Tailor-made Antibodies
and Tools for Life Science
Home | | | | | Technical Support

Doublecortin antibody - 326 008

Doublecortin or DCX is a protein associated with neuronal differentiation
Rabbit monoclonal recombinant IgG
Cat. No.: 326 008
Amount: 50 µg
Price: $420.00
Cat. No. 326 008 50 µg purified recombinant IgG, lyophilized. Albumin and azide were added for stabilization. For reconstitution add 50 µl H2O to get a 1mg/ml solution in PBS. Then aliquot and store at -20°C to -80°C until use.
Antibodies should be stored at +4°C when still lyophilized. Do not freeze!
Applications
 
WB: 1 : 1000 (AP staining) gallery  
IP: not tested yet
ICC: 1 : 500 gallery  
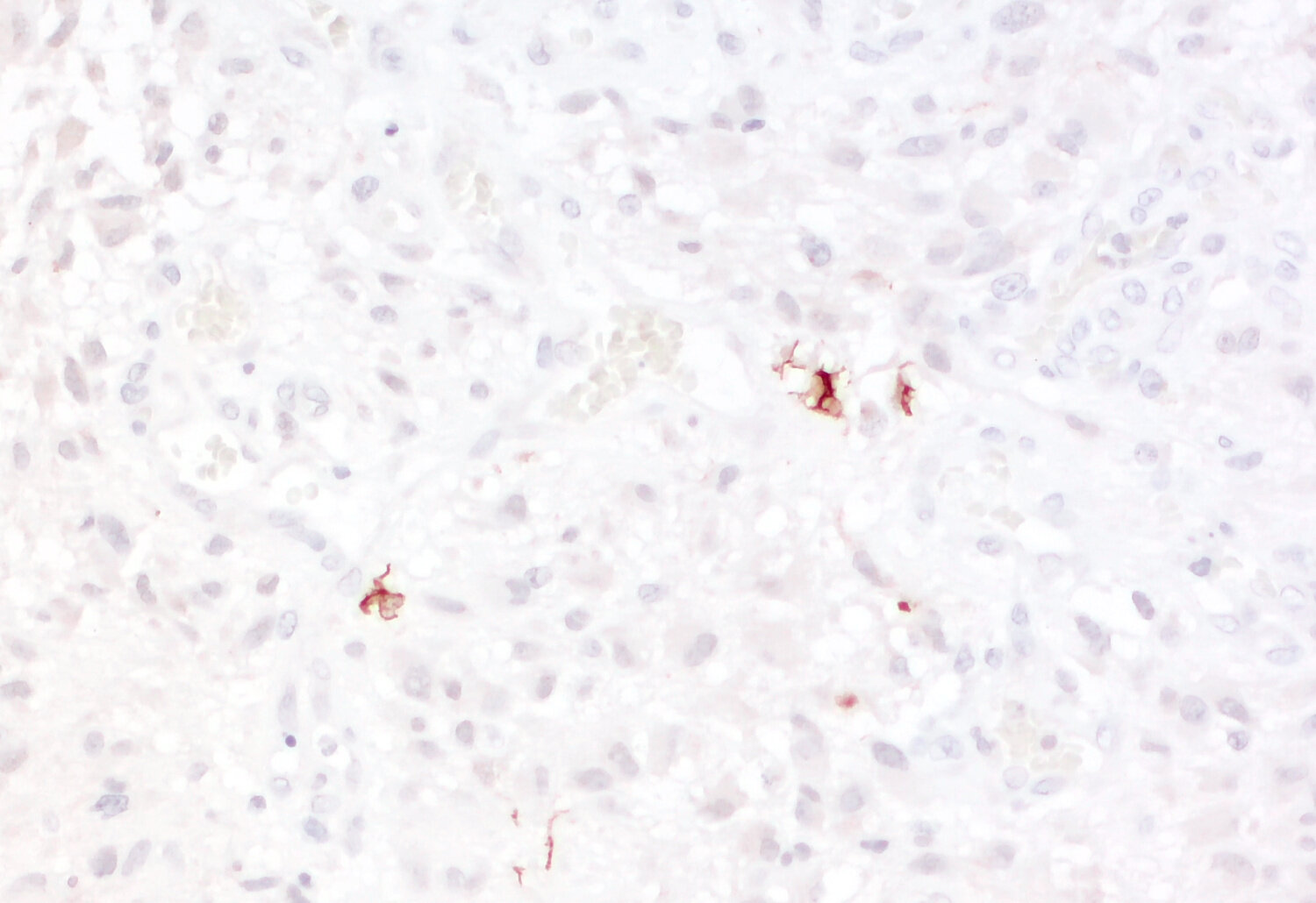
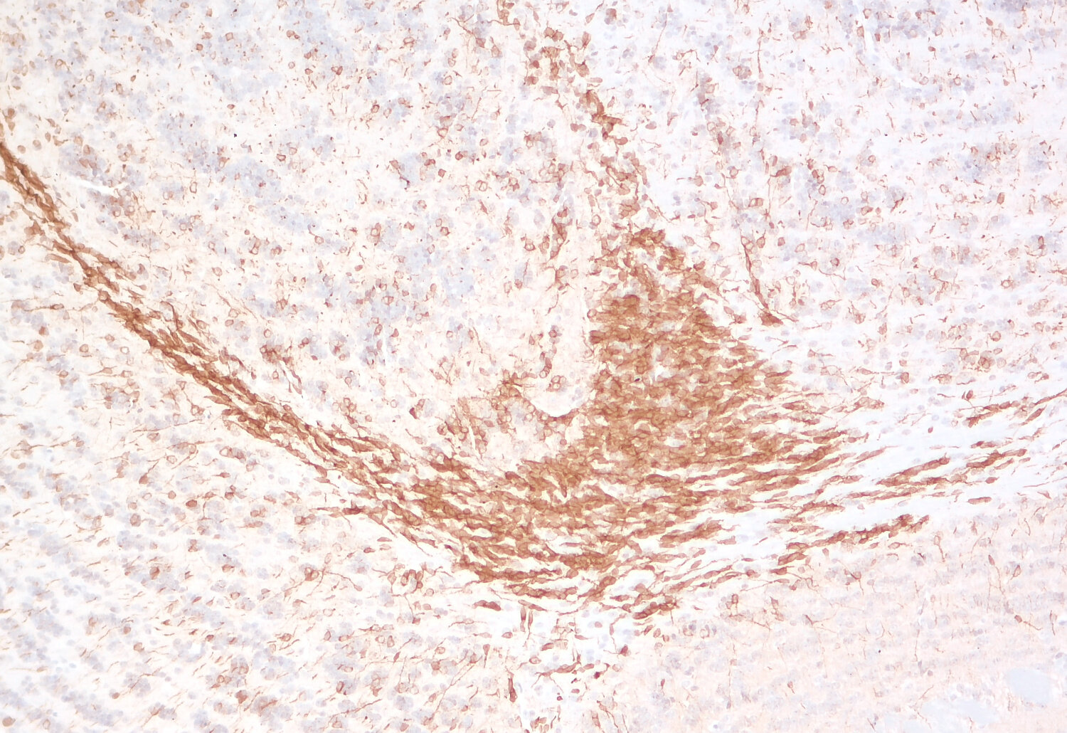
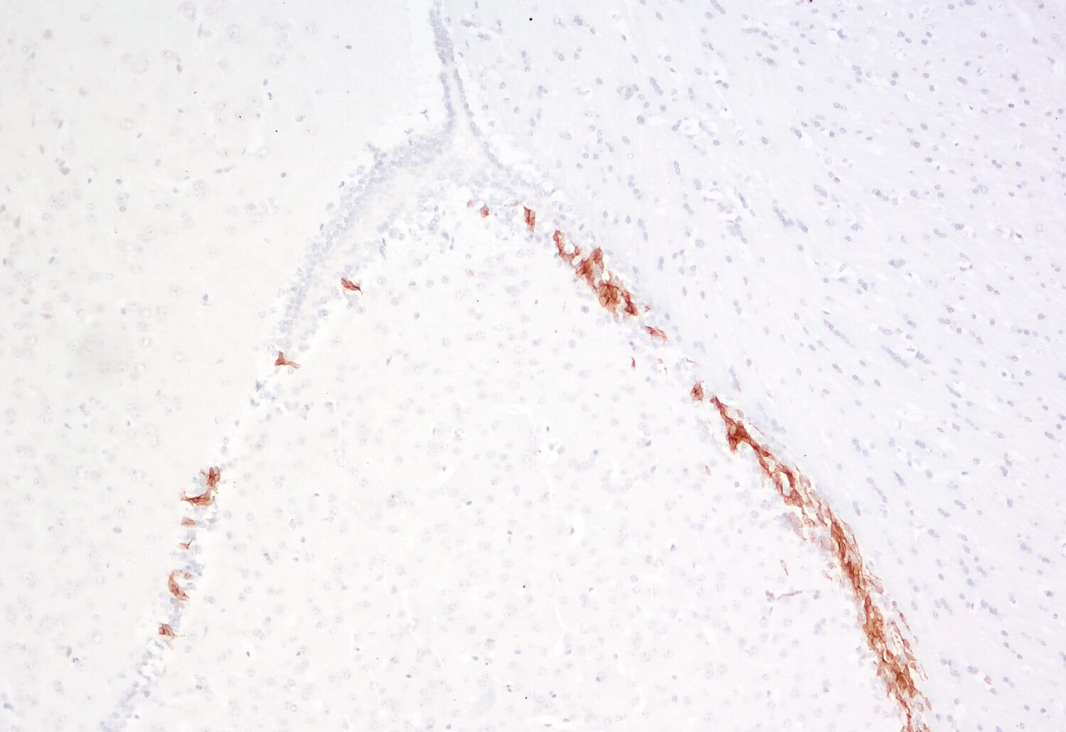
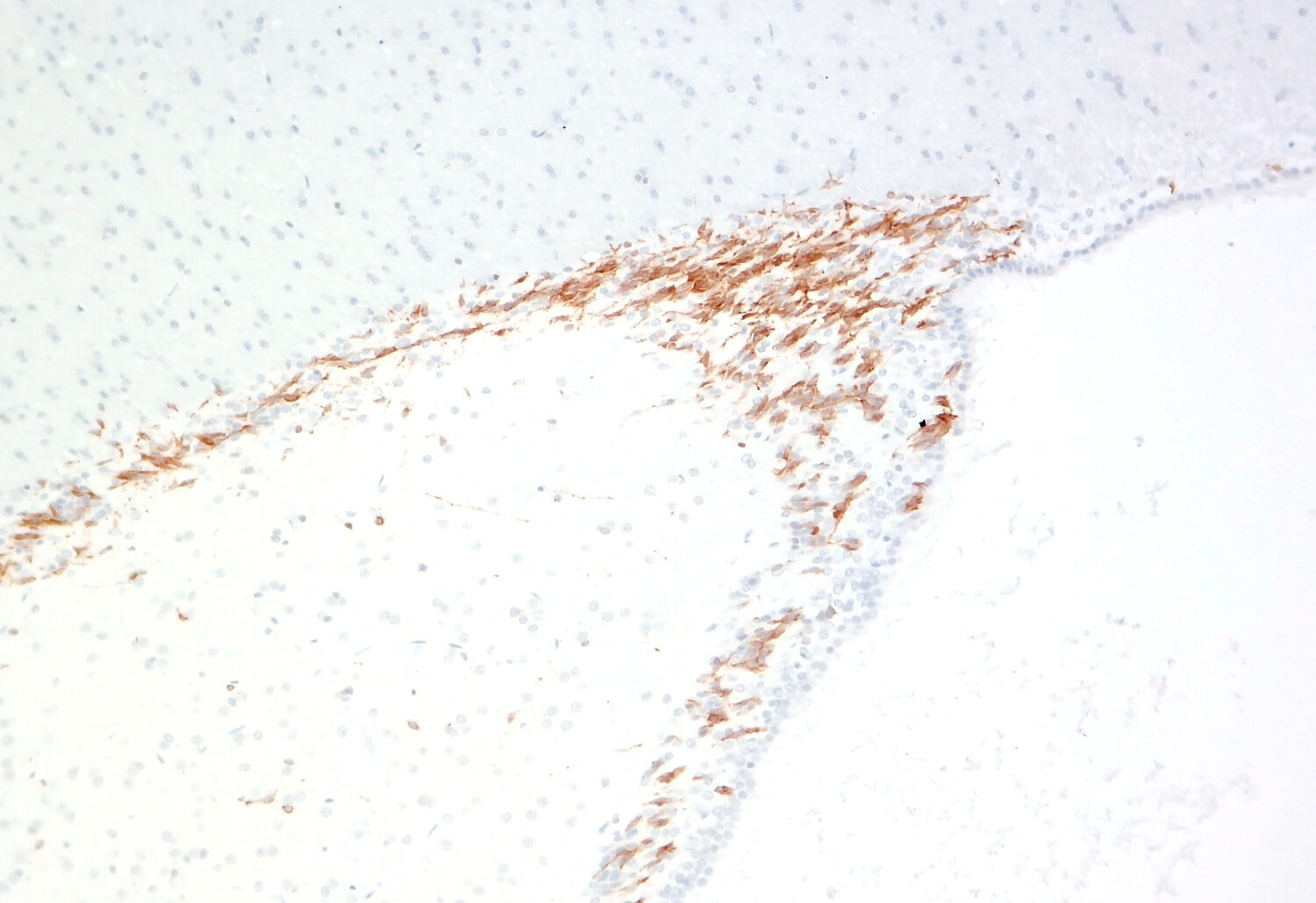
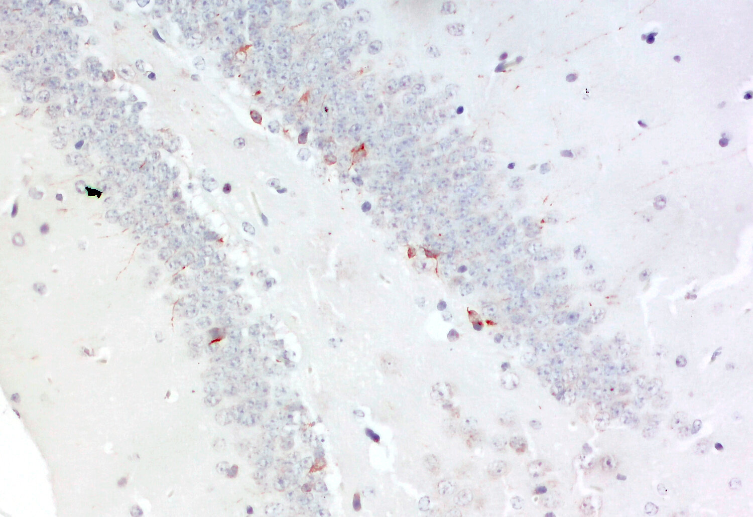
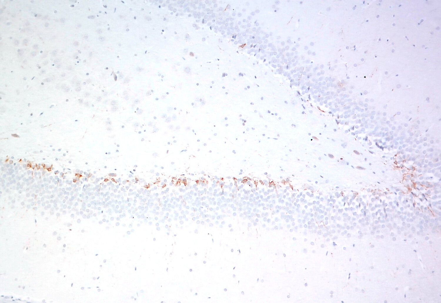
IHC: 1 : 500 gallery  
IHC-P (FFPE): 1 : 500 gallery  

Western blot (WB); separation of proteins by PAGE and subsequent transfer to a membrane. Detection of target molecules is carried out with antibodies. Some antibodies require special sample preparation steps. For details, please refer to the “Remarks” section.

Immunoprecipitation (IP); Immunoisolation or pulldown of a target molecule using an antibody. For details and product specific hints, please refer to the ”Remarks” section.

Immunocytochemistry (ICC) on 4% PFA fixed cells. Immunoreactivity is usually revealed by fluorescence. Some antibodies require special fixation methods. For details, please refer to the “Remarks” section.

Immunohistochemistry (IHC) on 4% PFA perfusion fixed tissue with 24h PFA post fixation. Immunoreactivity is usually revealed by fluorescence or a chromogenic substrate. Some antibodies require special fixation methods or antigen retrieval steps. For details, please refer to the ”Remarks” section.

Immunohistochemistry (IHC-P) of formalin fixed, paraffin embedded (FFPE) tissue (some antibodies require special antigen retrieval steps, please refer to the ”Remarks” section). Immunoreactivity is usually revealed by fluorescence or a chromogenic substrate.

Clone Rb179B7
Subtype IgG1 (κ light chain)
Immunogen Synthetic peptide corresponding to residues near the carboxy terminus of mouse Doublecortin (UniProt Id: Q6PGI2)
Reactivity Reacts with: mouse (O88809), rat (Q9ESI7), human (O43602).
Other species not tested yet.
Remarks

This antibody is a chimeric antibody based on the monoclonal rat antibody clone SY-179B7. The constant regions of the heavy and light chains have been replaced by rabbit specific sequences. Therefore, the antibody can be used with standard anti-rabbit secondary reagents. The antibody has been expressed in mammalian cells.

Data sheet Datasheet 326_008
Cat. No.: 326 008
Amount: 50 µg
Price: $420.00

Doublecortin (red) and β3-Tubulin (green) staining in the dentate gyrus of a mouse hippocampus section


 

Background

Doublecortin or DCX seems to be required for initial steps of neuronal dispersion and cortex lamination during cerebral cortex development. Mutations in the gene encoding this protein have been linked to the double cortex syndrome.
Doublecortin is highly expressed in neuronal cells of fetal brain but absent from other tissues. In the adult dentate gyrus it is only expressed in cells contributing to adult neurogenesis.

 

For more information on protein expression pattern, please refer to the overview image in our SYSY Antibodies ATLAS.

Certificates

ISO 9001 2015 Quality Management System and Green Lab Platinum certification level for sustaining laboratory processes.

Newsletter

Sign up for our newsletter and get the latest updates and news.
 

Please provide a valid E-Mail-Address
Please provide a valid First name
Please provide a valid Last name