Tailor-made Antibodies
and Tools for Life Science
Home | | | | | Technical Support

TIMP1 antibody - 542 005

TIMP1, tissue inhibitor of metalloproteinase-1, is an extracellular protein and endogenous regulator of matrix metalloproteinases
Guinea pig polyclonal purified antibody
Cat. No.: 542 005
Amount: 50 µg
Price: $465.00
Cat. No. 542 005 50 µg specific antibody, lyophilized. Affinity purified with the immunogen. For reconstitution add 50 µl H2O to get a 1mg/ml solution in PBS. Then aliquot and store at -20°C to -80°C until use.
Antibodies should be stored at +4°C when still lyophilized. Do not freeze!
Applications
 
WB: not tested yet
IP: not tested yet
ICC: 1 : 500 (see remarks) gallery  
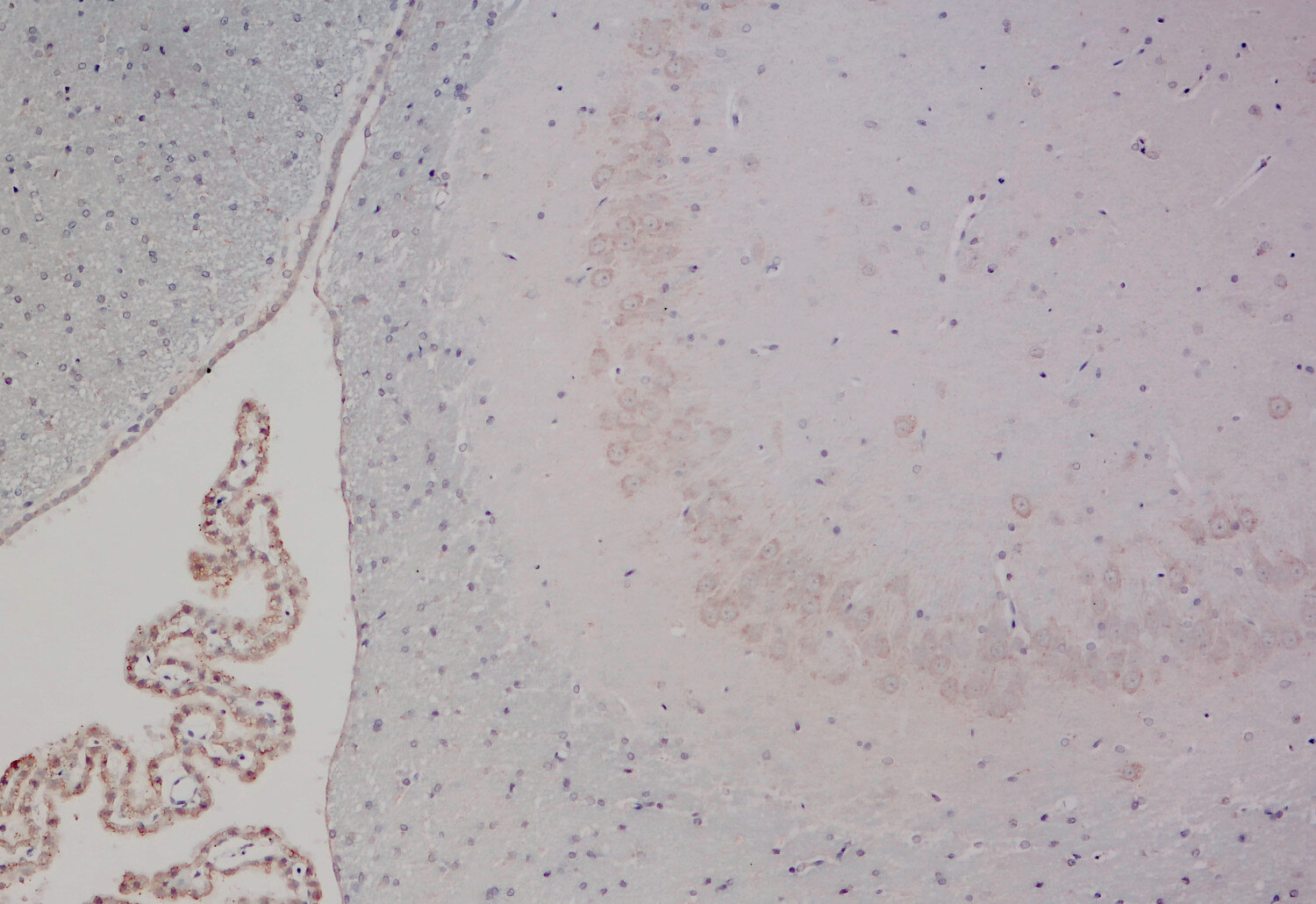
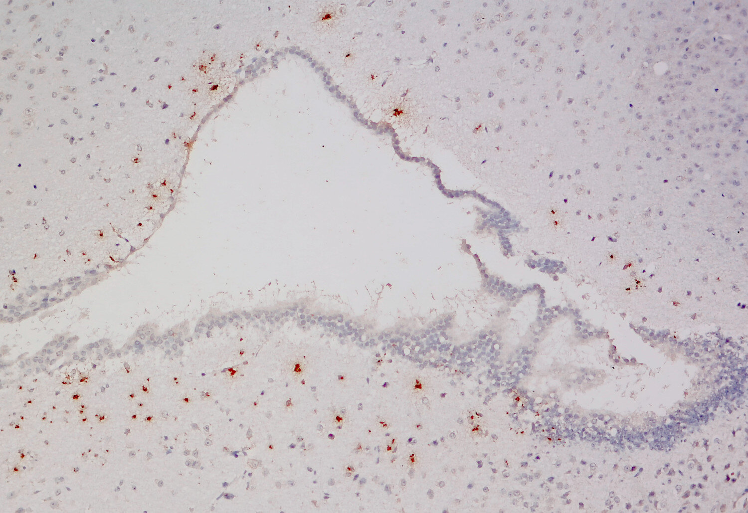
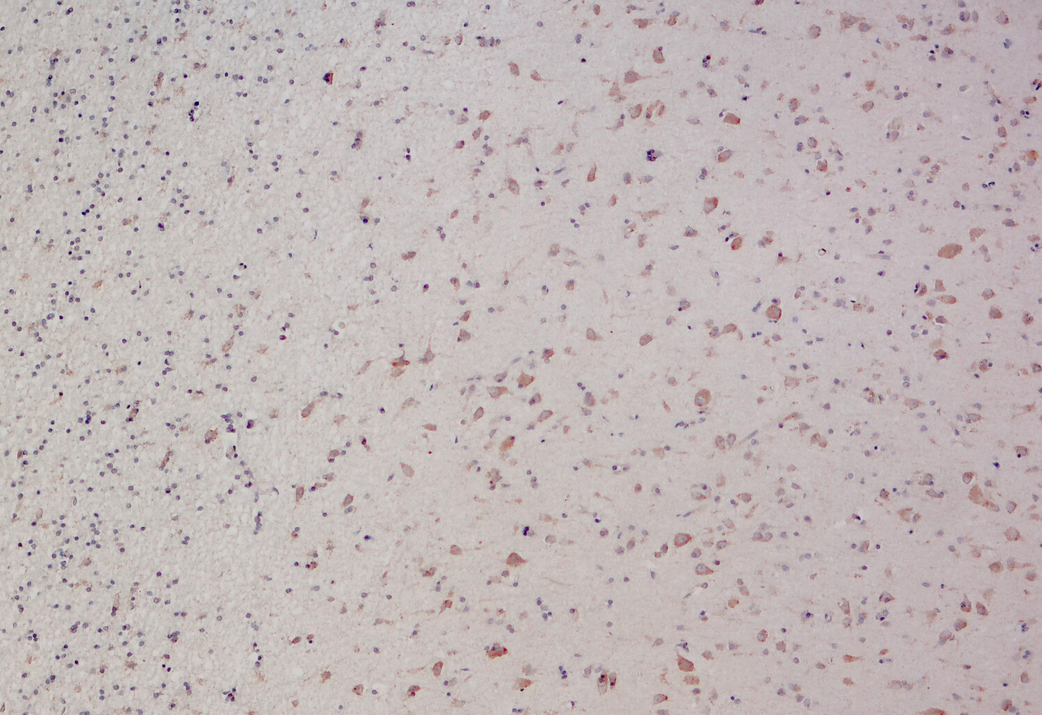
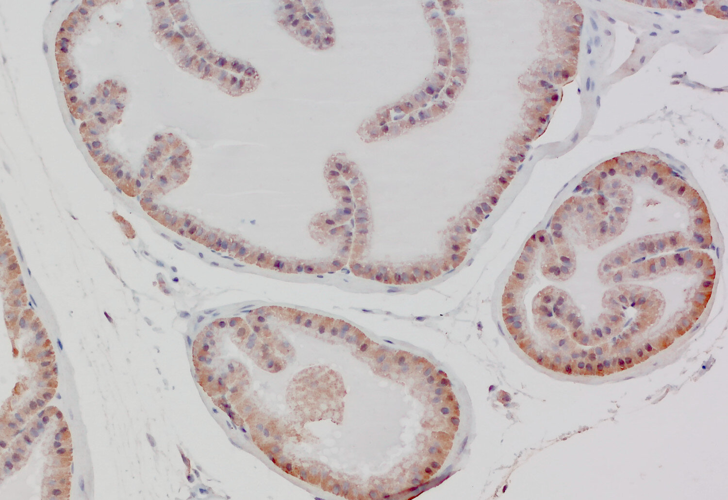
IHC: 1 : 500 gallery  
IHC-P (FFPE): 1 : 500 gallery  

Western blot (WB); separation of proteins by PAGE and subsequent transfer to a membrane. Detection of target molecules is carried out with antibodies. Some antibodies require special sample preparation steps. For details, please refer to the “Remarks” section.

Immunoprecipitation (IP); Immunoisolation or pulldown of a target molecule using an antibody. For details and product specific hints, please refer to the ”Remarks” section.

Immunocytochemistry (ICC) on 4% PFA fixed cells. Immunoreactivity is usually revealed by fluorescence. Some antibodies require special fixation methods. For details, please refer to the “Remarks” section.

Immunohistochemistry (IHC) on 4% PFA perfusion fixed tissue with 24h PFA post fixation. Immunoreactivity is usually revealed by fluorescence or a chromogenic substrate. Some antibodies require special fixation methods or antigen retrieval steps. For details, please refer to the ”Remarks” section.

Immunohistochemistry (IHC-P) of formalin fixed, paraffin embedded (FFPE) tissue (some antibodies require special antigen retrieval steps, please refer to the ”Remarks” section). Immunoreactivity is usually revealed by fluorescence or a chromogenic substrate.

Immunogen Synthetic peptide corresponding to residues surrounding AA 160 of mouse TIMP1 (UniProt Id: P12032)
Remarks

ICC: Some residual secreted TIMP1 can be observed in PFA-fixed mixed neuronal cell cultures as extracellular protein aggregates.

Data sheet Datasheet 542_005
Cat. No.: 542 005
Amount: 50 µg
Price: $465.00

TIMP1-positive astrocytes (green) in a rat brain mixed cell culture

Background

Tissue inhibitor of metalloproteinase-1 (TIMP1) is an extracellular protein and endogenous regulator of matrix metalloproteinases (MMPs), essential for extracellular matrix homeostasis. In addition to its inhibitory function, TIMP1 binds membrane receptors such as CD63, activating intracellular signaling pathways that support cell survival, migration, and differentiation (1).
In the central nervous system, elevated TIMP1 expression during early postnatal development suggests key roles in neuronal differentiation, survival, and gliogenesis, including the migration of astrocytes and oligodendrocyte precursors. In the healthy adult brain, TIMP1 expression is relatively low and primarily localized to neuronal cell bodies, indicating tightly controlled physiological activity (2).
TIMP1 is strongly induced in response to CNS injury and neurodegenerative conditions, including epilepsy, myelin damage, and Alzheimer’s disease, where it is mainly expressed by reactive astrocytes and contributes to inflammatory pathways and blood–brain barrier regulation (3,4,5). 
Clinically, elevated TIMP1 levels in plasma and tumor tissues are associated with poor outcomes in multiple cancers, including prostate, colon, and lung cancer, supporting its utility as a promising biomarker for disease progression and early detection (6).

Certificates

ISO 9001 2015 Quality Management System and Green Lab Platinum certification level for sustaining laboratory processes.

Newsletter

Sign up for our newsletter and get the latest updates and news.
 

Please provide a valid E-Mail-Address
Please provide a valid First name
Please provide a valid Last name