|
|
|
|
| Cat. No. 195 008 |
50 µg purified recombinant IgG, lyophilized. Albumin and azide were added for stabilization. For reconstitution add 50 µl H2O to get a 1mg/ml solution in PBS. Then aliquot and store at -20°C to -80°C until use. Antibodies should be stored at +4°C when still lyophilized. Do not freeze! |
| Applications | |
| Clone | Rb58E1 |
| Subtype | IgG1 (κ light chain) |
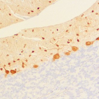
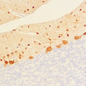
| Immunogen | Full-length recombinant rat Parvalbumin (UniProt Id: P02625) |
| Reactivity |
Reacts with: rat (P02625), mouse (P32848). No signal: zebrafish, human (P20472). Other species not tested yet. |
| Matching control protein/peptide | 195-0P |
| Remarks |
This antibody is a chimeric antibody based on the monoclonal mouse antibody clone 58E1. The constant regions of the heavy and light chains have been replaced by rabbit specific sequences. Therefore, the antibody can be used with standard anti-rabbit secondary reagents. The antibody has been expressed in mammalian cells. |
| Data sheet | Datasheet 195_008 |
|
|
Parvalbumin is a small, acidic calcium binding protein and belongs to the family of EF hand proteins. The protein is found in skeletal muscle and the brain of vertebrates where it locates to a specific population of GABAergic interneurons. This subset of neurons may contribute to maintaining the balance between excitation and inhibition in the cortex and the hippocampus.
For more information on protein expression pattern, please refer to the overview image in our SYSY Antibodies ATLAS.