in T cell killing and mediates intercellular adhesions during inflammation. Predominat expression levels have been found in dendritic cells, monocytes, macrophages, neutrophils and a small subset of B cells. Under pathological conditions, CD11c is a marker for hairy cell leukemia, acute non-lymphocytic leukemias, and some chronic lymphocytic leukemias.

Certificates

ISO 9001 2015 Quality Management System and Green Lab Platinum certification level for sustaining laboratory processes.

Newsletter

Sign up for our newsletter and get the latest updates and news.
 

Please provide a valid E-Mail-Address
Please provide a valid First name
Please provide a valid Last name