Tailor-made Antibodies
and Tools for Life Science
Home | | | | | Technical Support

Brn3a antibody - 411 017

Brn3a is a transcription factor involved in neuronal development
Rat monoclonal purified IgG
Cat. No.: 411 017
Amount: 100 µg
Price: $420.00
Cat. No. 411 017 100 µg purified IgG, lyophilized. Albumin and azide were added for stabilization. For reconstitution add 100 µl H2O to get a 1mg/ml solution in PBS. Then aliquot and store at -20°C to -80°C until use.
Antibodies should be stored at +4°C when still lyophilized. Do not freeze!
Applications
 
WB: not tested yet
IP: not tested yet
ICC: not tested yet
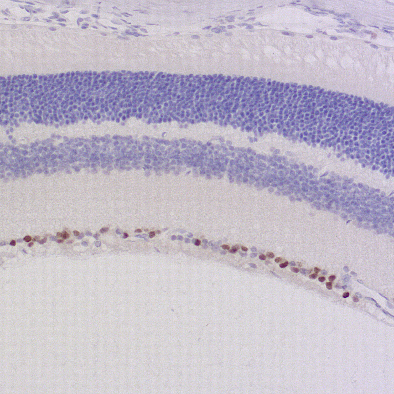
IHC: 1 : 500 up to 1 : 1000 (see remarks) gallery  
IHC-P: 1 : 100 gallery  

Western blot (WB); separation of proteins by PAGE and subsequent transfer to a membrane. Detection of target molecules is carried out with antibodies. Some antibodies require special sample preparation steps. For details, please refer to the “Remarks” section.

Immunoprecipitation (IP); Immunoisolation or pulldown of a target molecule using an antibody. For details and product specific hints, please refer to the ”Remarks” section.

Immunocytochemistry (ICC) on 4% PFA fixed cells. Immunoreactivity is usually revealed by fluorescence. Some antibodies require special fixation methods. For details, please refer to the “Remarks” section.

Immunohistochemistry (IHC) on 4% PFA perfusion fixed tissue with 24h PFA post fixation. Immunoreactivity is usually revealed by fluorescence or a chromogenic substrate. Some antibodies require special fixation methods or antigen retrieval steps. For details, please refer to the ”Remarks” section.

Immunohistochemistry (IHC-P) of formalin fixed, paraffin embedded (FFPE) tissue (some antibodies require special antigen retrieval steps, please refer to the ”Remarks” section). Immunoreactivity is usually revealed by fluorescence or a chromogenic substrate.

Clone SY-61A2
Subtype IgG2a (κ light chain)
Immunogen Synthetic peptide corresponding to residues near the amino terminus of mouse Brn3a (UniProt Id: P17208)
Reactivity Reacts with: mouse (P17208), rat (P20266).
Other species not tested yet.
Remarks

IHC: For optimal results in retina tissue, follow the retina protocol.
Alternatively, Antigen retrieval with citrate buffer pH 6 can be applied.

Data sheet 411_017.pdf

References for Brn3a - 411 017

Refining Flash Visual Evoked Potential Analysis in Rats: A Novel Approach Using Bilateral Epidural Electrodes.
Woo KM, Guo Y, Mehrabian Z, Miller NR, Bernstein SL
Translational vision science & technology (2024) 1312: 24. 411 017 IHC; tested species: rat
Cat. No.: 411 017
Amount: 100 µg
Price: $420.00
Refining Flash Visual Evoked Potential Analysis in Rats: A Novel Approach Using Bilateral Epidural Electrodes.
Woo KM, Guo Y, Mehrabian Z, Miller NR, Bernstein SL
Translational vision science & technology (2024) 1312: 24. 411 017 IHC; tested species: rat
Background

Brn3a, also referred to as POU4F1, RGC-1 or Oct-T1, is a transcription factor highly expressed in the developing peripheral sensory nervous system, in cells of the B- and T-lymphocytic lineages and in certain regions of the CNS e.g. retina, spinal cord, midbrain superior colliculus, red nucleus, nucleus ambiguus, inferior olivary nucleus and habenula. In the retina Brn3a is a well-established marker for retinal ganglion cells.