Tailor-made Antibodies
and Tools for Life Science
Home | | | | | Technical Support

ChAT antibody - 297 308

ChAT is an enzyme involved in the synthesis of acetylcholine
Guinea pig monoclonal recombinant IgG
Cat. No.: 297 308
Amount: 50 µg
Price: $420.00
Cat. No. 297 308 50 µg purified recombinant IgG, lyophilized. Albumin and azide were added for stabilization. For reconstitution add 50 µl H2O to get a 1mg/ml solution in PBS. Then aliquot and store at -20°C to -80°C until use.
Antibodies should be stored at +4°C when still lyophilized. Do not freeze!
Applications
 
WB: not tested yet
IP: not tested yet
ICC: 1 : 500 gallery  
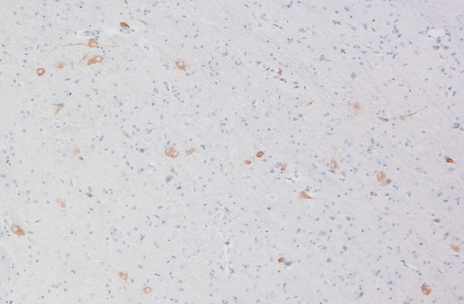
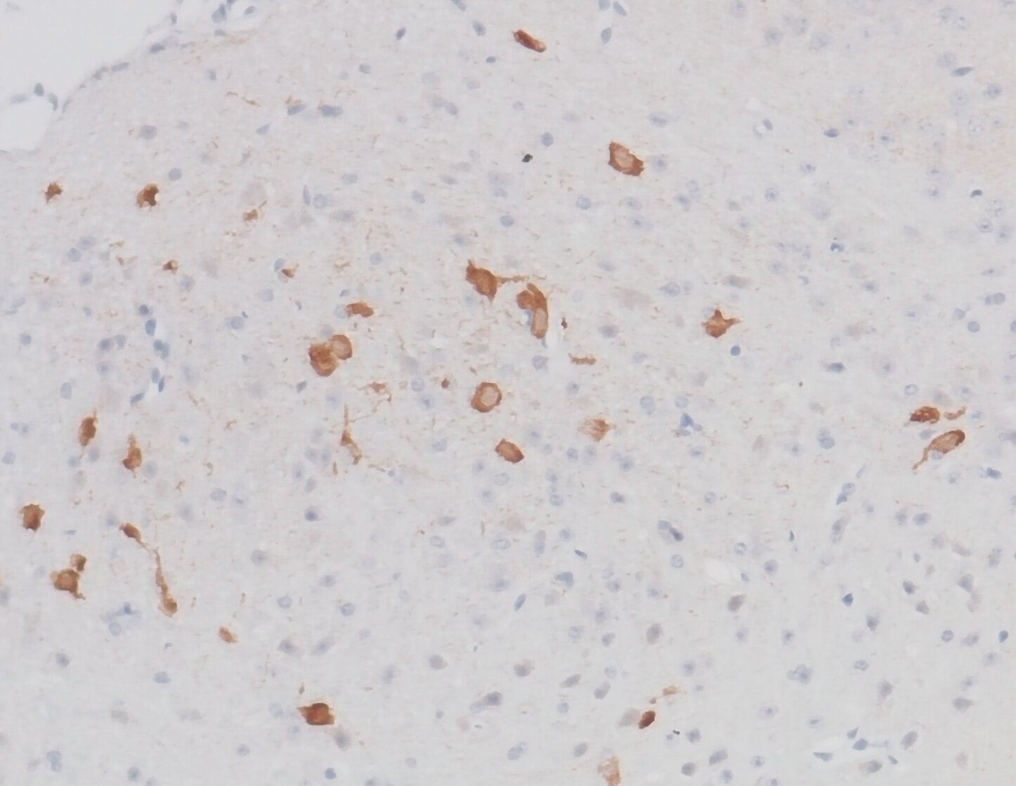
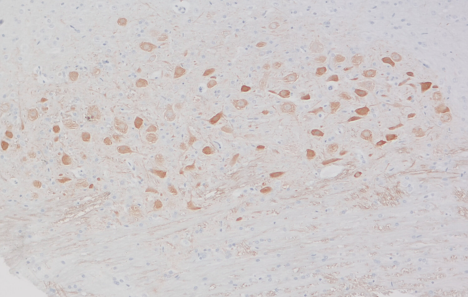
IHC: 1 : 500 gallery  
IHC-P (FFPE): 1 : 500 gallery  

Western blot (WB); separation of proteins by PAGE and subsequent transfer to a membrane. Detection of target molecules is carried out with antibodies. Some antibodies require special sample preparation steps. For details, please refer to the “Remarks” section.

Immunoprecipitation (IP); Immunoisolation or pulldown of a target molecule using an antibody. For details and product specific hints, please refer to the ”Remarks” section.

Immunocytochemistry (ICC) on 4% PFA fixed cells. Immunoreactivity is usually revealed by fluorescence. Some antibodies require special fixation methods. For details, please refer to the “Remarks” section.

Immunohistochemistry (IHC) on 4% PFA perfusion fixed tissue with 24h PFA post fixation. Immunoreactivity is usually revealed by fluorescence or a chromogenic substrate. Some antibodies require special fixation methods or antigen retrieval steps. For details, please refer to the ”Remarks” section.

Immunohistochemistry (IHC-P) of formalin fixed, paraffin embedded (FFPE) tissue (some antibodies require special antigen retrieval steps, please refer to the ”Remarks” section). Immunoreactivity is usually revealed by fluorescence or a chromogenic substrate.

Clone Gp110G10
Subtype IgG2 (κ light chain)
Immunogen Full length recombinant rat ChAT (UniProt Id: P32738)
Reactivity Reacts with: mouse (Q03059), rat (P32738).
Other species not tested yet.
Remarks

This antibody is a chimeric antibody based on the monoclonal mouse antibody clone 110G10. The constant regions of the heavy and light chains have been replaced with guinea pig specific sequences. Therefore, the antibody can be used with standard anti-guinea pig secondary reagents. The antibody has been expressed in mammalian cells.

Data sheet Datasheet 297_308
Cat. No.: 297 308
Amount: 50 µg
Price: $420.00

Immunofluorescence image of a mouse brain section stained for ChAT (red) and MAP2 (green)

Background

Cholinergic neurons are involved in numerous neurological functions. Acetylcholine (ACh) is a common neurotransmitter for motoneurons, preganglionic autonomic neurons, postganglionic parasympathetic neurons, a variety of brain regions and some emerging neuron-like stem cells.
Two enzymes, choline acetyltransferase (ChAT) and acetylcholinesterase (AChE), are involved in the metabolism of ACh.

Certificates

ISO 9001 2015 Quality Management System and Green Lab Platinum certification level for sustaining laboratory processes.

Newsletter

Sign up for our newsletter and get the latest updates and news.
 

Please provide a valid E-Mail-Address
Please provide a valid First name
Please provide a valid Last name