Tailor-made Antibodies
and Tools for Life Science
Home | | | | | Technical Support

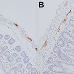
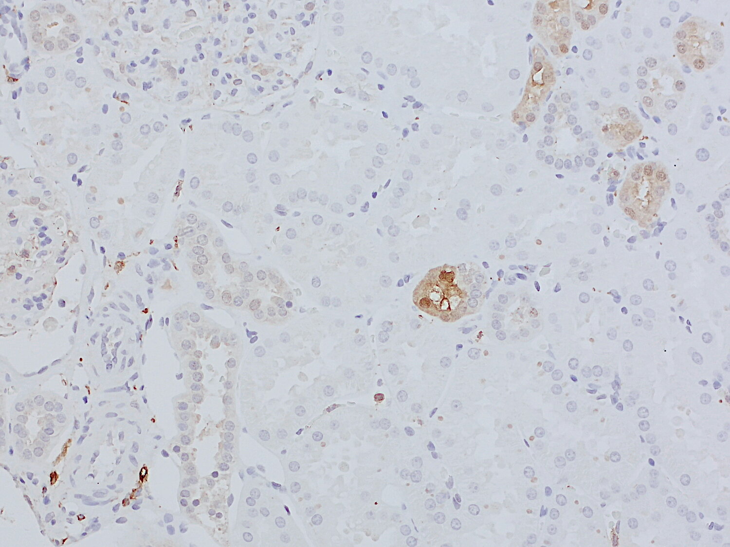
UCHL1 antibody - 233 003

UCHL1 or PGP9.5 is a neuron specific member of the ubiquitin proteasome system
Rabbit polyclonal purified antibody
Cat. No.: 233 003
Amount: 50 µg
Price: $460.00
Cat. No. 233 003 50 µg specific antibody, lyophilized. Affinity purified with the immunogen. Albumin and azide were added for stabilization. For reconstitution add 50 µl H2O to get a 1mg/ml solution in PBS. Then aliquot and store at -20°C to -80°C until use.
Antibodies should be stored at +4°C when still lyophilized. Do not freeze!
Applications
 
WB: 1 : 1000 up to 1 : 5000 (AP staining) gallery  
IP: not tested yet
ICC: 1 : 500 gallery  
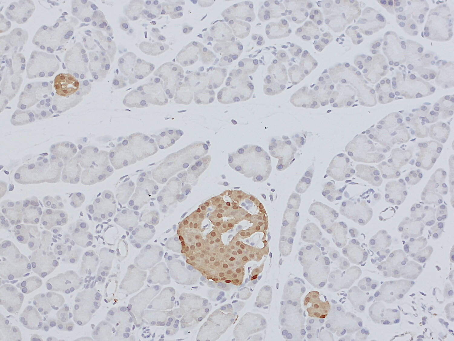
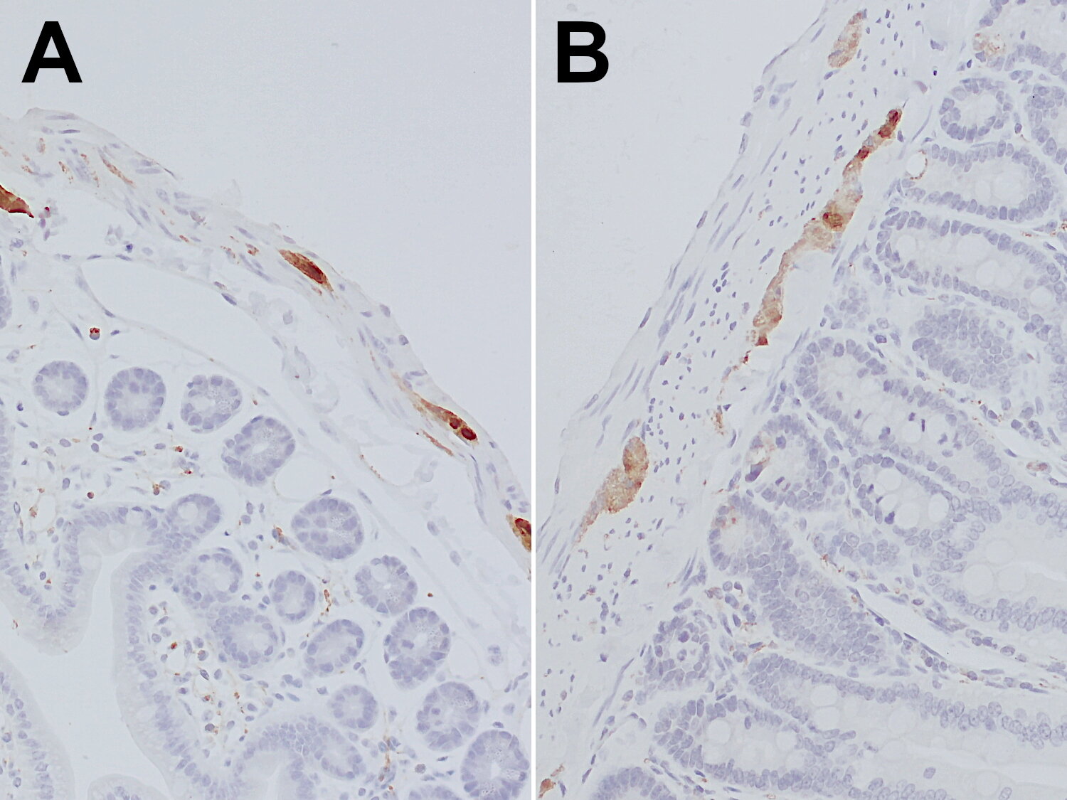
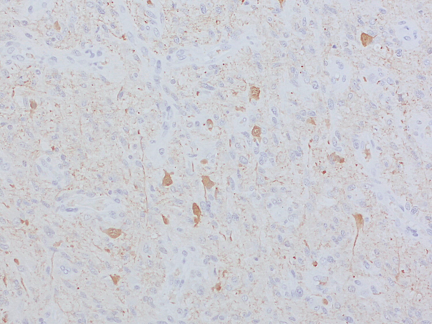
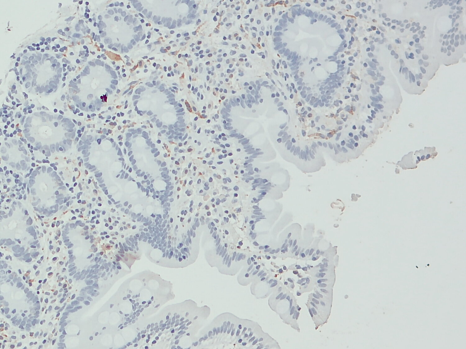
IHC: 1 : 500 gallery  
IHC-P: 1 : 2000 gallery  

Western blot (WB); separation of proteins by PAGE and subsequent transfer to a membrane. Detection of target molecules is carried out with antibodies. Some antibodies require special sample preparation steps. For details, please refer to the “Remarks” section.

Immunoprecipitation (IP); Immunoisolation or pulldown of a target molecule using an antibody. For details and product specific hints, please refer to the ”Remarks” section.

Immunocytochemistry (ICC) on 4% PFA fixed cells. Immunoreactivity is usually revealed by fluorescence. Some antibodies require special fixation methods. For details, please refer to the “Remarks” section.

Immunohistochemistry (IHC) on 4% PFA perfusion fixed tissue with 24h PFA post fixation. Immunoreactivity is usually revealed by fluorescence or a chromogenic substrate. Some antibodies require special fixation methods or antigen retrieval steps. For details, please refer to the ”Remarks” section.

Immunohistochemistry (IHC-P) of formalin fixed, paraffin embedded (FFPE) tissue (some antibodies require special antigen retrieval steps, please refer to the ”Remarks” section). Immunoreactivity is usually revealed by fluorescence or a chromogenic substrate.

Immunogen Recombinant protein corresponding to AA 2 to 223 from mouse UCHL1 (UniProt Id: Q9R0P9)
Reactivity Reacts with: rat (Q00981), mouse (Q9R0P9), human (P09936).
No signal: zebrafish.
Other species not tested yet.
Data sheet 233_003.pdf
Cat. No.: 233 003
Amount: 50 µg
Price: $460.00
Background
The Ubiquitin carboxyl-terminal hydrolase isozyme L1 (UCHL 1) enzyme is a member of a protein family involved in the hydrolyzation of C-terminal adducts of polymeric ubiquitin to generate monomeric ubiquitin. It is abundantly expressed in neurons throughout the brain and belongs to the ubiquitin-proteasome system. This pathway is responsible for the degradation of misfolded and damaged proteins and has been postulated to play an important role in Parkinson's disease.