Tailor-made Antibodies
and Tools for Life Science
Home | | | | | Technical Support

Calreticulin mutation antibody CAL2 - HS-315 111-L

This neoepitope is present in all NPM associated Calreticulin mutations

 

The format of this antibody has been changed from µl to µg. The increased antibody amount allows a 20 fold

higher dilution, which significantly reduces the costs per immunostaining.

Mouse monoclonal purified IgG
Cat. No.: HS-315 111-L
Amount: 100 µg
Price: $655.00
Cat. No. HS-315 111-L 100 µg purified IgG, lyophilized. Albumin and azide were added for stabilization. For reconstitution add 100 µl H2O to get a 1mg/ml solution in PBS. Then aliquot and store at -20°C to -80°C until use.
Antibodies should be stored at +4°C when still lyophilized. Do not freeze!
Applications
 
WB: not tested yet
IP: not tested yet
ICC: not tested yet
IHC: not tested yet
IHC-P: 1 : 400 up to 1 : 800 gallery  

Western blot (WB); separation of proteins by PAGE and subsequent transfer to a membrane. Detection of target molecules is carried out with antibodies. Some antibodies require special sample preparation steps. For details, please refer to the “Remarks” section.

Immunoprecipitation (IP); Immunoisolation or pulldown of a target molecule using an antibody. For details and product specific hints, please refer to the ”Remarks” section.

Immunocytochemistry (ICC) on 4% PFA fixed cells. Immunoreactivity is usually revealed by fluorescence. Some antibodies require special fixation methods. For details, please refer to the “Remarks” section.

Immunohistochemistry (IHC) on 4% PFA perfusion fixed tissue with 24h PFA post fixation. Immunoreactivity is usually revealed by fluorescence or a chromogenic substrate. Some antibodies require special fixation methods or antigen retrieval steps. For details, please refer to the ”Remarks” section.

Immunohistochemistry (IHC-P) of formalin fixed, paraffin embedded (FFPE) tissue (some antibodies require special antigen retrieval steps, please refer to the ”Remarks” section). Immunoreactivity is usually revealed by fluorescence or a chromogenic substrate.

Clone CAL2
Subtype IgG2a (λ light chain)
Immunogen Recombinant protein corresponding to the neoepitope in human mutated calreticulin (UniProt Id: P27797)
Specificity Specific for the neoepitope in mutated Calreticulin.
Data sheet hs-315_111-l.pdf
Important information
This product belongs to the HistoSure product line of antibodies developed for and extensively tested in FFPE tissues.
For more information please visit our HistoSure brand website.

References for Calreticulin mutation - HS-315 111-L

Calreticulin mutation specific CAL2 immunohistochemistry accurately identifies rare calreticulin mutations in myeloproliferative neoplasms.
Mózes R, Gángó A, Sulák A, Vida L, Reiniger L, Timár B, Krenács T, Alizadeh H, Masszi T, Gaál-Weisinger J, Demeter J, et al.
Pathology (2019) 513: 301-307. HS-315 111-L IHC-P; tested species: human
A new monoclonal antibody (CAL2) detects CALRETICULIN mutations in formalin-fixed and paraffin-embedded bone marrow biopsies.
Stein H, Bob R, Dürkop H, Erck C, Kämpfe D, Kvasnicka HM, Martens H, Roth A, Streubel A
Leukemia (2016) 301: 131-5. HS-315 111-L IHC-P; tested species: human
Mutation specific immunohistochemistry is highly specific for the presence of calreticulin mutations in myeloproliferative neoplasms.
Andrici J, Farzin M, Clarkson A, Sioson L, Sheen A, Watson N, Toon CW, Koleth M, Stevenson W, Gill AJ
Pathology (2016) 484: 319-24. HS-315 111-L IHC-P; tested species: human
CAL2 Immunohistochemical Staining Accurately Identifies CALR Mutations in Myeloproliferative Neoplasms.
Nomani L, Bodo J, Zhao X, Durkin L, Loghavi S, Hsi ED
American journal of clinical pathology (2016) 1464: 431-8. HS-315 111-L IHC-P; tested species: human
Cat. No.: HS-315 111-L
Amount: 100 µg
Price: $655.00

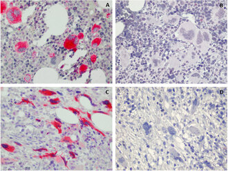
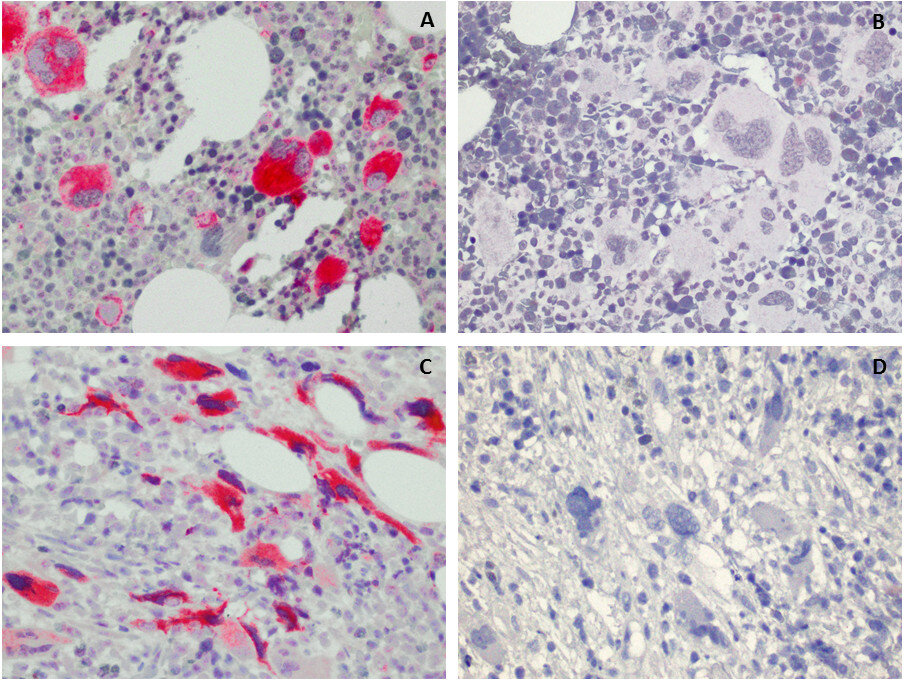
Detection of Calreticulin mutation in primary myelofibrosis

Calreticulin mutation specific CAL2 immunohistochemistry accurately identifies rare calreticulin mutations in myeloproliferative neoplasms.
Mózes R, Gángó A, Sulák A, Vida L, Reiniger L, Timár B, Krenács T, Alizadeh H, Masszi T, Gaál-Weisinger J, Demeter J, et al.
Pathology (2019) 513: 301-307. HS-315 111-L IHC-P; tested species: human
A new monoclonal antibody (CAL2) detects CALRETICULIN mutations in formalin-fixed and paraffin-embedded bone marrow biopsies.
Stein H, Bob R, Dürkop H, Erck C, Kämpfe D, Kvasnicka HM, Martens H, Roth A, Streubel A
Leukemia (2016) 301: 131-5. HS-315 111-L IHC-P; tested species: human
Mutation specific immunohistochemistry is highly specific for the presence of calreticulin mutations in myeloproliferative neoplasms.
Andrici J, Farzin M, Clarkson A, Sioson L, Sheen A, Watson N, Toon CW, Koleth M, Stevenson W, Gill AJ
Pathology (2016) 484: 319-24. HS-315 111-L IHC-P; tested species: human
CAL2 Immunohistochemical Staining Accurately Identifies CALR Mutations in Myeloproliferative Neoplasms.
Nomani L, Bodo J, Zhao X, Durkin L, Loghavi S, Hsi ED
American journal of clinical pathology (2016) 1464: 431-8. HS-315 111-L IHC-P; tested species: human
Background

Calreticulin (CALR) mutations have been identified as a major driver in myeloproliferative neoplasms (MPNs). In contrast to JAK2 mutations that are mainly associated with polycythaemia vera (PV), CALR mutations are specifically associated with primary myelofibrosis (PMF) and essential thrombocythaemia (ET).

All known types of CALR mutations result in a novel C-terminus of the protein. This harbors a common epitope expressed in all kinds of CALR mutations. The CAL2 antibody is directed against this neoepitope. Therefore, it can be concluded that the CAL2 antibody is able to detect all CALR mutations.

It labels the megakaryocytes in myeloproliferative neoplasms (essential thrombocythaemia (ET) and primary myelofibrosis (PMF)) with CALR mutation and enables to distinguish them from polycythemia vera (PV), from CALR mutation negative ET and PMF and from reactive bone marrow.

Protocols