Tailor-made Antibodies
and Tools for Life Science
Home | | | | | Technical Support

IBA1 antibody - HS-234 013 K.O.

IBA1 is a marker for macrophages and microglia
Rabbit polyclonal purified antibody
Cat. No.: HS-234 013
Amount: 200 µl
Price: $385.00
Cat. No. HS-234 013 200 µl specific antibody, lyophilized. Affinity purified with the immunogen. Albumin and azide were added for stabilization. For reconstitution add 200 µl H2O. Then aliquot and store at -20°C to -80°C until use.
Antibodies should be stored at +4°C when still lyophilized. Do not freeze!
Applications
 
WB: 1 : 1000 (AP staining) gallery  
IP: not tested yet
ICC: not tested yet
IHC: 1 : 200 gallery  
IHC-P (FFPE): 1 : 100 up to 1 : 500 gallery  

Western blot (WB); separation of proteins by PAGE and subsequent transfer to a membrane. Detection of target molecules is carried out with antibodies. Some antibodies require special sample preparation steps. For details, please refer to the “Remarks” section.

Immunoprecipitation (IP); Immunoisolation or pulldown of a target molecule using an antibody. For details and product specific hints, please refer to the ”Remarks” section.

Immunocytochemistry (ICC) on 4% PFA fixed cells. Immunoreactivity is usually revealed by fluorescence. Some antibodies require special fixation methods. For details, please refer to the “Remarks” section.

Immunohistochemistry (IHC) on 4% PFA perfusion fixed tissue with 24h PFA post fixation. Immunoreactivity is usually revealed by fluorescence or a chromogenic substrate. Some antibodies require special fixation methods or antigen retrieval steps. For details, please refer to the ”Remarks” section.

Immunohistochemistry (IHC-P) of formalin fixed, paraffin embedded (FFPE) tissue (some antibodies require special antigen retrieval steps, please refer to the ”Remarks” section). Immunoreactivity is usually revealed by fluorescence or a chromogenic substrate.

Immunogen Synthetic peptide corresponding to residues near the carboxy terminus of mouse IBA1 (UniProt Id: Q9EQW9)
Reactivity Reacts with: mouse (Q9EQW9), rat (P55009), human (P55008).
Other species not tested yet.
Specificity K.O. validated
Data sheet Datasheet hs-234_013
Important information
This product belongs to the HistoSure product line of antibodies developed for and extensively tested in FFPE tissues.
For more information please visit our HistoSure brand website.

References for IBA1 - HS-234 013

Marked differences in the effects of levetiracetam and its analogue brivaracetam on microglial, astrocytic, and neuronal density in the rat model of kainic acid-induced temporal lobe epilepsy.
Kelemen K, Sárosi M, Csüdör Á, Orbán-Kis K, Kelemen H, Bába L, Gáll Z, Horváth E, Katona I, Szilágyi T
Frontiers in pharmacology (2025) 16: 1553545. HS-234 013 IHC; tested species: rat
Anticonvulsant Action and Long-Term Effects of Chronic Cannabidiol Treatment in the Rat Pentylenetetrazole-Kindling Model of Epilepsy.
Gáll Z, Kelemen K, Tolokán A, Zolcseak I, Sável I, Bod R, Ferencz E, Vancea S, Urkon M, Kolcsár M
Biomedicines (2022) 108: . HS-234 013 IHC; tested species: mouse
Cat. No.: HS-234 013
Amount: 200 µl
Price: $385.00

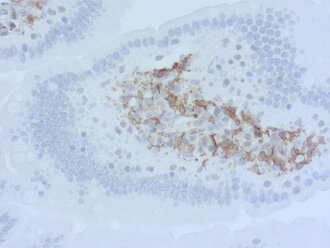
IBA 1 positive cells in FFPE mouse small intestine section

Marked differences in the effects of levetiracetam and its analogue brivaracetam on microglial, astrocytic, and neuronal density in the rat model of kainic acid-induced temporal lobe epilepsy.
Kelemen K, Sárosi M, Csüdör Á, Orbán-Kis K, Kelemen H, Bába L, Gáll Z, Horváth E, Katona I, Szilágyi T
Frontiers in pharmacology (2025) 16: 1553545. HS-234 013 IHC; tested species: rat
Anticonvulsant Action and Long-Term Effects of Chronic Cannabidiol Treatment in the Rat Pentylenetetrazole-Kindling Model of Epilepsy.
Gáll Z, Kelemen K, Tolokán A, Zolcseak I, Sável I, Bod R, Ferencz E, Vancea S, Urkon M, Kolcsár M
Biomedicines (2022) 108: . HS-234 013 IHC; tested species: mouse
Background

Ionized calcium-binding adaptor molecule 1 (IBA1) or allograft inflammatory factor1 (AIF-1) is an EF hand calcium binding protein which is expressed by cells of the monocyte/macrophage lineage and by germ cells in the testis (1). In mice, IBA1/AIF-1 can be regarded a “pan-macrophage marker” because, except for alveolar macrophages, all subpopulations of macrophages express IBA1/AIF-1 (1). In human gliomas IBA1 defines a distinct subset of tumor-associated activated macrophages/microglial cells (2).
Microglia represent the resident macrophages in the nervous system and are the smallest of the glial cells with cell bodies of only 2-5 µm in diameter. In the CNS IBA1 upregulation is associated with neuroinflammatory response (3). 

Certificates

ISO 9001 2015 Quality Management System and Green Lab Platinum certification level for sustaining laboratory processes.

Newsletter

Sign up for our newsletter and get the latest updates and news.
 

Please provide a valid E-Mail-Address
Please provide a valid First name
Please provide a valid Last name