Tailor-made Antibodies
and Tools for Life Science
Home | | | | | Technical Support

Reelin antibody - 534 005

Reelin promotes cortical layer formation and modulates synaptic plasticity.
Guinea pig polyclonal purified antibody
Cat. No.: 534 005
Amount: 50 µg
Price: $465.00
Cat. No. 534 005 50 µg specific antibody, lyophilized. Affinity purified with the immunogen. Albumin and azide were added for stabilization. For reconstitution add 50 µl H2O to get a 1mg/ml solution in PBS. Then aliquot and store at -20°C to -80°C until use.
Antibodies should be stored at +4°C when still lyophilized. Do not freeze!
Applications
 
WB: 1 : 500 up to 1 : 1000 (AP staining) (see remarks) gallery  
IP: not tested yet
ICC: 1 : 500 gallery  
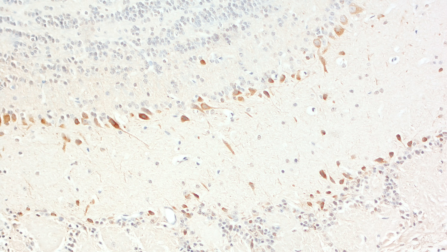
IHC: 1 : 500 (see remarks) gallery  
IHC-P (FFPE): 1 : 200 up to 1 : 1000 gallery  

Western blot (WB); separation of proteins by PAGE and subsequent transfer to a membrane. Detection of target molecules is carried out with antibodies. Some antibodies require special sample preparation steps. For details, please refer to the “Remarks” section.

Immunoprecipitation (IP); Immunoisolation or pulldown of a target molecule using an antibody. For details and product specific hints, please refer to the ”Remarks” section.

Immunocytochemistry (ICC) on 4% PFA fixed cells. Immunoreactivity is usually revealed by fluorescence. Some antibodies require special fixation methods. For details, please refer to the “Remarks” section.

Immunohistochemistry (IHC) on 4% PFA perfusion fixed tissue with 24h PFA post fixation. Immunoreactivity is usually revealed by fluorescence or a chromogenic substrate. Some antibodies require special fixation methods or antigen retrieval steps. For details, please refer to the ”Remarks” section.

Immunohistochemistry (IHC-P) of formalin fixed, paraffin embedded (FFPE) tissue (some antibodies require special antigen retrieval steps, please refer to the ”Remarks” section). Immunoreactivity is usually revealed by fluorescence or a chromogenic substrate.

Immunogen Recombinant protein corresponding to the N-terminal part of mouse Reelin. (UniProt Id: Q60841)
Reactivity Reacts with: mouse (Q60841), rat (P58751).
Other species not tested yet.
Remarks

WB: Due to the large size of this protein, we recommend NuPAGE 3-8% Tris-Acetate gels for SDS-PAGE.
IHC: Antigen retrieval with citrate buffer pH 6 can be applied to improve the signal to noise ratio.

Data sheet Datasheet 534_005
Cat. No.: 534 005
Amount: 50 µg
Price: $465.00

Migrating Cajal–Retzius cells in the marginal zone of a mouse embryo brain section (E18) showing positive staining for Reelin (red) and Tbr1 (green).

Background

Reelin is a large secreted extracellular matrix glycoprotein. Its structure includes eight EGF-like repeats with two cleavage sites between the repeats. The central cleavage fragment is the active one as it contains the receptor binding domain (1-4).
Reelins scientific history begins in 1951 with the report of a mouse exhibiting an reeling gait (5), later found to carry a spontaneous mutation in the Reln gene. The most striking phenotype of the reeler mouse is the abnormal layering of neurons in the brain.
During development, Reelin regulates neuronal migration and proper cortical layer formation by guiding neurons to their correct positions (1,3,6). It is predominantly expressed by Cajal–Retzius cells in the hippocampus and cortex and its expression is highest during embryonic and early postnatal stages. After birth, as Cajal–Retzius cells decline, a subset of inhibitory interneurons begins to express Reelin (1-4). In the adult brain, Reelin modulates synaptic plasticity and neuroblast migration as well as dendritic spine formation (1-3). 
Reelin binds to membrane receptors, including ApoER2 and VLDLR, initiating a signaling cascade via the adaptor protein Dab1, which is crucial for cytoskeletal stability and neuron positioning (1-3).
Altered Reelin expression has been associated with a variety of brain disorders including lissencephaly, Alzheimer’s disease, epilepsy, autism spectrum disorder, and schizophrenia (1,2,6,7).
In addition to the brain, Reelin is also expressed in various non-neuronal tissues and has been suggested to be implicated in processes involving the immune system, liver fibrosis and several cancers (3,4).

Certificates

ISO 9001 2015 Quality Management System and Green Lab Platinum certification level for sustaining laboratory processes.

Newsletter

Sign up for our newsletter and get the latest updates and news.
 

Please provide a valid E-Mail-Address
Please provide a valid First name
Please provide a valid Last name