Tailor-made Antibodies
and Tools for Life Science
Home | | | | | Technical Support

Monocarboxylate Transporter3 (MCT3, SLC16A8) antibody - 356 304

MCT3 is a transporter protein that moves lactate across cell membranes in the retina.
Guinea pig polyclonal antiserum
Cat. No.: 356 304
Amount: 100 µl
Price: $370.00
Cat. No. 356 304 100 µl antiserum, lyophilized. For reconstitution add 100 µl H2O, then aliquot and store at -20°C until use.
Antibodies should be stored at +4°C when still lyophilized. Do not freeze!
Applications
 
WB: 1 : 1000 (AP staining) gallery  
IP: not tested yet
ICC: not tested yet
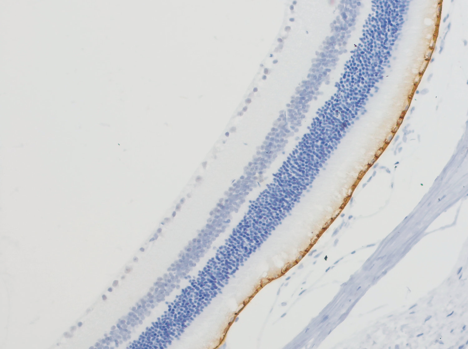
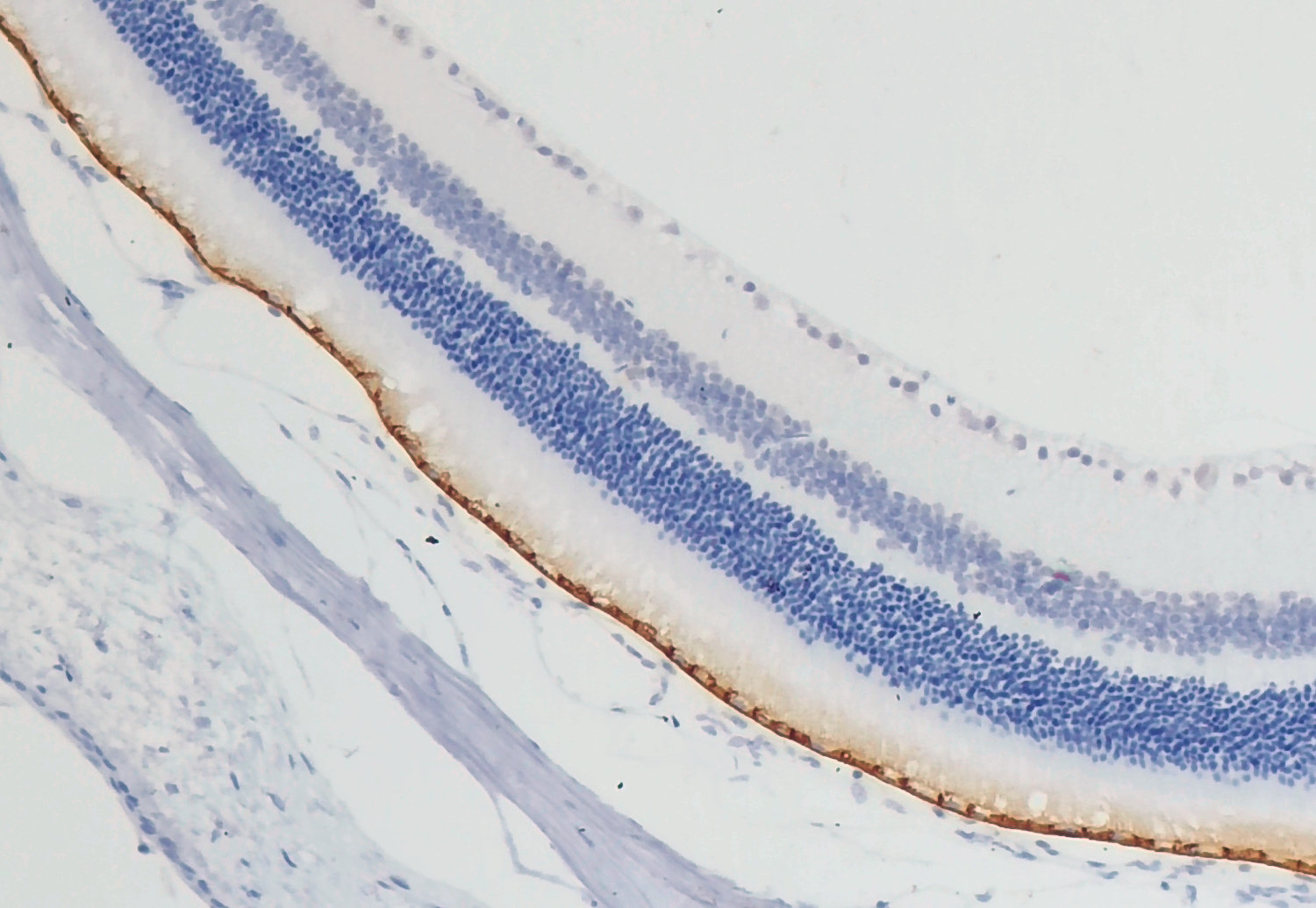
IHC: 1 : 500 gallery  
IHC-P (FFPE): 1 : 2500 gallery  

Western blot (WB); separation of proteins by PAGE and subsequent transfer to a membrane. Detection of target molecules is carried out with antibodies. Some antibodies require special sample preparation steps. For details, please refer to the “Remarks” section.

Immunoprecipitation (IP); Immunoisolation or pulldown of a target molecule using an antibody. For details and product specific hints, please refer to the ”Remarks” section.

Immunocytochemistry (ICC) on 4% PFA fixed cells. Immunoreactivity is usually revealed by fluorescence. Some antibodies require special fixation methods. For details, please refer to the “Remarks” section.

Immunohistochemistry (IHC) on 4% PFA perfusion fixed tissue with 24h PFA post fixation. Immunoreactivity is usually revealed by fluorescence or a chromogenic substrate. Some antibodies require special fixation methods or antigen retrieval steps. For details, please refer to the ”Remarks” section.

Immunohistochemistry (IHC-P) of formalin fixed, paraffin embedded (FFPE) tissue (some antibodies require special antigen retrieval steps, please refer to the ”Remarks” section). Immunoreactivity is usually revealed by fluorescence or a chromogenic substrate.

Immunogen Recombinant protein corresponding to residues near the carboxy terminus of mouse Monocarboxylate transporter 3. (UniProt Id: O35308)
Reactivity Reacts with: mouse (O35308).
No signal: rat (O70461).
Other species not tested yet.
Data sheet Datasheet 356_304
Cat. No.: 356 304
Amount: 100 µl
Price: $370.00

Monocarboxylate transporter3 (red) and Parvalbumin (green) staining of mouse retina.

Background

Monocarboxylate Transporter3 (MCT3), encoded by Slc16a8, is a proton-coupled lactate transporter localized to the basolateral membrane of the retinal pigment epithelium (RPE), where it facilitates lactate and proton efflux to the choroid. Its expression is highly tissue-specific, mainly restricted to the RPE and choroid plexus epithelium. (1,2) MCT3-deficient mice (Mct3⁻/⁻) exhibit reduced scotopic electroretinogram (ERG) amplitudes despite intact retinal morphology and healthy photoreceptors, suggesting impaired visual function arises from subretinal acidosis due to lactate accumulation. (3) Loss of basolateral CD147, essential for MCT3 localization, further disrupts this transport system. (3) MCT3, together with apically localized MCT1, enables directional lactate clearance from the retina, underscoring its role in maintaining subretinal pH and metabolic balance. (2) These insights position MCT3 as a key regulator of the retinal microenvironment.

Certificates

ISO 9001 2015 Quality Management System and Green Lab Platinum certification level for sustaining laboratory processes.

Newsletter

Sign up for our newsletter and get the latest updates and news.
 

Please provide a valid E-Mail-Address
Please provide a valid First name
Please provide a valid Last name