Tailor-made Antibodies
and Tools for Life Science
Home | | | | | Technical Support

VNUT antibody - 535 003

VNUT is a membrane transporter responsible for the vesicular accumulation of ATP and other nucleotides
Rabbit polyclonal purified antibody
Cat. No.: 535 003
Amount: 50 µg
Price: $380.00
Cat. No. 535 003 50 µg specific antibody, lyophilized. Affinity purified with the immunogen. Albumin and azide were added for stabilization. For reconstitution add 50 µl H2O to get a 1mg/ml solution in PBS. Then aliquot and store at -20°C to -80°C until use.
Antibodies should be stored at +4°C when still lyophilized. Do not freeze!
Applications
 
WB: not tested yet
IP: not tested yet
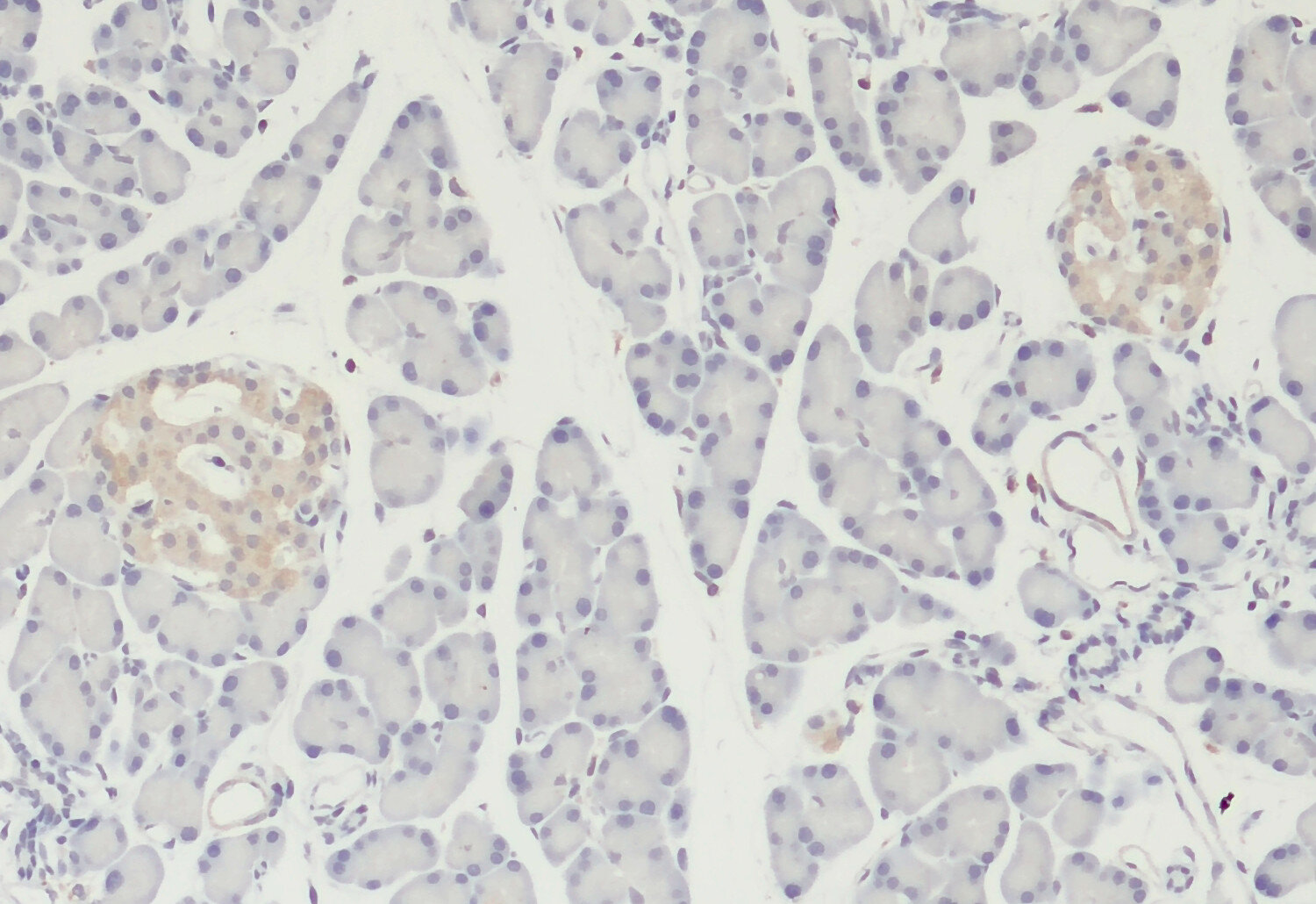
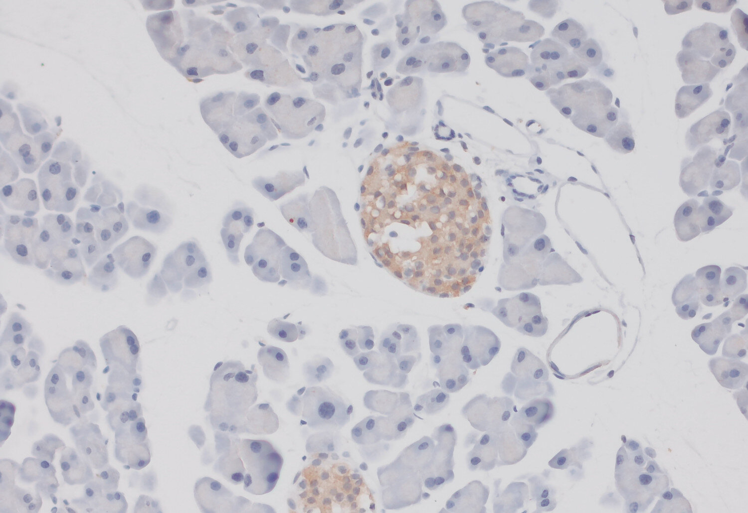
IHC: 1 : 500 up to 1 : 1000 gallery  
IHC-P (FFPE): 1 : 1000 gallery  

Western blot (WB); separation of proteins by PAGE and subsequent transfer to a membrane. Detection of target molecules is carried out with antibodies. Some antibodies require special sample preparation steps. For details, please refer to the “Remarks” section.

Immunoprecipitation (IP); Immunoisolation or pulldown of a target molecule using an antibody. For details and product specific hints, please refer to the ”Remarks” section.

Immunohistochemistry (IHC) on 4% PFA perfusion fixed tissue with 24h PFA post fixation. Immunoreactivity is usually revealed by fluorescence or a chromogenic substrate. Some antibodies require special fixation methods or antigen retrieval steps. For details, please refer to the ”Remarks” section.

Immunohistochemistry (IHC-P) of formalin fixed, paraffin embedded (FFPE) tissue (some antibodies require special antigen retrieval steps, please refer to the ”Remarks” section). Immunoreactivity is usually revealed by fluorescence or a chromogenic substrate.

Immunogen Synthetic peptide corresponding to residues surrounding AA 160 of mouse VNUT (UniProt Id: Q8VCL5)
Reactivity Reacts with: mouse (Q8VCL5), rat (P0DX21).
Other species not tested yet.
Data sheet Datasheet 535_003
Cat. No.: 535 003
Amount: 50 µg
Price: $380.00

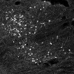
VNUT-positive cells and varicosity-like fibres in a mouse hypothalamus section

Background

Vesicular nucleotide transporter (VNUT), also known as SLC17A9, is a member of the SLC17 phosphate transporter family, which also includes the vesicular glutamate transporters (VGLUTs). Similar to VGLUTs, VNUT is responsible for vesicular accumulation—specifically of ATP and other nucleotides (1).
Expression of VNUT has been observed in several secretory systems, including insulin-containing granules of pancreatic β-cells and GLP-1–positive vesicles of intestinal L cells (2–3). In the nervous system, VNUT-immunopositive neurons have been identified in the hypothalamic and hindbrain nuclei, suggesting a role in ATP-mediated purinergic signaling involved in the regulation of ovulation via activation of kisspeptin neurons (4). Additionally, VNUT is expressed in spinal dorsal horn neurons of the peripheral nervous system, where it mediates exocytotic ATP release and contributes to neuropathic pain mechanisms following peripheral nerve injury (5).

Certificates

ISO 9001 2015 Quality Management System and Green Lab Platinum certification level for sustaining laboratory processes.

Newsletter

Sign up for our newsletter and get the latest updates and news.
 

Please provide a valid E-Mail-Address
Please provide a valid First name
Please provide a valid Last name