|
|
|
|
| Cat. No. 412 011 |
100 µg purified IgG, lyophilized. Albumin and azide were added for stabilization. For reconstitution add 100 µl H2O to get a 1mg/ml solution in PBS. Then aliquot and store at -20°C to -80°C until use. Antibodies should be stored at +4°C when still lyophilized. Do not freeze! |
| Applications | |
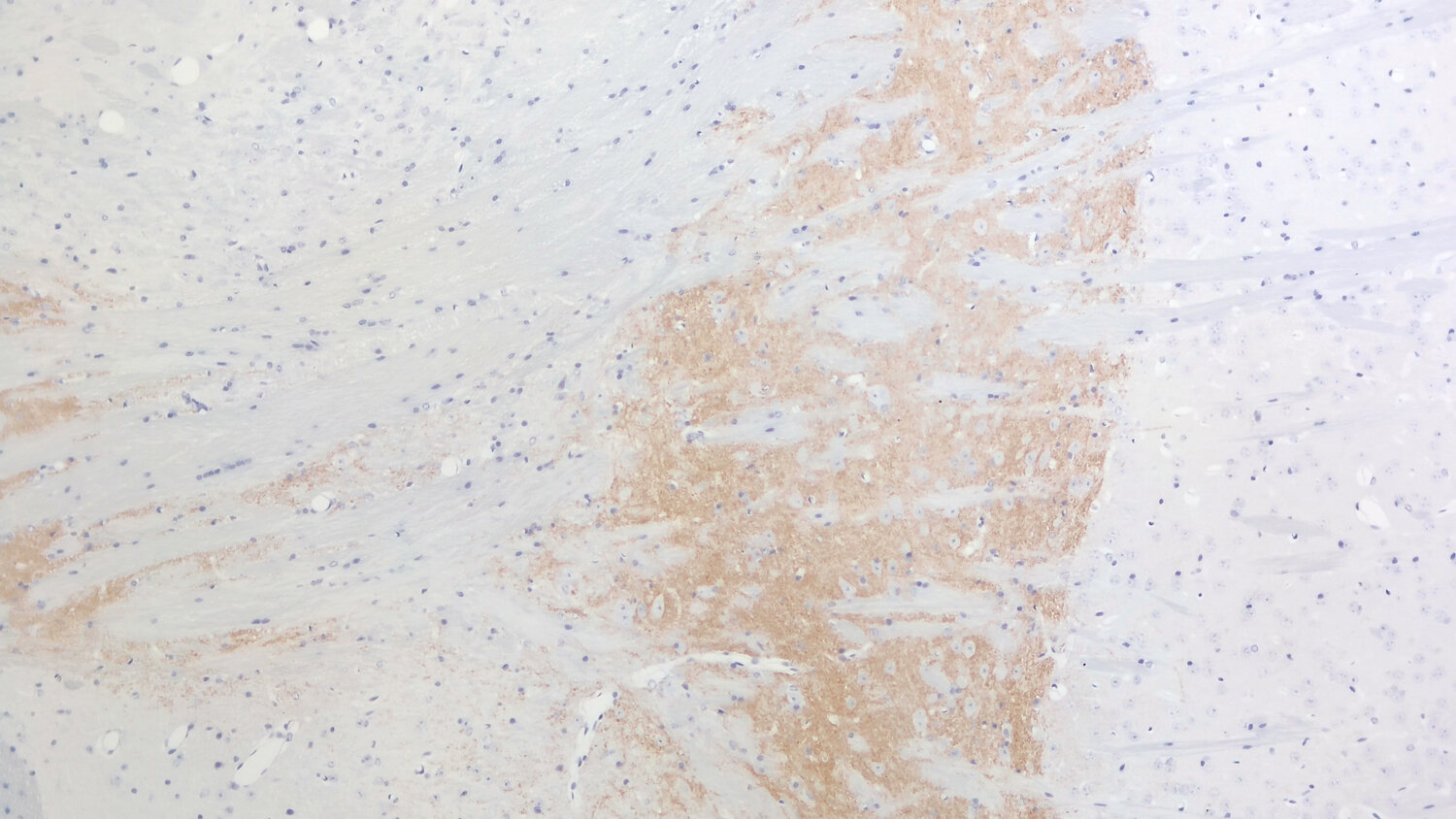
| Clone | SY-330E12 |
| Subtype | IgG1 (κ light chain) |
| Immunogen | Synthetic peptide corresponding to the carboxy terminal part of mouse LAMP5 (UniProt Id: Q9D387) |
| Reactivity |
Reacts with: mouse (Q9D387), rat (Q5PPI4). Other species not tested yet. |
| Specificity | K.O. validated |
| Remarks |
Dot blot: This application was only tested with synthetic peptides. |
| Data sheet | 412_011.pdf |
|
|
LAMP5 (Lysosome-associated membrane protein 5), also referred to as BAD-LAMP (Brain and dendritic cell-associated LAMP), is a member of the LAMP family of membrane proteins. However, in contrast to canonical members of this family, that show widespread expression, LAMP5 is, at least in rodents, strictly confined to the CNS where it appears at postnatal stages coincidently with synaptogenesis.
In the human immune system, LAMP5 is expressed at high levels in non-activated plasmacytoid dendritic cells (pDCs), where it allows discrimination of normal from leukemic pDCs in tissue and blood.
For more information on protein expression pattern, please refer to the overview image in our SYSY Antibodies ATLAS.