Tailor-made Antibodies
and Tools for Life Science
Home | | | | | Technical Support

Olig2 antibody - 292 015

Olig2 is an oligodendrocyte specific transcription factor
Guinea pig polyclonal purified antibody
Cat. No.: 292 015
Amount: 50 µg
Price: $465.00
Cat. No. 292 015 50 µg specific antibody, lyophilized. Affinity purified with the immunogen. Albumin and azide were added for stabilization. For reconstitution add 50 µl H2O to get a 1mg/ml solution in PBS. Then aliquot and store at -20°C to -80°C until use.
Antibodies should be stored at +4°C when still lyophilized. Do not freeze!
Applications
 
WB: not recommended
IP: not tested yet
ICC: not tested yet
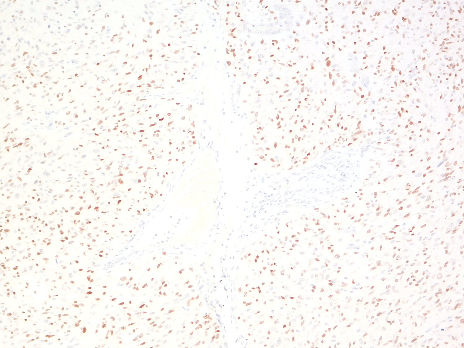
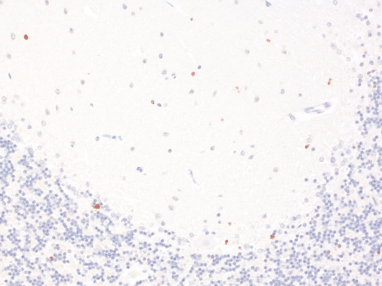
IHC: 1 : 2000 gallery  
IHC-P (FFPE): 1 : 1000 gallery  

Western blot (WB); separation of proteins by PAGE and subsequent transfer to a membrane. Detection of target molecules is carried out with antibodies. Some antibodies require special sample preparation steps. For details, please refer to the “Remarks” section.

Immunoprecipitation (IP); Immunoisolation or pulldown of a target molecule using an antibody. For details and product specific hints, please refer to the ”Remarks” section.

Immunocytochemistry (ICC) on 4% PFA fixed cells. Immunoreactivity is usually revealed by fluorescence. Some antibodies require special fixation methods. For details, please refer to the “Remarks” section.

Immunohistochemistry (IHC) on 4% PFA perfusion fixed tissue with 24h PFA post fixation. Immunoreactivity is usually revealed by fluorescence or a chromogenic substrate. Some antibodies require special fixation methods or antigen retrieval steps. For details, please refer to the ”Remarks” section.

Immunohistochemistry (IHC-P) of formalin fixed, paraffin embedded (FFPE) tissue (some antibodies require special antigen retrieval steps, please refer to the ”Remarks” section). Immunoreactivity is usually revealed by fluorescence or a chromogenic substrate.

Immunogen Full length mouse recombinant Olig2 (UniProt Id: Q9EQW6)
Reactivity Reacts with: mouse (Q9EQW6), rat (G3V612), human (Q13516).
Other species not tested yet.
Predicted to cross-react with human (Q13516) due to high sequence homology.
Data sheet Datasheet 292_015
Cat. No.: 292 015
Amount: 50 µg
Price: $465.00
Background

Olig2 (also known as BHLHB1 and PRKCBP2) is a basic helix–loop–helix transcription factor characteristic of the oligodendroglial lineage and plays key roles in the specification and maturation of oligodendrocytes. Oligodendrocytes are glial cells that produce and maintain central nervous system myelin; Morphologically, oligodendrocyte nuclei are typically smaller and more oval than nuclei of other CNS cell types. (1-3).
In cancer, particularly in diffuse gliomas, Olig2 is widely used as a nuclear immunohistochemical marker of glial lineage. In diagnostic pathology, nuclear Olig2 immunohistochemistry is widely used as a glial lineage marker in diffuse gliomas: Olig2 is strongly expressed in oligodendrogliomas and is also detectable in a substantial proportion of astrocytomas and glioblastomas (GBM). Large cohorts established that Olig2 is highly expressed across diffuse gliomas while being largely restricted to oligodendroglia in normal brain, supporting its utility in routine practice (4, 5).

Certificates

ISO 9001 2015 Quality Management System and Green Lab Platinum certification level for sustaining laboratory processes.

Newsletter

Sign up for our newsletter and get the latest updates and news.
 

Please provide a valid E-Mail-Address
Please provide a valid First name
Please provide a valid Last name