|
|
|
|
| Cat. No. 194 001 |
100 µg purified IgG, lyophilized. Albumin and azide were added for stabilization. For reconstitution add 100 µl H2O to get a 1mg/ml solution in PBS. Then aliquot and store at -20°C to -80°C until use. Antibodies should be stored at +4°C when still lyophilized. Do not freeze! |
| Applications | |
| Clone | SY102GP1 |
| Subtype | IgG |
| Immunogen | Recombinant protein corresponding to residues near the central region of mouse Neurobeachin (UniProt Id: Q9EPN1) |
| Reactivity |
Reacts with: mouse (Q9EPN1), rat (A0A8I6AB61). Other species not tested yet. |
| Remarks |
WB: To avoid protein aggregation, do not heat samples for SDS-PAGE. |
| Data sheet | Datasheet 194_001 |
|
|
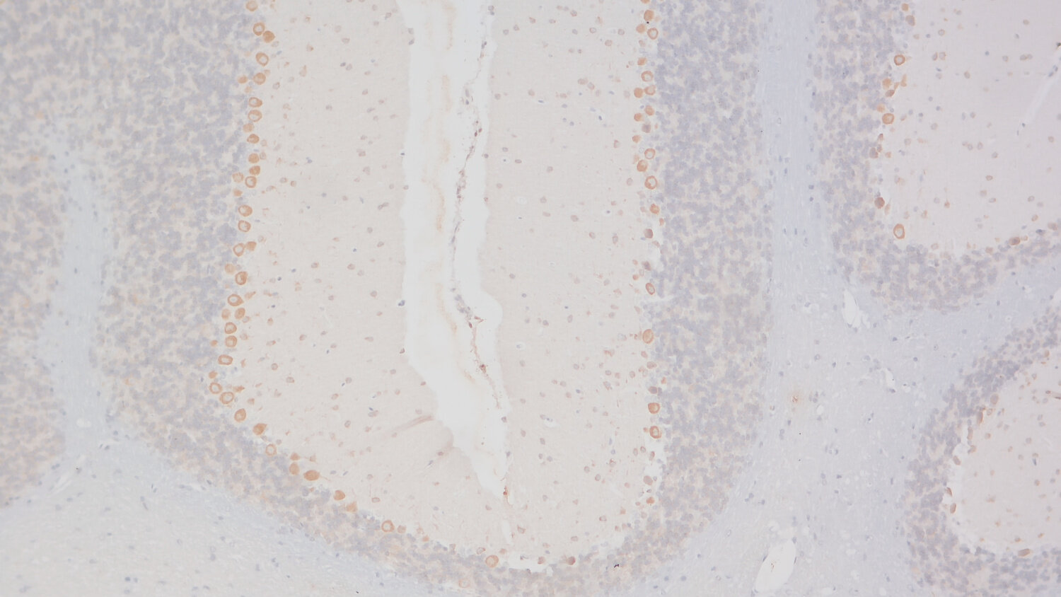
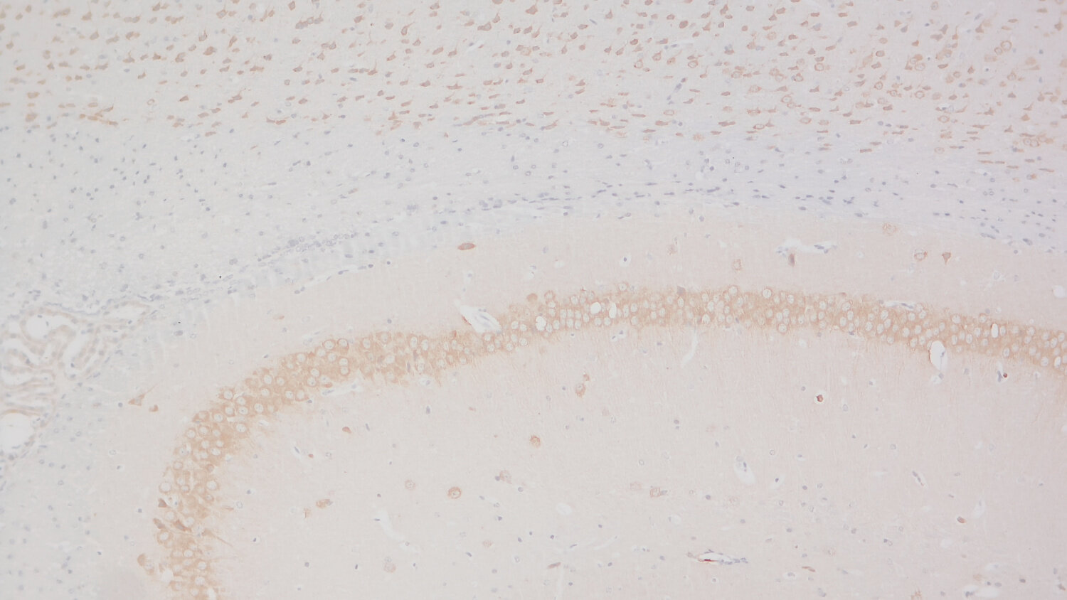
Neurobeachin, also referred to as NBEA, is a large ~330 kDa brain-specific protein that belongs to the BEACH (beige and Chediak-Higashi) family. The protein has been shown to locate to tubulovesicular neuronal endomembranes near the trans-Golgi synapses, but also throughout the cell. Neurobeachin binds to protein kinase A and after adding GTPγS concentrates at Golgi-near membranes.
For more information on protein expression pattern, please refer to the overview image in our SYSY Antibodies ATLAS.