Tailor-made Antibodies
and Tools for Life Science
Home | | | | | Technical Support

Cre-Recombinase antibody - 257 017

Cre-recombinase is used for conditional or tissue specific knockouts
Rat monoclonal purified IgG
Cat. No.: 257 017
Amount: 100 µg
Price: $420.00
Cat. No. 257 017 100 µg purified IgG, lyophilized. Albumin and azide were added for stabilization. For reconstitution add 100 µl H2O to get a 1mg/ml solution in PBS. Then aliquot and store at -20°C to -80°C until use.
Antibodies should be stored at +4°C when still lyophilized. Do not freeze!
Applications
 
WB: not tested yet
IP: not tested yet
ICC: 1 : 500 gallery  
IHC: 1 : 500 (see remarks) gallery  
IHC-P (FFPE): 1 : 100 up to 1 : 1000 gallery  

Western blot (WB); separation of proteins by PAGE and subsequent transfer to a membrane. Detection of target molecules is carried out with antibodies. Some antibodies require special sample preparation steps. For details, please refer to the “Remarks” section.

Immunoprecipitation (IP); Immunoisolation or pulldown of a target molecule using an antibody. For details and product specific hints, please refer to the ”Remarks” section.

Immunocytochemistry (ICC) on 4% PFA fixed cells. Immunoreactivity is usually revealed by fluorescence. Some antibodies require special fixation methods. For details, please refer to the “Remarks” section.

Immunohistochemistry (IHC) on 4% PFA perfusion fixed tissue with 24h PFA post fixation. Immunoreactivity is usually revealed by fluorescence or a chromogenic substrate. Some antibodies require special fixation methods or antigen retrieval steps. For details, please refer to the ”Remarks” section.

Immunohistochemistry (IHC-P) of formalin fixed, paraffin embedded (FFPE) tissue (some antibodies require special antigen retrieval steps, please refer to the ”Remarks” section). Immunoreactivity is usually revealed by fluorescence or a chromogenic substrate.

Clone SY-271B7
Subtype IgG2b (κ light chain)
Immunogen Full length recombinant Cre-recombinase from Bacteriophage P1 (UniProt Id: P06956)
Specificity Recognizes Cre- and iCre-recombinase.
Remarks

IHC: Antigen retrieval with citrate buffer pH 6 is tolerated.
This antibody is less sensitive compared to cat. no. 257 117, which is the first choice for IHC-experiments.

Data sheet Datasheet 257_017
Cat. No.: 257 017
Amount: 100 µg
Price: $420.00

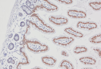
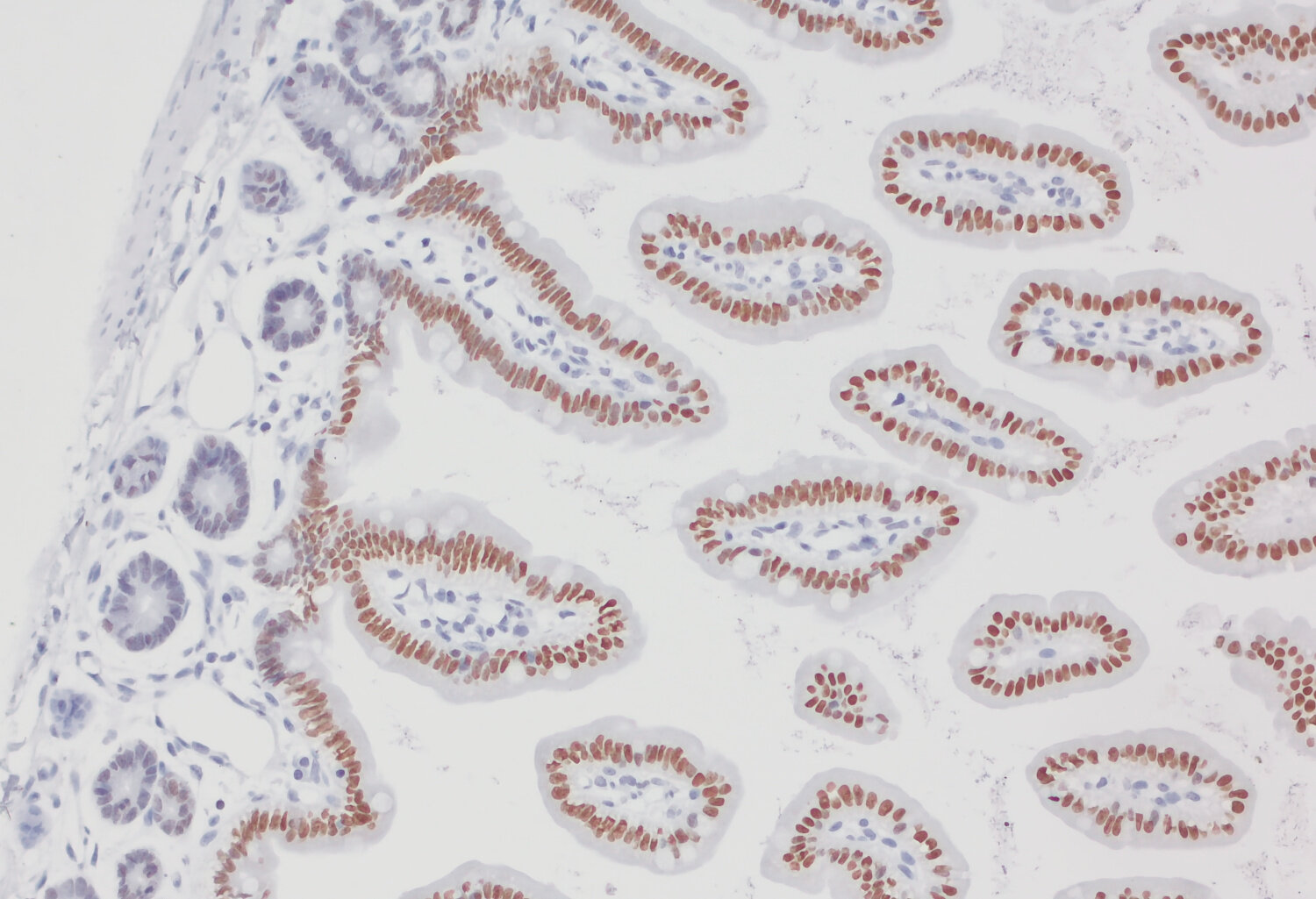
Cre-recombinase staining of a subset of nuclei in the intestine of a Villin-Cre mouse

Background
Cre-Recombinase is a 38 kDa type 1 topoisomerase from bacteriophage P1. It is highly specific for a 34 bp DNA sequence (loxP) found in P1 DNA and catalyzes site-specific recombination between two 34-base-pair LOXP recognition sites. Its role is to maintain the phage genome as a monomeric unit-copy plasmid in the lysogenic state. Its highly specific catalytic activity makes it a valuable tool for the generation of conditional or tissue specific mutants.

Certificates

ISO 9001 2015 Quality Management System and Green Lab Platinum certification level for sustaining laboratory processes.

Newsletter

Sign up for our newsletter and get the latest updates and news.
 

Please provide a valid E-Mail-Address
Please provide a valid First name
Please provide a valid Last name